Cookie Consent byPrivacyPolicies.comcratérisation importante avec le krestal - Eugenol

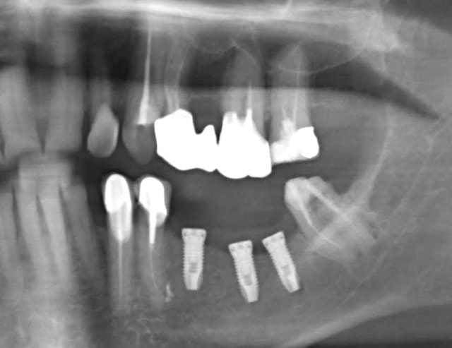
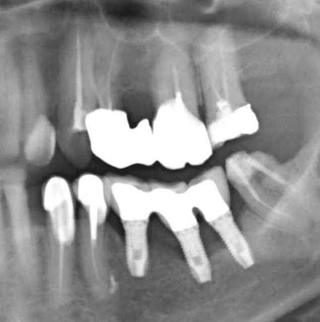
cratérisation importante avec le krestal

trimarc

18/06/2010 à 20h19

Christophe13 écrivait:
----------------------
>
> Je reviens là dessus car çà me semble être la clef
> il me semble que sur le 1° cas présenté,la partie biseautée de l'implant est
> enfouie et que la cratérisation est nulle, idem pour l'implant mésial du dernier
> cas.

ouvre les yeux: la crétérisation est importante à 4 mois ou à un an

> Sur son site Tekka préconise de mettre la partie supérieur de l'implant en
> juxtacrestal , donc le biseau est infraosseux...
> J'avais rencontré le même pb sur un cas que j'avais présenté sur ce forum sur
> des IDcam et l'on m'avait fait remarqué à raison que l'enfouissement de
> l'implant distal était insuffisant, résultat a 6 mois cratérisation mésial et
> distal du dernier implant et à un an stabilisation .
> Tu remarqueras que le biseau mésial de l'implant mésial qui a été correctement
> enfoui n'a pas bronché.

il y a cratérisation dans prseque tous les cas de figure: juxta ou infra-crestal.

il y a cratérisation aussi au sondage donc galère


trimarc

18/06/2010 à 20h20

growler écrivait:
-----------------
> as-tu constaté une différence en ce qui concerne les cratérisations entre ceux
> posés en un temps et ceux en 2 temps ?

OUIIIIIIIIIIIII

la cratérisation apparait avec la mise en place des vis de cicatrisation


Christophe13

18/06/2010 à 20h54

il faut garder espoir...
Grossière erreur lors des sutures et exposition de l'os et des implants, malgré tout on continue car belle gencive kératinisée après cicatrisation de ce bordel et résultat au bout de 2 ans ... (entre temps 38 a été virée)

7 oclvjx - Eugenol
9 yufmyr - Eugenol
8 khsxiq - Eugenol
10 hr0uw4 - Eugenol

Fresh watermelon 640x562 udulqz - Eugenol
gulguch

18/06/2010 à 21h27

fouilla ecrivait:

"et n'oublions pas aussi qu'il fut un temps ou certains grands systêmes n'étaient intéressés que par l'élite implantaire (la ils ont changé de politique depuis)"

+1, et dans les années 80 il y avait mème un "grand système" qui trouvait les dentistes trop.... pour placer des implants et voulait les réserver à des chir maxillo faciaux accrédités. J'étais allé à une réunion d'information dans une clinique, on nous avait dit que si on s'inscrivait au cours, etc, on aurait un diplôme qui nous donnerait le droit de faire la prothèse :-)))).
Maintenant les mèmes, ils nous draguent.


Blason dql7mj - Eugenol
growler

18/06/2010 à 22h35

trimarc écrivait:
-----------------
> growler écrivait:
> -----------------
> > as-tu constaté une différence en ce qui concerne les cratérisations entre ceux
> > posés en un temps et ceux en 2 temps ?
>
> OUIIIIIIIIIIIII
>
> la cratérisation apparait avec la mise en place des vis de cicatrisation


tu veux dire qu'en un temps il n'y a pas le problème mais qu'en 2 temps oui ?


moi je trouve cet implant bâtard et je ne serais pas étonné que le petit "platform switching" présent soit franchement insuffisant pour que la création de l'espace biologique ne se fasse pas au détriment de l'os péri-implantaire. Ce déport jonctionnel n'est pas plus important que celui présent sur astra par exemple alors que la connexion plane nécessiterait d'être franchement à distance.


