Cookie Consent byPrivacyPolicies.comcratérisation importante avec le krestal - Eugenol

cratérisation importante avec le krestal

gianni

01/07/2010 à 13h29

candide candida et son bon sens...
on peut pas opposer histologie et macroparametres implantaires, les derniers sont au service de la premiere.
A ce jour, on ne sait toujours pas avec précision et de manière reproductible quels sont les critères d 'une ostéointegration réussie. Il faut donc considérer l' ensemble des paramètres comme d'égale valeur. Ca me rappelle la discussion sur lien entre vitesse de rotation et quantité de nécrose. Personne n' a encore précisément défini ce lien. Ce qui est passionnant car on a encore de nombreuses zones d' ombre sur cette discipline.


S2y2o1v7q53ws4r5wy6ou8czrpom - Eugenol
pxav

01/07/2010 à 13h41

growler écrivait:
-----------------

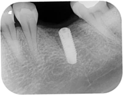
> manifestement l'os ne reste pas en place à ce niveau
> je prendrai un cliché dans 3 mois pour évaluer ce qu'il advient de la zone mésiale du col de l'implant distal.

Salut Growler
sauf erreur il s'agit de prothèse scellée, et le problème de ce type de prothèse est qu'il est quasi impossible d'être sur à 100% que le ciment (même en dose infinitésimale) ne fuse pas.
Il faut peut être chercher aussi à cette endroit une des cause de la perte osseuse?
Bien entendu pas de certitude dans ce que je dis, simple remarque.

--
xbk


sinclair

01/07/2010 à 18h41

pxav écrivait:
--------------
> growler écrivait:
> -----------------
>
> > manifestement l'os ne reste pas en place à ce niveau
> > je prendrai un cliché dans 3 mois pour évaluer ce qu'il advient de la zone
> mésiale du col de l'implant distal.
>
> Salut Growler
> sauf erreur il s'agit de prothèse scellée, et le problème de ce type de prothèse
> est qu'il est quasi impossible d'être sur à 100% que le ciment (même en dose
> infinitésimale) ne fuse pas.
> Il faut peut être chercher aussi à cette endroit une des cause de la perte
> osseuse?
> Bien entendu pas de certitude dans ce que je dis, simple remarque.
>
> --
> xbk


salut

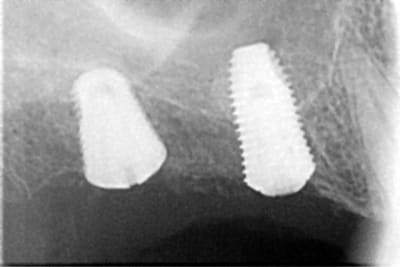
il faut évidemment retirer les excès de ciment mais le scellement en soi ne provoque pas de perte osseuse
comme ce petit cas
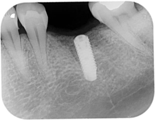
la 2ème radio est prise 18 mois après la 1ère

PS pour Gulguch c'est bien un implant de 6 mm de diamètre en distal et pourtant pas la moindre perte osseuse...
>

300109 r93ndp - Eugenol
240610 g6kjwv - Eugenol

S2y2o1v7q53ws4r5wy6ou8czrpom - Eugenol
pxav

01/07/2010 à 21h46

sinclair écrivait:
------------------>
> salut
>
> il faut évidemment retirer les excès de ciment mais le scellement en soi ne
> provoque pas de perte osseuse
> comme ce petit cas
> la 2ème radio est prise 18 mois après la 1ère
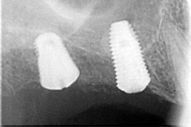
si tu regarde bien la radio il y a une "esquille" (tarte ou /et ciment) entre les deux piliers et mauvais "joint" donc il ne faut peut être pas accuser l'implant dans ce cas là.
Aucune critique perso, simplement un œil étranger qui regarde.

--
xbk


sinclair

01/07/2010 à 22h01

je voulais justement signifier l'inverse cad malgré des "soucis" de tartre et joint le niveau osseux est au dessus de l'implant


Logo vuaztn - Eugenol
mac

02/07/2010 à 00h02

growler écrivait:
-----------------
> j'ai posé deux easy avec le biseau enfoui dans l'os. A 3 mois, pose des piliers
> de cicatrisation et un mois plus tard pose de la prothèse.
>


pourquoi du 2 temps?


Fresh watermelon 640x562 udulqz - Eugenol
gulguch

02/07/2010 à 00h23

sinclair ecrivait:
"PS pour Gulguch c'est bien un implant de 6 mm de diamètre en distal et pourtant pas la moindre perte osseuse.."

... et oui mais le fabriquant a eu la bonne idée de faire un pilier nettement plus étroit, et encore de réduire considérablement le diamètre de l'implant au niveau du col par un biseau externe, tout cela surement pour de bonnes raisons, :-).

et si tu avais suivi la discussion entre grow et moi ou on a parlé de ça, ça nous éviterait des polémiques stériles.


sinclair

02/07/2010 à 12h20

gulguch écrivait:
-----------------
>
>
> et si tu avais suivi la discussion entre grow et moi ou on a parlé de ça, ça
> nous éviterait des polémiques stériles.

ouh la !!!
tu es donc susceptible

c'était juste un clin d'oeil, il ne faut y voir aucune polemique

il faut rester cool la fac est finie...


arno

02/07/2010 à 14h39

c'est quoi comme implants sinclair stp


sinclair

02/07/2010 à 18h34

arno écrivait:
--------------
> c'est quoi comme implants sinclair stp

ce sont des implants DENTIUM vendus en france par dentogem
il y a un site internet www.dentogem.com avec tout plein d'infos


Fresh watermelon 640x562 udulqz - Eugenol
gulguch

03/07/2010 à 01h34

...mais non suis pas susceptible! Il est bien mis ton implant:-)!


