Cookie Consent byPrivacyPolicies.comBridge pilotis - Eugenol

Bridge pilotis

Img 0812 mvp6i0 - Eugenol
jeamba

10/03/2010 à 12h24

Voilà mon premier cas d'extraction-implantation immédiate et pose d'un bridge pilotis provisoire.
1)D'abord quels sont vos conseils et propositions? Vaut-il mieux démarrer dans ces conditions ou extraire, attendre la cicatrisation avec un complet, refaire un scan et implantation + provisoire?
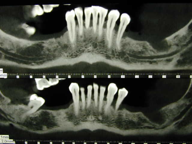
2)Sur le scanner j'ai l'image du nerf dentaire et d'un nerf en dessous, de quoi s'agit-il ?
3) Le nerf incisif est proche des dents antérieures, que risque-t-on si on le sectionne lors du forage?
Merci pour vos conseils et propositions.

Dscn0359 a5xlh2 - Eugenol
Dscn0357 v3ljtq - Eugenol
Dscn0360 ivvgrq - Eugenol
Dscn0361 froca1 - Eugenol
Dscn0362 j02wk2 - Eugenol

19066 1223810679128 1344811835 30546764 2261510 n medium ozxaxj - Eugenol
vitalic

10/03/2010 à 13h00

Tu veux mettre combien d'implants et où ?
En avant des trous mentonniers ?

Le nerf incisif il vaut mieux passer carrément au travers, y a de la place.
Il faut si possible éviter que l'apex de ton implant chatouille ce nerf.

C'est quoi ton système implantaire ?

Tu veux faire une MCI ou une MC précoce à quelques jours ?


Img 0812 mvp6i0 - Eugenol
jeamba

10/03/2010 à 13h14

Mon système est nobel. Le nombre d'implants à mettre c'est le nombre ce cas me permet de mettre pour stabiliser un bridge sur pilotis (résine sur armature titane), je croix il faut un minimum de 5.Où les placer, c'est là où j'attends vos conseils et proposition.Pour la MCI je ne sais pas ce qui est le mieux pour débuter, j'opterais plutôt pour une MCI car j'en suis capable.
Donc concernant le ner incisif il vaut mieux forer à trvers et pas de risque ?


19066 1223810679128 1344811835 30546764 2261510 n medium ozxaxj - Eugenol
vitalic

10/03/2010 à 13h49

pour 5 implants, le positionnement idéal c'est
34 (si possible en distalant la tête de l'implant)
32
implant central
42
44 (idem que 34)

le nerf incisif, tu passes au travers.


sagito

10/03/2010 à 14h09

je te conseille de bien ecrêter pour que les tetes des implants soient au même niveau


Pomme1 ptuqol - Eugenol
zian4807

10/03/2010 à 14h20

Dans cette situation c'est vrai que le protocole ext-implant-mise en charge immédiate sur 5 implants est tout à fait valable. Sinon si tu préfère être plus classique et extraire puis implanter dans un second temps, plutôt que de gérer un complet provisoire tu dois pouvoir garder 33 et 43 et implanter comme te l'as dis Vitalic en modifiant ensuite la PA du patient.


Img 0812 mvp6i0 - Eugenol
jeamba

10/03/2010 à 14h49

zian4807 écrivait:
------------------
> Dans cette situation c'est vrai que le protocole ext-implant-mise en charge
> immédiate sur 5 implants est tout à fait valable. Sinon si tu préfère être plus
> classique et extraire puis implanter dans un second temps, plutôt que de gérer
> un complet provisoire tu dois pouvoir garder 33 et 43 et implanter comme te l'as
> dis Vitalic en modifiant ensuite la PA du patient.
Tu veux dire extraire tout, garder 33 et 43 support d'un partiel résine provosoire, 3 mois aprés implantation?
Merci pour la précision.
Merci pour vos réponses, merci Vitalic.


Avatar ow44t3 - Eugenol
Chicot

10/03/2010 à 17h50

jeamba écrivait:
----------------
> Voilà mon premier cas d'extraction-implantation immédiate et pose d'un bridge
> pilotis provisoire.
> 1)D'abord quels sont vos conseils et propositions? Vaut-il mieux démarrer dans
> ces conditions ou extraire, attendre la cicatrisation avec un complet, refaire
> un scan et implantation + provisoire?

