Cookie Consent byPrivacyPolicies.comCas paro - Eugenol

Cas paro

cherche encore !

29/10/2010 à 22h34

Effectivement, je pense que nous n'avons pas du tout la même façon de travailler.
Je ne sais pas si c'est du a fait d'être de sexe différent, mais je ne vais pas du tout appréhender ce cas de la même façon que vous. Pour tout vous dire, il y a quelquechose qui me saute aux yeux.

Mais je vais encore vous faire hurler.

Donc, je pense m'abstenir.

Par ailleurs, j'ai lu qu'il y avait des confrères qui utilisaient la pate de keyes. Au moins osent t ils l'avouer, maintenant...

Par ailleurs, j'ai lu des études récentes qui invalident le fait qu'un traitement au laser soit significativement aux traitements dits "conventionnels".

Mais, je pense aussi qu'il faut laisser parler ceux qui en ont, pour savoir quels bénéfices ils en ont tirés.


Img 8465 fqhxid - Eugenol
noahaxeltiger-olivier

30/10/2010 à 03h01

Bjorn Again écrivait:
---------------------
> Sinon, pourrais-tu détailler en quoi la phase de traitement avant le sondage de
> réévaluation aurait été différente si le sondage initial n'avait pas été fait?

Sur les sites devant être traités, il n'y a aucune différence : même ttt causal.
La vraie question est de savoir comment identifier les sites à traiter sans sondage paro, sachant que baser son jugement sur le seul examen radiologique est faux ?


Img 8465 fqhxid - Eugenol
noahaxeltiger-olivier

30/10/2010 à 03h06

flicflac écrivait:
------------------
> Le contrôle post DSR 2 mois est-ce trop tôt?

2-3 mois est un delais suffisant pour pouvoir apprecier une cicatrisation parodontale après ttt non chirurgical ou chirurgical resectif (6 mois pour les ttt regeneratifs).


Img 8465 fqhxid - Eugenol
noahaxeltiger-olivier

30/10/2010 à 03h14

flicflac écrivait:
------------------
> En contrôle post-op quand faire une phase chirurgicale quand faire une phase de
> maintien? Où est la limite, par exemple un seule site de sondage 5mm dans un
> quadrant et quelque site de 4mm, moi je maintien et si détérioration et que le
> patient a une hygiène exemplaire je passe à la phase chirurgicale.
> Au site canine à canine pour des raisons esthétiques ainsi que l'anatomie
> radiculaire phase de maintien plus facile mais encore la où est la limite
> d'acceptation de la profondeur de la crevasse 3.5mm??

Quant passer au ttt chirurgical? Limiter son jugement à la seule profondeur de poche ne me semble pas une bonne approche.
En théorie, l'ideal serait de n'avoir aucune poche parodontale pathologique résiduelle, en réalité il est parfaitement acceptable d'avoir la persistance de poche parodontale de 6mm tant que ces dernières sont stables dans le temps et inactives.
La chirurgie parodontale est indiquée pour créer une voie d'acces à la surface radiculaire pour le détartrage/surfacage optimal, reduire la profondeur de poche, corriger les anomalies gingivales et osseuses importantes de façon à recreer une architecture gingivale qui facilite le controle de plaque du patient, eliminer les lesions interardiculaires tout en conservant au maximum les tissus parodontaux.
Des techniques microchirurgicales permettent aujourd'hui d'avoir un resultat parfaitement esthétique.


flicflac

30/10/2010 à 03h32

je crois svoir lu que noah avait écrit sur un autre sujet... à partir de 6mm traitement chirurgicale...
salut les cousins


Img 8465 fqhxid - Eugenol
noahaxeltiger-olivier

30/10/2010 à 03h39

flicflac écrivait:
------------------
> cas d'aujourd'hui DSR dents 46-47-43-42 avec poche de 6mm en mésial 43 et
> distal 42 à cause d'un chevauchement non favorable à l'hygiene.En postérieur 4mm
> aux d et m mais surprise lors de resondage sous anesthésie 10 mm dans furcation
> buccal de la 46...combien de temps attendre pour le contrôle en post-op...dent
> non mobile quel genre de chirurgie popur la regénération osseuse.... furcation
> défaut angulaire emdigain seul ou en association avec substitut osseux, je
> n'aime pas emdogain avec "corail" emogain plus . Doit-on obligatoirement utilisé
> une membrane vs emdogain seul...

