Tous les forums
mon 1° cas complexe et ce que j’ai appris sur ce cas :
15/03/2010 à 23h00
"""Mes copains et moi te reprochons simplement de ne jamais faire de diagnostic ni de plan de traitement."""
Vous me reprochez de ne pas faire comme vous,
un diagnostic, un plan de TTT. d’après des Rx., des mesures sur l’arcade Inf pour décider si c’est une DDM. ou pas, pour justifier des extractions etc …
c’est si vieux tout ça, ca date de 30 ans et plus, je sais, c’est encore enseigné …
maintenant, on parle d’espace globale, plus de DDM. on extrait beaucoup moins, certains pratiquement plus, on regarde les ATM. on travaille en N.M. et LVI. etc…
eh oui, c’est tout autre chose
tu voudrais une formation complète et privée, pour débutant quoi, et en qq. lignes
voici : beaucoup de choses s’arrangent par le reformage dans les 6 ou 9 premiers mois, ensuite on réévalue le cas, une fois qu’on a les formes d’arcades physiologiques du patient, on ne travaille pas sur des formes d’arcades pathologiques !!! , …
il y a des gens dont c’est la spécialité, Damon, Bagden, Roncone, Voudouris, etc …
il vaut mieux s’adresser au bon dieu qu’à ses saints
;-)))
@+ Bjc.
16/03/2010 à 12h26
Bjc. écrivait:
--------------
> """Mes copains et moi te reprochons simplement de ne jamais faire de diagnostic
> ni de plan de traitement."""
>
> Vous me reprochez de ne pas faire comme vous,
> un diagnostic, un plan de TTT. d’après des Rx., des mesures sur l’arcade Inf
> pour décider si c’est une DDM. ou pas, pour justifier des extractions etc …
>
Tu enfonces des portes ouvertes !
On ne peut pas faire un diagnostic uniquement sur des mesures de moulages et des radios, tous sommes tous d'accord avec ça.
Je te repose la question de la classe II de ta rousse et de la perte de sa 36.
Tu comptes les traiter simplement par reformage d'arcade et N.M. ?
Phil.
16/03/2010 à 14h06
Eh oui, on n'extrait plus et on pose des contentions collées à vie pour contrer la nature... C'est pas très N.M. cela...
17/03/2010 à 21h20
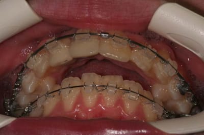
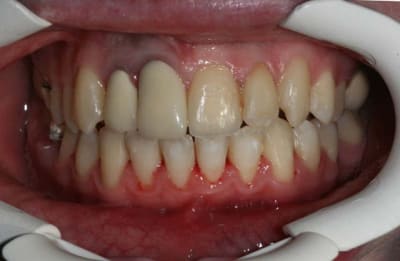
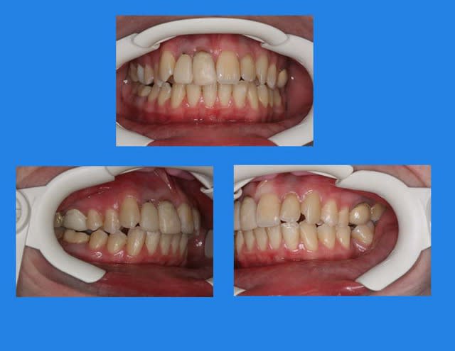
résultat d’élastiques de Cl.II.,
(à ce propos, les arc d’ORMCO, sont très bien et pas cher)
@+ Bjc.
18/03/2010 à 14h08
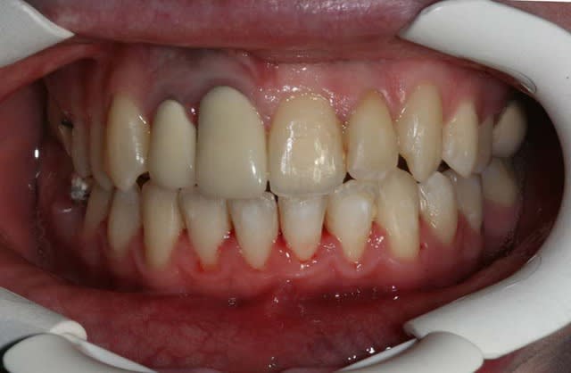
Voici le cas il y a un an
Elle était enceinte de 8 mois,
la voiture lui était déconseillée par son médecin,
j’ai donc décidé, avec l’accord de la patiente, de déposer (sans contention), car je ne voulais plus la laisser sans surveillance avec un matériel ortho en place
@+ Bjc.
P.S.: frappez fort ;-)))
19/03/2010 à 01h58
Enceinte de 8 mois...et puis, tu attends 2 mois et tu termines...
Tu vas la laisser comme cela ? L'occlusion ne semble pas stable, montre nous une photo 1 an après, voir 2...
