Cookie Consent byPrivacyPolicies.comprognathe - Eugenol

prognathe

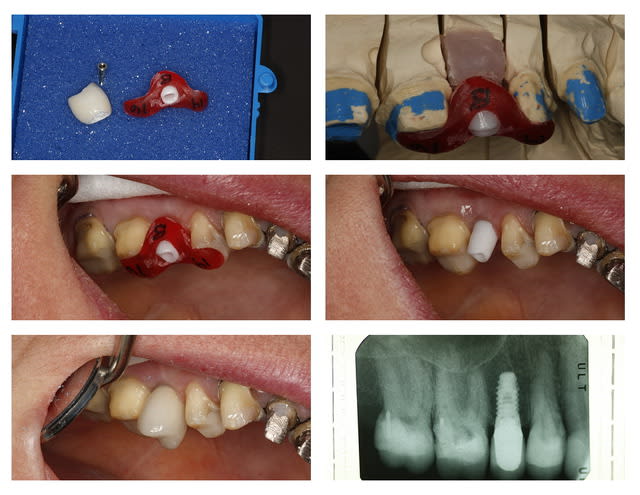
Casque beotien a3jo39 - Eugenol
beotien

16/11/2010 à 17h29

c'est posé
aucune vis
prothèse scellée


Utilisateur banni

16/11/2010 à 18h00

comment sont fixés les piliers, 23, 22?


Logo m4n3gc - Eugenol
drmarcus

16/11/2010 à 19h04

J'aime beaucoup!
Et le patient il en pense quoi?

--
"La vis est à l'implant ce que la carie est à la dent!" (Posi)


Smile beach jgh0a1 - Eugenol
Céramik

17/11/2010 à 04h37

beotien écrivait:
-----------------
> c'est posé
> aucune vis
> prothèse scellée

Tu as une radio ?
Une photo avec rétracteur ?

Merci



--
Céramik


Casque beotien a3jo39 - Eugenol
beotien

17/11/2010 à 09h48

posit écrivait:
---------------
> comment sont fixés les piliers, 23, 22?

comme les autres ce sont des cônes morses, uniquement impactés
pas de scellement
tu positionnes, un "coup" de maillet et c'est mis.

dr marcus
le patient est content du résultat, maintenant il faut voir dans le temps!
je te remercie de m'avoir fait connaitre ce système, qui correspond à ce que je pense de l'implanto
simple, efficace, et facile à utiliser pour les correspondants.

Céramik

j'ai juste un RX avec "cap" de cicat en place et une photo avant la pose des piliers
qu'est ce qu'un rétracteur??



Smile beach jgh0a1 - Eugenol
Céramik

17/11/2010 à 15h12

beotien écrivait:
-----------------
> qu'est ce qu'un rétracteur??
>
>
écarteurs photo, pour voir l'aspect de la prothèse et les tissus mous en vestibulaire...
La photo après, avec seulement le bout des dents nous laisse sur la faim...

Merci


--
Céramik


Casque beotien a3jo39 - Eugenol
beotien

17/11/2010 à 22h05

Céramik écrivait:
-----------------

> écarteurs photo, pour voir l'aspect de la prothèse et les tissus mous en
> vestibulaire...
> La photo après, avec seulement le bout des dents nous laisse sur la faim...

voili voilou, avant après et les tissus mous
le blanchiment du bas est prévu, un de mes associés le fera


Smile beach jgh0a1 - Eugenol
Céramik

18/11/2010 à 03h25

mince, c'est pas si difficile...
une belle photo avec les couronnes en place, de face, vue complête....

comme celle-ci...


;-)


--
Céramik

Apres close up vq1mur - Eugenol

Logo m4n3gc - Eugenol
drmarcus

18/11/2010 à 10h04

"Du bon usage de la divergence de la dent unitaire à la prothèse implanto-portée à l’aide d’implant à connectique cône morse sans vissage"

Lisez cet article dans "Journal d'implantologie" Novembre 2010. Consultable à l'ADf je pense sur le stand de Girod revue d'implantologie.

Cela pourrait vous aider à comprendre "les principes du futur"

Céramik: super esthétique ton cas! Très top model! Sur un prognathe le challenge est bien plus difficile et je doute qu'avec une connexion vis le porte faux eut été stable dans le temps. Je félicite l'exploit technique de Béotien en tout cas!

