Cookie Consent byPrivacyPolicies.competit cas traité en CEREC - Eugenol

petit cas traité en CEREC

Zoe   son arriv e whwqpj - Eugenol
emma

04/12/2009 à 13h48

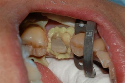
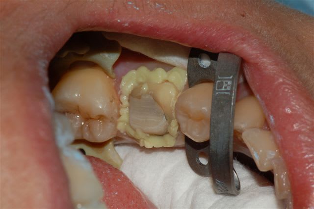
comme je vous l'avais proposé en prothèse, et spécialement pour gai-luron, voici un cas de prothèse sur la 36 dent vivante, le protocole à été le suivant:
-emp au regitrans de la dent avant la taille
-anesthésie au quicksleeper
-emp optique de la dent avant la taille pour l'occlusion.
-taille en respectant les directives données par l'équipe de l'académie du sourire et en utilisant les fraises de leur coffret.
-traxodent pour le joint périphérique.
-poudrage de la préparation et emp optique.
-le logiciel a créé la couronne dans la foulée.
-usinage du bloc IPS e.max CAD en disilicate de lithium.
-essayage avant maquillage et cuisson de la pièce ainsi usinée.
-couronne temporaire en unifast photopolymérisable à l'aide de l'emp en regitrans
-pose de la couronne temporaire, le maquillage et la cuisson demandant un temps trop long pour les réalisés dans la séance qui a duré 1h30 sans aucune sensibilité gràce à l'anesthésie intramédulaire.
-pendant l'usinage de la pièce j'ai réalisé un inlay CEREC sur la 26.

--
Emma

Dsc 0001 idzyz4 - Eugenol
Dsc 0004 th8pvd - Eugenol
Dsc 0006 rp5cjx - Eugenol
Dsc 0015 m2d4po - Eugenol
Dsc 0011 wzp6hw - Eugenol
Dsc 0014 vozp5d - Eugenol
Dsc 0016 tei1h8 - Eugenol

Gaudi parc guell lezard  ntokms - Eugenol
lezard

04/12/2009 à 16h28

s'cuze ma naïveté mais je croyais que l'intérêt du cerec c'était de poser dans la séance, sans passer par la phase provisoire

les revendeurs cerec nous promettent la réalisation d'un inlay ou d'une couronne en 45 min maxi, nous aurait-on menti ??





Smile beach jgh0a1 - Eugenol
Céramik

04/12/2009 à 17h02


Salut, pourquoi en effet une provisoire ?
L'usinage du e-max demande ensuite une cuisson de 20 minutes. Donc, pendant que tu fais la 26, tu fabrique ta
e-max ?
Je n'ai pas (encore) de Cerec, mais un de mes collègues fait en 1 seul rdv des E-max depuis 2 ans, sans problème. Tu n'as qu'à anesthésier un peu plus non ?

PS j'aime bien revoir tes fils sur nonol ;-)

A+


--
Céramik


S8ysxdzhdqgw00w4q6m07a5d47q2 - Eugenol
gai-luron

04/12/2009 à 17h45

Céramik écrivait:
-----------------
>
> Salut, pourquoi en effet une provisoire ?



peut-être parce que: "pose de la couronne temporaire, le maquillage et la cuisson demandant un temps trop long pour les réalisés dans la séance "

??

merci en tout cas. J'aurai des questions, mais là j'ai pas le temps :))


Zoe   son arriv e whwqpj - Eugenol
emma

04/12/2009 à 19h15

Céramik écrivait:
-----------------
>
> Salut, pourquoi en effet une provisoire ?
> L'usinage du e-max demande ensuite une cuisson de 20 minutes. Donc, pendant que
> tu fais la 26, tu fabrique ta
> e-max ?
> Je n'ai pas (encore) de Cerec, mais un de mes collègues fait en 1 seul rdv des
> E-max depuis 2 ans, sans problème. Tu n'as qu'à anesthésier un peu plus non ?
>
> PS j'aime bien revoir tes fils sur nonol ;-)
>
> A+
>
>
> --
> Céramik


parce que je veux un résultat optimum en esthétique et que le maquillage et la cuisson sont longs surtout la cuisson, il faut 30 minutes pour la cuisson et le collage ensuite prend encore 15 à 20 minutes, c'était plus que ne pouvait supporter la patiente.

pour les inlays, je les fais dans la séance bien sûr.