Si tu as déjà posé des implants et fait des exo implantation immédiate, va y c'est sympa à faire.

un conseil pour le premier cas: Bloque ta journée

le matin --> exo et pose des implants (32N mini) et des multiunits, empreinte avec le complet évidé préalablement réindexé avec une résine style pattern (pour être sur de la DVO et de l'occlusion)
labo
à 17h00 quand ton labo t'apporte la prothèse, tu la fixes (15N), retouche l'occlusion et roule ma poule !!!

> 2)Sur le scanner j'ai l'image du nerf dentaire et d'un nerf en dessous, de quoi s'agit-il ?

l'artère alvéolaire non ? en zone de spix elle est dessus puis dans son trajet mandibulaire en dessous du NAI

> 3) Le nerf incisif est proche des dents antérieures, que risque-t-on si on le
> sectionne lors du forage?

+1 avec ce qui a été dit, théoriquement rien si tu le traverses carrément

> Merci pour vos conseils et propositions.

de rien


--
;O)


Cuisinier2 vnbbxx - Eugenol
jeff2

10/03/2010 à 18h13

Peut être pensé à avoir un petit stock de multi unit sous le coude, car normalement on pose les multi unit tout de suite apres la pose de tous les implants.
A moins de travailler sous guide CAO


Img 0812 mvp6i0 - Eugenol
jeamba

10/03/2010 à 18h36

C'est prévu jeff. Qu'as tu à ajouter?


Scan10030 ukikhq - Eugenol
vava

10/03/2010 à 18h57

Chicot écrivait:
----------------
> le matin --> exo et pose des implants (32N mini) et des multiunits, empreinte
> avec le complet évidé préalablement réindexé avec une résine style pattern (pour
> être sur de la DVO et de l'occlusion)


Quel complet??


Cuisinier2 vnbbxx - Eugenol
jeff2

10/03/2010 à 18h57

Comme chicot; tu commences le matin, tu gardes ta ou ton patient et tu prévois le traiteur le midi, avec menu adapaté a la situation, quitte a présenter le menu lors de la rédaction du devis, pour être sur que le patient mange avec plaisir un truc qu'il aime sans dents


Scan10030 ukikhq - Eugenol
vava

10/03/2010 à 19h44

froid sans dents des glaces du gaspacho
évite le taboulé qui pourait rentrer dans les sutures


P1010130 jpci1f - Eugenol
MarcB6

10/03/2010 à 21h28

Bonsoir Jeamba,

As tu un impératif pour faire la mise en charge le même jour.
Sinon la mise en charge précoce à quelques jours c'est très bien aussi.

Cordialement

--
marcB6


Avatar ow44t3 - Eugenol
Chicot

10/03/2010 à 22h12

vava écrivait:
--------------
> Chicot écrivait:
> ----------------
> > le matin --> exo et pose des implants (32N mini) et des multiunits, empreinte
> > avec le complet évidé préalablement réindexé avec une résine style pattern
> (pour
> > être sur de la DVO et de l'occlusion)
>
>
> Quel complet??

le complet du bas préparé pour le jour de la chir

--
;O)


Dent masqu e petite f0pbaj - Eugenol
dudule

10/03/2010 à 22h13

vitalic écrivait:
-----------------
> pour 5 implants, le positionnement idéal c'est
> 34 (si possible en distalant la tête de l'implant)
> 32
> implant central
> 42
> 44 (idem que 34)
>
> le nerf incisif, tu passes au travers.
>

Que pensez vous de 35-33-central-43-45 ?

Cela ne permet-il pas plus de gagner par la suite pour prévoir extension distale de la PAC supra-implantaire ?


Avatar ow44t3 - Eugenol
Chicot

10/03/2010 à 22h18

coucou mon cher dudule !!

mais si que c'est mieux sauf quand le NAI est là !!!

--
;O)


Dent masqu e petite f0pbaj - Eugenol
dudule

10/03/2010 à 22h22

Chicot écrivait:
----------------
> coucou mon cher dudule !!
>
> mais si que c'est mieux sauf quand le NAI est là !!!
>
> --
> ;O)


Salut mon Chicos !

J'me disais bien aussi mais je voulais avoir confirmation vu que je dois en poser un bientôt aussi et que j'avais opté pour cette option.


