Cookie Consent byPrivacyPolicies.comextraction / implantation ? - Eugenol

extraction / implantation ?

19066 1223810679128 1344811835 30546764 2261510 n medium ozxaxj - Eugenol
vitalic

06/01/2010 à 16h24

J'ai pas encore le scan
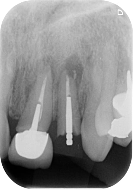
La corticale vestibulaire est présente sauf en regard de la lésion
L'occlusion est en classe I
Est ce que c'est raisonnable de faire une implantaion immédiate le jour de l'extraction avec un bon curetage de la lésion ?

02855 x 00000174 3 ikbw1k - Eugenol

Wolford hm5yx3 - Eugenol
Doc lyonnaise

06/01/2010 à 16h36

raisonnable, non, mais pas sûr que ça t'arrive de raisonner...je dis ça je dis rien!


vincent64

06/01/2010 à 16h37

T'as beaucoup de hauteur d'os au dessus de ta lesion, alors...pourquoi pas si t'es bon en largeur, et que tu garde des tissus mous en bon etats.
Sur le cas en bas, implantation en mai, couronne posée aujourd'hui.Il y avait un apex residuel avec un petit granulome.

001 j1xxvj - Eugenol
Dsc 0028 g6o2sj - Eugenol
Dsc 0031 sydi9c - Eugenol

Wolford hm5yx3 - Eugenol
Doc lyonnaise

06/01/2010 à 16h42

vincent64 faut savoir, t'es endo exclu, t'es implanto, t'es Marc Apap, t'es qui toi? :-))


vincent64

06/01/2010 à 16h57

AHAHAH,je suis demasqué damned...


Humator t9r5wy - Eugenol
humator

06/01/2010 à 17h27

pour moi, en 2 fois sur ce coup...

--
N.Hum


Scan10030 ukikhq - Eugenol
vava

06/01/2010 à 19h07

Doc lyonnaise écrivait:
-----------------------
> vincent64 faut savoir, t'es endo exclu, t'es implanto, t'es Marc Apap, t'es qui
> toi? :-))

déjà que nonol est un peu désert si en + tu les enguirglande!!


P1010130 jpci1f - Eugenol
MarcB6

06/01/2010 à 19h16

vitalic écrivait:
-----------------
> J'ai pas encore le scan
> La corticale vestibulaire est présente sauf en regard de la lésion
> L'occlusion est en classe I
> Est ce que c'est raisonnable de faire une implantaion immédiate le jour de
> l'extraction avec un bon curetage de la lésion ?

Tu peux envisager l'extraction implantation en curetant bien mais fais bien attention tu as apparamment aussi une lésion sur la dent adjacente.
Tu pourrais avoir un échec à cause de cette lésion que tu n'aura pas traitée et non pas à cause de ton extraction implantation.
Prudence ...

Cordialement

--
marcB6


vincent64

06/01/2010 à 20h02

vava écrivait:
--------------
> Doc lyonnaise écrivait:
> -----------------------
> > vincent64 faut savoir, t'es endo exclu, t'es implanto, t'es Marc Apap, t'es
> qui
> > toi? :-))
>
> déjà que nonol est un peu désert si en + tu les enguirglande!!
si c'est un" enguirlandage" c'est soft ;)


S2y2o1v7q53ws4r5wy6ou8czrpom - Eugenol
pxav

06/01/2010 à 20h50

MarcB6 écrivait:
----------------
> vitalic écrivait:
> -----------------

> Tu peux envisager l'extraction implantation en curetant bien mais fais bien
> attention tu as apparamment aussi une lésion sur la dent adjacente.
> Tu pourrais avoir un échec à cause de cette lésion que tu n'aura pas traitée et
> non pas à cause de ton extraction implantation.
> Prudence ...
>
> Cordialement
>
> --
> marcB6

+1
endo avant implantation et pourquoi pas endo extract puis à distance (6 sem.) tu implante (assez long car tu as de l'os

--
xbk


Wolford hm5yx3 - Eugenol
Doc lyonnaise

06/01/2010 à 21h21

pxav écrivait:
--------------
tu implante assez long...

bon j'ai toujours pas compris, c'est une question de longueur ou d'épaisseur finalement les mecs? ;-))))


Casque beotien a3jo39 - Eugenol
beotien

06/01/2010 à 21h33

DL disait:
bon j'ai toujours pas compris, c'est une question de longueur ou d'épaisseur finalement les mecs? ;


de précipitation dans ce cas mais si il y a plaisir pourquoi pas
perso dépose de la c retraitement ex° 22 et provisoire
et plantage un mois après


S2y2o1v7q53ws4r5wy6ou8czrpom - Eugenol
pxav

06/01/2010 à 22h20

Doc lyonnaise écrivait:
-----------------------
> pxav écrivait:
> --------------
> tu implante assez long...
>
> bon j'ai toujours pas compris, c'est une question de longueur ou d'épaisseur
> finalement les mecs? ;-))))

t'es la meilleure docl, chaque fois que tu post, je rêve....:-))

--
xbk


Wolford hm5yx3 - Eugenol
Doc lyonnaise

06/01/2010 à 22h26

pxav écrivait:
--------------
> t'es la meilleure docl, chaque fois que tu post, je rêve....:-))

i know, dis moi quelque chose que je ne sais pas ;-))


Casque beotien a3jo39 - Eugenol
beotien

06/01/2010 à 23h09

Doc lyonnaise écrivait:
-----------------------
> pxav écrivait:
> --------------
> > t'es la meilleure docl, chaque fois que tu post, je rêve....:-))
>
> i know, dis moi quelque chose que je ne sais pas ;-))


moi je sais mais je lui dirais pas


3f3boxni50k58rq7e9ce9ddqrxgk - Eugenol
dentiste57

06/01/2010 à 23h58

pxav écrivait:
--------------
>
> t'es la meilleure docl, chaque fois que tu post, je rêve....:-))
>
> --
> xbk
>

je te rappelle que t'es marié !


