Cookie Consent byPrivacyPolicies.comAppel aux spécialistes des greffes, que faire? - Eugenol

Appel aux spécialistes des greffes, que faire?

Img 0812 mvp6i0 - Eugenol
jeamba

18/02/2010 à 15h04

Clio écrivait:
--------------
> bonjour,
> personnellement j'utilise Bio-Oss et Puros.
> Pour les sinus Bio-Oss 1-2mm
> Pour les alvéoles d'extraction Bio-Oss 0.5, ou puros.
> Aucun soucis pour les sinus, pour les alvéoles d'extractions,on retrouve un os
> peu dense (D3/D4)avec Bio-oss à 6 mois mais utilisable, et un os un peu plus
> consistant ( mais moins de recul pour moi) avec Puros.
> Mais dans le cas que tu présente, je pense que l'indication de régénération avec
> particules n'etait pas la bonne; en effet il semblerait que tu ais voulu faire
> de la régénération pour un défaut à 1 mur, et dans ce cas là il vaut mieux faire
> une greffe en onlay avec de l'os autogène en bloc , le resultat est plus
> prédictible .

Clio, quelle est ta méthode de reconstruction d'une paroi vestibulaire ( en "V" ) détruite aprés extraction ou suite à un trauma. Est elle la même exposée par dentiste 57 et Growler? merci de nous faire partager ton expérience.
>


Logocolornotext kiwlk1 - Eugenol
Clio

18/02/2010 à 15h19

J'utilise simplant pour la planification et définir le positionnement idéal de mon implant /projet prothétique.
Si le manque osseux en vestibulaire de mon futur implant dépasse la moitié du diamètre du dit futur implant, j'opte pour une greffe d'apposition, car je n'espère pas gagner plus de 3.5mm ( Rayon de l'implant + 1.5 mm)en largeur avec une régénération pré ou per implantaire.
Je n'ais aucune expérience sur l'expansion de crête, que je ne pratique pas par peur des contraintes osseuses , mais je sais que certains la pratique avec,semble t'il succés.


S2y2o1v7q53ws4r5wy6ou8czrpom - Eugenol
pxav

18/02/2010 à 18h21

Clio écrivait:
--------------

> Je n'ais aucune expérience sur l'expansion de crête, que je ne pratique pas par
> peur des contraintes osseuses , mais je sais que certains la pratique avec,semble t'il succés.

et oui, des fois ça marche, des fois ça marche pas...:-))
--
xbk


S2y2o1v7q53ws4r5wy6ou8czrpom - Eugenol
pxav

04/03/2010 à 21h43

demain réponse au problème, le confrère vient avec la patiente, et nous verrons, bouillie ou pas ?
photos sur nonol si nous pouvons


--
xbk


S2y2o1v7q53ws4r5wy6ou8czrpom - Eugenol
pxav

06/03/2010 à 00h15

bon et bien ça c'est fait!
curetage (deux bonnes heures) dépose des deux vis d'ostéo et de l'implant en 16, nettoyage implant en 14/15 (axe un peu limite pour cause structure osseuse) et 17.
Vitalos
on croise les doigts.
--
xbk

100 7856 smjzty - Eugenol
100 7860 cwo97n - Eugenol
100 7867 ckcws2 - Eugenol
100 7870 sauzei - Eugenol
100 7878 fwifnt - Eugenol
100 7894 gkbgdv - Eugenol
100 7901 uhtp5p - Eugenol

3f3boxni50k58rq7e9ce9ddqrxgk - Eugenol
dentiste57

06/03/2010 à 09h16

super !


Scan10030 ukikhq - Eugenol
vava

06/03/2010 à 09h25

super ++
placer un implant en 14/15 est une contrainte anatomique ou un choix ?
pour les photos un reproche montrer l'utilisation du vitalos de façon magistrale mériterait de tourner la seringue


S2y2o1v7q53ws4r5wy6ou8czrpom - Eugenol
pxav

06/03/2010 à 11h08

vava écrivait:
--------------
> super ++
> placer un implant en 14/15 est une contrainte anatomique ou un choix ?

un choix dicté par les contrainte anatomique...
le greffon placé il y a 6 mois (grosse corticale) était dans le "vide" au niveau de 14, et il m'aurait fallu le piezzo éventuellement (il n'était pas installé, pour cette chir) pour "percer" la corticale sans pression, car à la fraise, je sentais le bloc plier, et nous avons préférés (avec le confrère) tenter un compromis pour la prothèse qui ne sera pas catastrophique et devrait permettre à la patient (qui a déjà subie 2 greffes, menton et ramique, avec un souvenir sympa du menton d'ailleurs)d'avoir une reconstruction fixe.

