Cookie Consent byPrivacyPolicies.comJF 13 ans - Suites après une endo pourtant pas si mal. - Eugenol

JF 13 ans - Suites après une endo pourtant pas si mal.

LdL

21/10/2009 à 20h45

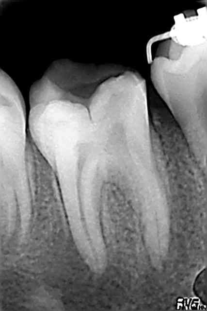
Marie, 13 ans, je vous passe les antécédents sur cette dent, mais toujours est-il qu'elle se pointe en Juillet avec douleurs lancinantes sect IV, aucune vitalité de la 46, tu m'étonnes Elton ce n'est qu'un cratère. (image 01, celle du centre)

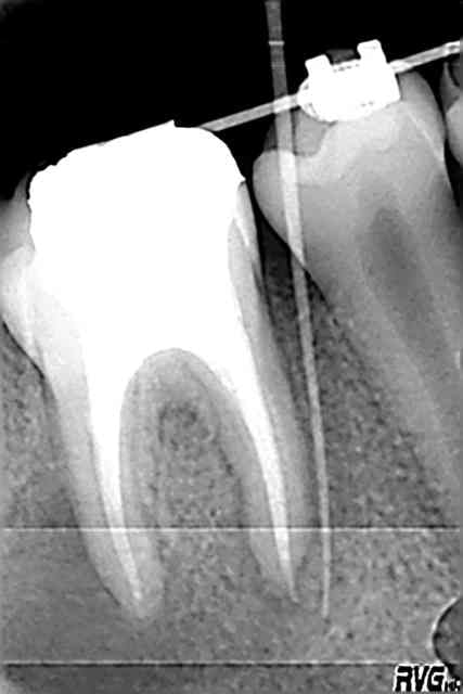
Je fais l'endo la semaine suivante, je suis pas trop mécontent de l'aspect final (image 02, celle de droite).

J'obture 5 jours apres en coronaire avec un bon vieil amalgame des familles et la voilà qui part chez l'ortho pour la pose de ces affreuses brackets.

Et deux mois apres, voila ma Marie qui revient. Avec un joli bourgeon sur la gencive entre 46 et 45. No Dolor.

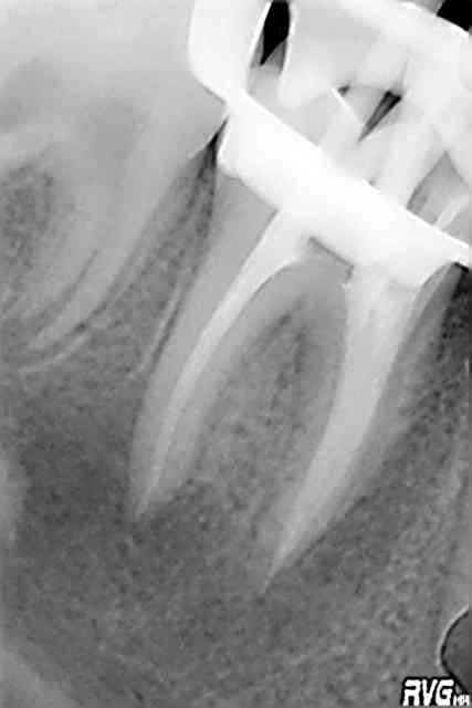
Je plante mon gros cône de gutta dedans, et voilà la radio 03 (celle de gauche).



keskonfé ? Une RTE ? Ferais-je mieux ? Resection apicale ? Un scan (mais faut tout débracketter)... ?

Je veux des idées mes amis, parce que là je me sens un peu paumé.

Maev03 o38fcl - Eugenol
Maev01 izdcix - Eugenol
Maev02 tpxmsp - Eugenol

Rorschachwhite tx6rqr - Eugenol
Candide Candida

21/10/2009 à 21h26


Shit happen.

En l'occurence je ferais une RTE, pas que forcement tu puisses faire mieux, mais qui sait un second coup de parage canalaire, d'US, d'EDTA et une réobturation ..

Après pourquoi ^^ ?

Canal accessoire, delta apical, etc ...

Si j'osais, avant l'amalgame (pourquoi pas, pas de jugement de valeur que d'autres feront après moi :-)) j'aurais p-e mis une couche de CVI ou une couche hybride, il restait p-e aussi des bactéries dans la chambre.

Bon courage !

CC.


Calvin and hobbes lr0gvh - Eugenol
larome

21/10/2009 à 21h30

j'imagine dépassement de Gutta ds les mésios

je serai assez partant pr une resection apicale

--
La Rome


Image odged8 - Eugenol
ploc

21/10/2009 à 21h34

chance :elle est déjà en odf,tu n'auras pas besoin de convaincre les parents

extraction
contacter l'odf pr qu'il change son plan de traitement et prevoit d'avancer la 7:(il y a une 8?)
trop tard de ttes façons, pr profiter de l'edification de la furcation radiculaire de la 7(entre 6 et 9 ans d'âge dentaire environ à la mandibule,entre 6 et 12 ans au maxillaire) et esperer obtenir une fermeture naturelle de l'espace par mesialisation
il aurait donc fallu de l'odf

NB:on est vraiment pas du mme avis :)
tout le monde faisait impasse sur la pedo?





fr

21/10/2009 à 22h51

es tu passé par la fistule ou par la poche pour mettre ton " gros" .
si c'est fistulisé sous le niveau crestal ça parait jouable sinon endo paro avec pronostic tres mauvais. anvancée de 47 48 semble plus raisonnable. De plus avenir a tres long terme ???