As tu une radio de la 46?


Img 8465 fqhxid - Eugenol
noahaxeltiger-olivier

30/10/2010 à 03h41

cherche encore ! écrivait:
--------------------------
> Effectivement, je pense que nous n'avons pas du tout la même façon de
> travailler.
> Je ne sais pas si c'est du a fait d'être de sexe différent, mais je ne vais pas
> du tout appréhender ce cas de la même façon que vous. Pour tout vous dire, il y
> a quelquechose qui me saute aux yeux.
> Mais je vais encore vous faire hurler.
> Donc, je pense m'abstenir.

C'est dommage

> Par ailleurs, j'ai lu des études récentes qui invalident le fait qu'un
> traitement au laser soit significativement aux traitements dits
> "conventionnels".

C'est exactement ce que l'on a dit precedemment dans ce post


cherche encore !

30/10/2010 à 10h34

Oui, c'est dommage, comme tu dis.

Je vais effectivement laisser les "techniciens" parler entre eux.
On a l'impression qu'ils réparent une bagnole. (avec superbes photos à l'appui, je vous le concède...)



maz

30/10/2010 à 11h37

tout d'abord, merci noah pour lancer ce genre de fil très intéressant et pour l'agrémenter en plus de publications quand mes connaissances en paro sont encore limitées (c'est l'objectif de 2011)


il y a juste sur le sujet du sondage initial que je n'ai pas bien compris

si ton sondage ne révèle pas de poches à un endroit tu n'y surfaces pas ?
est ce la seule raison de faire ce sondage ?


flicflac

30/10/2010 à 21h38

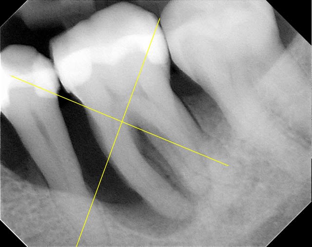
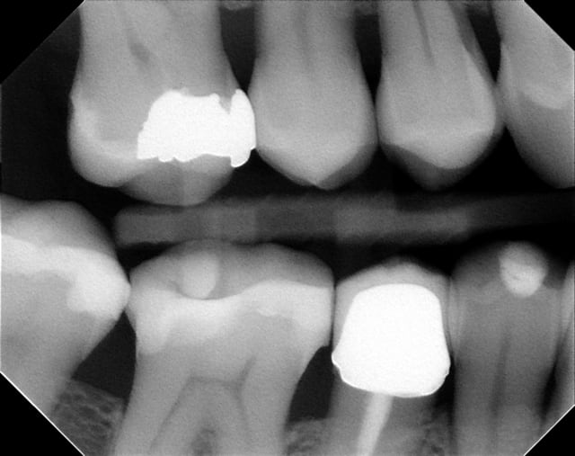
oui, Noah,voici les radiographies de ce patient
j'ai fait un p'tit détour au cab.
merci

Perez francisco javier mn01 mp13 006 g7hx1c - Eugenol
Perez francisco javier mn01 mp09 002 dhixrz - Eugenol
Perez francisco javier mn01 mp17 008 p8pcuh - Eugenol
Perez francisco javier 007 rvyyz9 - Eugenol
111 h5olnb - Eugenol

Img 8465 fqhxid - Eugenol
noahaxeltiger-olivier

31/10/2010 à 01h22

flicfac, en ce qui concerne la 46, tu as d'après ton bilan de sondage une atteinte de furcation de grade III, ce qui signifie que ton potentiel de régénération est nul.