> pour les photos un reproche montrer l'utilisation du vitalos de façon magistrale mériterait de tourner la seringue.

je ne sais pas si le vitalos permettra de rattraper ce cas là, mais vu tous les soucis que nous avons rencontrés pour le nettoyage (biooss infiltré dans la muqueuse de partout, j'ai du "virer" 60% du périoste et honnêtement je ne savais pas trop comment faire un "abri" de reconstruction pour l'os et l"environnement tissulaire, de façon simple.
j'avoue que j'ai une préférence, (pas encore une addiction mais presque) pour le vitalos, ou tout produit facile à appliquer, avec des précautions bien sur, et dont les résultats sont prédictibles, si il n'y a pas d'erreur à la pose, et que lors des sutures il n'y a pas de "chocs" parasitant la prise du matériaux.


photos montrant le hiatus greffe/os et pose avec vitalos à la fin
--
xbk

002 j180tx - Eugenol
003 ikx6lp - Eugenol
013 mxfes2 - Eugenol
014 z6rhyt - Eugenol
015 bzkged - Eugenol

S2y2o1v7q53ws4r5wy6ou8czrpom - Eugenol
pxav

06/03/2010 à 15h42

.

--
xbk


Synthetic6040

09/02/2011 à 11h28

Bjr Growler,
quel recul avez vous avec le Bioactys? et depuis combien de temps l'utilisez vous?


Blason dql7mj - Eugenol
growler

09/02/2011 à 12h24

seulement 2 ans et demi de recul sur 14 sinus et quelques ROG. Pas d'échec à ce jour.
C'est peu pour s'en faire une idée objective.


SAMIRA

10/02/2011 à 18h22

dentiste57 écrivait:
--------------------
> Canin écrivait:
> ---------------
> > Et avec les membranes titanes, pas trop d'exposition ???
>
> ça m'arrive parfois, mais ça n'a aucune incidence sur le résultat. il suffit
> simplement de couper les petits morceaux de membranes parce qu'ils se comportent
> comme des lames de rasoir.
> >
> > Vous utilisez l'Algipore ? Des résultats intéressants ??
> >
>
> moi, non.
> d'après le commercial de densply, il parait même que c'est une merde...
>
>
> > J'utilise un peu Bio-oos pour des cas simples pour reconstruire des reliefs
> > vestibulaires, jusque là mais pas pour des réentrées.
> >
> > Cela dit je fréquente quelques implanto exclusifs qui utilisent Bio-oss depuis
> > près de 15 ans pour ROG et sinus avec succès.
> >
> j'ai laisser tomber le bio-os pendant longtemps à cause du prix, j'y reviens
> doucement...

tu n'as rien perdu,parceque les chirurgiens maxilofacial n'aiment pas du tout le voir trainer au niveau de la face.


flicflac

11/02/2011 à 05h04

Le forum: SINUS LIFT de Rhysalyse... problème de même type en élévation sinusale... bio-oss et bio-guide...???


flicflac

11/02/2011 à 05h07

est-ce que certain utilise antibio mélanger au greffon...
moi de routine ampicilline avec greffon (mineross ou puros) dans les cas d'élévation sinusale.


flicflac

11/02/2011 à 05h27

est-ce que certaines études histologiques sont disponibles avec Vitalos (TCPmachin), est-ce quIl y a un pourcentage de reformation osseus... en combien de temps...
Dans mon livre ces produit sont bons pour conserver volume...site de pontique mais pxva semble avoior de bons résultats avec implant et expansion... élévation sinusale???


Smile beach jgh0a1 - Eugenol
Céramik

11/02/2011 à 05h50

flicflac écrivait:
------------------
> est-ce que certaines études histologiques sont disponibles avec Vitalos
> (TCPmachin), est-ce quIl y a un pourcentage de reformation osseus... en combien
> de temps...
> Dans mon livre ces produit sont bons pour conserver volume...site de pontique
> mais pxva semble avoior de bons résultats avec implant et expansion... élévation
> sinusale???


Vitalos...n'existe plus...la boîte a stoppé la vente.

--
Céramik


Avatar ow44t3 - Eugenol
Chicot

11/02/2011 à 08h53

Céramik écrivait:
-----------------
> flicflac écrivait:
> ------------------
> > est-ce que certaines études histologiques sont disponibles avec Vitalos
> > (TCPmachin), est-ce quIl y a un pourcentage de reformation osseus... en
> combien
> > de temps...
> > Dans mon livre ces produit sont bons pour conserver volume...site de pontique
> > mais pxva semble avoior de bons résultats avec implant et expansion...
> élévation
> > sinusale???
>
>
> Vitalos...n'existe plus...la boîte a stoppé la vente.
>
> --
> Céramik


C'est vrai ou tu déconnes ?

Pxav dit nous la vrai Vérité

--
;O)


Casque beotien a3jo39 - Eugenol
beotien

11/02/2011 à 09h46

j'espère aussi que c'est une joke
j'en ai acheté qques boites fin novembre, j'avais fait remarqué a PXAV que le prix avait beaucoup augmenté

Le problème si cela est vrai serait surtout de connaitre la raison de l'arrêt


ad-hugo

11/02/2011 à 13h32

c'est quoi cette histoire d'arrêt du VitalOs???


