Cookie Consent byPrivacyPolicies.comUn résultat pas terrible - Eugenol

Un résultat pas terrible

Grueavatar nptrc9 - Eugenol
Le Choixpeau magique

01/10/2009 à 18h45

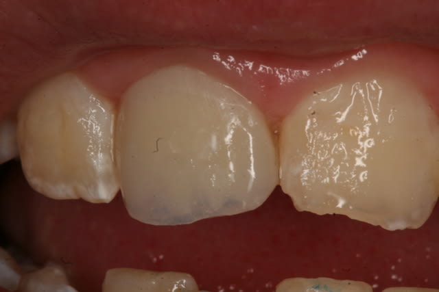
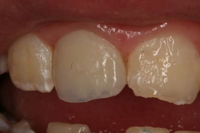
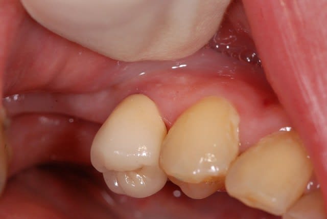
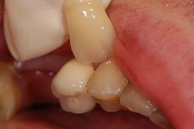
Regardez ce que je viens de recevoir de mon prothésiste habituel.
Vous conviendrez que le résultat n'est pas terrible, mais est assez représentatif de ce que je reçois.
A chaque fois, je met en cause mes piètres talents de prise de teinte, mais vous constaterez sur la deuxième photo que j'étais quand même plus proche que lui.

Alors est-ce qu'on arrive aux limites des CCM ?

Ou faut-il que je change de prothésiste (suggestions sur Paris/RP en MP, merci) ?

Dsc 7894s fcuwoy - Eugenol
Dsc 7899s qvovio - Eugenol

Grueavatar nptrc9 - Eugenol
Le Choixpeau magique

01/10/2009 à 18h46

(les remarques sur le contrôle de plaque ne sont pas désirées)


3 76 hchzpi - Eugenol
kingkong

01/10/2009 à 19h10

Que lui as tu demandé comme type CCM ?

il n'a pas un apprenti qui se fait la main ?


C'est quand même grave de ne pas contrôler la teinte avant de livrer, surtout qu'avec le teintier vita ce n'est pas ce qu'il y a de plus dur

'tain là on est dans le B1 en plus elle est hyper opaque


"" Alors est-ce qu'on arrive aux limites des CCM ? ""

des CCM non, mais celles de ton prothé ça a l'air ^^


Utilisateur banni

01/10/2009 à 19h12

Haaaaa le contrôle de plaque...

Ton prothésiste n'a pas un vita easyshade par exemple pour vérifier ce qu'il fait?
C'est retour labo direct ce truc immonde, ça ne ressemble absolument pas à ce que tu as demandé.
Il vient te voir au cab, et tu discutes avec, si il comprend pas, tu changes de labo.
Après, si tu payes 45€ pour ça, je suis d'accord de pas faire la fine bouche, au delà, c'est du foutage de gueule.
Et question limite, ton protho les a largement dépassées...

--
http://soundcloud.com/narik/tracks
d-.-b


S2y2o1v7q53ws4r5wy6ou8czrpom - Eugenol
pxav

01/10/2009 à 19h18

narik écrivait:
---------------
> Haaaaa le contrôle de plaque...
>
> Ton prothésiste n'a pas un vita easyshade par exemple pour vérifier ce qu'il
> fait?
> C'est retour labo direct ce truc immonde, ça ne ressemble absolument pas à ce
> que tu as demandé.
> Il vient te voir au cab, et tu discutes avec, si il comprend pas, tu changes de
> labo.
> Après, si tu payes 45€ pour ça, je suis d'accord de pas faire la fine bouche, au
> delà, c'est du foutage de gueule.
> Et question limite, ton protho les a largement dépassées...
>
> --

+1
et même à 45€ ça fait cher



--
xbk


S2y2o1v7q53ws4r5wy6ou8czrpom - Eugenol
pxav

01/10/2009 à 19h23

pour infos, certains labos n'achetent pas les coffrets complet mais seulement les teintes courantes.
pas en france bien sur .......
mais dans ton cas la dent du patient est de teinte courante alors?