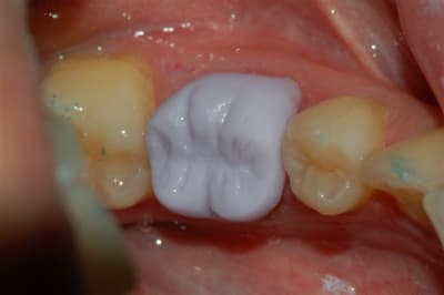
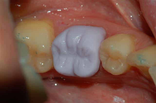
je n'ai pas investi dans le CEREC pour gagner du temps, mais pour poser des couronnes qui ressemblent à des dents naturelles comme ci joint la 25 et la 36 (des photos postées ci dessus) et la 45( postée en prothèse).
Emma

Dsc 0017 lfzw08 - Eugenol
Dsc 0018 icsviq - Eugenol
Dsc 0019 jvo6aj - Eugenol
Dsc 0020 nthuhe - Eugenol
Dsc 0002 rdnvh5 - Eugenol
Dsc 0022 ouue4v - Eugenol

Zoe   son arriv e whwqpj - Eugenol
emma

04/12/2009 à 19h43

voilà, ma journée est finie et elle a été plutôt bien remplie pour le CEREC puisqu'il a créé et usiné cinq pièces en tout, voici les 4 dernières que je poserai la semaine prochaine sur la même patiente après les avoir maquillées et cuites.

--
Emma

Dsc 0003 wz3div - Eugenol
Dsc 0002 eiyszn - Eugenol

Smile beach jgh0a1 - Eugenol
Céramik

04/12/2009 à 20h28

Donc empreintes optique et classique+modèle, ça fait bcp...
Joli quand même.
Mais pourquoi du E-Max pour une pré-molaire ?
Avec un bloc céram classique et maquiilage, tu peux la faire en un temps


--
Céramik


Cuisinier2 vnbbxx - Eugenol
jeff2

04/12/2009 à 20h36

quelle est la tenue du maquillage dans le temps, car il m'arrive de voir de cerec debarquées dans mon cabinet et la moitié du maquillage est parti
cela a t-il évolué depuis le debut du Cerec

et puis une autre question
n'y a t'il que le cerec comme CAO au cabinet sur le marché?


Grueavatar nptrc9 - Eugenol
Le Choixpeau magique

04/12/2009 à 20h51

emma écrivait:
--------------
> je n'ai pas investi dans le CEREC pour gagner du temps, mais pour poser des
> couronnes qui ressemblent à des dents naturelles comme ci joint la 25 et la 36
> (des photos postées ci dessus) et la 45( postée en prothèse).


Est-ce qu'un bon prothésiste n'est pas capable de faire cela ?


3f3boxni50k58rq7e9ce9ddqrxgk - Eugenol
dentiste57

04/12/2009 à 23h38

pardonnez le beotien analphabète et demeuré que je suis , mais à combien estimes tu le coût de ce travail prothétique ?

je me demande juste quels sont les avantages de cette technique .
tu sembles y passer du temps non?


Grueavatar nptrc9 - Eugenol
Le Choixpeau magique

04/12/2009 à 23h41

C'est pour tous les control freaks...


87 ujotte - Eugenol
Spatouille

04/12/2009 à 23h47

Le Choixpeau magique écrivait:
------------------------------
> emma écrivait:
> --------------
> > je n'ai pas investi dans le CEREC pour gagner du temps, mais pour poser des
> > couronnes qui ressemblent à des dents naturelles comme ci joint la 25 et la 36
> > (des photos postées ci dessus) et la 45( postée en prothèse).
>
>
> Est-ce qu'un bon prothésiste n'est pas capable de faire cela ?

les mauvais seulement, tu trouve ça jolis ? entre la teinte et la forme .... je ne supporterai plus une seule remarque !


Utilisateur banni

04/12/2009 à 23h53

+1 spatouile.

une dent qui ressemble à une dent.....;)
franchement j'enverrai ça dans un cabinet ce serait pour faire une blague.


Cuisinier2 vnbbxx - Eugenol
jeff2

04/12/2009 à 23h57

là, vous êtes vache, et c'est du parti pris
attendez de voir les photos en bouche, pour critiquer


Grueavatar nptrc9 - Eugenol
Le Choixpeau magique

04/12/2009 à 23h59

Je suis d'accord avec vous les prothos.
Ma question était plutôt "est-ce qu'un bon prothésiste n'est pas capable de faire une couronne qui ressemble à une dent ?".

Je pense que le métier de prothésiste ne s'apprend pas en cinq minutes sinon ils seraient tous bons.

Après, je peux très bien comprendre qu'on puisse avoir envie de s'amuser au cabinet et de tout contrôler.

Et les bons prothésistes, ça ne courre pas tant les rues que ça...