Img 8465 fqhxid - Eugenol
noahaxeltiger-olivier

31/10/2010 à 02h33

réevaluation finale avant d'adresser la patiente en ortho.


flicflac

31/10/2010 à 02h46

pourrais-tu me faire une petite revision des grades de furcation, grade 1 = plus de 3 mmde sondage?
grade 2 = plus de 5 mm de sondage
grade 3 = atteinte de la furcation d'un bord à l'autre, communique du buccal au lingual?

je parle tjrs de la dent 46, je pense à grade 2?
saluts cousins


flicflac

31/10/2010 à 02h49

maz, le sondage sert à établir le diagnostic selon les profondeurs des sites...paradontite marginale chronique soit généralisé ou localisés, aggressives ou chroniques, et de débutante entre 3 et 5 mm, modèrés 5mm à? ou sévère... très profond avec souvent un début de mobilité..
salut cousin


Smile beach jgh0a1 - Eugenol
Céramik

31/10/2010 à 03h45

flicflac écrivait:
------------------
> pourrais-tu me faire une petite revision des grades de furcation, grade 1 =
> plus de 3 mmde sondage?
> grade 2 = plus de 5 mm de sondage
> grade 3 = atteinte de la furcation d'un bord à l'autre, communique
> du buccal au lingual?
>
> je parle tjrs de la dent 46, je pense à grade 2?
> saluts cousins



G1 sondage vertical
G2 Sondage horizontal
G3 Plus d'os , on entre sous furcation complêtement

G1 pronostic OK
G2 selon la situation
G3 bye-bye le plus souvent, quoique certains cas sont surprennant !


--
Céramik


Img 8465 fqhxid - Eugenol
noahaxeltiger-olivier

31/10/2010 à 10h28

flicflac écrivait:
------------------
> pourrais-tu me faire une petite revision des grades de furcation, grade 1 =
> plus de 3 mmde sondage?
> grade 2 = plus de 5 mm de sondage
> grade 3 = atteinte de la furcation d'un bord à l'autre, communique
> du buccal au lingual?

Les atteintes de furcations sont classées en 3 grades. On parle de la classification de Hamp :
- grade I : perte osseuse horisontale n'excédant pas les 1/3 de la largeur de la dent.
- grade II : perte osseuse horisontale excédant les 1/3 de la largeur de la dent sans la traverser.
- grade III : perte osseuse horisontale traversant la largeur de la dent.

En ce qui concerne les alternatives thérapeutiques, on recommendera :
- pour grade I : détratrage, surfacage, odontoplastie furcatoire
- pour grade II (qui est la situation la plus difficile à traiter, et dont le choix thérapeutique dépend de plusieurs facteurs : composante verticale, étendue, localistaion maxillaire ou mandibulaire): odontoplastie furcatoire, ttt regeneratif au niveau mandibulaire seulement, tunnélisation, amputation radiculaire
- pour grade III : tunnélisation, amputation radiculaire, extraction


 mg 0207 xwjxcl - Eugenol
Tillc

31/10/2010 à 21h08

noahaxeltiger-olivier écrivait:
-------------------------------
> flicflac écrivait:
> ------------------
> > pourrais-tu me faire une petite revision des grades de furcation, grade 1 =
> > plus de 3 mmde sondage?
> > grade 2 = plus de 5 mm de sondage
> > grade 3 = atteinte de la furcation d'un bord à l'autre, communique
> > du buccal au lingual?
>
> Les atteintes de furcations sont classées en 3 grades. On parle classification
> de Hamp :
> - grade I : perte osseuse horisontale n'excédant pas les 1/3 de la largeur de la
> dent.
> - grade II : perte osseuse horisontale excédant les 1/3 de la largeur de la dent
> sans la traverser.
> - grade III : perte osseuse horisontale traversant la largeur de la dent.
>
> En ce qui cocncerne les alternatives thérapeutiques, on recommendera :
> - pour grade I : détratrage, surfacage, odontoplastie furcatoire
> - pour grade II (qui est la situation la plus difficile à traiter, et dont le
> choix thérapeutique dépends de plusieurs facteurs : composante verticale,
> étendue, localistaion maxillaire ou mandibulaire): odontoplastie furcatoire, ttt
> regeneratif au niveau mandibulaire seulement, tunnélisation, amputation
> radiculaire
> - pour grade III : tunnélisation, amputation radiculaire, extraction
>

