Cookie Consent byPrivacyPolicies.competit cas traité en CEREC - Eugenol

petit cas traité en CEREC

Utilisateur banni

05/12/2009 à 01h05

je suis tout à fait d'accord avec toi , le marché "mediocrise " notre travail, mais heureusement on a encore des praticiens désireux du beau travail qui n'hésitent pas à payer leur prothèse le prix qu'il faut pour qu'elle réponde à leurs attentes.
Je vous poste des photos de céram "mono" et "classiques" dès que possible, évidemment qu'il est très facile de critiquer mais là les photos du cerec sont criantes....dsl pour l'auteur praticien protho mais ça ne s'invente pas la céramique, ça s'apprend.


Avatar hjdsnm - Eugenol
TiGabi

05/12/2009 à 02h28

A la fac, on a rencontré François Duret qui a lancé la CFAO dentaire dans les années 70.

Il pense que dans le futur, les cabinets seront équipés de système de CFAO pour les petites pièces inlay/onlay ou provisoires.

Pour les couronnes et bridges, les empreintes optiques seront transmises aux labos de prothèse : les labos seront toujours plus à même de s'équiper dans de grosses machines de CFAO plus performantes que les petites machines que peuvent se payer un cabinet. Et les prothésistes seront toujours plus habiles pour les retouches, le maquillage et la finition des pièces qu'un dentiste.

Donc pour lui, le développement de la CFAO ne signifie pas que nous aurons moins besoin des prothésistes, ni même que leurs compétences doivent être tirées vers le bas : juste que les méthodes vont évoluer.


Smile beach jgh0a1 - Eugenol
Céramik

05/12/2009 à 03h17

TiGabi écrivait:
----------------
>>
> Il pense que dans le futur, les cabinets seront équipés de système de CFAO pour
> les petites pièces inlay/onlay ou provisoires.
>
> Pour les couronnes et bridges, les empreintes optiques seront transmises aux
> labos de prothèse : les labos seront toujours plus à même de s'équiper dans de
> grosses machines de CFAO plus performantes que les petites machines que peuvent
> se payer un cabinet. Et les prothésistes seront toujours plus habiles pour les
> retouches, le maquillage et la finition des pièces qu'un dentiste.
>



C'est pas dans le futur, c'est maintenant.
Caméra iTero, Cerec (ou bien D4D), labo. Tous est disponible.
Ps iTero, c'est super cool.




--
Céramik


3f3boxni50k58rq7e9ce9ddqrxgk - Eugenol
dentiste57

05/12/2009 à 07h58

ploc écrivait:
--------------
> le pb est que les cerams stratifiées,ils doivent perdre la main les prothos:80%
> de leurs ceram st demandées en monocouche pr abaisser le coût d'achat des CD qui
> collent aux tarifs imposés
> (source:labos de prothèse )
> les prothos intervenants,vs êtes d'accord avec cette analyse?
> et si vs ns mettiez des photos de vos ceram: les monocouches et les autres?
> après tout il ne suffit pas de critiquer,il faut montrer...

mais qui te parle de critiquer ?
je ne critique pas, je suis même très admiratif de ce genre de chose mais, j'aimerai savoir quel est le coût de ce travail.


Avatar hjdsnm - Eugenol
TiGabi

05/12/2009 à 09h58

Céramik écrivait:
-----------------
> C'est pas dans le futur, c'est maintenant.

Je sais... Ce que je voulais dire, c'est que pour lui les machines de CFAO dans nos cabinets resteront cantonnées à ces petites pièces. Pour les couronnes/bridges, un labo aura toujours plus de matériel et de compétence que nos cabinets.


87 ujotte - Eugenol
Spatouille

05/12/2009 à 12h00

whaooouuu, vous avez encore tiré tout plein de cartouche là, j'étais couché a ct'heure moi.....

bon alors en retard, je commence d'abord par préciser que Emma n'est pas remise en cause par ces commentaires, c'est très probablement quelqu'un de très consciencieux, la preuve, en plus du taf elle trouve du temps pour venir posté ici ....
simple précision pour adoucir les remarques ....

