Cookie Consent byPrivacyPolicies.comCas implanto (oups) - Eugenol

Cas implanto (oups)

Smile beach jgh0a1 - Eugenol
Céramik

19/11/2010 à 02h37

Ne pas picoler avant la pose d'un implant...

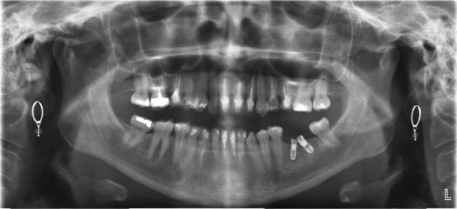
Sérieusement, une 47, avec ouverture très limitée, et muscle de la joue très costaux...j'y voyais rien !
Heureusement, la 46 avait déjà une endo !

Soyez indulgent, la final n'est pas si mal...un poil trop angulé...mais bon...


--
Céramik

Oups pov3ku - Eugenol

flicflac

19/11/2010 à 07h29

biohorizons 4.6 X 10... se place les 2 doigts dans le nez...


Logo m4n3gc - Eugenol
drmarcus

19/11/2010 à 08h35

C'est parti pour le praticien le plus "bourré";
Rassurez vous en plus c'était voulu! Bientôt un an d'existence avec la prothèse dessus!

--
"La vis est à l'implant ce que la carie est à la dent!" (Posi)

Fontenelle zssv2a - Eugenol

Avatar hjdsnm - Eugenol
TiGabi

19/11/2010 à 11h14

Au pays de Céramik, même les erreurs sont belles.


ad-hugo

19/11/2010 à 11h14

bravo Ceramik, bien rattrapé (c'est pas tjrs évident)
en général, comment faire accepter par le patient, une "gaffe" (je ne parle pas de celle là car elle a été rattrapée)dont il serait en partie responsable, genre : à cause d'un réflexe nauséeux qui le fait se lever toutes les 2min30 alors que t'as tout ton matos dans sa bouche. ou le patient avec musculature+++ etc...


Logo m4n3gc - Eugenol
drmarcus

19/11/2010 à 12h33

Et ça? En cours.....

--
"La vis est à l'implant ce que la carie est à la dent!" (Posi)

Gru qohjh7 - Eugenol

Smile beach jgh0a1 - Eugenol
Céramik

19/11/2010 à 14h37

drmarcus écrivait:
------------------
> Et ça? En cours.....
>
> --
> "La vis est à l'implant ce que la carie est à la dent!" (Posi)

En cours...ou bientôt en à la Cour (tribunal !)

;-)


--
Céramik


antares

19/11/2010 à 14h41

A ce propos Ceramik,

avez vous au Canada un consentement particulier, voire une décharge que vous faites signer au patient avant toute pose d'implant?


Logo m4n3gc - Eugenol
drmarcus

19/11/2010 à 14h49

Céramik écrivait:
-----------------
> drmarcus écrivait:
> ------------------
> > Et ça? En cours.....
> >
> > --
> > "La vis est à l'implant ce que la carie est à la dent!" (Posi)
>
> En cours...ou bientôt en à la Cour (tribunal !)
>
> ;-)
>
>
> --
> Céramik


Qui plus est la personne soignée est docteur en biologie, inspectrice à l'Afssaps/HAS (Organisme de controle santé national en France)
La cour,c'est bien l'endroit où on joue LOL :-))) ou peut être on courtise!

Amitiés

--
"La vis est à l'implant ce que la carie est à la dent!" (Posi)


Smile beach jgh0a1 - Eugenol
Céramik

19/11/2010 à 14h55

antares écrivait:
-----------------
> A ce propos Ceramik,
>
> avez vous au Canada un consentement particulier, voire une décharge que vous
> faites signer au patient avant toute pose d'implant?


Oui,
C'est variable d'un CD à l'autre.
C'est inspiré des USA, où les poursuites sont plus fréquentes. J'ai "perdu" un cas après la lecture du consentement : le patient à refuser l'implant, tant mieux, c'était probablement une bonne chose !