LdL

21/10/2009 à 23h41

La gutta est passée dans la fistule. Je n'ai pas noté de poche mésiale.

Personne n'a la réponse que je voudrais, c'est con, du genre "c'est normal, ça va passer" :-))


Les bactéries dans la chambre, pourquoi, comment ? J'ai mis la digue dès l'ouverture, et ai posé mon AMG après un nettoyage à l'eugénol et rinçage CloNa.

Le dépassement en mésial peut il créer ce genre de problème ?

Et si je fais une RTE avec une temporisation CAOH ou je ne sais quelle bouillie ATB dans les canaux pendant x semaines ?


(et La Rome, tu serais pas un certain La Rome, pote de charly G. ?)


Logo vuaztn - Eugenol
mac

21/10/2009 à 23h59

c'est normal, ça va passer


marc

22/10/2009 à 00h54

Salut,
j'ai eu un cas similaire il y a quelques temps ou le résultat radio était assez satisfaisant mais pourtant fistule 1 an aprés...
La chance, c'est qu'il s'agissait d'une latérale et qu'une chir a été possible.
J'avais envoyé les radios à 4 confrères endo exclusifs, et 2 étaient pour la chir, 2 pour le retraitement.
C'est la chir qui a été réalisée et le compte rendu indiquait un défaut de préparation au niveau apical du canal (canal légèrement ovalaire)visible sous microscope.
Finalement , le retraitement aurait pu être la bonne option.
J'avais préparé au protaper jusqu'au F3 et énormément irrigué.
Le canal était assez large et j'avais surement sous estimé le diamètre apical.

Dans ton cas, la chir n'est pas forcément évidente, les canaux sont assez larges, et il est possible que le retraitement, en augmentant un peu le diamètre et la conicité de préparation apicale et en redoublant d'efforts sur l'irrigation, puisse améliorer la situation.
Il me semble qu'une médication temporaire au Ca(OH)2 pourrait être indiquée dans un cas comme celui là (même si c'est plus trop à la mode..)
Bon courage

Mon cas sur l'incisive latérale sera surement présenté un de ces jours à la SFE dans une séance sur les échecs..


Grueavatar nptrc9 - Eugenol
Le Choixpeau magique

22/10/2009 à 01h55

Qu'est-ce que ça donne au niveau sondage ?
Il y a un bracket sur la dent ?
Est-ce que c'est vraiment une bonne idée de déplacer une dent avec une lésion ?
Il y a un moment où il faut savoir stopper l'acharnement thérapeutique, tu as fait un beau traitement, dans de bonnes conditions (digue & Co), je ne vois pas ce que l'endo exclusif (défaut de préparation apicale laissez moi rire, si l'endo était aussi déterministe ça serait trop facile) pourra faire de plus dans ce cas.
Tu peux essayer le retraitement "au cas où, on sait jamais", ou tu peux suivre le conseil de ploc et arrêter les frais.
Si tu as mis un amalgame, c'est bien parce que tu avais des doutes sur la compliance de la patiente et de son entourage, non ?


LdL

22/10/2009 à 04h20

Merci à tous pour vos avis (mac... :-)

Si j'ai mis un AMG, c'est parce qu'il me semblait indiqué, au vu finalement des limites de la cavité.

Aucun doute sur la compliance, c'est une famille kifeskifo.


Je sens que je ne suis pas sorti de l'auberge.


Image odged8 - Eugenol
ploc

22/10/2009 à 05h46


perso avant de me lancer ds l'endo j'aurais envisagé la solution extraction-mise en place des 47 puis 48 saines comme plus perenne et benefique pr la patiente
deformation pro sans doute

qu'est ce qui te gêne ds le fait d'extraire si la 7 peut être mise en place dixit l'odf?
le constat d'echec de ton endo? le dire aux parents? et alors? reussite 100% cela n'existe pas
felicites toi au contraire de cet echec rapide pdt qu'elle est encore en odf et qu'il est assez simple de gérer
ds 5 ans tu te serais senti bc plus mal


Bing surfboards tm mark pcsd1h - Eugenol
jayetche

22/10/2009 à 10h07

dans un cas comme ça je suis de l'avis de ploc je prefere une solution perenne qui garantisse un resultat à très long terme donc extraction de 46 et remplacement par 47 48, pour les ortho c'est peanuts!
meme si tu reussi une excellente rte avec cicatrisation (ce dont je ne doute pas!!)quid de cette dent dans 20 ans?