--
xbk


Grueavatar nptrc9 - Eugenol
Le Choixpeau magique

01/10/2009 à 21h11

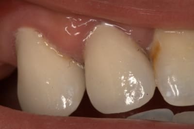
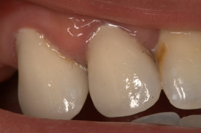
Le teintier que je présente est un A3,5.
Merci de me confirmer que je ne suis pas un chieur...

Au niveau opacité c'est à peu près ce que j'ai régulièrement.
Je me disais, pour du moyen-haut de gamme, tu ne peux pas avoir la lune. Vos 45 euros sont très éloignés du prix payé.

Je suis déjà sur une piste pour un autre labo...


Image odged8 - Eugenol
ploc

01/10/2009 à 21h22

c'est une ccm monocouche avec un peu de maquillage au collet ,maqquillage qui finira par s'en aller..
trop globuleuse et epaisse (maisquelle epaaisseur lui as tu laissé?)
et pas très bien sculptée(mais qu'y a t'il en face?)


Grueavatar nptrc9 - Eugenol
Le Choixpeau magique

01/10/2009 à 22h49

ploc écrivait:
--------------
> trop globuleuse et epaisse (maisquelle epaaisseur lui as tu laissé?)

Pour l'épaisseur, il y a largement ce qui faut, j'utilise une fraise boule 2mm pour jauger mes réductions, et après j'en retire encore en finitions.

> et pas très bien sculptée(mais qu'y a t'il en face?)

Je ne me souviens plus ce qu'il y avait en face, mais c'est toujours le type de morpho que je reçois.


Casque beotien a3jo39 - Eugenol
beotien

01/10/2009 à 23h21

tu ne l'as qd meme pas posée, rassure moi
meme donnée c'est trop cher


Utilisateur banni

01/10/2009 à 23h36

J'ai eu le même problm avec un protho avec qui je bossais depuis 9 ans. A chaque teinte A3, c'était la plantade: toujours trop clair à l'arrivée.Je l'ai viré pour manque de sérieux dans les délais, et depuis mon nouveau protho: top nickel sur toutes les teintes. Donc ton gars est un tocard.


Avatar 46 aoi1yc - Eugenol
HononLulu

02/10/2009 à 03h21

Tu es sûr que c'est du boulot français? je vois mal qu'ils apprennent une telle morphologie de 35 au cap de prothèsistes dans notre beau pays.
A quoi sert de prendre une teinte avec un tel prothésiste-boulet ??


cyberquenottes

02/10/2009 à 10h21

Le Choixpeau magique écrivait:
------------------------------
> Le teintier que je présente est un A3,5.

sans même avoir vu la teinte choisie , au vu de la photo c'est ce que j'aurai choisi

et effectivement on est pas loin du B1 surtout en saturation de blanc du fait de l'opacité caractérisée

c'est du monocouche flagrant

ca vaut cher ca ?

---------------------
edit : j'avais pas vu : pas loin de 45 euros

t'es vraiment obligé de viser si bas ?

je veux dire 80 - 100 c'est quand même pas le bout du monde ...(et encore au bout du monde a ce prix la t'as du beau )


Grueavatar nptrc9 - Eugenol
Le Choixpeau magique

02/10/2009 à 11h05

Tu as mal lu, j'ai payé beaucoup plus que 45 euros.


cyberquenottes

02/10/2009 à 11h41

Pardon

a 80 euros , ca les vaut pas

a + de 100 c'est du vol et ca retourne d'ou ca vient


zuka

02/10/2009 à 12h04

Aprés quelques années de services, certains protos ne font plus d'efforts, considérant la relation comme aquise.

pas d'éfforts pour la sculture, pour la teinte, ou pour prendre son téléphone pour te dire que la taille ne lui laissera pas la place de réaliser un travail correct.

parfois il commence à s'inquiéter quand il se rend compte que tu ne lui envois plus que la coullée et les réparations...ou plus rien du tout.