S2y2o1v7q53ws4r5wy6ou8czrpom - Eugenol
pxav

06/01/2010 à 23h58

Doc lyonnaise écrivait:
-----------------------
> pxav écrivait:
> --------------
> > t'es la meilleure docl, chaque fois que tu post, je rêve....:-))
>
> i know, dis moi quelque chose que je ne sais pas ;-))

je ne sais pas ce que tu ne sais pas, je rêve.
et puis si je le sais, je n'en parlerais pas, sinon ....:-))
--
xbk


Wolford hm5yx3 - Eugenol
Doc lyonnaise

07/01/2010 à 00h43

dentiste57 écrivait:
--------------------
> je te rappelle que t'es marié !

ben oué, mais on sait jamais, sur un malentendu... ;-))))


S2y2o1v7q53ws4r5wy6ou8czrpom - Eugenol
pxav

07/01/2010 à 09h03

Doc lyonnaise écrivait:
-----------------------
> dentiste57 écrivait:
> --------------------
> > je te rappelle que t'es marié !
>
> ben oué, mais on sait jamais, sur un malentendu... ;-))))

je te rappelle que toi aussi D57 (ce qui bien sur prive toutes tes soupirantes du moindre espoir) ;-))) foiré va!
d'un autre coté (non pas ça) le mariage n'interdit pas le rêve, et ça c'est sympa.;.

--
xbk


nolive

07/01/2010 à 09h59

Cette conversation ne me regarde pas mais j'ai un petit proverbe pour illustrer vos propos:

"Ce n'est pas parce qu'on est au régime, qu'on n'a pas le droit de regarder le menu..."


vincent64

07/01/2010 à 10h10

nolive écrivait:
----------------
> Cette conversation ne me regarde pas mais j'ai un petit proverbe pour illustrer
> vos propos:
>
> "Ce n'est pas parce qu'on est au régime, qu'on n'a pas le droit de regarder le
> menu..."
La classe!


P1010130 jpci1f - Eugenol
MarcB6

07/01/2010 à 10h59

Bonjour tout le monde,

je reviens sur le cas,

désolé d'interrompre vos rêves... Pxav, D57, DL ...

Perso je déposerai la couronne et tenterai un retraitement,
si c'est ok j'attendrai 5/6 semaines puis extraction implantation,
ou alors endo puis dans la même séance extraction et implant 6 semaines plus tard.

si endo pas ok, je déciderai d'extraire les 2 dents;
et implantation immédiate si tu maîtrise la technique exo implantation,
sinon extraction et implants 6 semaines plus tard.

Les 2 techniques fonctionnent très bien, après c'est juste un gain de temps pour toi et ton patient et une réduction des chirurgies.

Cordialement
--
marcB6


Casque beotien a3jo39 - Eugenol
beotien

07/01/2010 à 11h23

MarcB6 écrivait:
----------------

> Perso je déposerai la couronne et tenterai un retraitement,
> si c'est ok j'attendrai 5/6 semaines puis extraction implantation,
> ou alors endo puis dans la même séance extraction et implant 6 semaines plus
> tard.
>
> si endo pas ok, je déciderai d'extraire les 2 dents;
> et implantation immédiate si tu maîtrise la technique exo implantation,
> sinon extraction et implants 6 semaines plus tard.
>
> Les 2 techniques fonctionnent très bien, après c'est juste un gain de temps pour
> toi et ton patient et une réduction des chirurgies.
>

Salut l'ami
je disais moi avant que les gamins s'amusent

"perso dépose de la c retraitement ex° 22, provisoire
et plantage un mois après"

c'est pareil en moins bien écrit, je te le concède volontiers. En première intention pas d'implantation immédiate si je tente le retraitement, mais je fais préparer la salle de chir et un provisoire de 2 dents
on ne sait jamais!










dov

07/01/2010 à 12h39

Salut Marc B6

Tu peux preciser:...ou alors endo et dans la meme seance extraction et implant 6 semaines plus tard

Merci


P1010130 jpci1f - Eugenol
MarcB6

07/01/2010 à 13h55

dov écrivait:
-------------
> Salut Marc B6
>
> Tu peux preciser:...ou alors endo et dans la meme seance extraction et implant 6
> semaines plus tard
>
> Merci

Bonjour Dov, bonjour Béotien et bonne année à vous et tous les eugénoliens.

Peut être n'ai je pas été clair.
En fait si le retraitement se passe bien, bonne perméabilité canalaire et obturation étanche, tu peux extraire la dent non conservable dans la même séance.
Et implanter 6 semaines plus tard.

Si le retraitement ne se passe pas bien, envisager l'extraction et l'implantation des 2 dents en même temps dans une séance ultérieure.

Concernant la remarque de Béotien, pas d'extraction implantation après le traitement canalaire car la lésion n'est pas guérie, il faut attendre min 6 semaines avant d'implanter pour éviter de perdre l'implant.

--
marcB6