--
Céramik
19/03/2010 à 11h17
j’ai eu plusieurs MP du style :
il m’arrive ceci, tu ferais comment ?
sans compter zob et fil
et mon préampli Hi-Fi qui, lui aussi aussi, me donne du fil à retordre
@+ Bjc.
19/03/2010 à 16h56
Céramik écrivait:
-----------------
> Enceinte de 8 mois...et puis, tu attends 2 mois et tu termines...
>
> Tu vas la laisser comme cela ? L'occlusion ne semble pas stable, montre nous une
> photo 1 an après, voir 2...
>
> --
> Céramik
D'accord avec Céramik, c'est pas terrible..
Quand on fanfaronne, il faut être à la hauteur !
Phil.
19/03/2010 à 17h39
Pourquoi être si manichéen, il n'est pas concevable d'utiliser des auto-ligaturants pour certains cas et de prescrire des extractions pour d'autres ?
19/03/2010 à 19h43
ciwil écrivait:
---------------
> Pourquoi être si manichéen, il n'est pas concevable d'utiliser des
> auto-ligaturants pour certains cas et de prescrire des extractions pour d'autres
> ?
Pourquoi forcément des autoligaturants ? On peut très bien diminuer le frottement avec des ligatures métalliques placées de façon adéquates et faire de substantielles économies..
Phil.
19/03/2010 à 20h03
Phil Amant écrivait:
--------------------
> ciwil écrivait:
> ---------------
> > Pourquoi être si manichéen, il n'est pas concevable d'utiliser des
> > auto-ligaturants pour certains cas et de prescrire des extractions pour
> d'autres
> > ?
>
> Pourquoi forcément des autoligaturants ? On peut très bien diminuer le
> frottement avec des ligatures métalliques placées de façon adéquates et faire de
> substantielles économies..
>
> Phil.
Alors phil, tu nous montres ce que tu sais faire ou tu fais le sourd ?
19/03/2010 à 22h55
> Phil Amant écrivait:
> --------------------
> Pourquoi forcément des autoligaturants ? On peut très bien diminuer le frottement avec des ligatures métalliques placées de façon adéquates et faire de substantielles économies..
je suis d'accord avec toi, mais arriver à rendre passive une ligature métallique est très opérateur-dépendant, on peut s'approcher mais pas égaler le glissement dans les auto-ligaturants, qui sont prédictibles et reproductibles
20/03/2010 à 02h45
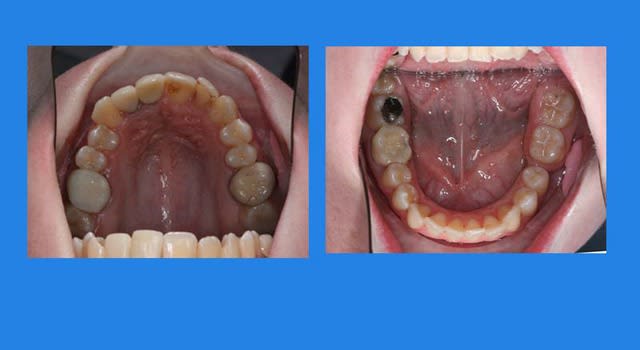
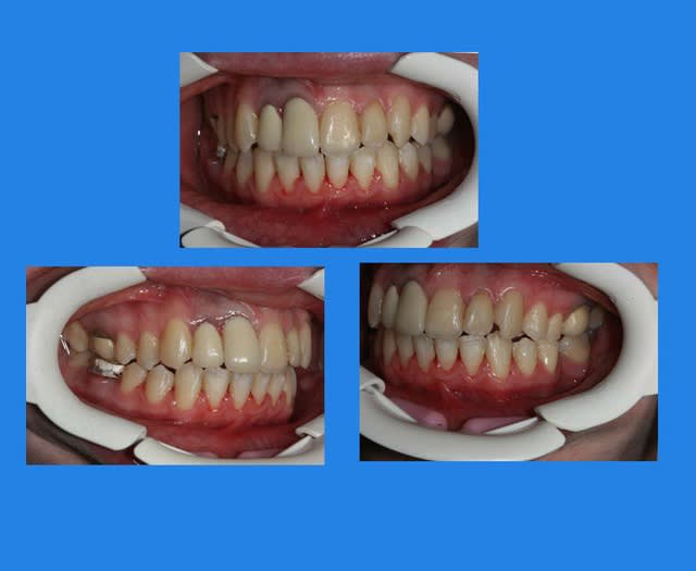
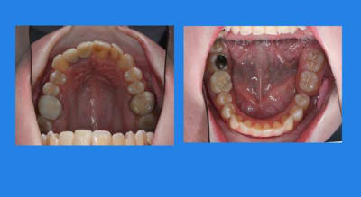
Voici le cas il y a 8 jours, c.a.d. 1 an et 1 mois après les photos de son dernier rendez vous
entre temps, elle est allée se faire faire des provisoires sur 12/11 par un confrère plus prés de son domicile
voici le résultat de l’absence de contention, qui aurait été (a mon avis) une erreur compte tenu que le cas n’était pas terminé
c’est mal foutu, c’est déglingué mais je n’ai aucune malposition Inc. Inf.
c.a.d. : AUCUNE RECIDIVE D’ENCOMBREMENT AVEC ROTATIONS
les dents ne sont pas alignées, mais j’ai mon espace globale, je peux poursuivre ce traitement avec sérénité
elle n’est pas défigurée,
elle n’a pas de migraines
pas d’acouphènes
pas de DAM.
etc ...