--
Céramik


Utilisateur banni

19/11/2010 à 15h30

Céramik écrivait:
-----------------
>
> Sérieusement, une 47, avec ouverture très limitée, et muscle de la joue très
> costaux...j'y voyais rien !

ta mésaventure me rappelle ce cas clinique ou en + la 6 du haut avait égraissé, je trouve votre art bien difficile dans ce genre d'exercice, (pas de photo lors de la pose en distal, de toute façon on n'aurai vu que les gants)

09 07 20 01positdental  147 eio6ei - Eugenol

Fouilla h6plsy - Eugenol
fouilla

19/11/2010 à 19h10


marcus
peux tu expliquer ta démarche implantaire ?

t'avais forcément envie qu'un badabeu te la pose non sinon tu ne l'aurais pas posté cette pano boucles d'oreillée

à propos pourquoi laissez vous les boucles d'oreille à vos patients ???


--
.


Logo m4n3gc - Eugenol
drmarcus

19/11/2010 à 19h25

fouilla écrivait:
-----------------
>
> marcus
> peux tu expliquer ta démarche implantaire ?

C'est un cas (à ne pas reproduire systématiquement) mais "d'école" 2 implants pour une dent le plus proche de la réalité. Explication de l'interet de la divergence et des possibilté offerte par l'asence de vis etc...
En fait spécificité Leone et pour mes communications.

>
> t'avais forcément envie qu'un badabeu te la pose non sinon tu ne l'aurais pas
> posté cette pano boucles d'oreillée

Oui et non c'était plus pour la "déconne" avec notre ami canadien. Au bout d'un moment on s'ennuie à planter tjrs droit! On sait faire maintenant et ça fait pas avancer le schmilblick.
La suite sera sur Nonol en partie (encore 3 mois mini) dés la réalisation de la prothèse quand le cas reviendra.
>
> à propos pourquoi laissez vous les boucles d'oreille à vos patients ???
>
A cause des cheveux pas fais gaffe c'est inexcusable je fais amende honorable!
--
"La vis est à l'implant ce que la carie est à la dent!" (Posi)


Img 8465 fqhxid - Eugenol
noahaxeltiger-olivier

19/11/2010 à 19h31

posit écrivait:
--------------
> ta mésaventure me rappelle ce cas clinique ou en + la 6 du haut avait égraissé,
> je trouve votre art bien difficile dans ce genre d'exercice, (pas de photo lors
> de la pose en distal, de toute façon on n'aurai vu que les gants)

Dans ton cas posit, l'ouverture buccale de la patiente n'est en rien la cause du problème. Le problème réside dans l'utilisation d'un porte implant totalement inadapté !


Img 8465 fqhxid - Eugenol
noahaxeltiger-olivier

19/11/2010 à 19h36

drmarcus écrivait:
------------------
> C'est un cas (à ne pas reproduire systématiquement) mais "d'école" 2 implants
> pour une dent le plus proche de la réalité.

Cas à ne pas reproduire tout court.


Logo m4n3gc - Eugenol
drmarcus

19/11/2010 à 19h58

noahaxeltiger-olivier écrivait:
-------------------------------
>
>
> Cas à ne pas reproduire tout court.

C'est ce que je dis: il y a les pilotes d'essais et les autres.


--
"La vis est à l'implant ce que la carie est à la dent!" (Posi)


Little shop of horrors brzqjx - Eugenol
chatondecarte

19/11/2010 à 20h06

drmarcus écrivait:
------------------
>
> C'est ce que je dis: il y a les pilotes d'essais et les autres.
>


Il y a les cobaye humains aussi.


S2y2o1v7q53ws4r5wy6ou8czrpom - Eugenol
pxav

19/11/2010 à 20h50

fouilla écrivait:
-----------------

> à propos pourquoi laissez vous les boucles d'oreille à vos patients ???

> --
> .

déontologie!!!

toujours laisser les boucles d'oreilles et la petite culotte, je crois avoir appris un truc comme ça en fac.