Casque beotien a3jo39 - Eugenol
beotien

22/10/2009 à 10h58

ton endo est bonne tu as essayé ca ne marche pas pas de remord
tu enleves
meme si le traitement fonctionne après il faut ccm et si tout va bien en refaire une plus tard qd ttes les dents en position définitive
donc le suis +1 avec les autres faut faire simple


South park   craig te7bfk - Eugenol
CRAIG

22/10/2009 à 11h19

Le souci par rapport à l'extraction c'est plutôt la réaction de la famille.
Car inévitablement l'extraction sera perçue comme un échec ou une erreur du dentiste qui a fait le traitement.


Image19 iebot6 - Eugenol
athos

22/10/2009 à 11h52


belles peches aux apex a l'origine.

la fistule apres ttt ne serait pas forcement inquietante si elle etait apres ttt, mais pas deux mois apres. je pense que tu as obturé en monocone? ce n'est pas une critique si le protocole est respecté, que le transfert de forme est réel, l'oburation dense après parfait nettoyage, les resultats sont souvent là.

Mais ça ne semble pas être les cas en mésial et même un tit dépassement semble le démontrer (dépasement infime, mais de quoi?)

Reprise pourquoi pas? j'ai l'impression :
que la desobturation sera facile (pardon)
que la réussite sera facile a controler de par la fistule...
qu'il y a bien plus de chances de réussite que de risque d'echec

sinon technique ploquienne, mais pourquoi d'emblée? t'es jeune, la patiente aussi, alors vous pouvez bien prendre le temps d'essayer en premiere intention.


LdL

22/10/2009 à 12h59

Encore merci à tous pour vos avis et vos conseils.


Je ne sais plus si c'est du thermafill ou du monocone McSpaddené (me parrait pas assez dense pour un therma). Dans tous les cas, la désobtu ne sera pas trop complexe car j'ai alésé "large"...

A mon sens, les pêches sont évidentes... a postériori. Maintenant, je ne vois qu'elles. Mais bon, même si elles m'avaient paru évidentes "à l'époque", la C.A.T. eût-elle été différente ? Du CaOH lentuloté ? Ce qui voudrait dire acheter un lentulo...


Comme tu dis, la patiente est jeune (et moi aussi, c'est sympa). Mais le ttt ortho vient de commencer. Il ne durera pas éternellement, et une mésialisation de 7... ça prend du temps non ?

Combien de temps puis-je prendre pour essayer de ressoigner ça ? Et surtout, la question à 1000 balles, comment etre sûr que ça a marché, car comme le précise Marc, ça peut revenir 1 an après...


Image19 iebot6 - Eugenol
athos

22/10/2009 à 13h26


si la fistule disparait tu pourras deja t'emplir d'espoir, une fois desobturé tu balances ce que tu veux et vois ce qui ressort:):)
lapadouée avait une technique avec une pate resorbable et des resultats fiables, faudrait retrouver

en tous cas les signes de guerison peuvent etre rapides


200106 10150128247663588 709988587 6466236 5598391 n d7mksb - Eugenol
hallboy

22/10/2009 à 13h29

Comme Ploc.
Si jamais tu la sauves c'est ccm + core. m'etonnerait que ça dure les 80 ans qu'il reste a ta patiente.

la 8 flambante neuve le pourrait.

les 2 heures de RTE que tu va te coller ont peu de chances de changer la donne: c'est pas comme si tu avais travaillé ds la bave en irriguant a l'eau de Lourdes

( Si tu reprend ce traitement tu m'enverra une plaquette de komet ref: 8878314 016: tu me merites pas ;)


Image19 iebot6 - Eugenol
athos

22/10/2009 à 13h32

mouais...la 7 la 8, sais tu comment elles vont vieillir? la six n'etait pas si vieille, et y aura pas de 9 ni de 10.

le rttt est jouable, n'ecarte pas les plocqueries eventuelles ultérieures, il est sans risque ni nuisance ni perte de chance, donc? ou est le bleme?


Grueavatar nptrc9 - Eugenol
Le Choixpeau magique

22/10/2009 à 13h37

La perte de chance, c'est que tu fais perdre encore un an le temps d'évaluer la guérison, avant de pouvoir tracter la 7...

Et je répète ma question: êtes vous sûrs que ça soit une bonne idée de faire de l'ortho sur une dent avec lésion ?


Image19 iebot6 - Eugenol
athos

22/10/2009 à 13h50



13ans...1an (pourquoi d'ailleurs?)...perte de chance? bof. c'est qui qu'est pressé?


Grueavatar nptrc9 - Eugenol
Le Choixpeau magique

22/10/2009 à 14h07

athos écrivait:
---------------
>
>
> 13ans...1an (pourquoi d'ailleurs?)...perte de chance? bof. c'est qui qu'est
> pressé?

1 an parce que c'est la durée généralement admise pour juger de la guérison vraie d'une lésion endodontique.

A 13 ans, c'est la croissance qui est pressée, surtout chez une fille.


Image19 iebot6 - Eugenol
athos

22/10/2009 à 15h46



t'as raison, c'est bien les généralités


Grueavatar nptrc9 - Eugenol
Le Choixpeau magique

22/10/2009 à 15h53

???


Image19 iebot6 - Eugenol
athos

22/10/2009 à 15h55


:):):)

pffff...avec toi....