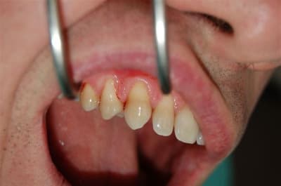
alors, merde !! c'est une provisoire la 36 ? je me suis fait eu ! tellement l'habitude de voir les avants/après sur une même planche photos que j'en ai tiré la conclusion que .....

je remet pas en cause non plus la qualité du Cerec qui est une bonne bécanne,(juste pas rentable en cabinet) regardez ce lien fournis par votre très estimé Céramik ....

http://www.daleydesign.com/CADStar/photogallery.php?gno=02&pno=1&gname=CEREC%20Percision%20in%20Fit&pmax=6

http://www.daleydesign.com/CADStar/videos.php

donc la qualité d'un boulot, fabriqué manuel ou usiné ne dépend que du savoir faire de l'opérateur ....
pour reprendre l'éxemple de Jeff2, on est artiste ou on ne l'est pas ! mais il faut quand même être - artiste+5 - pour être un bon prothésiste !! ;)))

savoir copier le mimétisme d'une central prend du temps et demande de connaitre son coffret céram .... et d'être bon aussi ..... j'aime bien l'analyse de Ploc .... avec le nombre d'éco ou de céram teintier que l'on fait , c'est dur d'avoir l'expérience qui convient .... donc des prix plus haut et une meilleure méthode (shémas teinte, photos ...) pour de la qualité, qui en veut ?.......

après pour les photos je veut bien mais vous allez nous reprocher de faire de la pub ! je sais pas faire en plus ....

voili voiloù ....

A+


Smile beach jgh0a1 - Eugenol
Céramik

05/12/2009 à 17h56

Spatouille écrivait:
--------------------
>
> je remet pas en cause non plus la qualité du Cerec qui est une bonne
> bécanne,(juste pas rentable en cabinet)



Pas rentable ? Et tu te bases sur quoi ?
C'est pas hors sujet ?
Ici on voit un joli travail fait par Emma.
Que tout ceux qui trouvent son travail pas top, place des photos de molaires céram (si ils en ont déjà fait bien sur...)

Allez, bon week-end
--
Céramik


87 ujotte - Eugenol
Spatouille

05/12/2009 à 18h24

Céramik écrivais :

--------------

>Pas rentable ? Et tu te bases sur quoi ?
>C'est pas hors sujet ?


sur ce que j'ai pus lire ici et là sur ce forum et d'autre .... et a commencer par cette simple manifestation du bon sens qui dit que le dentiste est plus rentable en faisant le dentiste !
je crois pas que ce soit hors sujet, ça fait partie du titre ...
je vois pas pourquoi poster des photos rendrais mes mots plus pertinents ..... j'ai simplement réagis en début de fil aux félicitations qui me semblaient très gentille au vue de la morpho ......
mais y a plus grave ...

bon week-end à toi

Spatouille


Marque a3 orange fyvhyq - Eugenol
Marc Apap

05/12/2009 à 19h14

J'acquiesse : à chacun son métier.
Je trouve infiniment plus confortable de déléguer la réalisation de la prothèse à mon prothésiste.
Déjà que faire des retouches et repolir celles qu'il me fabrique, ça me gonfle, alors maquiller une CEREC, la passer au four et le reste, ça ne me tente pas le moins du monde.
Pour la rentabilité, c'est évidement fonction du prix qu'on fait payer et du nombre de restaurations qu'on réalise.


Smile beach jgh0a1 - Eugenol
Céramik

05/12/2009 à 19h34

Marc Apap écrivait:
-------------------

> alors maquiller une CEREC, la passer au four et le reste, ça ne me tente pas le
> moins du monde.

Tout cela est déléguable...
une bonne AD peut le faire, tu vas poser un implant et tu reviens coller la chose ou les trucs si tu fais un cadrant.