--
xbk
La théorie, c'est quand on sait tout et que rien ne fonctionne. La pratique, c'est quand tout fonctionne et que personne ne sait pourquoi. Albert EINSTEIN


Fouilla h6plsy - Eugenol
fouilla

19/11/2010 à 21h44

pxav écrivait:
--------------
> fouilla écrivait:
> -----------------
>
> > à propos pourquoi laissez vous les boucles d'oreille à vos patients ???
>
> > --
> > .
>
> déontologie!!!
>
> toujours laisser les boucles d'oreilles et la petite culotte, je crois avoir
> appris un truc comme ça en fac.
bon je sais bien que la pudeur tombe avec la culotte mais les boucles ???

pour marcus même dans la nature t'as souvent vu pareille divergence ?
la résultante des forces oclusales sur ton bazar au final est elle si différente que si tu les avait planté droit
il semblerait que physiquement parlant si tu fais la résultante des forces un implant central "droit" serait identique donc tu fais du surtraitement en en mettant deux dans des axes volontairement choisis pour montrer qu'on peut toujours s'en sortir avec le systême.

y avait pas une marque il y quelques années qui montrait un petit bolide rouge à coté d'un prat et qui rajoutait qu'avec eux l'implanto était un jeu d'enfant et te faisait par conséquence comprendre que le petit bolide serait bientôt entre tes mains d'implantologue expert...



--
.


fran.

19/11/2010 à 22h25

drmarcus écrivait:
------------------
> fouilla écrivait:
> -----------------
.
> La suite sera sur Nonol en partie (encore 3 mois mini) dés la réalisation de la
> prothèse quand le cas reviendra.


et tu vas faire comment pour l'empreinte au niveau des tranferts???


Logo m4n3gc - Eugenol
drmarcus

19/11/2010 à 23h15

Non j'arrete c'était bcp plus pour le fun. Je n'aurais jamais fait ça si je n'avais pas déjà la soluce! (Assortie d'une indication particulière)
Coté méca. la résultante n'est pas un vecteur droit sous les forces de mastication mais un torque. Voir les conf. de Zipprich.
Prendre un Docteur de l'Afssaps pour un cobaye Hum Hum!!!! en plus je lui file les photos de l'intervention.
Ce sera plus parlant au stade de la prothèse.

Amitiés à tous

--
"La vis est à l'implant ce que la carie est à la dent!" (Posi)


Utilisateur banni

20/11/2010 à 11h14

noahaxeltiger-olivier écrivait:
-------------------------------
> Dans ton cas posit, l'ouverture buccale de la patiente n'est en rien la cause du
> problème. Le problème réside dans l'utilisation d'un porte implant totalement
> inadapté !.

A2 b5j2ey - Eugenol

Img 8465 fqhxid - Eugenol
noahaxeltiger-olivier

20/11/2010 à 16h55

y a pas photo : la longueur du porte implant est approximativement 2 fois plus longue que celle de l'implant !

Il faut avoir une ouverture buccale extraordinaire pour pouvoir installer un implant en zone de 2ème molaire avec ce système!
Pourquoi avoir des guides aussi haut ?

Porte implant scnt85 - Eugenol

3f3boxni50k58rq7e9ce9ddqrxgk - Eugenol
dentiste57

20/11/2010 à 17h24

Céramik écrivait:
-----------------
> Ne pas picoler avant la pose d'un implant...
>

et oui, tu as raison, avant hier c'était beaujolais nouveau.


3f3boxni50k58rq7e9ce9ddqrxgk - Eugenol
dentiste57

20/11/2010 à 17h28

Céramik écrivait:
-----------------
> C'est variable d'un CD à l'autre.
> C'est inspiré des USA, où les poursuites sont plus fréquentes. J'ai "perdu" un
> cas après la lecture du consentement : le patient à refuser l'implant, tant
> mieux, c'était probablement une bonne chose !
>
peux tu nous envoyer en pdf le type de consentement éclairé que tu fais signer chez toi ?
je suis curieux de voir la différence avec ceux que nous faisons en France.


12