Cookie Consent byPrivacyPolicies.comMercredi prochain, MCI sur 8 ou 10 implants, qui veut venir - Eugenol

Mercredi prochain, MCI sur 8 ou 10 implants, qui veut venir ?

S2y2o1v7q53ws4r5wy6ou8czrpom - Eugenol
pxav

28/03/2010 à 10h35

vava écrivait:
--------------
> ah ces jeunes ils ne tiennent pas la distance, n'est ce pas pxav

tout à fait Thierry...
Mais quand même, celui là, un jour se classera dans les très bons, il a de l'idée, il ose, et quand il corrigera ses positions de travail, il sera top.
Joli Thomas, même si à la place des piliers 30° j'aurais aimé autre chose....
Promis je te montre comment c'est jouable sans greffe.
Mais continu tu es dans la bonne voie.
--
xbk


3f3boxni50k58rq7e9ce9ddqrxgk - Eugenol
dentiste57

28/03/2010 à 10h48

bon, encore quelques unes avant d'aller chercher les croissants et le pain pour la p'tite famille...

très important! même si on réutilise un complet d'usage, il n'en reste pas moins nécessaire de faire l'empreinte en occlusion. sinon, attention aux problèmes de décalages.

donc il faut retoucher tous les piliers provisoires (sous spray si possible) et enfin faire son empreinte.

Dsc 6342 dusoau - Eugenol
Dsc 6341 sa986y - Eugenol
Dsc 6344 l4f70p - Eugenol
Dsc 6345 gjmoi1 - Eugenol

3f3boxni50k58rq7e9ce9ddqrxgk - Eugenol
dentiste57

28/03/2010 à 10h58

un p'tit séjour au labo si on veut rendre un travail propre.

1
capuchons de protections
2
les empreintes avec les analogues de piliers, mon prothésiste préféré...

PS:

comme je trouve trop long les capuchons de protection sur piliers angulés (problèmes d'occlusion), j'ai préféré ne rien mettre d'autre qu'un peu de systemp onlay pour protéger le pas de vis.

Dsc 6351 sgvsqw - Eugenol
Dsc 6346 tb3xyc - Eugenol
Dsc 6347 jsr2lg - Eugenol
Dsc 6364 aq1qdx - Eugenol

3f3boxni50k58rq7e9ce9ddqrxgk - Eugenol
dentiste57

28/03/2010 à 11h06

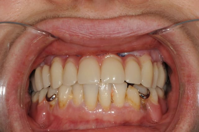
la prothèse fini.

Dsc 6365 kggpjo - Eugenol
Dsc 6373 j1bxpm - Eugenol
Dsc 6375 zem86b - Eugenol

Cuisinier2 vnbbxx - Eugenol
jeff2

28/03/2010 à 11h08

y a t'il une armature en antérieur?


Logo m4n3gc - Eugenol
drmarcus

28/03/2010 à 11h10

FELICITATIONS !


3f3boxni50k58rq7e9ce9ddqrxgk - Eugenol
dentiste57

28/03/2010 à 11h11

et enfin, le tout posé en bouche,...c'est toujours un gros stress ce moment là.

voili, voila, j'attends vos commentaires, vos petits trucs, vos remarques, votre indulgence...

Dsc 6376 ajtron - Eugenol
Dsc 6377 ifxwsl - Eugenol
Dsc 6379 zhu8j3 - Eugenol
Dsc 6380 pyrvzw - Eugenol
Dsc 6383 kskkui - Eugenol

alhoun

28/03/2010 à 11h13

joli cas bien drivé.
bravo!


Logo m4n3gc - Eugenol
drmarcus

28/03/2010 à 11h31

Encore une fois félicitations! BRAVO
Perso, dans ce cas (nbre d'implant juste suffisant) j'aurai la trouille d'en perdre. En ce moment "j'essaye" mais en faisant un prix forfaitaire et en quantifie plus en répartition dans le cas où. Sinon quand c'est possible je triche en gardant des dents jusqu'au terme final. L'avantage je n'ai pas de vis et je peux prendre une empreinte classique. L'inconcénient j'ai horreur du SAV et ces techniques sont toutes à notre sauce; peu de repère en littérature. Par ailleurs trop peu de cas et trop different pour tirer des conclusions! J'espère sincèrement que les implants ne "macèreront" pas au stade des 10 jours. ENCORE BRAVO.
Connaissez vous la technique "AYSIN"? Il a d'excellents résultats.


Blason dql7mj - Eugenol
growler

28/03/2010 à 11h32

tu as toujours été méthodique et raisonné, tu nous prouves encore ici qu'il faut l'être pour aboutir à de jolis travaux.

merci Thomas.


Logo m4n3gc - Eugenol
drmarcus

28/03/2010 à 11h33

Non sincèrement c'est très bien: publies!


S2y2o1v7q53ws4r5wy6ou8czrpom - Eugenol
pxav

28/03/2010 à 12h04

drmarcus écrivait:
------------------
> Non sincèrement c'est très bien: publies!
soyez patients, ça vient.

--
xbk


209209668 fh2mys - Eugenol
fredo667

28/03/2010 à 13h04

Bon, j'ai encore du boulot...


Img 0812 mvp6i0 - Eugenol
jeamba

28/03/2010 à 13h38

Bravo thomas c'est un régal, j'ai appris plein de choses en une matinée. Merci.


johnnybegood

28/03/2010 à 15h06

bonjour dentiste57

une fois ton empeinte prise avec l prothese d usage sur les piliers temporaires comment a tu acces au fut et vis ....tu fraises le materiaux d empeinte pour recreer l acces?
merci de ta reponse
et quel materiaux utilise tu pour l empeinte


Dr Mamour

29/03/2010 à 00h24

sympa!