Logo m4n3gc - Eugenol
drmarcus

19/06/2010 à 09h34

Comme le dit Joseph Choukroun: Que faut il pour faire de l'os? Pourquoi laissez vous de l'espace entre 2 implants? Voila 2 pistes essentielles que j'essaye de developper. Difficile à prouver cependant car je ne suis pas un universitaire et je manque de cas pour ça. Encore pire une étude comparative m'est impossible je ne travaille que par les publis mais un grand faisceau d'indices tend à montrer que si les microspires améliorent la stabilité primaire dans le temps il peut apparaitre une cratérisation. Par la suite la maintenance est difficile voir impossible lors de switching platform associée. N'hésitez pas à donner vos avis m^me les plus incendiaires.
De toute façon je suis fou alors.....


ned

19/06/2010 à 10h17

trimarc écrivait:
-----------------
> growler écrivait:
> -----------------
> >
>
> la cratérisation apparait avec la mise en place des vis de cicatrisation

cette craterisation pourrait etre du à un probleme d'espace biologique
un peu comme celle qui nait autour d'on col lisse implantaire placé trop infraosseux


Blason dql7mj - Eugenol
growler

19/06/2010 à 10h22

Paulo G. Coelho a publié sur la cicatrisation osseuse en fonction des états de surface et de la macrogeométrie des implants.

http://www.medicinaoral.com/medoralfree01/v15i1/medoralv15i1p119.pdf

http://www3.interscience.wiley.com/journal/122382894/abstract

on a aussi Abrahamsson I, Berglundh T.
http://www.ncbi.nlm.nih.gov/pubmed/16919018

et Lee DW, Choi YS, Park KH, Kim CS, Moon IS.
http://www.ncbi.nlm.nih.gov/pubmed/17441983



en ce qui concerne ces micro-spires, tekka, à la demande d'utilisateurs ayant constaté des cratérisations à ce niveau, propose le progress sans les microspires:

http://www.tekka.eu/tekka/resource/filecenter/document/042-000010-000/00df-progress-fr-ed-1-09-nouveaute-apercu.pdf


Logo m4n3gc - Eugenol
drmarcus

19/06/2010 à 10h39

ned écrivait:

>
> cette craterisation pourrait etre du à un probleme d'espace biologique
> un peu comme celle qui nait autour d'on col lisse implantaire placé trop
> infraosseux

FAUX je m'explique:
Si il existe un gap créant des micromouvements comme la prouvé avec un film édifiant des chercheurs de l'université de Frankfurt OUI il y a cratérisation.
Il n'y a pas de cratérisation avec un col lisse si l'étanchéité bactérienne est parfaite tel que le fait Leone car l'implant et sa supra stucture se comporte comme un implant monobloc. D'ailleurs Tekka l'a très bien compris en sortant son twin cone en parlant de tissue creeping profile; le col est lisse! C'est le même principe pour Ankylos et Bicon à l'origine.
Besoin d'autres explications?


Logo m4n3gc - Eugenol
drmarcus

19/06/2010 à 10h44

growler écrivait:
-----------------
> Paulo G. Coelho a publié sur la cicatrisation osseuse en fonction des états de
> surface et de la macrogeométrie des implants.
>
> http://www.medicinaoral.com/medoralfree01/v15i1/medoralv15i1p119.pdf
>
> http://www3.interscience.wiley.com/journal/122382894/abstract
>
> on a aussi Abrahamsson I, Berglundh T.
> http://www.ncbi.nlm.nih.gov/pubmed/16919018
>
> et Lee DW, Choi YS, Park KH, Kim CS, Moon IS.
> http://www.ncbi.nlm.nih.gov/pubmed/17441983
>
>
>
> en ce qui concerne ces micro-spires, tekka, à la demande d'utilisateurs ayant
> constaté des cratérisations à ce niveau, propose le progress sans les
> microspires:
>
> http://www.tekka.eu/tekka/resource/filecenter/document/042-000010-000/00df-progress-fr-ed-1-09-nouveaute-apercu.pdf
>


Oui tout ça c'est bien mais je parle de micro circulation sanguine et de neo vaisseaux, c'est bcp plus hard car de la medecine générale appliquée, c'est plutot du coté chirurgie orthopédique voir réparatrice qu'est la solution; du moins je pense. Ce que tu cites est plus que pertinent mais que le début.


