Cookie Consent byPrivacyPolicies.common 1° cas complexe et ce que j’ai appris sur ce cas : - Eugenol

mon 1° cas complexe et ce que j’ai appris sur ce cas :

1 p3qrc4 - Eugenol
Bjc.

11/03/2010 à 18h10

Cas présenté :

Sexe : XX
Age 24 ans
m’a été envoyé en Ortho
Motivation : voudrait arranger son sourire ( 11-21),


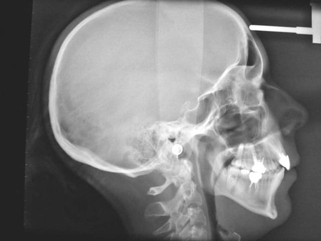
Voici les Rx. de début


notre ami Zorglub pourra ainsi nous faire part de
ses objectifs de TTT.
son plan de TTT.
et les justifier


@+ Bjc.

P.S.: si tu as besoin de renseignements complémentaires, n'hésite pas Zorglub

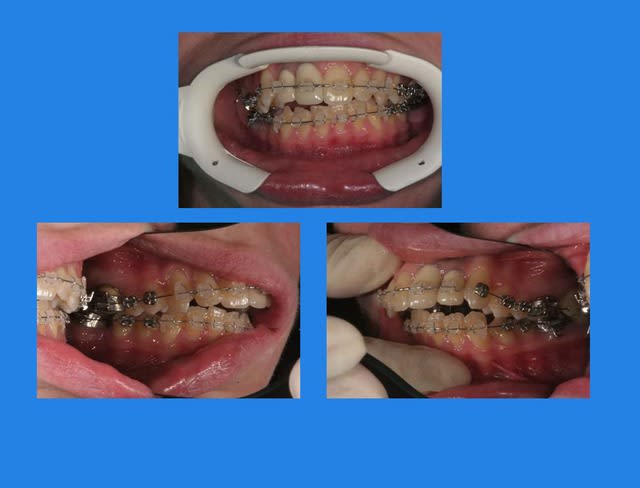
Rx - Eugenol
Rx - Eugenol
Rx - Eugenol

Zorglub

11/03/2010 à 20h41

Tu n'as jamais présenté un cas complet dans ta vie ou quoi ? Avec des photos face et profil + photos des arcades et photos des moulages, et forcément les radios ?

J'ai vraiment autre chose à faire que de perdre mon temps avec toi.

Ciao.


1 p3qrc4 - Eugenol
Bjc.

11/03/2010 à 21h19

je t'envoie les photos des moulages dès demain
s'il que manque encore autre chose, dis le moi maintenant

comme tu as émis un avis à la seule vue des photos de bouche, je ne pensais pas que tu avais besoin de ces documents pour faire:
un objectif de TTT.
et
un plan de TTT.

pardonne moi

;-)))))))


1 p3qrc4 - Eugenol
Bjc.

12/03/2010 à 14h52

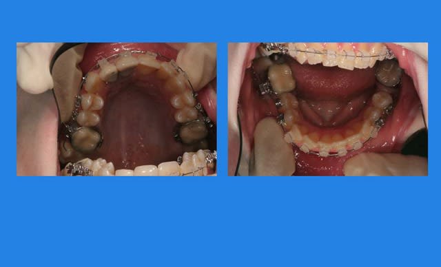
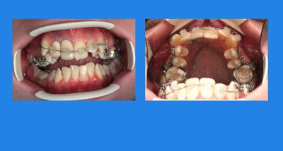
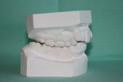
MOULAGES

Moulage 3 kvumyd - Eugenol
Moulage 1 vlrapq - Eugenol
Moulage 2 dllhb9 - Eugenol
Moulage 4 etnevt - Eugenol

1 p3qrc4 - Eugenol
Bjc.

13/03/2010 à 23h40

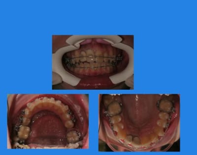
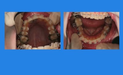
Début du cas :
pose mat Sup.