--
Céramik


Marque a3 orange fyvhyq - Eugenol
Marc Apap

05/12/2009 à 19h43

Tu pourrais aussi me répondre que c'est bien d'avoir un labo avec un prothésiste au cab. Je trouverai ça plus logique et astucieux. Si tu as le potentiel, ça me semble être une meilleure solution.


Smile beach jgh0a1 - Eugenol
Céramik

05/12/2009 à 19h59

Marc Apap écrivait:
-------------------
> Tu pourrais aussi me répondre que c'est bien d'avoir un labo avec un prothésiste
> au cab. Je trouverai ça plus logique et astucieux. Si tu as le potentiel, ça me
> semble être une meilleure solution.

T'as pas besoin d'un labo avec un cerec et un four pour les trucs postérieurs simple et quadrant.
Si tu as un labo, c'est pour les gros trucs comme esthétique et arcade ou zircone, et là j'aime mieux avoir
2-3 labo avec chacun ses forces (un avec unité meulage Lava, l'autre pour les barres titane fraisées, l'autre pour des Empress stratifiées, etc.

--
Céramik


Marque a3 orange fyvhyq - Eugenol
Marc Apap

05/12/2009 à 20h06

Je suis bien d'accord. Bon, de toutes façons, si c'est pour déléguer à une assistante, faut encore qu'elle sache le faire. Tout est envisageable... en théorie.
Personnellement, c'est un truc qui ne me tente pas. Je voulais juste apporter mon point de vue à cette discussion.
Je n'ai rien contre ceux qui sont pour le CEREC, surtout s'ils travaillent bien et consciencieusement comme Emma.
Maintenant, si c'est pour faire de gros pâtés, comme les quelques uns que j'ai vus sur des patients, je n'en vois pas l'intérêt.


003 penrd2 - Eugenol
Cingulum

05/12/2009 à 20h12

malheureusement pour le CEREC on voit plus de paté que d'emma :(

--
Dr Cingulum
-----Ancien interné----
----Attaché à l'apex----


Image odged8 - Eugenol
ploc

05/12/2009 à 20h51

le cerec c'est un logiciel:comment fait on pr faire des patés?
que la ceram ne soit pas maquillée ou mal maquillée(avec les nouveaux plots il y a qd mme un dégradé de teinte),OK c'est possible(encore que sur une 6 ou une 7 est ce si grave hors notre satisfaction perso?)
mais rater les limites si l'empreinte est bien prise...
quant au temps de realisation du tracé,revu et corrigé(pas bc!:)) par emmma,j'ai du mettre 15/20 mn,
qq'un d'habitué met moins de 5 mn par element pr envoyer l'execution sur la machine
ceux qui se servent du cerec,ne feront pas UNE couronne mais couronne + onlays + inlays sur le mme patient
pr moi le cerec ne pose pas un pb de rentabilité mais un pb de remise en question de son organisation de travail et la volonté de l'utiliser en prothèse mais en OC egalement(finis les compos directs dès qu'ils st en cl II)
maintenant il faut aussi avoir envie de faire les etapes "prothèse" ou comme dit ceramik d'avoir qq'un pr déléguer(sirona organise des journées d'apprentissage à l'achat:on peut envisager d'emmener une AD dédiée à la confection des elements cerec)
quant aux applications et aux resultats c'est comme tout:on fait bien qd on se donne la peine et le temps de faire bien et on convainc qd on est convaincu


Logo vuaztn - Eugenol
mac

05/12/2009 à 21h22

ploc écrivait:
--------------

> pr moi le cerec ne pose pas un pb de rentabilité mais un pb de remise en
> question de son organisation de travail et la volonté de l'utiliser en prothèse
> mais en OC egalement(finis les compos directs dès qu'ils st en cl II)
>

le cerec fait des compos?


Grueavatar nptrc9 - Eugenol
Le Choixpeau magique

05/12/2009 à 21h47

mac écrivait:
-------------
> le cerec fait des compos?

Il fait tout du moment que ça permet de payer le leasing...