Grumpy cat ifik8s - Eugenol
radich_a_tord

02/10/2009 à 12h57

Le mien me sort ça en CCM pour 80 € (12 13). L'autre photo c'est un onlay composite transitoire Adoro sur la 11, 45 €. (Mon capteur photo est sale, je sais)

Il bosse à 5 km du cabinet, petite structure, excellents rapports.

J'en suis satisfait, avec l'expérience je lui trouverai peut être des limites. Franchement, en début de carrière je ne me vois pas bosser avec des labos qui exportent. Pour moi on ne peut pas raler contre le tourisme médical et faire faire sa prothèse à l'étranger. Mais bon quand on est jeune on a des principes...

Img 7619 x0dkjr - Eugenol
Img 7921 qifcnd - Eugenol

55 s2ba7n - Eugenol
Sid

02/10/2009 à 13h14

radich_a_tord écrivait:
-----------------------
> L'autre photo c'est un onlay
> composite transitoire Adoro sur la 11, 45 €.

C'est pour faire quoi après un onlay composite transitoire sur une incisive? Je ne savais pas qu'on pouvait le faire. T'as collé avec quoi?


S8ysxdzhdqgw00w4q6m07a5d47q2 - Eugenol
gai-luron

02/10/2009 à 13h36

le capteur serait pas un peu sale?


Grumpy cat ifik8s - Eugenol
radich_a_tord

02/10/2009 à 14h06

C'est un cas spécial : une ado de 11 ans, chute de vélo avec fracture coronaire de 11 sur les 3 faces (cf photo le jour de la chute). J'ai tenté 2 composites qui n'ont pas tenu. Là le truc a l'air de tenir, même si j'ai de très gros doutes sur la rétention. Après préparation minimale, c'est collé au SmartCem2 (un automordançant, on tente avec ce qu'on a au cab mais le mieux serait un collage au Variolink).

Dans l'avenir j'aimerais que ça tienne jusqu'à la réalisation d'une CCM/CCC sur dent vivante, à la fin de la croissance.

Img 7315 dxo raw xuafst - Eugenol
Img 7923 1 ueht2r - Eugenol
Img 7925 1 frqb40 - Eugenol

55 s2ba7n - Eugenol
Sid

02/10/2009 à 14h15

Ok merci.


Bing surfboards tm mark pcsd1h - Eugenol
jayetche

02/10/2009 à 19h03

hehe
ton capteur photo est un peu sale, si tu veux je connais un mec qu'a fait une these sur la photo il peut peut etre te filer des tuyaux ;D

sinon bon boulot intelligement mené


Grumpy cat ifik8s - Eugenol
radich_a_tord

02/10/2009 à 21h51

C'est ça d'avoir un reflex sans nettoyage auto du capteur.

Le pire c'est que j'avais tout ce qu'il faut pour le nettoyer : produit eclipse + sensor swabs. Sauf que boulet que je suis j'ai laissé la bouteille ouverte, l'eclipse s'est évaporé...


Grueavatar nptrc9 - Eugenol
Le Choixpeau magique

03/10/2009 à 11h42

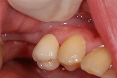
Pour ceux qui émettaient l'hypothèse du manque de place pour le prothésiste, je n'ai pas de photo en occlusion, mais vous pourrez constater qu'au moins en périphérique il avait largement la place. Et je vous demande de bien vouloir me croire pour la place en occlusal.

Dsc 7885s i1virj - Eugenol

Marque a3 orange fyvhyq - Eugenol
Marc Apap

03/10/2009 à 11h49

Ca n'a rien à voir avec le reste, mais c'est pour faire écho au post de Sid sur les onlays sous gingivaux : je trouve que tu es énormément sous gingival.
Perso, je ne fais jamais de limite si profonde, meme en vestibulaire. Etais tu obligé de le faire ou c'est dans tes habitudes de travail ?