1 q4hjp9 - Eugenol

1 p3qrc4 - Eugenol
Bjc.

13/03/2010 à 23h42

4mois après, comme ça n’avance pas vite, pose Q.H
et pose du mat. Inf.

2 wqai8e - Eugenol

1 p3qrc4 - Eugenol
Bjc.

13/03/2010 à 23h42

contrôle 3 semaines après

3 m607iq - Eugenol

1 p3qrc4 - Eugenol
Bjc.

13/03/2010 à 23h44

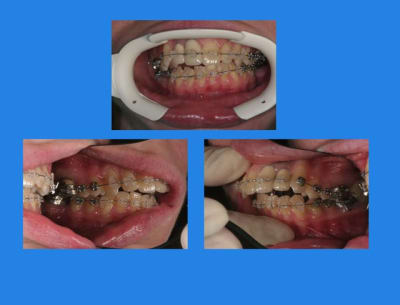
Puis elle ne vient pas pendant plus de 2 mois
et, oh surprise (mauvaise)

c’est la cata !!!


4 pzmuzx - Eugenol

Images 1 qtgoxf - Eugenol
ciwil

13/03/2010 à 23h55


la section de l'arc était peut-être trop faible pour contrôler l'action du QH ?


1 p3qrc4 - Eugenol
Bjc.

14/03/2010 à 03h40

j’ai fait plusieurs erreurs,
1°) ne pas insister plus pour la revoir, sans doute, inconsciemment, parce que comme c’était une copine de mon neveu, je lui avais fait un prix

2°) mettre un appareil puissant, de par ses bras,(mélanger les forces fortes et les forces faibles), sans imaginer que la patiente pourrait avoir des contraintes personnelles qui l’empêcherait de venir à son RDV. j’aurai du mettre un transpalatin ou un Q.H. sans bras
c’est ce que je fais maintenant

3°) déposer le Q.H. au lieu de couper simplement les bras, j'ai perdu de la place, car tous les vieux ortho savent que la seule manière de reculer une molaire, c’est de la déroter


@+ Bjc.


Images 1 qtgoxf - Eugenol
ciwil

14/03/2010 à 12h42

comment as-tu rattrapé le coup ?


1 p3qrc4 - Eugenol
Bjc.

14/03/2010 à 14h15

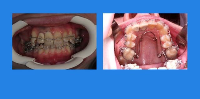
Suite :

J’ai pensé qu’il suffisait de déposer le Q.H. pour que les mouvements parasites s’arrêtent d’eux m
il n’en est rien : photo un mois après

malgré tout, les formes d’arcades s’arrangent !

a suivre Bjc.

6 tcnvtt - Eugenol
7 aokywu - Eugenol

1 p3qrc4 - Eugenol
Bjc.

14/03/2010 à 14h36

j'avais fabriqué une Cl. II.

là, j'ai eu un moment de découragement

@+ Bjc.



1 p3qrc4 - Eugenol
Bjc.

14/03/2010 à 16h57

Je suis face à plusieurs Pbs.

continuer mon reformage tout en stoppant la version des Ant.
et la réduire, mais pour cela, il me faudra utiliser des élastiques de Cl. II. avec des arcs rigides et donc avoir fini le reformage

c’est la quadrature du cercle, il me faut choisir


je garde en priorité le reformage et pour bloquer (et essayer de commencer à réduire) la version des Ant. j’utilise un arc à mémoire de forme 16*x16* que je vais faire travailler avec du torque sur les Ant. en ligaturant en inter-actif et en post en passif, en ligaturant passif
l’effet d’expansion se surajoutera aux forces musculaires de l’orbiculaire pour stabiliser les Ant.

résultat: la situation s’améliore, j’ai pu inverser les tendances grâce à l’arc 16*x16* austénitique utilisé en parti en passif, et en parti en inter-actif, c. a. d. en gardant de la glisse tout en mettant du torque
(le 16*x16* est un arc magique que l’on ne peut malheureusement pas bien utiliser avec tous les systèmes à forces faibles)

OUF !!!