Au fait si ça vous intéressent vos implants sont peut etre sur ce lien:

http://www.kgu.de/zzmk/werkstoffkunde/


--
"La vis est à l'implant ce que la carie est à la dent!" (Posi)


Casque beotien a3jo39 - Eugenol
beotien

18/11/2010 à 12h03

Céramik écrivait:
-----------------
> mince, c'est pas si difficile...
> une belle photo avec les couronnes en place, de face, vue complête....
>
> comme celle-ci...


pfff!!!! il n'est pas prognathe ton patient



Logo m4n3gc - Eugenol
drmarcus

18/11/2010 à 12h31

Encore respect! Bravo à toi et au protho le cas était vraiment casse gueule.
Mince la "barre" a été mise haute! pour faire mieux?????

A+
--
"La vis est à l'implant ce que la carie est à la dent!" (Posi)


Utilisateur banni

18/11/2010 à 13h15

drmarcus écrivait:
------------------
> Encore respect! Bravo à toi et au protho le cas était vraiment casse gueule.
> Mince la "barre" a été mise haute! pour faire mieux?????
>
> A+

+1
le patient doit être satisfait


S2y2o1v7q53ws4r5wy6ou8czrpom - Eugenol
pxav

18/11/2010 à 13h47

beotien écrivait:
-----------------
> pfff!!!! il n'est pas prognathe ton patient

et le tiens non plus maintenant
tu en bluffe plus d'un sur ce coup.

La théorie, c'est quand on sait tout et que rien ne fonctionne. La pratique, c'est quand tout fonctionne et que personne ne sait pourquoi. Albert EINSTEIN

--
xbk


Smile beach jgh0a1 - Eugenol
Céramik

18/11/2010 à 14h15

beotien écrivait:
-----------------
> Céramik écrivait:
> -----------------
> > mince, c'est pas si difficile...
> > une belle photo avec les couronnes en place, de face, vue complête....
> >
> > comme celle-ci...
>
>
> pfff!!!! il n'est pas prognathe ton patient
>
>

C'était juste un exemple de photo, mieux cadré, pour voir le résultat final, c'est quand même la zone esthétique.

Question, tes pilliers que tu enfonce au marteau, tu les retires comment si cela est requis ?

Tu les positionnes comment, car la moindre erreur et le bridge ne fait pas non ?

Ankylos a maintenant 2 versions, avec et sans index, de son pillier morse (avec vis).

Je pense sérieusement essayer un système conique très bientôt...

Merci


--
Céramik


Smile beach jgh0a1 - Eugenol
Céramik

18/11/2010 à 14h21

drmarcus écrivait:
------------------
> >
> Céramik: super esthétique ton cas! Très top model!


Merci
Facettes Empress stratifiées, 6 ans post-op, dame jolie, de 60 ans !

C'est un exemple photo, pas implanto.

--
Céramik


Logo m4n3gc - Eugenol
drmarcus

18/11/2010 à 16h31

Céramik écrivait:
-----------------
> drmarcus écrivait:
> ------------------
> > >
> > Céramik: super esthétique ton cas! Très top model!
>
>
> Merci
> Facettes Empress stratifiées, 6 ans post-op, dame jolie, de 60 ans !
>
> C'est un exemple photo, pas implanto.
>
> --
> Céramik

Oui et alors c'est beau qd même!


--
"La vis est à l'implant ce que la carie est à la dent!" (Posi)


Casque beotien a3jo39 - Eugenol
beotien

18/11/2010 à 23h46

posit écrivait:
---------------
> drmarcus écrivait:
> ------------------
> > Encore respect! Bravo à toi et au protho le cas était vraiment casse gueule.
> > Mince la "barre" a été mise haute! pour faire mieux?????
> >
> > A+
>
> +1
> le patient doit être satisfait

oui le patient est très content de ne plus avoir de PAP

merci pour le protho, qui était déçu par la couleur trop orangé de la fausse gencive (même si elle n'est pas visible)
Les cérams sont superbes , et il a été séduit par la simplicité du système prothétique

perso pas de vis à serrer puis "désserrer" puis "resserer" en contrôlant le torque, c'est un énorme plus, et un gain de temps indéniable


Casque beotien a3jo39 - Eugenol
beotien

19/11/2010 à 00h08

Céramik écrivait:
-----------------

> Question, tes pilliers que tu enfonce au marteau, tu les retires comment si cela
> est requis ?