Fresh watermelon 640x562 udulqz - Eugenol
gulguch

19/06/2010 à 12h19

Juste une remarque: historiquement les implants à "col plus étroit que le corps de l'implant", avec donc un biseau au col, allaient de pair avec un positionnement infra-osseux, et donc obligatoirement avec une connection conique étanche.
C'était le cas du Bicon né dans les années 80 et qui a prouvé son concept sur la durée.
Par contre, un biseau au col + position juxta-osseuse + connexion non étanche, c'est un concept non prouvé.

Tu as un gap autour du col de l'implant au niveau du biseau aprés le forage. Meme s'il se comble durant l'ostéointégration, c'est de l'os néoformé, faible qui est attaqué à la réouverture par ton patient porteur de tartre.

Cela n'exclut nullement l'association avec d'autres causalités.

A+


Logo m4n3gc - Eugenol
drmarcus

19/06/2010 à 12h49

gulguch écrivait:
-----------------

> Par contre, un biseau au col + position juxta-osseuse + connexion non étanche,
> c'est un concept non prouvé.
>
> Tu as un gap autour du col de l'implant au niveau du biseau aprés le forage.
> Meme s'il se comble durant l'ostéointégration, c'est de l'os néoformé, faible
> qui est attaqué à la réouverture par ton patient porteur de tartre.
>
> Cela n'exclut nullement l'association avec d'autres causalités.
>
> A+

Tout à fait d'accord! Dans les causalités j'ai eu un pb d'occlusion non remarqué au départ; la patiente revient 2 ans après la mise en charge petit souci! Vérification de l'occlusion retouche repérage du point de prématurité et tout rentre dans l'ordre. C'est un exemple et valable quelque soit la marque.


Blason dql7mj - Eugenol
growler

19/06/2010 à 13h04

gulguch écrivait:

> Par contre, un biseau au col + position juxta-osseuse + connexion non étanche,
> c'est un concept non prouvé.
>



+1, c'est bien pour cela que je trouve cet implant incohérent.


64cb

19/06/2010 à 19h11

D'autres confréres ont-ils des phénoménes de cratérisations avec des In-kone de Tekka et avec des poses en un temps ou deux temps? Merci


Jomiro

19/06/2010 à 20h48

drmarcus écrivait:
------------------
> que si les microspires améliorent la stabilité primaire dans le temps il peut
> apparaitre une cratérisation. Par la suite la maintenance est difficile voir
> impossible lors de switching platform associée.

J'ai exactement le même sentiment et c'est pour cette raison que j'ai arrèté de poser des implants à microspires.


ned

20/06/2010 à 00h55

Jomiro écrivait:
----------------
> drmarcus écrivait:
> ------------------
> > que si les microspires améliorent la stabilité primaire dans le temps il peut
> > apparaitre une cratérisation. Par la suite la maintenance est difficile voir
> > impossible lors de switching platform associée.
>
> J'ai exactement le même sentiment et c'est pour cette raison que j'ai arrèté de
> poser des implants à microspires.
et dans le meme ordre d'idee j'ai l'impression que mes tbr conic avec col lisse sont pas si mal si le col lisse n'est pas trop infraosseux à la pose


Little shop of horrors brzqjx - Eugenol
chatondecarte

20/06/2010 à 01h08

c'est tout l'intérêt du col lisse. Ça caractérise pépère au niveau du col lisse, du coup on a un espace biologique compatible avec une connexion à plat.


nolive

20/06/2010 à 23h59

Jomiro écrivait:
----------------
>
> J'ai exactement le même sentiment et c'est pour cette raison que j'ai arrèté de
> poser des implants à microspires.

as-tu essayé les implants AstraTech ? Si oui, as-tu vraiment eu beaucoup de cratérisation ? Personnellement,je n'en remarque franchement pas et je suis persuadé que ça ne vient pas de moi mais bien des implants et de leur protocole chirurgical.


sinclair

21/06/2010 à 00h15

cher amis

j'ai essayé de rationnaliser le concept de la perte osseuse marginale

je pense qu'il faut différencier 2 temps:
-la chirurgie
-la maintenance post prothèse

pour ne pas perdre d'os au moment de l'ostéointégration, il ne faut pas trop "compresser" l'os crestal qui a moins de vaisseaux pour ce faire il faut un protocole chirurgical adapté à la qualité osseuse au niveau de la crête (d'où l'intérêt des countersink côniques).