@+ Bjc.


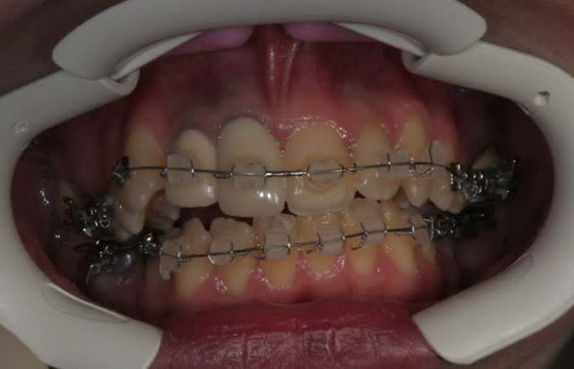
8 wlbjpg - Eugenol

Img 0812 mvp6i0 - Eugenol
jeamba

14/03/2010 à 17h54

Quelles sont les dimensions de la gorge de ton Bk ? Et est ce qu'un 16X16 est aussi efficace pour fournir un torque suffisant pour contrebalancer la version de tes incisives?


1 p3qrc4 - Eugenol
Bjc.

14/03/2010 à 20h11

j'aurai pu mettre des vis

;-)))

c'est un boutade, laisse moi le temps de rédiger ma réponse

@+ Bjc.


1 p3qrc4 - Eugenol
Bjc.

14/03/2010 à 20h42

salut,

les vis, c’était une boutade car m si j’avais eu un recul des incisives, je n’aurai pas eu d’expansion et donc comme ce n’aurait pas été stable, j’aurai eu une récidive rapide des Sup.

il me fallait une mécanique qui bloque les Sup. et en m temps continue l’expansion
pour l’expansion, il ne me faut pas un arc trop puissant (Schwartz), mais qui me permette un blocage Ant. par torque tout en gardant de la glisse

pour éssayer de mieux me faire comprendre, je vais raisonner avec des: si

si j’avais équipé ce cas en Bk. Damon, et si, il existait des arcs en 20*x20* aussi souples que les 16*x16* actuels austénitique, j’aurai changé les 2 Bk. Damon de 12/11/21/22 pour des GAC. Inter-actifs et mis ce 20*x20* imaginaire
j’aurai eu un ancrage glisse sur 12/11/21/22 et une glisse pure sur le reste des dents, ce qui permettait aux forces biologiques de s’exprimer

les photos en sont la preuve par 9 ;-)))


@+ Bjc.



Bul

14/03/2010 à 23h41

pourquoi le 0.16x0.16 est un ancrage sur 12,11,21,22 ?


Img 0812 mvp6i0 - Eugenol
jeamba

14/03/2010 à 23h48

C'est trés interssant ce que tu dis bernard, mais je vais continuer avec tes "si ", si tu étais équipé en Damon comment tu aurais fonctionné mécaniquement. Je pose cette question car ce qui est interessant ce n'est pas comment toi tu fonctionnes avec tes bk " bricolés " mais c'est de pouvoir extrapoler ton raisonnement sur d'autres systèmes et c'est là l'utilité de ton raisonnement pour moi ou pour nous. Et si, pour travailler en friction je ligature( sous l'arc ) mes bk aurais-je l'effet que tu as obtenu avec tes bk interactifs. Allez un petit effort avant d'aller au lit, il n'est pas tard chez toi ?


1 p3qrc4 - Eugenol
Bjc.

15/03/2010 à 00h37

c'est bien parce que c'est toi ;-)))

si tu ligature tes Damon, tu auras une ligature conventionnelle (125 gr.), comme avec un élastique, et tu risqueras une résorption radiculaire

pour pouvoir fabriquer une ligature inter-active, il faut que tu bricoles tes Damon comme moi (pourquoi crois tu que je m'enquiquine à faire modifier mes Bk. ?)

désolé

@ + Bjc.


