Tous les forums
comblement alvéolaire après extraction avant implant
14/01/2010 à 19h23
Comment et avec quoi comblez vous ( pour ceux qui font ) les alvéoles d'extraction dans un but de preservation de crête. Perso , j'ai essayé PRF sur une dizaine de cas : autant pisser dans un violon! Os allogène: pas mal mais il faut attendre au moins 6 mois . Qui est plus informé ? merci pour vos réponses.
14/01/2010 à 19h35
au final après 6 mois la nature fait un très bon travail toute seule si l'avulsion n'as pas endommagée la table osseuse
14/01/2010 à 20h00
alapex écrivait:
----------------
> Les prf marchent bien , avec une séance d'ostéo tension 45 j avant implanto .
tu peux développer stp.
14/01/2010 à 21h56
vava écrivait:
--------------
> au final après 6 mois la nature fait un très bon travail toute seule si
> l'avulsion n'as pas endommagée la table osseuse
d'accord avec vava!
je dirais même après 2-3 mois
sur le peu d'expérience que j'ai, je trouve souvent la cicatrisation plus jolie, quand tout se fait naturellement. il me semble avoir plus de suites infectieuses, lorsque je mets du comblement (que du b-TCP jusqu'à là).
Ce n'est pas evidence based et peut-être que certains diront, mais c'est parce que tu t'es curé le nez avant....
Mais je serais curieux de comparer le risque de complication infectieuses suite à la mise en place d'un comblement, quel qu'il soit, à la cicatrisation dans une étude bien faite. J'ai un conférencier de renom qui en a parlé, mais je n'ai pas noté la référence, bien évidemment.
je suis tout a fait d'accord sur principe de comblement lorsqu'il y a défaut, mais quand l'extraction se passe bien et la table osseuse est préservé....je préfère m'en passer.
c'est pas les labos qui vont dire ça, c'est sur!!!!
14/01/2010 à 22h36
alapex écrivait:
----------------
> mp
Vraiment dommage de nous priver de ta science !!!!!! Et surtout merci pour l'amour du partage. Alors ou c'est une découverte importante mais "privéé" ou alors tu as peur de froler le ridicule.
14/01/2010 à 22h38
Après avoir essayé divers produit, j'aime mettre du PANGEN tout simplement quand il n'y a pas trop de dégâts osseux parfois avec un surgicel dessus. S
Sinon si la fermeture étanche est possible, que le site est sain et que les dégâts osseux sont importants, Bio oss et membrane. Mais c'est rarement le cas, sinon autant mettre l'implant directement si la stab est possible.
Je me souviens d'une étude sur le porc:
trépan sur le front pour enlever du nonos et comblement avec βTCP, Bio oss, billes de verre, et PANGEN.
Sacrifice des animaux et réouverture à ?? mois (2,3 ou plus je ne sais plus trop). Le meilleurs résultat obtenu était avec du PANGEN.
En plus c'est pas cher.....
Idem aplati sous les soulevés de sinus pour protéger d'une éventuelle déchirure et même parfois sur la fenêtre vest. quand il y a pas un comblement trop important.
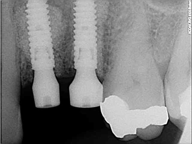
Dernièrement je suis retourné sur une alvéole de 6 sup comblé au cône RTR 2 mois avant:
En palatin c'était bon mais en mésio vest. c'était fibrosé. En curetant j'ai fait une CBS et du
coup en réalisant mon sinus lift j'ai vu la perf.
Heureusement la membrane était solide et la déchirure est resté minime.
J'ai comblé le sinus et l'alvéole au Bio-oss et mis mes implants 16-17.
--
;O)
14/01/2010 à 22h44
mac écrivait:
-------------
> http://www.sfparo.org/particles.php?id=32
-------------
Merci pour ce lien .
14/01/2010 à 23h05
perso c'est un petit morceau de metrogen à l'entrée de l'alvéole dès qu'elle est bien remplie par le sang et petites sutures pour tracter les berges un peu au-dessus du metrogen.
sinon, sang et punch gingival suturé.
et parfois, juste le caillot sanguin.
Si la corticale est vraiment très fine je met du bio-oss qui a l'avantage d'être très peu résorbable et donc de bien maintenir l'espace (mais comme le dit charleston, faut alors attendre au moins 6 mois)
il faut absolument maintenir et protéger le caillot sanguin.
l'ennemi c'est l'alvéolite.
@+
14/01/2010 à 23h16
perso suture systématique et pangen si saignement
j'ai pas encore trouvé le produit qui fonctionne à 95%
existe t'il?
si possible comme chicot implant immédiat, mais les ex° ne sont pas toujours "préimplantoprogrammées"
14/01/2010 à 23h24
merci à tous , je vois qu'il n'y a rien de nouveau, je vais essayer pangen mais la résorption n'est complète qu'à 8 semaines. Ce qui est pas mal finalement. quelqu'un ferme t-il les alvéoles avec un prélèvement epithelio-conjonctif et quoi à l'intérieur ?
