Cookie Consent byPrivacyPolicies.comcratérisation importante avec le krestal - Eugenol

cratérisation importante avec le krestal

Img 0812 mvp6i0 - Eugenol
jeamba

07/08/2010 à 13h01

Merci.


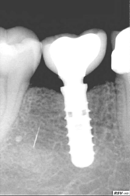
Fouilla h6plsy - Eugenol
fouilla

05/10/2010 à 18h24


allez je vous demande de l'aide
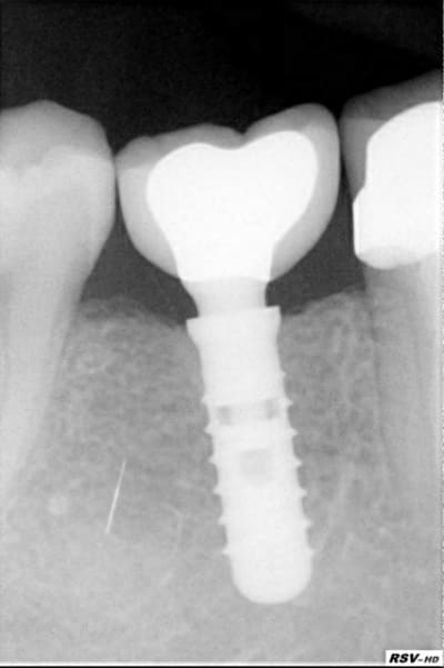
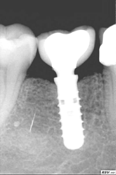
pose d'un axiom en 4*12 en juillet en sous crestal comme il le faut.
et aujourd'hui raido début de cratérisation : petite mais existante;
à la pose os type II III avec les nouveaux forêts donc pas de torque excessif a la mise en place suite sans soucis .
vu aujourd'hui lors de la mise en place vis de cicat petite operculisation de la vis de couv en palatin (discrète mais existante) donc ouverture nettoyage et mise en place de la vis de cicat .

la forme de cette vis de cicat ne serait elle pas un chouilla agressive pour le TC ? votre avis les poseurs ?

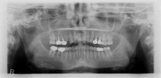
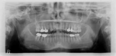
pour la forme et le fond pano avant retro à la pose et rétro aujourd'hui
prévu implant en 36 et l'endo de 15 avait été reprise avant pour être refaite simultanément je connais les critiques nonoliennes.

--
.

1 fuwrrf - Eugenol
2 kqwkzk - Eugenol
3 djr0ig - Eugenol

Logo m4n3gc - Eugenol
drmarcus

05/10/2010 à 18h32

fouilla écrivait:
-----------------
>
> allez je vous demande de l'aide
> pose d'un axiom en 4*12 en juillet en sous crestal comme il le faut.
> et aujourd'hui raido début de cratérisation : petite mais existante;


je ne suis pas un specialiste axiom mais là tu exagères. Ce sont des choses qui arrive avec du 2 tps. Alors tu mets ta coiffe de cicat. mais en curetant bien tout autour afin de ne laisser aucune fibre conjonctive. Avec le tps l'os se reforme (normalement) et basta.
en tout etat de cause rien d'alarmant je trouve. Maintenant à voir avec des utilisateurs avertit.


Fouilla h6plsy - Eugenol
fouilla

05/10/2010 à 18h49

drmarcus écrivait:
------------------

>
> je ne suis pas un specialiste axiom mais là tu exagères. Ce sont des choses qui
> arrive avec du 2 tps. Alors tu mets ta coiffe de cicat. mais en curetant bien
> tout autour afin de ne laisser aucune fibre conjonctive. Avec le tps l'os se
> reforme (normalement) et basta.
> en tout etat de cause rien d'alarmant je trouve. Maintenant à voir avec des
> utilisateurs avertit.
marcus marcus marcus...
je sais bien kcpo grave(:-))) mais bon cela ne me satisfait pas car j'ai rajouté ces radios ici car elles vont avec mon post précédent car il me semble qu'il y a quelque chose en rapport et en rapport avec cette vis .
le ça arrive je m'en tape on gère, mais le pourquoi m'intéresse davantage car j'imagine bien ne pas être le seul et j'espère aussi le seul à me poser le WHY ?

--
.


Utilisateur banni

05/10/2010 à 18h55

fouilla, implant posé en flapless?


alhoun

05/10/2010 à 19h07

drmarcus écrivait:
Avec le tps l'os se
> reforme (normalement) et basta.


je suis sûr que tu vas bien nous expliquer tout ça.


