Cookie Consent byPrivacyPolicies.comcratérisation importante avec le krestal - Eugenol

cratérisation importante avec le krestal

Fresh watermelon 640x562 udulqz - Eugenol
gulguch

21/06/2010 à 21h29

growler écrivait:
-----------------
> gulguch écrivait:
> -----------------
> ...moins le diamètre est important aussi, moins il y a de bactéries...
>
>
> je vois pas trop pourquoi il y aurait moins de bactéries relativement à la
> circonférence de l'implant ? (sauf à ce que les petits implants permettraient la
> présence d'embrasures plus larges et propices au contrôle de plaque)


Bon parce que 2 x Pi x R.
Alors depuis le "platform swiching" tu peux me dire que le col du pilier peur être bien plus petit que celui de l'implant. Ce n'est pas faux. Inversement peut être qu'un des avantages accessoires de ce P.S. est de diminuer le diamètre transgingival aussi..
Les implants avant Branemark avaient un col transgingival mince et 30 ans aprés on y est revenu.
A+


sinclair

22/06/2010 à 00h11

gulguch écrivait:
-----------------


> In vivo, c'est une autre histoire; j'ai vécu la "mode des implants larges" dans
> les années 90, sur la foi de ces fameuses études par éléments finis qui étaient
> trés à la mode à l'époque: résultats aprés qq mois, + de perte d'os que sur les
> 3,75mm traditionnels, ce n'était pas mieux, c'était pire!
> Ce qui veut dire que d'autres facteurs que la force sont critiques. D'ailleurs
> cette perte d'os apparait souvent dés le 2ème temps chirurgical.
> Mu-ti-fac-toriel, OK?
> Depuis, quand j'emploie du 5mm, c'est pour la résistance mécanique, pas dans
> l'espoir de voir croitre l'os. Et le 6 j'ai arrété.
> A+

cher gulguch

j'utilise des implants de 5,6 voir 7mm de diamètre dans avoir plus de perte crestale que sur des implants de plus petit diamètre
c'est sans aucun doute Multifactoriel :0)

à suivre...


trimarc

23/06/2010 à 19h17

tekka m'a contacté, mais ils n'ont pas répondu à ma question
"ah bon, désolé mais on ne sait pas"

pas top comme réaction.
maintenant, je fais quoi?


Fresh watermelon 640x562 udulqz - Eugenol
gulguch

23/06/2010 à 19h55

Cher sinclair,
ça a l'air de t'énerver prodigieusement ce que je te dis, mais ce n'est pas grave.:-)
Je suis moi mème un élève de Misch qui expliquait tout à l'époque par les forces, mais les évidences quotidiennes m'ont conduit à mettre de l'eau dans mon vin.
Si tu es si heureux avec le 7, super, faut passer au 8:-)).
Allez, sans rancune.

P.S. Je veux casser les rèves de personne, mais un spécialiste des éléments finis m'a dit à la fin de sa communication que cette méthode avait depuis longtemps atteint ses limites: simplement parce que l'os n'est pas isotrope:-))).


Blason dql7mj - Eugenol
growler

23/06/2010 à 21h40

gulguch écrivait:
-----------------


....Bon parce que 2 x Pi x R. .....


ok gulguch, mais dans le grand sud, que la plage soit grande ou petite, tu ne peux guère avoir plus de 8 à 10 manchots au m².


Grueavatar nptrc9 - Eugenol
Le Choixpeau magique

23/06/2010 à 23h11

trimarc écrivait:
-----------------
> tekka m'a contacté, mais ils n'ont pas répondu à ma question
> "ah bon, désolé mais on ne sait pas"


Ils pouvaient difficilement te conseiller de changer de marque...


Fresh watermelon 640x562 udulqz - Eugenol
gulguch

24/06/2010 à 00h06

growler écrivait:
-----------------
> gulguch écrivait:
> -----------------
>
>
> ....Bon parce que 2 x Pi x R. .....
>
>
> ok gulguch, mais dans le grand sud, que la plage soit grande ou petite, tu ne
> peux guère avoir plus de 8 à 10 manchots au m².

Sacré gro et son univers de manchots, d'icebergs, de (cones) morses.
C'est vrai, grow mais dans le sud (le mien), le soleil tape dur et les patients ont donc de l'os type 1, trop souvent. Ceux là c'est pas des candidats pour les gros diamètres.


Logo vuaztn - Eugenol
mac

24/06/2010 à 15h59

je sais que mon avis n'intéresse personne, mais pour moi ce qu'il t'arrive c'est simplement la recréation d'un espace biologique , il semble que tes piliers aient une hauteur très réduites, et du coup ta couronne est trop proche du niveau osseux, d'où cratérisation pour retrouver un espace biologique physiologique.