15/01/2010 à 00h10
enfin un poste interessant !
j' ai du utiliser des tas et des tas de saloperie de matériaux de comblement après extraction et finalement, je suis comme vous, pas vraiment convaincu de l'efficacité...
dans l'ordre (pour moi en tous cas)
le Graftec (TBR): vraiment pas top! les granules sont trop fines et ne se résorbent que très mal.
le RTR (septodont): c'est ce que j'ai utilisé le plus ces deux dernières années à cause du prix
le SBS 60/40 ( ???) semble un peu mieux que le RTR
le bio Os (gleistich) : finalement semble avoir la bonne granulométrie et bon résultats pour les extractions mais beaucoup trop cher pour cette utilisation.
l'os parcellaire (bibi) : parfois des copeaux qui sont expulsés...
j'essaie depuis peu le Vital os : à ne pas utiliser pour les extractions mais pour les sinus et bone spliting.
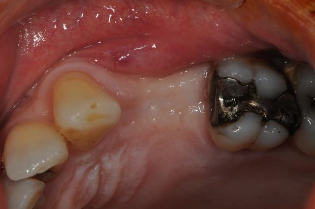
tiens voici des photos de ce matin...
patient avec kyste +++ aux apex et fenestration
je n'implante pas
je comble au Graftec
je met une membrane
je referme
8 mois après,
je vais implanter
comme je suis curieux, j'ouvre large et je regarde;
c'est décevant,le volume est là mais l'os n'est pas génial.
bon, ce sera demain pour les photos! j'ai oublié mon disque dur au cabinet...
bonne nuit à tous.
15/01/2010 à 00h33
dentiste57 écrivait:
--------------------
> bon, ce sera demain pour les photos! j'ai oublié mon disque dure au cabinet...
> bonne nuit à tous.
dur dure...;-))
un peu comme toi pour les résultats...le bio-oss semble le mieux...mais çà coûte...
y a un truc par contre que j'essayerais bien...je vous donne les infos demain...j'ai la plaquette au cab...
15/01/2010 à 02h07
Selon ma petite expérience...
1-Bioplant HTR : à éviter
2-Bio-Os bof, ne se transdorme pas en vrai os...
3-Auto greffe très bon résultat (tréphine) mais 2 sites.
4-Mineros :mon 1er choix (os humain, particules,50:50 cortical et spongieux, minéralisé)
Succès incroyable, os dense, vascularisé.
Pour le prix, bof, c'est pas moi qui paye, c'est le patient.
100 euro de plus sur un tx implanto, c'est pas cela qui change quelque chose.
A+
--
Céramik
15/01/2010 à 08h50
il y a aussi les granules Biobank qui sont pas mal
http://www.biobank.fr/dentaire.php
15/01/2010 à 10h07
growler écrivait:
-----------------
> il y a aussi les granules Biobank qui sont pas mal
> http://www.biobank.fr/dentaire.php
cermik
4-Mineros :mon 1er choix (os humain, particules,50:50 cortical et spongieux, minéralisé)
Succès incroyable, os dense, vascularisé.
Vraiment interessant ce sujet, car la plus grande partie des échec implanto se situe là , enfin pour moi, et on va y revenir...;
l'os humain comme en 1981 avant les interdictions en france
15/01/2010 à 14h56
voilà pour les photos...
pendant que je forais, et le patient le sentait également, je sentais et entendais les particules de graftec.
en plus au bout de 8 mois j'aurai espéré trouver quelque chose de mieux non ?
15/01/2010 à 15h13
growler écrivait:
-----------------
> il y a aussi les granules Biobank qui sont pas mal
> http://www.biobank.fr/dentaire.php
Salut Growler,
Ton lien montre de l'os en particules, mais spongieux seulement. J'ai utilisé du PUROS de Zimmer pendant près de 2 ans. Ça va bien en général, mais le mieux était d'ajouter des particules de corticales, ainsi avoir un volume plus stable.
Le Mineros (et quelques autres comme Alloss), avec
le ratio 50-50 corticales-spongieux, la tailles des particules (de 0.25 à 1.5 mm), la présence de la portion minéral, donne un succès très prévisible.
Misch , Pikos ont fait des études (carotte d'os + histologie dans des cas in-vivo).
J'ai bcp de succès avec ce produit.
Protocole cas simple
Exo+Mineros
2-3 mois
Implant
Cas complexe
Exo+mineros+membranne+tacs
4-5 mois
implants
J'utilise aussi pour sinus lift, mélangé avec 25% de Bio-Os (technique Pikos). Le Bio-Os maintient un meilleur volume, car non résorbable.
Désolé si ces produits ne sont pas disponible chez vous...
--
Céramik
15/01/2010 à 15h45
Céramik écrivait:
-----------------
> Désolé si ces produits ne sont pas disponible chez vous...
oui mais nous on a le "principe de précaution" et si on essayait une dose de vaccin ? il parait qu'il y a du stock
15/01/2010 à 16h19
D57,
Question d'un neophyte en implantologie : dans le cas d'implantation en 1 temps chirurgical , pourquoi n'utlises tu pas d'implant monobloc ? probleme d'esthétique,de cicatrisation ou autre ?
15/01/2010 à 17h16
bon, retrouvé la plaquette...c'est le "matri bone" qui est une sorte d'éponge hémostatique de collagène avec particules d'hydroxyapatite et de TCP...
avantages:
prix...
se manipule comme une éponge...
après reste à voir si çà marche bien...
15/01/2010 à 17h29
après lecture de ce fil, j'ai l'impression que le prix est le premier critère de décision, ça devrait pas être le résultat plutôt ?
si on me demande en tant que patient de choisir entre 2 bio-matériaux, un qui marche et l'autre beaucoup moins bien, je choisis celui qui marche même si ça coute 50 € de plus.