1 p3qrc4 - Eugenol
Bjc.

15/03/2010 à 03h40

"""Et si, pour travailler en friction je ligature( sous l'arc ) mes bk aurais-je l'effet que tu as obtenu avec tes bk interactifs."""

j'ai répondu trop vite, j’avais pas bien lu ta phrase, excuses

Si sous l’arc tu ligatures une seule dent, tu n’auras aucun effet, et si tu ligatures sous l’arc 2 ou plusieurs dents tu auras sur les Ant. les effets d’une ligature en échelle, c.a.d. mesialisation (et rotation selon la dimension de l’arc) et non pas ancrage comme sur des molaires ou la surface radiculaire développée des racines (au lieu d'une) est beaucoup plus importante et va contrer la rotation

ce qui est valable pour une dent pluriradiculée ne l’est pas pour une monoradiculée


@+ Bjc.


1 p3qrc4 - Eugenol
Bjc.

15/03/2010 à 03h40

...


Phil Amant

15/03/2010 à 10h19

Comme c'est bizarre..
Tu avais crée ce post, bjc, en l'intitulant
"pour Phil Amant (et ses copains)".
Le titre était clair.

Je me pose deux questions :
1 Pourquoi donc as-tu changé maintenant son nom en "mon 1° cas complexe.." ?
Serait-ce parce que je t'ai demandé de voir la belle classe I molaires et l'occlusion que tu obtiens entre 37 et 25 une fois le traitement terminé et quelques années après sa fin, et que tu trouves finalement que le résultat n'est pas terrible ?

2 C'est vraiment ton premier cas ?

En tous cas, les copains et moi attendons la fin..

Phil.


1 p3qrc4 - Eugenol
Bjc.

15/03/2010 à 11h25

... parce que j'aime bien te taquiner, surtout quand tu prétends tout savoir, mais que je ne peux quand même pas ne faire que te taquiner, (ce serait abject).

Et qu'il faut bien montrer des cas et les évaluer ensemble, et les critiquer, pour faire avancer l'ortho. le sujet a dérivé vers un cas, donc je change le titre, c'est logique.
(j’aurai pu faire une présentation en occultant mes difficultés, et comment je les ai résolues, c’était facile, mais aurait été, sans doute, moins constructif)

je te signale que je débats de mes cas, et que j'en montre des tonnes, mais j'attends toujours ton premier.

Ce cas-ci montre que je suis comme tout le monde : je fais des erreurs et je suis le premier à les admettre et à les montrer pour que d'autres ne fassent pas les mêmes. c'est en faisant des erreurs qu'on progresse, si on trouve où est l'erreur.

Ce que je te reproche, ce sont tes certitudes. tu les assènes, mais tu ne les démontres pas. tu es prompt à la critique, mais pas à la démonstration que ta critique est valide !

@+ Bjc.


Phil Amant

15/03/2010 à 17h12

Bjc. écrivait:
--------------

> Ce que je te reproche, ce sont tes certitudes. tu les assènes, mais tu ne les
> démontres pas. tu es prompt à la critique, mais pas à la démonstration que ta
> critique est valide !

Mes copains et moi te reprochons simplement de ne jamais faire de diagnostic ni de plan de traitement.
Tu fais des dérotations molaires et du "reformage d'arcade", tu montres tes fils et ta technique, mais c'est tout ce que tu expliques.
Comment différencies-tu par exemple un traitement de classe II par rapport à un cas de classe I ?
Quels sont tes limites à l'expansion (oh pardon, au "reformage") ?
Comment vas-tu gérer la perte de la 36 de cette rousse ? Par quels moyens vas-tu mésialer la 37 ? Comment vas-tu faire pour corriger sa classe II dentaire et obtenir un engrênement correct ?
etc.. etc..

Phil.