Avatar ow44t3 - Eugenol
Chicot

10/03/2010 à 22h27

dudule écrivait:
----------------
> Chicot écrivait:
> ----------------
> > coucou mon cher dudule !!
> >
> > mais si que c'est mieux sauf quand le NAI est là !!!
> >
> > --
> > ;O)
>
>
> Salut mon Chicos !
>
> J'me disais bien aussi mais je voulais avoir confirmation vu que je dois en
> poser un bientôt aussi et que j'avais opté pour cette option.

Patrick M. serait si fier de toi !!!

--
;O)


Img 0812 mvp6i0 - Eugenol
jeamba

11/03/2010 à 10h58

MarcB6 écrivait:
----------------
> Bonsoir Jeamba,
>
> As tu un impératif pour faire la mise en charge le même jour.
> Sinon la mise en charge précoce à quelques jours c'est très bien aussi.
>
> Cordialement
>
> --
> marcB6

Non Marc, mais je trouve qu'extraire(1er traumatisme) et laisser le patient environ deux mois avec une prothèse instable, puis implantation+ régularisation crête(2ème traumatisme) ça fait beaucoup pour le patient. J'assiste régulièrement chez un confrère à des extractiions + mise en charge immédiate, j'ai l'impression que c'est mieux vécu par le patient. Il est vrai que l'idéale c'est d'implanter un patient qui a déjà un complet ou un partiel à transformer. Si je poste mon cas c'est surtout pour me nourrir de votre expérience et de votre vécu que je n'ai pas encore réellement car assister et faire ce n'est pas la même chose.


Casque beotien a3jo39 - Eugenol
beotien

11/03/2010 à 13h09

je vous lis tous et je me dis
Qu'est ce que j'aimerais être aussi doué que vous!
voici un cas et sans MCI
1)5 juin 2009
2) Aout
3)octobre
4)janvier 2010
5)Aujourd'hui

Les premiers implants étaient bien posés
Auraient'ils mieux tenus avec une MCI?

En janvier je tape "l'artériole" en 33 et la corticale en meme temps. Étonnamment chez moi les patients sont un peu moins zen la deuxième fois.

A votre avis, j'abandonne l'idée du bridge complet transvissé
céramique?


19066 1223810679128 1344811835 30546764 2261510 n medium ozxaxj - Eugenol
vitalic

11/03/2010 à 13h24

purée !


P1010130 jpci1f - Eugenol
MarcB6

11/03/2010 à 13h34

jeamba écrivait:
----------------

> Non Marc, mais je trouve qu'extraire(1er traumatisme) et laisser le patient
> environ deux mois avec une prothèse instable, puis implantation+ régularisation
> crête(2ème traumatisme) ça fait beaucoup pour le patient. J'assiste
> régulièrement chez un confrère à des extractiions + mise en charge immédiate,
> j'ai l'impression que c'est mieux vécu par le patient. Il est vrai que l'idéale
> c'est d'implanter un patient qui a déjà un complet ou un partiel à transformer.
> Si je poste mon cas c'est surtout pour me nourrir de votre expérience et de
> votre vécu que je n'ai pas encore réellement car assister et faire ce n'est pas
> la même chose.

Salut Jeamba,

Ce n'est pas ce que j'ai voulu dire, quand je t'ai demandé si tu avais un impératif de MCI.
En fait je fait beaucoup d'extractions et implantations totales.
Ce que j'ai voulu te dire c'est que au lieu de faire la chir, les empreintes et la pose le même jour.
Tu peux différer à 24 ou 48h tes empreintes et la pose encore à 24 ou 48 h.
Pour le patient ç'est un peu plus léger et pour toi beaucoup moins de stress.

Cordialement

--
marcB6


Img 0812 mvp6i0 - Eugenol
jeamba

11/03/2010 à 13h41

J'ai bien compris Marc. Maintenant il faut que je fasse l'analyse et la synthèse de tout ça. Merci.


Photo pluton1b h9n4ea - Eugenol
pluton

11/03/2010 à 16h34

beotien écrivait:
-----------------
> je vous lis tous et je me dis
> Qu'est ce que j'aimerais être aussi doué que vous!
> voici un cas et sans MCI
> 1)5 juin 2009
> 2) Aout
> 3)octobre
> 4)janvier 2010
> 5)Aujourd'hui

whaou!!! t'as perdu 3 implants sur 4!!!
faut dire que t'avais une sacrée longueur...16mm???, EII???
sinon, t'as sûrement du chauffer en forant...je vois difficilement d'autres explications...
en plus pour l'implant en 32, ta vis de couverture se fait la malle...;-))


12...