Fouilla h6plsy - Eugenol
fouilla

24/06/2010 à 16h36

et ben voila la réponse de la "famille"

il est très utile de se savoir épaulé dans le bonheur mais encore plus dans le MALHEUR

tout ça n'est que très peu étonnant et puis en parler sur nonol ne dérange en rien puisque personne de TEKKA ne nous lit...

il y à quelques années j'ai eu un problème avec des AL : on change de boîte et de façon systématique les patients réagissaient (paleur extrême et malaise vagual ) comme ils ne sont pas stockés dans mon cab ma réaction a été de demander si on avait changé de lot et bingo !
donc de retour de 9 boîtes et je garde la boîte en cause le labo m'explique que non l'AL n'est pas en cause après vérification des dosages

mais j'e garde ma petite boîte que le labo m'a ....réclamé six mois après car il y avait des problèmes je crois bien que j'ai gardé tous les courriers échangés et je crois bien qu'ils ne savaient plus comment faire pour se sortir de ce mauvais pas donc ils ont acheté et pis c'est tout....

c'est drôle comme on est seul face aux problèmes à l'époque point de nonol dommage

tu fais quoi ? t'appelle mr le directeur non ???

--
.


Fouilla h6plsy - Eugenol
fouilla

24/06/2010 à 17h06

;


--
.


Little shop of horrors brzqjx - Eugenol
chatondecarte

24/06/2010 à 17h18

mac écrivait:
-------------
> je sais que mon avis n'intéresse personne, mais pour moi ce qu'il t'arrive c'est
> simplement la recréation d'un espace biologique , il semble que tes piliers
> aient une hauteur très réduites, et du coup ta couronne est trop proche du
> niveau osseux, d'où cratérisation pour retrouver un espace biologique
> physiologique.


+10
Mais je pense que la proximité connexion/crête osseuse y joue aussi pour beaucoup.


trimarc

25/06/2010 à 00h21

mac écrivait:
-------------
> je sais que mon avis n'intéresse personne, mais pour moi ce qu'il t'arrive c'est
> simplement la recréation d'un espace biologique , il semble que tes piliers
> aient une hauteur très réduites, et du coup ta couronne est trop proche du
> niveau osseux, d'où cratérisation pour retrouver un espace biologique
> physiologique.

le seul problème, c'est que la cratérisation apparait avec les vis de cicatrisation.
donc je pense que mon protocole de forage n'est pas le bon..


Grueavatar nptrc9 - Eugenol
Le Choixpeau magique

25/06/2010 à 00h26

trimarc écrivait:
-----------------
> le seul problème, c'est que la cratérisation apparait avec les vis de
> cicatrisation.
> donc je pense que mon protocole de forage n'est pas le bon..

Bah oui, dés que l'évasement de la vis crée l'inflammation, non ?


rene

25/06/2010 à 00h37

je viens de lire le post sur le krestal

j'ai exactement les memes problemes de craterisation que toi
quelque part je suis content de ne pas etre le seul
tekka me dit que je suis le seul dans ce cas et que rien n'est remonté jusqu'a present

c'est vrai que des que c'est en 2 temps : aucun probleme
mais craterisation quasi systematique sur le 1 temps

je ne sais quoi faire
prothese ou non ?
deposer et reposer?
qu'est ce que ça va donner dans le futur?
etc etc etc




64cb

25/06/2010 à 02h20

rene écrivait:
--------------

> j'ai exactement les memes problemes de craterisation que toi
> quelque part je suis content de ne pas etre le seul
> tekka me dit que je suis le seul dans ce cas et que rien n'est remonté jusqu'a
> present

Si c'est en zone postérieure tu as tout intéret à finir la prothése,en zone antérieure c'est au cas par cas.
Quelqu'un a-t-il eu les mêmes phénoménes de cratérisation avec l'In-Kone ?


Little shop of horrors brzqjx - Eugenol
chatondecarte

25/06/2010 à 02h22

A priori si c'est à cause de la connexion à plat, la cratérisation devrait se stabiliser à 3 mm de la jonction pilier/implant, de quoi refaire un espace biologique.


Christophe13

25/06/2010 à 15h35

Juste un petit rappel qui permet de comprendre certaines mésaventures de cratérisation .
"Les os sont de plus entourés d’une fine enveloppe conjonctive (Ne se situe qu'aux surfaces non recouvertes de cartilage) : le périoste, contribuant à l'innervation, la croissance, la VASCULARISATION et à la CICATRISATION de l'os."

Par ailleurs avec un lambeau de pleine épaisseur une fois décollé le périoste (attaché au lambeau) se nécrose, et donc nécrose partielle de l'os cortical avec repositionnement plus apical de celui ci.