en ce qui concerne la portion crestale de l'implant il faudrait au minimum et par ordre d'importance:
- un switching platform intégré à la conception de l'implant
- une connectique étanche c'est à dire connection cônique et parfaite adaptation des pièces
- un etat de surface rugueux

en ce qui concerne le microfiletage il ne semble pas apporter grand chose si ce n'est des problèmes de maintenance si ces filets devenaient apparents

à part le choix du système implantaire et la technique chirurgicale il faut considérer le diamètre de l'implant

plus le diamètre du col augmente moins la contrainte transmise à l'os est importante
et plus le switching platform est important
en fait pour comparer les performances de système d'implants il faudrait le faire à diamètre identique.

en ce qui concerne la maintenance elle est parodontale mais aussi occlusale en vérifiant la protection mutuelle


Jomiro

21/06/2010 à 00h15

Non je n'ai jamais posé d'Astra, il s'agissait d'Aesthetika.


Fresh watermelon 640x562 udulqz - Eugenol
gulguch

21/06/2010 à 00h51

sinclair écrivait:
------------------

>
> plus le diamètre du col augmente moins la contrainte transmise à l'os est
> importante


minute, moins le diamètre est important aussi, moins il y a de bactéries, et plus il y d'os et de circulation.
Les gros diamètres (+ de 4,5mm) on souvent montré plus de perte osseuse que les diamètres traditionnels. ( le fameux V-shaped defect)
De plus il est a noter que les trés petits diamètres ( inf à 3mm) ne perdent pratiquement pas d'os.


Blason dql7mj - Eugenol
growler

21/06/2010 à 01h18

gulguch écrivait:
-----------------
...moins le diamètre est important aussi, moins il y a de bactéries...


je vois pas trop pourquoi il y aurait moins de bactéries relativement à la circonférence de l'implant ? (sauf à ce que les petits implants permettraient la présence d'embrasures plus larges et propices au contrôle de plaque)


en revanche il est certain qu'il faut prendre un diamètre compatible avec l'os disponible et la proximité des dents ou implants voisins.



sinclair

21/06/2010 à 11h22

gulguch écrivait:
-----------------

>
> minute, moins le diamètre est important aussi, moins il y a de bactéries, et
> plus il y d'os et de circulation.
> Les gros diamètres (+ de 4,5mm) on souvent montré plus de perte osseuse que les
> diamètres traditionnels. ( le fameux V-shaped defect)
> De plus il est a noter que les trés petits diamètres ( inf à 3mm) ne perdent
> pratiquement pas d'os.


gulguch,
avant de poser un implant il faut respecter les règles de positionnement cad 1.5mm d'os au mini en périphérie de l'implant
de plus je parlais de transmission de contraintes à l'os crestal or touts les études par éléments finis montrent que plus le diamètre augmente moins la contrainte transmise est importante


Fouilla h6plsy - Eugenol
fouilla

21/06/2010 à 12h08

sinclair écrivait:
------------------

> études par éléments finis montrent que plus le diamètre augmente moins la
> contrainte transmise est importante
et inversement pour la longueur...

--
.


Fresh watermelon 640x562 udulqz - Eugenol
gulguch

21/06/2010 à 21h19

sinclair écrivait:
------------------

>
> gulguch,
> avant de poser un implant il faut respecter les règles de positionnement cad
> 1.5mm d'os au mini en périphérie de l'implant

...ça c'est bien.


> de plus je parlais de transmission de contraintes à l'os crestal or touts les
> études par éléments finis montrent que plus le diamètre augmente moins la
> contrainte transmise est importante

Alors là tu as parfaitement raison, je le dis et l'écris avec toi, les études par éléments... etc, oui c'est vrai.
Je dis mème avec toi quel les implants larges sont trés supérieurs aux implants minces. Enfin, dans les études par ordinateur, ou sur le papier.
In vivo, c'est une autre histoire; j'ai vécu la "mode des implants larges" dans les années 90, sur la foi de ces fameuses études par éléments finis qui étaient trés à la mode à l'époque: résultats aprés qq mois, + de perte d'os que sur les 3,75mm traditionnels, ce n'était pas mieux, c'était pire!
Ce qui veut dire que d'autres facteurs que la force sont critiques. D'ailleurs cette perte d'os apparait souvent dés le 2ème temps chirurgical.
Mu-ti-fac-toriel, OK?
Depuis, quand j'emploie du 5mm, c'est pour la résistance mécanique, pas dans l'espoir de voir croitre l'os. Et le 6 j'ai arrété.
A+


1234...