Cookie Consent byPrivacyPolicies.comImplant tout zircone - Eugenol

Implant tout zircone

Avatar ow44t3 - Eugenol
Chicot

16/12/2010 à 09h17

> béotien:

Je suis paromed genre Bonner - Charron: enseignement BROS, fil dentaire, brosettes, H2O2. Bicarbonnate. Microscope. AB per os ou localement ( tetracycline, flagyl,...). US sous betadine. Polissage 2 ou 3 pâtes de granulométrie décroissante .
Traitement en 3 à 10 séances selon les cas et des maintenances régulières
Cout horaire autour de 240 roro

Il est impensable de dissocier paro et implanto pour les raisons évoquées plus haut

--
;O)


Casque beotien a3jo39 - Eugenol
beotien

16/12/2010 à 10h25

en clair comme chez nous avec ce genre de matos


80x80 image06 funny w4abq5 - Eugenol
bigcandy

16/12/2010 à 11h03

J'aime beaucoup la calculette à côté du µscope !

C'est pour compter les bactéries ?

(Ou pour le coût horaire ?)

Bonne journée à tous ;)


Avatar ow44t3 - Eugenol
Chicot

16/12/2010 à 14h44

bigcandy écrivait:
------------------
> J'aime beaucoup la calculette à côté du µscope !
>
> C'est pour compter les bactéries ?
>
> (Ou pour le coût horaire ?)
>
> Bonne journée à tous ;)

LOL pour les honoraires bien sur !


Oui béotien même technique, alors pourquoi laisses- tu des foyers ?


--
;O)


Casque beotien a3jo39 - Eugenol
beotien

16/12/2010 à 16h15

Chicot écrivait:
----------------
> bigcandy écrivait:
> ------------------
> > J'aime beaucoup la calculette à côté du µscope !
> LOL pour les honoraires bien sur !

j'avais aussi mis qques chicots à coté du pmax mais cela faisait too much!

honoraires 175€ chez nous


> Oui béotien même technique, alors pourquoi laisses- tu des foyers ?

relis bien, je n'ai jamais dit cela, d'autres ici l'ont fait pour moi!, j'ai laissé dire
les dents restent en place, le traitement est fait par un des mes associés, les deux cas ont étés traités, et pour la patiente lui aussi le fait gracieusement

tiens en voila un vu ce matin que je ne pensais jamais revoir
implant posé il y a 12 ans avec provisoire à ailette, la patiente avait changé de région, question
pourquoi travail pas fini la bas?
dixit la patiente:le dentiste voulait enlever l'implant et en mettre un autre, elle ne voulait pas payer à nouveau, le provisoire est resté
j'ai pas eu le temps pour les photos, mais j'en prendrais si cela intéresse en faisant la prothèse


Casque beotien a3jo39 - Eugenol
beotien

24/02/2011 à 12h42

comme promis Céramic
Controle et pose 15 jours apres du fx moignon vendredi dernier entre les deux L'APN en panne
provisoire avec diastème en bouche, suis pas certain que cela va lui plaire
Moi c'est le collet qui ne me plait pas,donc une provisoire çà m'arrange

les 12 et 21 sont toujours d'avant 1992!


Casque beotien a3jo39 - Eugenol
beotien

26/05/2011 à 19h07

CCM posée il y a un mois

plus de diasteme, c'était bien la peine, l'hygiene toujours au top et la gencive a adoré l'aller retour

par contre l'implant lui RENDRA SERVICE


Little shop of horrors brzqjx - Eugenol
chatondecarte

26/05/2011 à 20h26

Ah cool ! je suis pas le seul a qui il est arrivé de bouffer l'apex de la dent d'à coté!


Avatar ow44t3 - Eugenol
Chicot

27/05/2011 à 00h21

chatondecarte écrivait:
-----------------------
> Ah cool ! je suis pas le seul a qui il est arrivé de bouffer l'apex de la dent
> d'à coté!

Ceux a qui c'est jamais arrivé n'ont pas encore posé assez d'implants !!!!!!