Après je veux bien qu'on me parle de cone morse , d'infiltration bactérienne, de connectique à plat, d'effets de cisaillement, d'état de surface etc mais l'essentiel est il me semble dans la physiologie osseuse qui a du être décrite il y a au moins un siècle. Je reconnais que c'est pas très fun comme argument marketing.

Donc soit on arrive à percer l'os sans perforer le périoste ! soit on essai de le ménager au maximum et surtout d'anticiper la nécrose corticale inéluctable à la pose d'implants.


Rorschachwhite tx6rqr - Eugenol
Candide Candida

25/06/2010 à 19h24


Mouaif ^^

Ce qui veut dire que toute chir implantaire découverte (sans flapless) devrait déboucher sur une perte osseuse et une craterisation.

Ce qui n'est pas le cas.

Donc ne raisonner que sur de l'histologique est insuffisant, mettre en avant des arguments basés sur la macro-morpholgie, l'état de surface, la connectique ou le niveau osseux/épaisseur periphérique ne semble pas completement idiot.

Classer ces paramètres par ordre d'importance serait encore plus pertinent.

CC.


Christophe13

25/06/2010 à 20h39

Candide Candida écrivait:
-------------------------
>
> Mouaif ^^
>
> Ce qui veut dire que toute chir implantaire découverte (sans flapless) devrait
> déboucher sur une perte osseuse et une craterisation.
>
> Ce qui n'est pas le cas.

ah bon . les radios à 3 mois stp , car cette perte n'est pas irréversible heureusement.

> Donc ne raisonner que sur de l'histologique est insuffisant, mettre en avant des
> arguments basés sur la macro-morpholgie, l'état de surface, la connectique ou le
> niveau osseux/épaisseur periphérique ne semble pas completement idiot.

Entièrement d'accord car ces éléments vont favoriser ou non la cicatrisation du périoste


>
> Classer ces paramètres par ordre d'importance serait encore plus pertinent.

Là çà va être la guerre ...


Rorschachwhite tx6rqr - Eugenol
Candide Candida

25/06/2010 à 22h25

Christophe13 écrivait:
----------------------

> ah bon . les radios à 3 mois stp , car cette perte n'est pas irréversible
> heureusement.

On parle depuis le début de 'cratérisation' pas de perte osseuse marginale, ou de remaniements post-chir etc ..

Quand j'ai vu les Rx présenté ici, j'ai eu la même réaction que mac, j'y ai plus vu des remaniements osseux physiologiques que pathologiques, et ces pertes osseuses ne me semblaient pas toutes mériter le terme de craterisation.

Mais je n'ai pas une grande expérience en craterisation :-)

J'avoue avoir été bluffé plusieurs fois dans les congrès où les utilisateurs d'Ankylos montraient la repousse osseuse sur la platerforme implantaire : hoax ?

Voici trois Rx : cratère ou pas ? quel taux d'échec à 5 ans (tout les implants), ce sont les mêmes : 3I plateforme plate, deux temps chir, pas de plateform switching, pilier vissé prothèse scellée, 3 mois d'OI.

> > Classer ces paramètres par ordre d'importance serait encore plus pertinent.
>
> Là çà va être la guerre ...

Je ne vois pas pourquoi, on peut tous donner son avis sur ses expériences et pas uniquement des copycat des brochures des sociétés ^^

CC.

Crat 1 k8pnfh - Eugenol
Crat 2 ra8vyw - Eugenol
Crat 3 hpsffn - Eugenol

consult

26/06/2010 à 10h11

Bonjour à tous,

J'ai les mêmes images avec 3I et leur connexion interne. Je n'avais pas ces soucis quand je posais de l'hexagone externe de la même marque: j'ai de meilleures radios de mes cas d'il y a dix ans. Cependant la "cratérisation" semble se stabiliser. On perd tout de même 2 mm de hauteur, ce qui fait 20% pour un 10 mm.

J'en ai parlé avec les commerciaux qui me répondent encore aujourd'hui que je suis le seul.

Je pose, en plus de 3I, depuis six mois du TEKKA IN KONE qui n'a rien à voir avec le Krestal. Donc pas de recul, mais les premiers contrôles semblent très positifs.

Je ne suis pour aucune guerre entre les systèmes, mais un débat dépassionné pourrait nous rendre bien des services, surtout vis à vis des commerciaux.


Logo vuaztn - Eugenol
mac

26/06/2010 à 11h14

consult écrivait:
-----------------
> Bonjour à tous,
>
> J'ai les mêmes images avec 3I et leur connexion interne. Je n'avais pas ces
> soucis quand je posais de l'hexagone externe de la même marque: j'ai de
> meilleures radios de mes cas d'il y a dix ans. Cependant la "cratérisation"
> semble se stabiliser. On perd tout de même 2 mm de hauteur, ce qui fait 20% pour
> un 10 mm.
>
>

tes implants ont un col lisse?


sinclair

27/06/2010 à 17h45

Christophe13 écrivait:
----------------------
>
> >
> > Classer ces paramètres par ordre d'importance serait encore plus pertinent.
>
> Là çà va être la guerre ..