Fouilla h6plsy - Eugenol
fouilla

05/08/2010 à 18h04

je relance le sujet
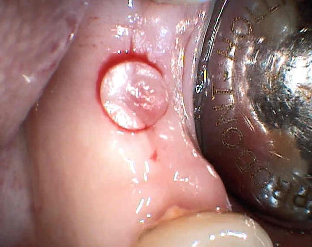
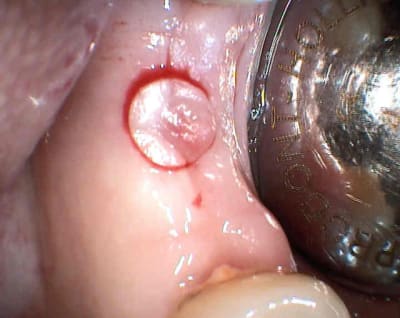
vu aujourd'hui patiente à qui j'ai posé il y à 5 semaines un axiom en 36 sans aucun soucis perop ni postop je la revois aujourd'hui elle présente un petit épulis crestal en regard de la tête de vis de cicat et petite perte crestale

je lui mets la vis haute demain pour dégager autour de la tête cette zone inflammatoire et ou infectieuse.


--
.

1 mois apr s qdzpmb - Eugenol
Axiom dt9ssf - Eugenol

Logo vuaztn - Eugenol
mac

05/08/2010 à 18h36

ce ne serait pas ta vis de couverture qui est mal vissée?


Fouilla h6plsy - Eugenol
fouilla

05/08/2010 à 19h05

+1
or il me semble l'avoir bien bloqué et sur l'axiom la tête de vis dépasse comme ça , mais je pense à ça car je ne vois rien d'autre (en plus papulis crestal juste en regard ) c'est pour ça que je la revoie demain pour mettre la vis de cicatrisation à la place de la vis de couverture.

--
.


Logo vuaztn - Eugenol
mac

05/08/2010 à 19h07

c'était pas par rapport à la radio que je disais ça, ça m'est déjà arrivé, faut faire gaffe à enlever tout le sang à l'intérieur de l'implant avant de visser.


Fouilla h6plsy - Eugenol
fouilla

05/08/2010 à 19h26

ta remarque sur le sang est intéressante demain je te dirai ce que j'y ai vu après dépose de la vis de couv
wait and see
demain soir vacances...

--
.


Logo vuaztn - Eugenol
mac

05/08/2010 à 19h28

fouilla écrivait:
-----------------
> ta remarque sur le sang est intéressante demain je te dirai ce que j'y ai vu
> après dépose de la vis de couv
> wait and see
> demain soir vacances...
>
> --
> .

ben plus de sang et du coup ta vis bouge.

putain encore une semaine moi....


Logo vuaztn - Eugenol
mac

05/08/2010 à 20h11

au fait pourquoi une vis de couv et pas de cicat?


Fouilla h6plsy - Eugenol
fouilla

05/08/2010 à 21h06

mac
bonne question qui restera sans réponse...
pendant 10ans j'ai fait uniquement du 1 temps puis depuis deux trois ans je fait à 80% du deux temps, je systématise peut être trop mais on ne se refait pas hein ???
j'ai fait du un temps au départ car simple à faire mais parfois gestion tissulaire un peu merdique , l'avantage du deux temps c'est que quand tu as une tonne de GA un coup de bistouri circulaire et tu mets ta vis de cicat sinon tu recré ta GA en mettant ta vis de cicat en déplaçant tes tissus et mon apréhension du secteur antérieur réside dans ce problème donc j'ai systématisé avec du deux temps même en postérieur

--
.


S2y2o1v7q53ws4r5wy6ou8czrpom - Eugenol
pxav

05/08/2010 à 21h15

salut Fouilla
+1 avec toi, même si je me force à faire du 1 temps, j'ai une préférence pour le 2 T.
--
xbk


johnnybegood

06/08/2010 à 11h43

pour suivre sur ce sujet,
j ai un cas d implant ou j ai tres peu de hauteur de gencive autour de la cis de cicat soit environ 0.5mm
puis je faire un lambeau replacé apicalment ( est ce que ca fonctionne ou la gencive repart) ou suis je condamné a faire un pilier zircone pour geré l esthetique?

merci de votre reponse



Fouilla h6plsy - Eugenol
fouilla

06/08/2010 à 13h20

0.5 ça veut dire rien en fait

déplacer ton lambeau apicalement tu peux mais cela ne recréera pas de GA car tu vas la prendre ou en lingual ou en palatin de ta vis (il s'agit bien d'une vis de cicat donc ton lambeau sera fenestré) par contre tu peux peut être envisager de déplacer ton lambeau latéralement (en demi épaisseur) si tu as suffisament de GA latéralement.

--
.


Fouilla h6plsy - Eugenol
fouilla

06/08/2010 à 19h07

rien vu de particulier
un exemple d'un boulevard de GA
desole pour les photos mais j'attends la formation
suis libre quand vous voulez pour ça

--
.

3 abgymj - Eugenol
1 ncfxug - Eugenol
2 lrumit - Eugenol
4 rigima - Eugenol

Img 0812 mvp6i0 - Eugenol
jeamba

06/08/2010 à 20h57

Le sujet a déjà été traité je sais fouilla mais quel est ton instrument de mise à nu de ta tête d'implant.
Merci grand.


Homer simpson wallpaper brain 1024 f4t8dv - Eugenol
Jpeg

07/08/2010 à 01h02

Salut Jeamba,
Pour les bistouris circulaires, il existe une série chez Meisinger qui se monte sur CA. très pratique.


1...4567