Fouilla h6plsy - Eugenol
fouilla

05/10/2010 à 19h10

posit écrivait:
---------------
> fouilla, implant posé en flapless?
non


--
.


Fouilla h6plsy - Eugenol
fouilla

05/10/2010 à 19h13

alhoun écrivait:
----------------
> drmarcus écrivait:
> Avec le tps l'os se
> > reforme (normalement) et basta.
>
>
> je suis sûr que tu vas bien nous expliquer tout ça.
donne moi ton avis sur le sujet au lieu de t'acharner sur le marcus et en plus t'es même po venu nous dire bonjour le 24/25 septembre lacheur.

--
.


S2y2o1v7q53ws4r5wy6ou8czrpom - Eugenol
pxav

05/10/2010 à 19h22

extrac implantion immédiate?

--
xbk
" Tous savaient que c'était impossible.
Est arrivé un imbécile qui ne le savait pas...Et qui l'a fait!"
Marcel Pagnol"


Fouilla h6plsy - Eugenol
fouilla

05/10/2010 à 19h39

pxav écrivait:
--------------
> extrac implantion immédiate?
non six mois après

> " Tous savaient que c'était impossible.
> Est arrivé un imbécile qui ne le savait pas...Et qui l'a fait!"
> Marcel Pagnol"

monsieur se culTURE...
--
.


Avatar ow44t3 - Eugenol
Chicot

05/10/2010 à 19h44

fouilla écrivait:
-----------------

>
> pour la forme et le fond pano avant retro à la pose et rétro aujourd'hui
> prévu implant en 36 et l'endo de 15 avait été reprise avant pour être refaite
> simultanément je connais les critiques nonoliennes.
>
> --
> .

et la 16, on ferme les yeux......

lol !!!


pour ton boulevard, moi je pose en flapless dans ce genre de cas (trop rare) !!!

--
;O)


209209668 fh2mys - Eugenol
fredo667

05/10/2010 à 20h16

fouilla, n'enfoui pas le krestal, ce n'est pas une conception de cone morse, donc laisse la tete de l'implant dépasser un chouilla, sinon tu va cratériser systématiquement; j'ai eu la même type de probleme au début mais j'ai rectifié le tire et ça va impec maintenant.

Mais c'est vrai qu'avec tout ce qu'on nous a bourré le mou sur les switching plateforme, on a cru que tout était réglé.

Donc bien laisser un espace biologique entre la connection implant et fm


Fouilla h6plsy - Eugenol
fouilla

05/10/2010 à 20h33

fredo667 écrivait:
------------------
> fouilla, n'enfoui pas le krestal, ce n'est pas une conception de cone morse,
> donc laisse la tete de l'implant dépasser un chouilla, sinon tu va cratériser
> systématiquement; j'ai eu la même type de probleme au début mais j'ai rectifié
> le tire et ça va impec maintenant.
>
> Mais c'est vrai qu'avec tout ce qu'on nous a bourré le mou sur les switching
> plateforme, on a cru que tout était réglé.
>
> Donc bien laisser un espace biologique entre la connection implant et fm

euh comment dire
c'est PAS du krestal

--
.


Fouilla h6plsy - Eugenol
fouilla

05/10/2010 à 20h47

Chicot écrivait:
----------------
> fouilla écrivait:
> -----------------
>
> >
> > pour la forme et le fond pano avant retro à la pose et rétro aujourd'hui
> > prévu implant en 36 et l'endo de 15 avait été reprise avant pour être refaite
> > simultanément je connais les critiques nonoliennes.
> >
> > --
> > .
>
> et la 16, on ferme les yeux......
>
> lol !!!
>
>
> pour ton boulevard, moi je pose en flapless dans ce genre de cas (trop rare) !!!
>
> --
> ;O)

bon tu réponds pas à ma question sur l'origine de cette cratérisation . m'en tape du flaplesss moi ; moi vouloir idée de vous

ça me rappelle marchais qui venait avec ses réponses :-)

la 16 viendra en son temps comme l'implant en 36 et ben oui quoi les sousous c'est ce qui fait avancer ...
donc je reprends
avulsion 6 mois avant
pose avec lambeau pas de flapless
pas de torque excessif à la pose
suite top
et operculisation palatine avec début de cratérisation

pour info déja trois cas similaires au maxillaire pas à la mandibule.

et c'est un axiom en 4*12 pas un krestal

--
.