Numéro 1 incontesté le switching platform
mais quel est selon vous le retrait minimum pour un effet maximum du switching platform
ce que l'on voit a travers différentes études c'est que 0.5 mm en périphérie suffit
qu'en est il si on a moins de 0.5?


consult

28/06/2010 à 09h44

mac écrivait:
-------------
> tes implants ont un col lisse?

Au début de la connexion interne ils avaient un col lisse.
Les derniers utilisés n'en avaient pas.
Mêmesimages quel que soit le col pour ce qui me concerne.


Blason dql7mj - Eugenol
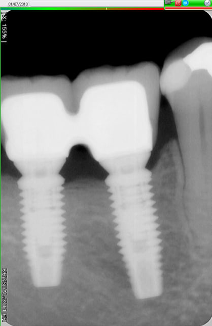
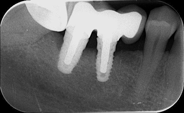
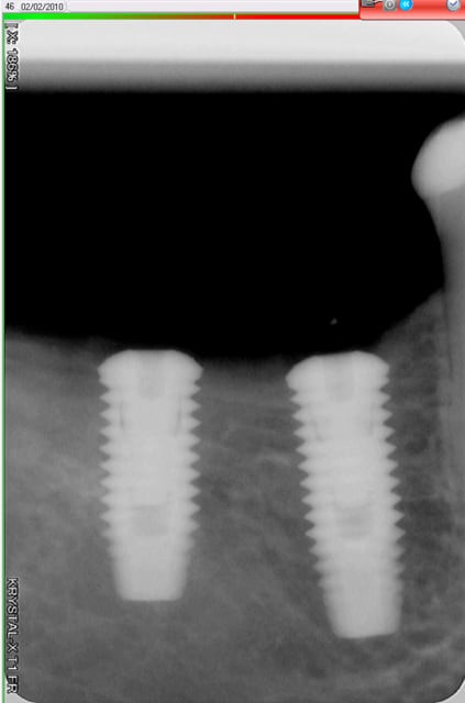
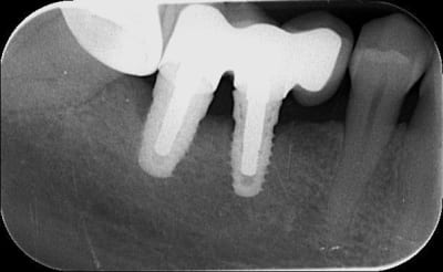
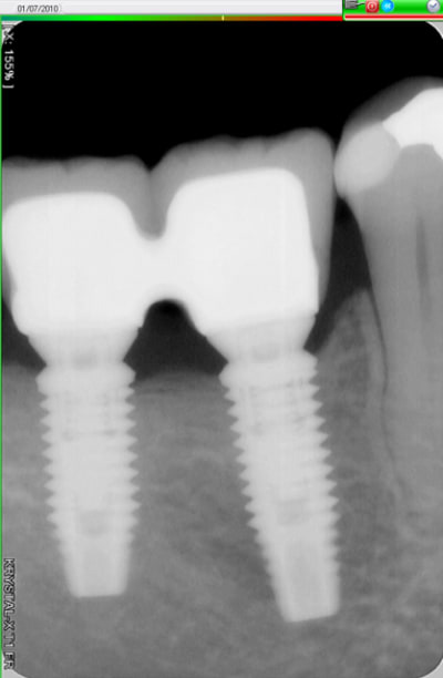
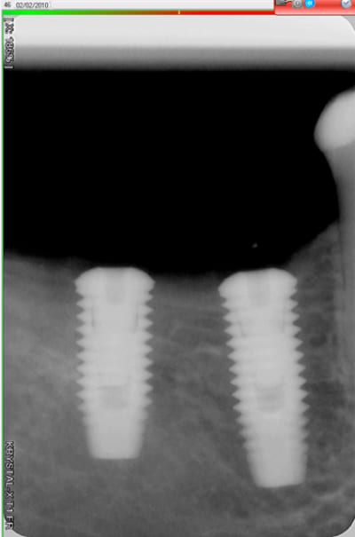
growler

01/07/2010 à 13h03

j'ai posé deux easy avec le biseau enfoui dans l'os. A 3 mois, pose des piliers de cicatrisation et un mois plus tard pose de la prothèse.

manifestement l'os ne reste pas en place à ce niveau
je prendrai un cliché dans 3 mois pour évaluer ce qu'il advient de la zone mésiale du col de l'implant distal.

46 47 xvjblf - Eugenol
46 47 pose kiaay7 - Eugenol

12345...