Image odged8 - Eugenol
ploc

06/12/2009 à 00h29

un inlay compo en indirect fait par le labo ou un inlay e-max fait par le cerec,dès lors que la cavité est assez importante et que l'on desire une restauration + perenne (8 ans pr les compos faits en bouche d'après qqes etudes),quelle difference pr le patient?
C'est tjours SC 17 + ED
sans rentrer ds la querelle inly-onlay compo ou inlay onlay ceram,chacun ayant ses supporters ou ses detracteurs


Grueavatar nptrc9 - Eugenol
Le Choixpeau magique

06/12/2009 à 01h13

Je dévie un peu Ploc, mais il n'y a aucune étude qui ait réussi à prouver que les compos indirects ont un meilleur pronostic que les directs.
Pour les inlay/onlay cerec, pourquoi pas, mais c'est vrai que les possesseurs de la machine ont naturellement tendance à avoir la main lourde et à voir des indications partout (ce qui n'est pas super pour l'économie tissulaire, tu en conviendras).


Logo vuaztn - Eugenol
mac

06/12/2009 à 09h59

ploc écrivait:
--------------
> un inlay compo en indirect fait par le labo ou un inlay e-max fait par le
> cerec,dès lors que la cavité est assez importante et que l'on desire une
> restauration + perenne (8 ans pr les compos faits en bouche d'après qqes
> etudes)


8 ans pour les compos directs, tu peux filer les références pour les études, merci.

combien pour les inlays cerecs?


Grueavatar nptrc9 - Eugenol
Le Choixpeau magique

06/12/2009 à 13h05

Un début de réponse:
http://www.has-sante.fr/portail/jcms/c_865156/restauration-dentaire-par-materiau-incruste-inlay-onlay


Zoe   son arriv e whwqpj - Eugenol
emma

07/12/2009 à 11h55

tout d'abord merci pour tous vos commentaires, je voulais faire parler du CEREC, voilà qui est fait;);)

pour ceramik, travaillant en Organisation Spaciale de la Bouche, OSB lorsque je dois transformer l'occlusion, je fais mes emp optiques en bouche, puis je réalise en différé mes couronnes, pour une question d'organisation, et pour visualiser correctement mes réalisations, je fais une emp imprégum des préparations.

pour les protos, j'attends de voir leurs réalisations en bouche et alors si leur travail est satisfaisant, je serais très intéressée pour mes travaux de prothèse globale, ne trouvant pas, dans ma région, un proto qui travail bien REGULIEREMENT.

Pour l'avenir, les emp optiques seront le nec, car elles élimineront tous les problèmes liés aux matériaux d'emp et aux coulées en plâtre.

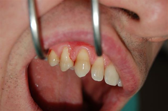
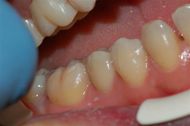
pour terminer, je poste 2 photos de CEREC en bouche, à vous de dire sur quelles dents.



--
Emma

055 weszh5 - Eugenol
Dsc 0012 feqbs5 - Eugenol

1 p3qrc4 - Eugenol
Bjc.

07/12/2009 à 12h34

45 et 14 ?

du beau boulot car les photos ne pardonnent rien



S2y2o1v7q53ws4r5wy6ou8czrpom - Eugenol
pxav

07/12/2009 à 13h34

Bjc. écrivait:
--------------
> 45 et 14 ?
+1
quelles que soit les dents, si il ne s'agit pas de maquillage de surface, c'est remarquable au niveau du rendu de teinte
même si une hirondelle...
je trouve surtout très sympa ta logique de travail, nous sommes tous imparfaits, mais tendre vers le mieux c'est super, merci de nous faire partager ton enthousiasme. :-))

--
xbk


Smile beach jgh0a1 - Eugenol
Céramik

07/12/2009 à 13h41

emma écrivait:
--------------
>
> Pour l'avenir, les emp optiques seront le nec, car elles élimineront tous les
> problèmes liés aux matériaux d'emp et aux coulées en plâtre.



+1, les modèles usinés avec le système i-Tero sont tout simplement incroyables.

http://www.cadentinc.com/itero/itero.php?section=professional


--
Céramik