Blason dql7mj - Eugenol
growler

05/10/2010 à 20h57

tu as fait en 2 temps?

l'operculisation peut expliquer cette cratérisation.


Pose p25uxm - Eugenol
3 mois post op ozkdku - Eugenol

Logo m4n3gc - Eugenol
drmarcus

05/10/2010 à 20h58

alhoun écrivait:
----------------
> drmarcus écrivait:
> Avec le tps l'os se
> > reforme (normalement) et basta.
>
>
> je suis sûr que tu vas bien nous expliquer tout ça.

J'aime bien quand les autres s'ennervent! Ah les citations de Xbk!

Mais voilà face à autant de certitudes regardez ce que l'on peut obtenir en 1 an seulement.
Allez niez l'évidence! (Dans les memes conditions que notre cher confrere)

Juste une question: Que faut il pour avoir de l'os?

6 1 an avt y2aduh - Eugenol
6 a   1 an hubc7r - Eugenol

Utilisateur banni

05/10/2010 à 21h08

fouilla écrivait:
-----------------
> donc je reprends
> avulsion 6 mois avant
> pose avec lambeau pas de flapless
> pas de torque excessif à la pose
> suite top
> et c'est un axiom en 4*12 pas un krestal

il est parti où en vacances?


Blason dql7mj - Eugenol
growler

05/10/2010 à 21h15

posit écrivait:
---------------
> fouilla écrivait:
> -----------------
> > donc je reprends
> > avulsion 6 mois avant
> > pose avec lambeau pas de flapless
> > pas de torque excessif à la pose
> > suite top
> > et c'est un axiom en 4*12 pas un krestal
>
> il est parti où en vacances?


Bonner dirait: en Afrique équatoriale :))


Utilisateur banni

05/10/2010 à 21h19

drmarcus écrivait:
------------------

>
> Juste une question: Que faut il pour avoir de l'os?

un caillot sanguin???


Blason dql7mj - Eugenol
growler

05/10/2010 à 21h32

drmarcus écrivait:

"Juste une question: Que faut il pour avoir de l'os?"

de l'os



la question c'est: que faut-il pour conserver l'os?



Logo m4n3gc - Eugenol
drmarcus

05/10/2010 à 21h48

growler écrivait:
-----------------
> drmarcus écrivait:
>
> "Juste une question: Que faut il pour avoir de l'os?"
>
> de l'os
>
>
>
> la question c'est: que faut-il pour conserver l'os?
>
>
non non on y arrive c'est juste un peu de rigueur.
Je n'ai rien inventé j'suis pas assez "instruit" pour ça. Ceux qui ont fait la formation Prf avec Jo connaissent la réponse.
Deux éléments et ça marche. Je le crie haut et fort Merci JOSEPH.


S2y2o1v7q53ws4r5wy6ou8czrpom - Eugenol
pxav

05/10/2010 à 22h06

drmarcus écrivait:
------------------

> J'aime bien quand les autres s'ennervent! Ah les citations de Xbk!
>
> Mais voilà face à autant de certitudes regardez ce que l'on peut obtenir en 1 an seulement.
> Allez niez l'évidence! (Dans les memes conditions que notre cher confrere)


tes radios sont géniales!
même le point de contact a repoussé, bravo!:-))
--
xbk
" Tous savaient que c'était impossible.
Est arrivé un imbécile qui ne le savait pas...Et qui l'a fait!"
Marcel Pagnol"


alhoun

05/10/2010 à 22h30

pxav écrivait:

>
> tes radios sont géniales!
> même le point de contact a repoussé, bravo!:-))
>


dans mes bras pxav!!
si,si....


S2y2o1v7q53ws4r5wy6ou8czrpom - Eugenol
pxav

05/10/2010 à 22h39

alhoun écrivait:
----------------
> pxav écrivait:
>
> >
> > tes radios sont géniales!
> > même le point de contact a repoussé, bravo!:-))
> >
>
>
> dans mes bras pxav!!
> si,si....

J'arrive, mais je te préviens je ne couche pas!
non,non....
--
xbk
" Tous savaient que c'était impossible.
Est arrivé un imbécile qui ne le savait pas...Et qui l'a fait!"
Marcel Pagnol"


Logo m4n3gc - Eugenol
drmarcus

05/10/2010 à 23h38

ouh les mauvais joueurs!


1...567