Cookie Consent byPrivacyPolicies.comcratérisation importante avec le krestal - Eugenol

cratérisation importante avec le krestal

alhoun

06/10/2010 à 00h26

fouilla écrivait:

> t'es même po venu nous dire bonjour le 24/25 septembre lacheur.
>
> --
>

c'est vrai, souci de train et d'avion...
next time! .


Fresh watermelon 640x562 udulqz - Eugenol
gulguch

06/10/2010 à 01h33

drmarcus écrivait:
------------------
>> Allez niez l'évidence! (Dans les memes conditions que notre cher confrere)
>
> Juste une question: Que faut il pour avoir de l'os?

Je dirais de la fonction + pas trop d'agression bactérienne.

PS: Qui c'est ce père Joseph à la fin?


Photo pluton1b h9n4ea - Eugenol
pluton

06/10/2010 à 01h36

gulguch écrivait:
-----------------

> PS: Qui c'est ce père Joseph à la fin?

choukroune?


Utilisateur banni

06/10/2010 à 11h46

fouilla écrivait:
-----------------
> la forme de cette vis de cicat ne serait elle pas un chouilla agressive pour le TC ? votre avis les poseurs ?

quelle forme tu verrais?

> drmarcus écrivait:
--------------------
> Juste une question: Que faut il pour avoir de l'os?

quelle est ta réponce?


trimarc

07/10/2010 à 10h59

nouvelle radio cette semaine
Tekka n'assume toujours pas.
Je dépose environ 2 implants tous les mois.

014 oy8ggn - Eugenol
035 oqf2vd - Eugenol
008 dzoobt - Eugenol

Rorschachwhite tx6rqr - Eugenol
Candide Candida

07/10/2010 à 11h03

trimarc écrivait:
-----------------
> Je dépose environ 2 implants tous les mois.

Ah quand même ... ^^

Tu en as posé combien et déposé combien et sur quelle période ?

CC.


Grueavatar nptrc9 - Eugenol
Le Choixpeau magique

07/10/2010 à 12h14

Tu posais quel système avant, Trimarc ?

--
FSDL, what else ?


Little shop of horrors brzqjx - Eugenol
chatondecarte

07/10/2010 à 13h26

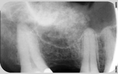
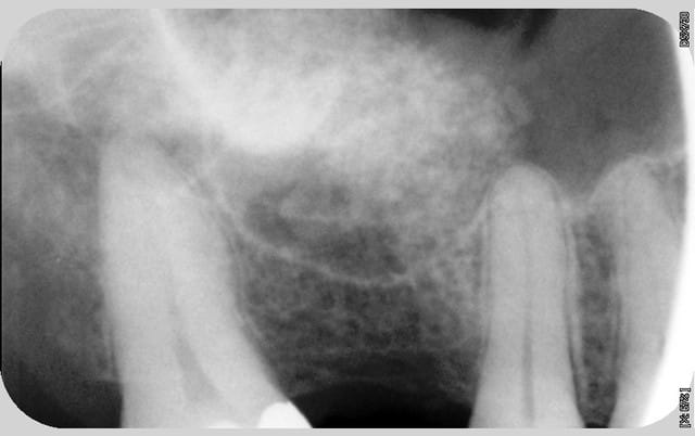
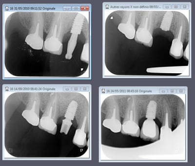
c'est des krestals? Ça n'a pas l'air dramatique sur la radio. Une petite caractérisation qui me parait logique vu la connexion.


trimarc

07/10/2010 à 22h06

chatondecarte écrivait:
-----------------------
> c'est des krestals? Ça n'a pas l'air dramatique sur la radio. Une petite
> caractérisation qui me parait logique vu la connexion.


On n'a pas les mêmes critères d'exigences. Perdre 4 mm d'os sur 12 soit 1/3.


trimarc

07/10/2010 à 22h08

Candide Candida écrivait:
-------------------------
> trimarc écrivait:
> -----------------
> > Je dépose environ 2 implants tous les mois.
>
> Ah quand même ... ^^
>
> Tu en as posé combien et déposé combien et sur quelle période ?
>
> CC.