Je crois que la technique employée importe peu en fin de compte . Avec nie bonne maintenance a 10 ans on obtient toujoursnde bon résultats


flicflac

31/10/2010 à 21h34

Merci Noah, si on passe en curetage ouvert peux-tu me détaillé les types de lambeaux, incision, comment traité le disto lingual région 37-47...facon de faire ostéoplastie...
suture, instructions post-op, médications, suivit....... par flicflac


Smile beach jgh0a1 - Eugenol
Céramik

03/11/2010 à 02h46

Algi écrivait:
--------------
> > Perso j'ai de bons resultats avec huiles essentielles en local



+1

pour faire des massages aux zolies patientes...

je sors !

;-))))))

--
Céramik


king_zoulou

03/11/2010 à 18h02

Pour ce qui est du laser, je m'étais fait cette réflexion en feuilletant la bibliographie d'une thèse publiée récemment à Lyon: pour une étude affirmant un plus, on peut trouver une étude mitigée sur l'avantage procuré par le laser et une autre qui affirme carrément l'absence d'avantages.
J'ai eu la sensation que les résultats semblaient très opérateur-dépendant, les cliniciens-cadors de la parodontologie obtenait des résultats du troisième groupe, d'autres peut être moins virtuoses atterissant dans les deux premières catégories (mais je peut très bien me tromper dans mon appréciation)
Et c'est pour cela que j'utilise mon laser, ne me sentant pas un Mozart de la lithotritie, je m'efforce de donner le plus de chance à mon patient. Et accessoirement, puisque certaines études montrent un avantage (certes minime) quand les autres ne montrent pas d'inconvénients, c'est une raison supplémentaire pour tenter le pari.


Ylfwcw979cz1jnx9gfqeaxndiuzk - Eugenol
Algi

04/11/2010 à 20h15

J"


flicflac

05/11/2010 à 04h19

algi excuse mon ignorance Lokki+???
salut les cousins, passé une belle semaine Noah, on attend pour la suite..
salut les cousins


Img 8465 fqhxid - Eugenol
noahaxeltiger-olivier

08/11/2010 à 07h58

flicflac écrivait:
------------------
> Merci Noah, si on passe en curetage ouvert peux-tu me détaillé les types de
> lambeaux, incision, comment traité le disto lingual région 37-47...facon de
> faire ostéoplastie...
> suture, instructions post-op, médications, suivit....... par flicflac

Wouaw flicflac ...répondre à ta questions en détail prendrait plusieurs heures .... mais en bref pour que l'on ne m'accuse pas de faire de rétention d'information :

# tracés d'incision : doivent être toujours réfléchis et faits en fonction du but recherché. On préfèrera les lambeaux de préservation papillaire (simple ou modifié) et les lambeaux d'amplification papillaire. Dans les zones rétromolaires le distal wedge triangulaire ou rectangulaire permet un accès osseux tout en autorisant une élimination de poche

# les sutures : doivent également être dictées par le but recherché (plaquage, coaptation, hissage, immobilisation, ...) on y trouve les matelassiers horisontaux modifiés, les double-sling, les doubles crossed, les points suspendus distaux, ....

# post op : antalgiques uniquement. Bain de bouche pdt 10 jours (30 si chirurgie regenerative) et pas de brossage de la zone opérée durant cette période. Dépose des points à 10 jours (14 si chirurgie regenerative). Contrôles avec nettoyage prof à 10 jours, 20 jours, 1 mois, 2 mois, 3 mois ( réévaluation pour les chirurgies résectives), 6 mois ( réévaluation pour les chirurgies régénératives)


flicflac

09/11/2010 à 05h28

merci encore,
Noah,tu nous présentes bientôt ton deuxième cas..
merci cousin


Utilisateur banni

14/11/2010 à 19h25

noahaxeltiger-olivier écrivait:
-------------------------------
> .... mais en bref pour que l'on ne m'accuse pas de faire de rétention
> d'information :

Par contre, dépêchez vous de lire parce que après il efface.