A votre avis pourquoi ?
@+ Bjc.
20/03/2010 à 03h34
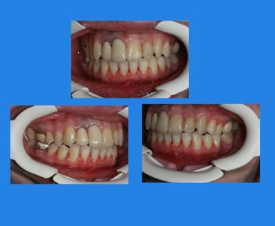
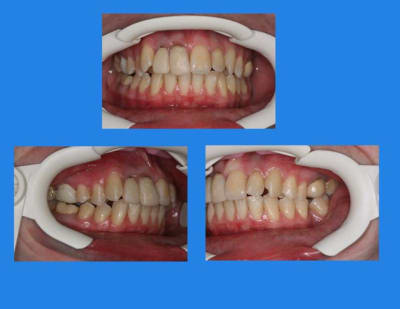
Bon, vire la 8 du bas, 28 céram, et hop...
c'est trop l'ortho...
;-)
PS, les provisoires sont...pas térible...
--
Céramik
20/03/2010 à 12h26
Le jeune confrère lui a dit avoir réalisé les provisoires de 12/11 en supra-gingival pour laisser la gencive redescendre, mais il n’a pas rectifié le surbombé des dents provisoires du commerce
ce que j’ai fait, on verra bien à la prochaine consultation
@+ Bjc.
21/03/2010 à 11h02
qu’est ce que j’ai appris sur ce cas :
les forces biologiques ne font pas tout, et pas tout bien. il faut les utiliser mais ne pas compter qu’elles vont tout faire à notre place
il faut un contrôle des dents piliers, que sont les 3 et les 6(canines postérieures)
pour les 6, il faut un Q.H. sans bras, réglé seulement en dérotation
il faut retarder le collage des 4 Inc. Sup. et Inf., afin de niveler 3/4/5/6, avant de s’attaquer au nivellement des Ant. : arc 0.014 Ni.Ti. Thémique et des ligature à friction faible
une fois le nivellement Post. obtenu, je commence par le bas avec un ressort de Root (de 33 à 43), sur un arc Ni.Ti. thermique 20*x20* (contrôle inter-actif)). le redressement des canines du bas va, par l’intermédiaire de l’occlusion, entrainer les canines du haut
pour cela, il faut un bon contrôle 33/43, avec une ligature inter-active
parfois, dans les cas d’Inc. Inf. lingualée ou en rotation, je mets un segmenté sur 32/31/41/42, une fois que j’ai commencé à redresser les 3 Inf., je peux ensuite accrocher un élastique sur les deux arcs pour commencer le redressement des Inc. Inf.
une fois l’espace gagné pour replacer les Inc. Inf., je colle le reste de Bk. Sup. avec un arc 0.014 pour niveler les Inc. Sup. sans version grâce à l’effet lip-bumper N.M.
la séquence des arcs suivants est classique, avec des ligatures inter-actives sur les Ant. et des ligatures passives en Post. pour continuer le reformage d’arcades
je pense que ceci répond à l’ensemble des questions posées en M.P.
@+ Bjc.
21/03/2010 à 11h20
"pour les 6, il faut un Q.H. sans bras, réglé seulement en dérotation"
donc une BTP...
21/03/2010 à 15h39
Quand tu parles de ligature interactive, que veux-tu dire au juste? Ligature à friction ?
21/03/2010 à 16h09
"""donc une BTP..."""
on peut mettre un BTP., mais il faut le faire en TMA., ce n’est pas facile d’insertion sauf si on prend du Burstone, mais il faut avoir les bagues avec les fourreaux spéciaux soudés
@+ Bjc.
21/03/2010 à 17h56
ligature passive : on torsade, sur le Bk. modifié, jusqu’à ce que les 2 brins fassent un angle de 90°, on relève et on rabat (on a un jeu de 0.004 Inch
ligature inter active : comme une ligature passive et quand on relève on donne encore ¼ de tour, on a une ligature passive, le fil de la ligature n’est pas sous tension puisqu’on a pas torsadé à fond
ligature conventionnelle à friction forte : on torsade à fond, on relève et on rabat
les deux premières ligatures ne sont réalisables que sur des Bk dont le chemin de ligature a été modifié en supprimant les 4 angles vifs qui sont des points d’encochage.
@+ Bjc.