Tous les forums
propositions de traitements
09/09/2009 à 10h21
Cher Beotien,
Toutes les solutions prothétiques doivent être proposées systématiquement au patient en indiquant les avantages et inconvénients de chacune d'entre elles. Ces indications précisées, un temps de réflexion suffisant lui est nécessaire avant sa prise de décision sagement mûrie.
Appliquerai-tu ton principe de prescription pour une centrale manquante ?
09/09/2009 à 20h42
Juste une question technique:
la norme implanto pour une pap du haut a longtemps été 6 implants + une barre.
Je vois plus haut, 4 implants non reliès avec attachements locator.
- 4 implants pourquoi pas, avec ceux d'aujourd'hui.
- non reliés: avez vous du recul? Est-ce que qqun a fait ça depuis une dizaine d'années?
C'est une question, pas une critique.
09/09/2009 à 21h25
gulguch écrivait:
-----------------
> Juste une question technique:
> la norme implanto pour une pap du haut a longtemps été 6 implants + une barre.
> Je vois plus haut, 4 implants non reliès avec attachements locator.
>
> - 4 implants pourquoi pas, avec ceux d'aujourd'hui.
> - non reliés: avez vous du recul? Est-ce que qqun a fait ça depuis une dizaine
> d'années?
> C'est une question, pas une critique.
pas de soucis particulier avec les barres (6 implants mini) mais je n'ai pas d'experience avec les attachements (barre tout le temps)
--
xbk
20/12/2012 à 13h55
gulguch écrivait:
-----------------
> Juste une question technique:
> la norme implanto pour une pap du haut a longtemps été 6 implants + une barre.
> Je vois plus haut, 4 implants non reliès avec attachements locator.
>
> - 4 implants pourquoi pas, avec ceux d'aujourd'hui.
> - non reliés: avez vous du recul? Est-ce que qqun a fait ça depuis une dizaine
> d'années?
> C'est une question, pas une critique.
Controle a 4ans C sup 4 att.locator/C inf 4 att. locators. ras.
gencive ok, os ok .
je rebondis sur ce sujet pour vous parler d'une conf a l'ADF d'un prof de Genève dont j'ai oublié le nom qui démontrait par ses recherches, que pour perdre un implant a cause de forces occlusales excessives, il fallait que celles-ci soient démesurées, et démontait la seule étude qui monter le contraire.
20/12/2012 à 15h08
J'ai relu ce fil en entier, et je me disais que les possibilites etaient nombreuses et certaines non exploitees dont celle-ci qui aurait ete mon choix:
Au max, sinus, 8 implants, et complet transvisse.
En bas, ext 44 et bridge 43-47, amputation 36 et bridge 33,34-36
Le haut est vraiment fini, et le bas n'est pas si mal en attendant que les piliers postérieurs ne flanchent et que le patient ait remis un peu de sous sur le livret a.
Bien sur, en bas, je suis loin de respecter les canons de la prothèse. Mais, en face c'est de la résine sur un patient qui a perdu l'habitude de mastiquer sous Giscard, et pour le coup le patient a une solution vraiment confortable, pas pérenne, certes, mais ce serait la solution que je choisirais pour moi.
A vos hallebardes!
P.S.: C'est sympa ce déterrage de vieux posts, peut etre même que D57 nous donnera le fin mot
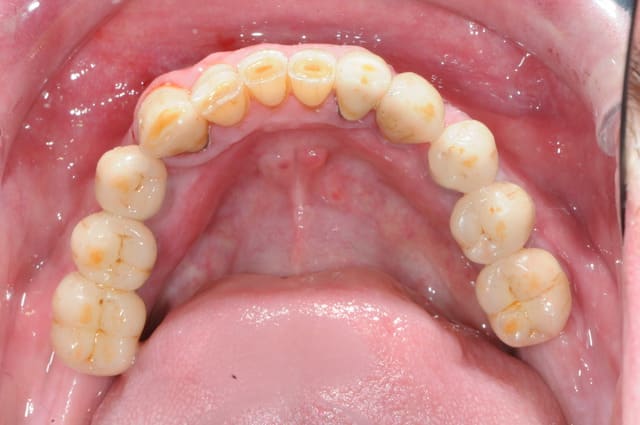
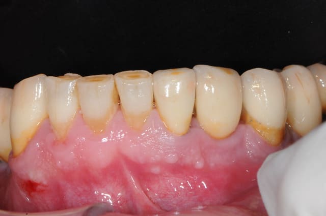
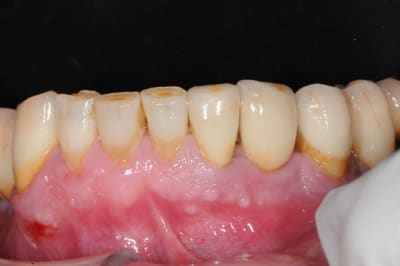
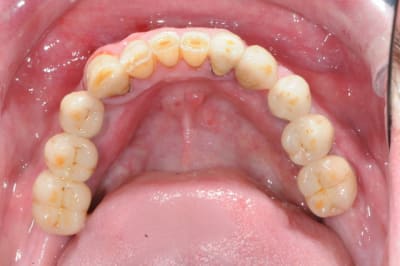
21/12/2012 à 01h10
je dois avouer qu'il fallu quelques minutes pour retrouver le nom du patient..
voici, finalement ce que cela donne..
5 ou 6 implants plus tard et la promesse de faire un stellite sup sur locator...
le patient a rencontré des problèmes familiaux (divorce ) et n'a pas fini le traitement.
actuellement il a un complet sup, le principal étant d'avoir évité le partiel inf. non ?