Pour répondre sincèrement la première fois lors de l'essayage de l'armature avec un peu d'inquiétude
En fait je les ai enlevé sans problème au davier
l'indexation est elle aussi faite par un cône morse

> Tu les positionnes comment, car la moindre erreur et le bridge ne fait pas non ?

tu ne peux pas faire d'erreur de positionnement, les faux moignons sont indexés et s'enlèvent du modèle en plâtre avec une tige qui les pousse par en dessous
je n'ai pas utilisé de clé de transfert ni de positionement

par ailleurs en cas de besoin le titane grade 5 peut se meuler en bouche, je n'ai pas encore essayer, mais ils disent que tu peux pour les unitaires poser le moignon et
tailler avant de prendre l'empreinte

>
> Ankylos a maintenant 2 versions, avec et sans index, de son pillier morse (avec
> vis).
>
> Je pense sérieusement essayer un système conique très bientôt...

je ne cherche pas à te convaincre, je n'ai pas assez de recul, mais tu aurais vraiment raison d'essayer

beotien








Casque beotien a3jo39 - Eugenol
beotien

19/11/2010 à 00h22

pxav écrivait:
--------------
> beotien écrivait:
> -----------------
> > pfff!!!! il n'est pas prognathe ton patient
>
> et le tiens non plus maintenant
> tu en bluffe plus d'un sur ce coup.
>
> La théorie, c'est quand on sait tout et que rien ne fonctionne. La pratique, c'est quand tout fonctionne et que personne ne sait pourquoi. Albert EINSTEIN


merci venant de toi le compliment me touche
j'aime beaucoup cette citation,même au second degré


Smile beach jgh0a1 - Eugenol
Céramik

19/11/2010 à 01h51

beotien écrivait:
-----------------
> Céramik écrivait:
>>
> tu ne peux pas faire d'erreur de positionnement, les faux moignons sont indexés


C'était le fond de ma question...
Le fait d'être indexé est un plus.

Merci

--
Céramik


flicflac

19/11/2010 à 07h56

très beau résultat, mais je ne comprend pas le titre de ce post... le patient est en classe II molaires, suite aux extractions du bloc incisif il a perdu environ 7-8 mm d'os en horizontal...
salut cousin


Utilisateur banni

19/11/2010 à 08h38

Céramik écrivait:
-----------------
> Tu les positionnes comment, car la moindre erreur et le bridge ne fait pas non ?

Pour les piliers standards Ankylos non indexés (voir photo)

Indexation c ne morse ankylos venao9 - Eugenol

Casque beotien a3jo39 - Eugenol
beotien

19/11/2010 à 13h42

d'après les MP je n'ai pas été clair

je mets donc une photo de g à d

1)le "cap" de cicatrisation, avec son embout, pour le mettre et le frapper
2)le transfert qui lui est indexé
3)un faux moignon droit indexé fixe que tu peux tailler en bouche
4)un FM avec une indexation par hexagone non solidaire avec elle aussi un cône morse, ce qui permet un positionnement à 360°.

Pour le système ANKYLOS non indexé
Posit à raison sans clé de repositionnement en métal WALOU!
donc un coût supplémentaire



ad-hugo

19/11/2010 à 14h31

beotien écrivait:
-----------------
> d'après les MP je n'ai pas été clair
>
> je mets donc une photo de g à d
>
> 1)le "cap" de cicatrisation, avec son embout, pour le mettre et le frapper
> 2)le transfert qui lui est indexé
> 3)un faux moignon droit indexé fixe que tu peux tailler en bouche
> 4)un FM avec une indexation par hexagone non solidaire avec elle aussi un cône
> morse, ce qui permet un positionnement à 360°.
>
> Pour le système ANKYLOS non indexé
> Posit à raison sans clé tu de repositionnent en métal WALOU!
> donc un coût supplémentaire
>
>
Je suis passé de ankylos à ankylos c/x c'est à dire indexé et ça me semble pas mal du tout
il ne leur manque plus qu'un implant court (genre 6mm)
VOUS ENTENDEZ MR FRIADENT!!!!!!!!!


Smile beach jgh0a1 - Eugenol
Céramik

19/11/2010 à 14h52

posit écrivait:
---------------
> Céramik écrivait:
> -----------------
> > Tu les positionnes comment, car la moindre erreur et le bridge ne fait pas non
> ?
>
> Pour les piliers standards Ankylos non indexés (voir photo)


Je fais cela aussi avec mon système hex interne, pour aider en bouche (je suis pas tro habile avec les p'tit vis)


--
Céramik

Implant 15 tnidxc - Eugenol