Smile beach jgh0a1 - Eugenol
Céramik

05/12/2009 à 00h01

http://www.cadstar.org/photogallery-2a.php?gno=16&pmax=4&disp=1&gname=Customized CAD/CAM Ceramics


http://www.cadstar.org/videoplayer.php?vfile=One_Step_Stain_Glaze&vtitle=One-Step Stain and Glaze&vx=400&vy=287&vreturn=videos-2.php

La maquillage tient bien, aussi bien que celui du labo...



--
Céramik


87 ujotte - Eugenol
Spatouille

05/12/2009 à 00h10

jeff2 écrivait:
---------------
> là, vous êtes vache, et c'est du parti pris
> attendez de voir les photos en bouche, pour critiquer

il me semble que la 36 est en bouche ......

bien sur choipeaux, vouloir garder la main est compréhensible .... que ce soit pour le fun ou le service mais ce n'est ni rentable ni esthétique .....
j'espère quand même que ton opinion de la qualité moyenne française est supérieure a ce que je vois là .... sinon je m'installe de suite et te propose mes services ! ;)


Cuisinier2 vnbbxx - Eugenol
jeff2

05/12/2009 à 00h17

Spatouille écrivait:

> il me semble que la 36 est en bouche ......
>
Aie!!, tu vas me mettre en doute sur la qualité de ton travail là!!


Smile beach jgh0a1 - Eugenol
Céramik

05/12/2009 à 00h21

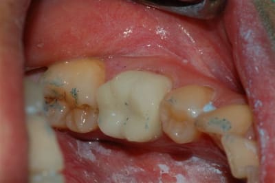
La 36, c'est une provisoire...


--
Céramik


Utilisateur banni

05/12/2009 à 00h29

quoi qu'il en soit c'est pas encore terrible, mais ce n'est que le début, l'empreinte optique va très vite investir la place et avec elle nos chers fabriquant de céram et blocs zr qui vont usiner à tour de bras...

Une céramique statifiée restera toujours plus belle qu'une monobloc teintée si elle est montée par un bon protho, et il en reste encore.


Cuisinier2 vnbbxx - Eugenol
jeff2

05/12/2009 à 00h37

condylator écrivait:
--------------------
> quoi qu'il en soit c'est pas encore terrible, mais ce n'est que le début,
> l'empreinte optique va très vite investir la place et avec elle nos chers
> fabriquant de céram et blocs zr qui vont usiner à tour de bras...
>
> Une céramique statifiée restera toujours plus belle qu'une monobloc teintée si
> elle est montée par un bon protho, et il en reste encore.

Là je suis d'accord! ok pour une chappe zircone, mais rien ne vaut la patte artistique du prothésiste et c'est là que tout se corse.
Les artistes, y en a pas beaucoup, car quoi que vous disiez, faut pas bac + 5 pour être un artiste, on l'est ou on l'est pas. L'artiste, disons celui qui sait copier parfaitement une dent( exemple une 11 sur une 21) il est trés rare et ca sera jamais la CAO qui pourra concurencer ça
Donc, il vous reste les secteurs antérieur, donc je vous propose de mettre vos ceramiques anterieures à 300 euros pièces. et les dentiste seront obligé de suivre, car la plupart du temps sur les secteurs antérieurs, je vois de la merde!! et je suis vraiment désolé que des confréres s'en satisfassent.


Smile beach jgh0a1 - Eugenol
Céramik

05/12/2009 à 00h43

jeff2 écrivait:
---------------
>> Donc, il vous reste les secteurs antérieur, donc je vous propose de mettre vos
> ceramiques anterieures à 300 euros pièces. et les dentiste seront obligé de
> suivre, car la plupart du temps sur les secteurs antérieurs, je vois de la
> merde!! et je suis vraiment désolé que des confréres s'en satisfassent.


Pas de problème pour les 300 euros, si c'est nickel.
Les bons céramistes, c'est assez rare.
Une centrale , chez un patient difficile, je double mon tarif !


--
Céramik


Utilisateur banni

05/12/2009 à 00h45

je n'ai pas peur pour mon avenir j'ai 20 années de métier je suis polyvalent et passionné par les restaurations combinées.
Pour les jeunes protho qui arrivent ça risque d'être moins romantique.


Utilisateur banni

05/12/2009 à 00h51

chiche!


Image odged8 - Eugenol
ploc

05/12/2009 à 00h55

le pb est que les cerams stratifiées,ils doivent perdre la main les prothos:80% de leurs ceram st demandées en monocouche pr abaisser le coût d'achat des CD qui collent aux tarifs imposés
(source:labos de prothèse )
les prothos intervenants,vs êtes d'accord avec cette analyse?
et si vs ns mettiez des photos de vos ceram: les monocouches et les autres?
après tout il ne suffit pas de critiquer,il faut montrer...