Sur 2 ans: 60 krestal posés (au pif) et 10 déposés pour l'instant (certains patients refusent une autre chirurgie)


trimarc

07/10/2010 à 22h09

Le Choixpeau magique écrivait:
------------------------------
> Tu posais quel système avant, Trimarc ?
>
> --
> FSDL, what else ?

serf


Little shop of horrors brzqjx - Eugenol
chatondecarte

07/10/2010 à 22h25

trimarc écrivait:
-----------------
> chatondecarte écrivait:
> -----------------------
> > c'est des krestals? Ça n'a pas l'air dramatique sur la radio. Une petite
> > caractérisation qui me parait logique vu la connexion.
>
>
> On n'a pas les mêmes critères d'exigences. Perdre 4 mm d'os sur 12 soit 1/3.


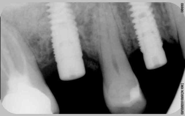
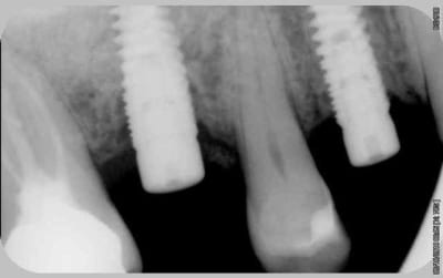
Attends, sur ces radios t'as 4 mm de perte osseuse? Les vis de cicatrisation sont en place non? Je devine la jonction implant/vis et y a quasiment pas de perte sur tes dernières radio. Enfin je connais pas bien le krestal et la forme de la vis.

Je veux dire, elle est où la perte osseuse sur cette radio? Mais tu as raison, on ne doit pas avoir les même exigences.

Krestal dxzowc - Eugenol

trimarc

07/10/2010 à 23h04

chatondecarte écrivait:
-----------------------
> trimarc écrivait:
> -----------------
> > chatondecarte écrivait:
> > -----------------------
> > > c'est des krestals? Ça n'a pas l'air dramatique sur la radio. Une petite
> > > caractérisation qui me parait logique vu la connexion.
> >
> >
> > On n'a pas les mêmes critères d'exigences. Perdre 4 mm d'os sur 12 soit 1/3.
>
>
> Attends, sur ces radios t'as 4 mm de perte osseuse? Les vis de cicatrisation
> sont en place non? Je devine la jonction implant/vis et y a quasiment pas de
> perte sur tes dernières radio. Enfin je connais pas bien le krestal et la forme
> de la vis.
>
> Je veux dire, elle est où la perte osseuse sur cette radio? Mais tu as raison,
> on ne doit pas avoir les même exigences.


La cratérisation est visible beaucoup plus haute: surtout au sondage. L'os que tu vois est en palatin, en vestibulaire, il n'y a plus rien sur cette même longueur.

Sur la molaire, tu ne vois rien aussi.

Krestal zevspc - Eugenol

Little shop of horrors brzqjx - Eugenol
chatondecarte

07/10/2010 à 23h27

trimarc écrivait:
-----------------
>
> La cratérisation est visible beaucoup plus haute: surtout au sondage. L'os que
> tu vois est en palatin, en vestibulaire, il n'y a plus rien sur cette même
> longueur.
>
> Sur la molaire, tu ne vois rien aussi.


Je disais juste que je ne voyais rien d'affolant sur la radio, mais bien sur si tu as 4mm au sondage, c'est ça qui prime.

Apparemment il y a des soucis sur le Krestal, c'est pas non plus pour ça que tout Tekka est à jeter. Y a bien eu des explosions de col chez zimmer et straumann ou des fractures d'implant chez brannemark et personne ne remet en cause la qualité de ces systèmes. C'est deux poids, 2 mesures.

Je vais bientôt mettre en charge mes 1er inkone, et je suis pas particulièrement inquiet.


trimarc

07/10/2010 à 23h52

Tekka vient de changer pour la nième fois d'état de surface: pourquoi?
Pour moi Tekka est en tord car ils n'admettent pas que le problème vient de chez eux.
Le problème ne vient pas de moi visiblement.

