Cookie Consent byPrivacyPolicies.comc'est calme - Eugenol

c'est calme

Logo vuaztn - Eugenol
mac

11/07/2010 à 22h48

noahaxeltiger-olivier écrivait:
-------------------------------

> Continue comme ca !!
>


merci beaucoup olivier, je vais essayer...


S2y2o1v7q53ws4r5wy6ou8czrpom - Eugenol
pxav

12/07/2010 à 01h17

alhoun écrivait:
----------------
> mac écrivait:
> tout le monde peut présenter
>
>
> il rigole, pxav, hein, tu n'es pas obligé.

ça en fait au moins un qui rigole;-))
--
xbk


Amibien

12/07/2010 à 19h48

Mais ils se cirent tous les pompes ma parole !
--
Petit Prince


Moustachu chapeau wed0k6 - Eugenol
smiline

14/07/2010 à 01h34

merci pour ce cas d'ecole,
combien de temps pour la procédure complete
entree patient-sortie patient
Merci
smiline


Logo vuaztn - Eugenol
mac

14/07/2010 à 10h11

2H30 à peu près avec les photos, mais j'ai eu du mal pour sortir la dent.


Logo vuaztn - Eugenol
mac

02/11/2010 à 21h16

et la fin.

Sans titre peoqk8 - Eugenol
Img 0364 hjbyym - Eugenol
Img 0378 mhyeez - Eugenol

Grueavatar nptrc9 - Eugenol
Le Choixpeau magique

02/11/2010 à 22h13

Superbe résultat !

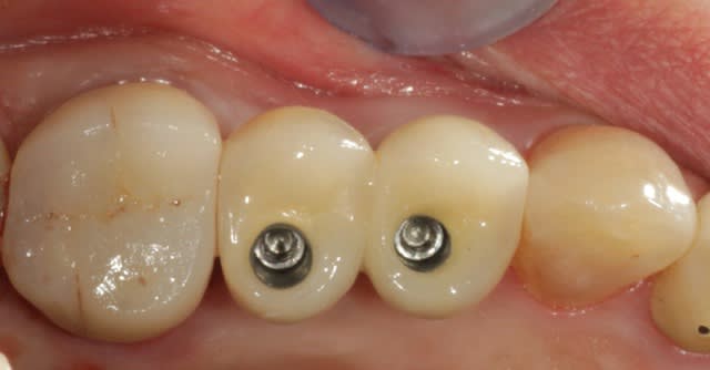
Par contre si je peux me permettre, tu devrais y aller mollo sur les filtres pour tes radios, sur le cliché présenté l'os paraît un peu bizarre, on pourrait presque croire que les implants ne sont pas ostéointégrés.


nolive

02/11/2010 à 22h20

C'est beau, j'en ai la larme à l'oeil...

J'espère que ton patient est satisfait (le contraire serait écœurant). Ce résultat ne peut que durer, vu la qualité de ton travail et la qualité de ces implants.

Félicitations.


Logo vuaztn - Eugenol
mac

02/11/2010 à 22h35

Le Choixpeau magique écrivait:
------------------------------
> Superbe résultat !
>
> Par contre si je peux me permettre, tu devrais y aller mollo sur les filtres
> pour tes radios, sur le cliché présenté l'os paraît un peu bizarre, on pourrait
> presque croire que les implants ne sont pas ostéointégrés.


ils bougent juste un peu ;)




nolive écrivait:
----------------
> C'est beau, j'en ai la larme à l'oeil...
>
> J'espère que ton patient est satisfait (le contraire serait écœurant). Ce
> résultat ne peut que durer, vu la qualité de ton travail et la qualité de ces
> implants.
>
> Félicitations.


merci, tu veux un kleenex?

;)


Images 1 qtgoxf - Eugenol
ciwil

02/11/2010 à 22h52

une plante, écorce, bouleau, forêt
forêts,implants, bon boulot le corse.


Grueavatar nptrc9 - Eugenol
Le Choixpeau magique

02/11/2010 à 23h53

mac écrivait:
-------------
> ils bougent juste un peu ;)
>

Rassure moi, tu as bien mis des implants discount, comme d'habitude ?

--
FSDL, what else ?


Smile beach jgh0a1 - Eugenol
Céramik

03/11/2010 à 02h33

Zoli, mais j'aime pas les trous à l'occlusal...


--
Céramik


Logo vuaztn - Eugenol
mac

03/11/2010 à 07h53

Le Choixpeau magique écrivait:
------------------------------
> mac écrivait:
> -------------
> > ils bougent juste un peu ;)
> >
>
> Rassure moi, tu as bien mis des implants discount, comme d'habitude ?
>


trop cher, je suis passé à implant super discount!


Logo vuaztn - Eugenol
mac

03/11/2010 à 07h55

Céramik écrivait:
-----------------
> Zoli, mais j'aime pas les trous à l'occlusal...
>
>
> --
> Céramik


rassure toi , ils sont bouchés.

gros avantage pour moi du transvissé sur pilier uni, les piliers ont été vissés le jour de la chirurgie et on n'y touche plus après, c'est mieux pour la gencive.


Img 0812 mvp6i0 - Eugenol
jeamba

03/11/2010 à 15h35

Bravo mac, j'ai appris beaucoup en reprenant la lecture complète de ton post.