--
Dr Mamour
le seul qui vous aime.


3f3boxni50k58rq7e9ce9ddqrxgk - Eugenol
dentiste57

29/03/2010 à 00h36

bon, pardon pour mon absence sur le forum aujourd'hui.
je vais essayer de répondre dans l'ordre

pluton écrivait:
----------------
...tout sur de l'anthogyr?

oui, tout sur de l'Axiom

D3.4 L14 pour 13-23-15, 12 mm sur 25
D4 L10 sur 26 et 16
D4.6 L8 pour les 7

l'avantage c'est les piliers coniques angulés 18° et 30° que l'on retrouve sur des systèmes comme Nobel. mais avec largement plus de 50 % de différence de coût tout en ayant un grand système.


Cuisinier2 vnbbxx - Eugenol
jeff2

29/03/2010 à 00h40

je n'implantes pas, et je trouve le sujet bien documenté.
Plusieurs questions d'un néophyte
quand les dent antérieures ont été extraites, tu avais toutes les tables externes que tu voulais, pourquoi ne pas avoir implanté directement?
est ce une proposition que tu as faite au patient ou est ce une considération financière de la patiente qui t'as conduit vers ta solution?
En effet tout était réuni pour faire un bridge définitif en un temps avec guide chirurgicale
combien de devis différents as tu fais pour cette patiente?


3f3boxni50k58rq7e9ce9ddqrxgk - Eugenol
dentiste57

29/03/2010 à 00h41

Canin écrivait:
---------------
> il faudrait également enlever le stellite sur ta pano :-)
>
> sinon c'est quoi ta peinture de guide radio ???
>
> --
> Canin

c'est déjà pas une peinture au plomb en provenance de Chine!
mon prothésiste (je lui demanderai demain) est un petit farceur, la dernière fois il avait fait ça...

Dsc 3274 c9rj8o - Eugenol

3f3boxni50k58rq7e9ce9ddqrxgk - Eugenol
dentiste57

29/03/2010 à 00h49

johnnybegood écrivait:
----------------------
> bonjour dentiste57
>
> une fois ton empeinte prise avec l prothese d usage sur les piliers temporaires
> comment a tu acces au fut et vis ....tu fraises le materiaux d empeinte pour
> recreer l acces?
> merci de ta reponse
> et quel materiaux utilise tu pour l empeinte

c'est selon, soit bistouri soit fraise boule diamantée.
le matériau d'empreinte c'est de l'impregum.


3f3boxni50k58rq7e9ce9ddqrxgk - Eugenol
dentiste57

29/03/2010 à 01h06

jeff2 écrivait:
---------------

> quand les dent antérieures ont été extraites, tu avais toutes les tables
> externes que tu voulais, pourquoi ne pas avoir implanté directement?

ah! enfin un qui suit ! :)

tu penses bien que dés que la patiente a retiré pour la première fois son stellite, la forme magnifique des papilles à fait monter en moi l'irrépressible envie d'implanter de suite.
malheureusement, j'ai mis presque 4 ans pour arriver à mes fins.
il a d'abord fallu passer le cap du complet haut, du divorce, du changement de boulot,...
bref il fallait qu'elle soit mieux dans ses baskets pour se décider et prendre la bonne décision.


> est ce une proposition que tu as faite au patient ou est ce une considération
> financière de la patiente qui t'as conduit vers ta solution?
> En effet tout était réuni pour faire un bridge définitif en un temps avec guide
> chirurgicale
> combien de devis différents as tu fais pour cette patiente?

l'argent est, dit on, le nerf de la guerre, mais comme expliqué précédemment, ce n'était pas le seul obstacle.

pour ce qui est du prix, je suis tellement peu cher que cela en devient une honte! Sur Metz, les gros implanto avec pignon sur rue demandent deux fois et demi plus que moi pour le même travail. l'argent n'est pas ma seule motivation.


Logo vuaztn - Eugenol
mac

29/03/2010 à 01h13

dentiste57 écrivait:
--------------------
! Sur Metz, les gros implanto avec pignon sur rue demandent deux fois et
> demi plus que moi pour le même travail.


comment c'est possible d'être 2,5 fois moins cher?


3f3boxni50k58rq7e9ce9ddqrxgk - Eugenol
dentiste57

29/03/2010 à 01h28

deux fois serait plus juste. si mes infos sont correctes, je crois que l'un d'entre eux demande 9000 pour la même chose.
à confirmer.

ici, j'avais aussi envie de faire un fleur à cette patiente, et puis je ne pose pas du Nobel à deux fois le prix des autres marques.

petit exemple de différences de prix entre Anthogyr et Nobel.

pilier multi unit simple; 217 € prix catalogue (nobel)
pilier simple même type; 75 € (Anthogyr)

multiunit angulé 30° ; 257 €
idem chez anthogyr ; 150 €

en fait ceux sont mes correspondants qui gagnent le plus. moi, je m'éclate grâce à la chir et ça me convient comme ça.


Logo vuaztn - Eugenol
mac

29/03/2010 à 01h48

Donc tu as demandé 4500 pour cette chir


3f3boxni50k58rq7e9ce9ddqrxgk - Eugenol
dentiste57

29/03/2010 à 02h05

à peine plus!


123...