Une étude doit paraitre prochainement mettant en avant les états de surfaces des différents systèmes: le bon dernier du classement (le plus pollué) est Tekka.

J'ai aussi une dizaine d'Inkone en attente: je m'attends au pire car il s'agit du même état de surface et du même implant (sauf connectique).


Logo vuaztn - Eugenol
mac

08/10/2010 à 00h00

trimarc écrivait:
-----------------

>
> Une étude doit paraitre prochainement mettant en avant les états de surfaces des
> différents systèmes: le bon dernier du classement (le plus pollué) est Tekka.


dans quelle revue?


trimarc

08/10/2010 à 00h26

mac écrivait:
-------------
>
> dans quelle revue?
>

je ne sais pas car je n'ai vu que les résultats qu'un ami avait en sa possession


Avatar ow44t3 - Eugenol
Chicot

08/10/2010 à 00h53

c'est beau les implants sans recul clinique !!!!

--
;O)


Blason dql7mj - Eugenol
growler

11/10/2010 à 15h37

EII et Mise en vitrine immédiate, ici implant très enfoui, premier cliché à 3 mois post-op puis à un an (il faut préciser que le contrôle de plaque est plus que parfaitement réalisé par le patient).
(implant Dentium superline avec état de surface SLA)


171 1an postop acjsr3 - Eugenol
171 op vvkjkz - Eugenol

Smile beach jgh0a1 - Eugenol
Céramik

11/10/2010 à 17h03

growler écrivait:
-----------------
> EII et Mise en vitrine immédiate, ici implant très enfoui, premier cliché à 3
> mois post-op puis à un an (il faut préciser que le contrôle de plaque est plus
> que parfaitement réalisé par le patient).
> (implant Dentium superline avec état de surface SLA)
>
>

Sympa comme résultat
--
Céramik


Fouilla h6plsy - Eugenol
fouilla

24/05/2011 à 11h03

drmarcus écrivait:
------------------
> fouilla écrivait:
> -----------------
> >
> > allez je vous demande de l'aide
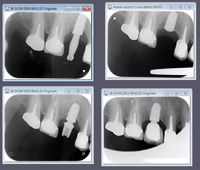
> > pose d'un axiom en 4*12 en juillet en sous crestal comme il le faut.
> > et aujourd'hui raido début de cratérisation : petite mais existante;
>
>
> je ne suis pas un specialiste axiom mais là tu exagères. Ce sont des choses qui
> arrive avec du 2 tps. Alors tu mets ta coiffe de cicat. mais en curetant bien
> tout autour afin de ne laisser aucune fibre conjonctive. Avec le tps l'os se
> reforme (normalement) et basta.
> en tout etat de cause rien d'alarmant je trouve. Maintenant à voir avec des
> utilisateurs avertit.

'ai pensé à toi ce matin marcus
cas d'un axiom avec perte crestale et mise en charge en septembre voila l'évolution dans le temps la suite dans six mois

--
.

Crat risation fv3ojr - Eugenol

davemarss

24/05/2011 à 13h16

Personnellement, je reviens de plus en plus aux cylindriques, MIS a un forêt terminal conique sur le SEVEN mais la plupart des autres boites conseillent de forer à L-4mm sur le dernier passage, ce qui me parait totalement fantaisiste.....


209209668 fh2mys - Eugenol
fredo667

24/05/2011 à 15h11

Bon, pour ma part j'ai perdu 5 krestal sur 200, je pose maintenant les in kones qui n'ont pas le même état de surface et sur lesquels je n'ai pas de problème pour le moment.
Mais j'allai migrer sur anthogyr. Cependant le dernier post de fouilla à ce sujet m'embete un peu...

ET NON JE N'IRAI PAS ME FAIRE ENFILER PAR LES BIG FIVE(Bränemark et co).


Ibiza69

01/06/2011 à 16h00

Une belle cratérisation!!!!



1...67