Blason dql7mj - Eugenol
growler

12/02/2011 à 15h23

growler écrivait:
-----------------
> seulement 2 ans et demi de recul sur 14 sinus et quelques ROG. Pas d'échec à ce
> jour.
> C'est peu pour s'en faire une idée objective.
>


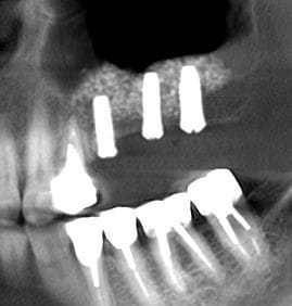
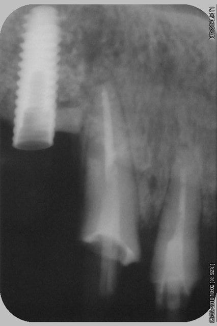
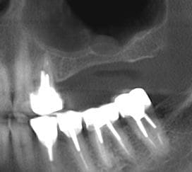
pour illustrer cette utilisation du bioactys, voici un cas (ce matin, mise en focntion des implants à 7 mois post_op)

la chir est résumée en vidéo ici:

Pr  op g1xjdt - Eugenol
Coupes pr  op inlfb8 - Eugenol
Pano 7 mois cesxkm - Eugenol
Coupes 7mois xm3rpt - Eugenol

Smile beach jgh0a1 - Eugenol
Céramik

12/02/2011 à 16h51

Chicot écrivait:
----------------
> > >
> > Vitalos...n'existe plus...la boîte a stoppé la vente.
> >
> > --
> > Céramik
>
>
> C'est vrai ou tu déconnes ?
>
> Pxav dit nous la vrai Vérité
>
> --
> ;O)


C'est Xavier qui nous l a dit durant la formation à Sallanche...


Video super Growly

C'est quoi les implants?

C'était un peu limite non pour la pose immédiate, faible hauteur osseuse initiale.

Tu fas une mise en charge progressive ?


--
Céramik


Photo pluton1b h9n4ea - Eugenol
pluton

12/02/2011 à 18h05

Céramik écrivait:
-----------------

> Video super Growly
>
> C'est quoi les implants?
>
> C'était un peu limite non pour la pose immédiate, faible hauteur osseuse
> initiale.
>
> Tu fas une mise en charge progressive ?
>
>
> --
> Céramik

+1, belle vidéo

pour la pose immédiate, çà dépend aussi du type d'implant utilisé...ici c'est des superline dentium...;-)
ils ont vraiment une super stab primaire, et leur design est parfait pour les zones sous sinusienne...entre autre....parce que pour l'instant, mis à part le manque d'un repère visible sur le préhenseur de la position de l'hex antirotationnel, j'ai pas encore trouvé de défaut au système...


Smile beach jgh0a1 - Eugenol
Céramik

12/02/2011 à 18h36

pluton écrivait:
----------------
> >
> > --
> > Céramik
>
> +1, belle vidéo
>
> pour la pose immédiate, çà dépend aussi du type d'implant utilisé...ici c'est
> des superline dentium...;-)
> ils ont vraiment une super stab primaire, et leur design est parfait pour les
> zones sous sinusienne...entre autre....parce que pour l'instant, mis à part le
> manque d'un repère visible sur le préhenseur de la position de l'hex
> antirotationnel, j'ai pas encore trouvé de défaut au système...



C'est quoi l'état de surface ?
l'implant semble "blanc", couche de H.a ?
Sur le site web il parle de SLA, comme Straumann ?

--
Céramik


Blason dql7mj - Eugenol
growler

12/02/2011 à 19h00

ici c'est un mix (pour un impératif perso): en 25 un easy-implant master s puis 2 dentium superline.

Le easy c'est du sablé au corindon et les dentium sablés-mordancés SLA http://www.dentogem.com/viewpage.php?pageid=48


j'ai donc procédé à la mise en fonction ce matin, 7 mois après l'intervention. Mise en place de piliers de cicatrisation assez hautes et surtout de diamètres en adéquation avec une PM et 2M. je prends l'empreinte dans 3 semaines , la gencive sera belle autour des piliers.

je vous mettrai les photos finish.

@+


3f3boxni50k58rq7e9ce9ddqrxgk - Eugenol
dentiste57

13/02/2011 à 11h30

growler écrivait:
-----------------
> growler écrivait:
> -----------------
> > seulement 2 ans et demi de recul sur 14 sinus et quelques ROG. Pas d'échec à
> ce
> > jour.
> > C'est peu pour s'en faire une idée objective.
> >
>
>
> pour illustrer cette utilisation du bioactys, voici un cas (ce matin, mise en
> focntion des implants à 7 mois post_op)
>
> la chir est résumée en vidéo ici:
>

chouette !...


12