Photo pluton1b h9n4ea - Eugenol
pluton

03/11/2010 à 16h00

oui, très joli...;-)

inconvénients quand même...plus de pièces prothétiques (pilier uni+ contrepartie) par rapport à la prothèse scellée, non antirotationnel...donc bridge...et donc seulement un spr30 pour le patient au lieu de 2x spr30... et puis les trous bouchés au compo...c'est moins joli (enfin, pour moi...)

avantages certains...en cas de casse, c'est plus facile à démonter/réparer...et pas de risque de fusée de matériau avec un quelconque ciment de scellement

çà n'enlève rien à la qualité de ton travail, en tout cas...bravo...;-)


Grueavatar nptrc9 - Eugenol
Le Choixpeau magique

03/11/2010 à 16h30

mac écrivait:
-------------
> gros avantage pour moi du transvissé sur pilier uni, les piliers ont été vissés
> le jour de la chirurgie et on n'y touche plus après, c'est mieux pour la
> gencive.

Est-ce que ça ne revient au même que d'utiliser des implants monobloc ?


Fouilla h6plsy - Eugenol
fouilla

03/11/2010 à 17h02

mac écrivait:
-------------
> Céramik écrivait:
> -----------------
> > Zoli, mais j'aime pas les trous à l'occlusal...
> >
> >
> > --
> > Céramik
>
>
> rassure toi , ils sont bouchés.
>
> gros avantage pour moi du transvissé sur pilier uni, les piliers ont été vissés
> le jour de la chirurgie et on n'y touche plus après, c'est mieux pour la
> gencive.
+1
et en plus gors gros avantage lors de déserrage(mais ça n'arrive qu'à moi) de plus il s'agit d'une perception praticien clinicien et non patient
donc perso je favorise le plus souvent ce type de construction en postérieur qui présente un avantage évident pour les années à venir...

--
.


Logo vuaztn - Eugenol
mac

03/11/2010 à 18h00

Le Choixpeau magique écrivait:
------------------------------
> mac écrivait:
> -------------
> > gros avantage pour moi du transvissé sur pilier uni, les piliers ont été
> vissés
> > le jour de la chirurgie et on n'y touche plus après, c'est mieux pour la
> > gencive.
>
> Est-ce que ça ne revient au même que d'utiliser des implants monobloc ?


avec un multi-unit intégré?

non parce que tu peux pas choisir la hauteur du pilier, si ton axe est pas idéal t'es mort et enfin si ton implant est pas assez stable tu peux pas faire en 2 phases.


Logo vuaztn - Eugenol
mac

03/11/2010 à 18h05

pluton écrivait:
----------------
> oui, très joli...;-)
>
> inconvénients quand même...plus de pièces prothétiques (pilier uni+
> contrepartie) par rapport à la prothèse scellée, non antirotationnel...donc
> bridge...et donc seulement un spr30 pour le patient au lieu de 2x spr30... et
> puis les trous bouchés au compo...c'est moins joli (enfin, pour moi...)
>


on va quand même pas faire 2 couronnes séparées juste pour coter un spr 30 de plus.


Photo pluton1b h9n4ea - Eugenol
pluton

03/11/2010 à 18h26

mac écrivait:
-------------

> on va quand même pas faire 2 couronnes séparées juste pour coter un spr 30 de
> plus.

oui, mais ton choix prothétique de faire du transvissé sur pilier multi unit ne te permets rien d'autre...non?

ou alors, il aurait fallu faire 2 transvissées avec pilier antirotationnel, mais c'est plus compliqué à gérer avec les axes d'insertion...

mais j'aime bien sur de petits édentements comme çà faire de l'unitaire...je trouve çà plus sympa...plus esthétique...


Blason dql7mj - Eugenol
growler

03/11/2010 à 18h37

propre, net et sans bavures. Belle leçon de méthode afin d'obtenir un excellent résultat. Comme quoi, faire bien n'est pas forcément compliqué avec un protocole pragmatique.


alhoun

03/11/2010 à 18h43

moi j'ai misé sur ce petit y a longtemps!!
;)


Logo vuaztn - Eugenol
mac

03/11/2010 à 21h13

pluton écrivait:
----------------
> mac écrivait:
> -------------
>
> > on va quand même pas faire 2 couronnes séparées juste pour coter un spr 30 de
> > plus.
>
> oui, mais ton choix prothétique de faire du transvissé sur pilier multi unit ne
> te permets rien d'autre...non?
>
>

ben non c'est justement fait pour ça.


S2y2o1v7q53ws4r5wy6ou8czrpom - Eugenol
pxav

03/11/2010 à 21h40

bon je vais encore passer pour le dernier des ....mais je vais la faire façon optimistes....

bien sur je serais content de savoir faire aussi bien, néanmoins je trouve que les espaces inter-dentaire sont "grossiers" et que la vie des papilles est loin d'être assurée
et au niveau du look, je n'aimes pas le coté arrondi des cérams.
Ceci étant je serais très heureux d'arriver à ta cheville mac.
--
xbk
"Si tous ceux qui croient avoir raison n'avaient pas tort, la vérité ne serait pas loin".Pierre Dac.