L'expérience est le nom que nous donnons à nos échecs

--
;O)


Casque beotien a3jo39 - Eugenol
beotien

05/10/2012 à 01h06

Chicot écrivait:
----------------
> chatondecarte écrivait:
> -----------------------
> > Ah cool ! je suis pas le seul a qui il est arrivé de bouffer l'apex de la dent
> > d'à coté!
>
> Ceux a qui c'est jamais arrivé n'ont pas encore posé assez d'implants !!!!!!
>
> L'expérience est le nom que nous donnons à nos échecs

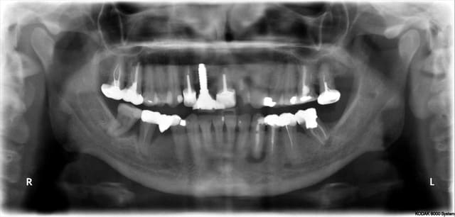
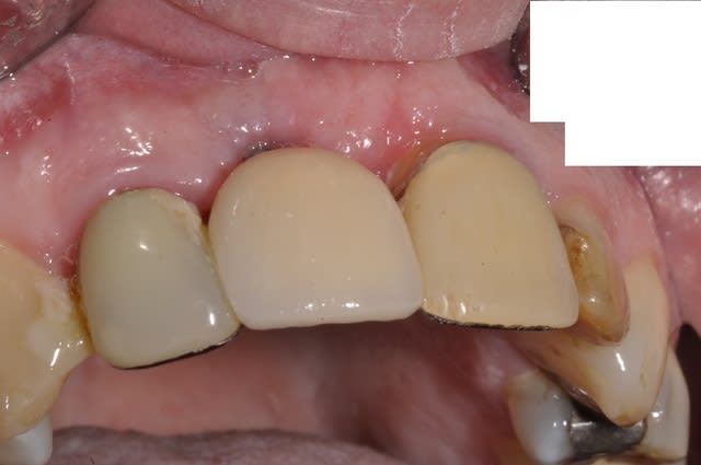
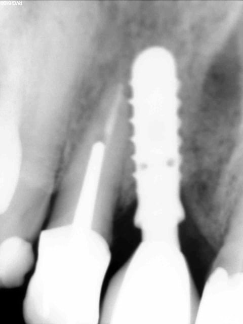
Céramik comme promis Ma réponse en image 2ans après
Est ce l'échec affirmé par certains?
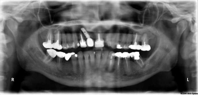
1 Pano du cas
2 Pano qui a déclenché tous ces gentils commentaires
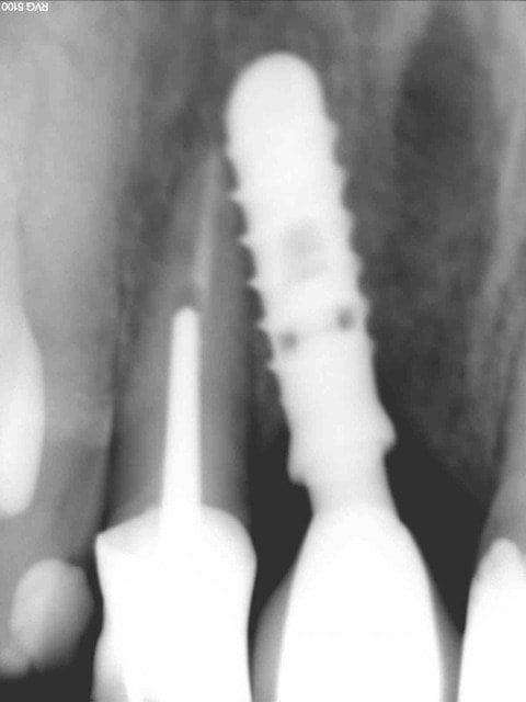
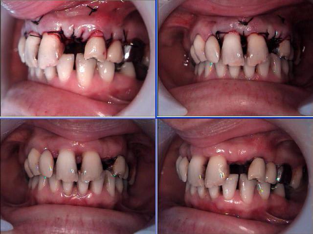
3 Rx le jour de la POSE de la dent
4 La dent le jour de la pose
5 Pano aujourd'hui (le secteur 4 fichu???)
6 Rx aujourd'hui
7 La dent 2ans après

Vos avis!

C'est un implant Léone

Cha5 uow7ml - Eugenol
Cha2 yyu3c6 - Eugenol
Cha8 vah8qv - Eugenol
Ch9 zvy9w6 - Eugenol
C4 10 2012 ofyxab - Eugenol
Car4 10 2012 piobvj - Eugenol
4 10 2012 gbevfc - Eugenol

G-P

05/10/2012 à 01h23

L'esthétique est top


Smile beach jgh0a1 - Eugenol
Céramik

05/10/2012 à 03h46

Merci, c'est sympa de penser à moi !

L'implant Leone semble donner des résultat interessant.

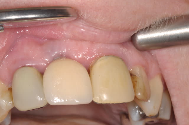
Pour la pano, les trucs noirs sous les apex, ça ne t'inquiètent pas ? Comme sous la 33 ?

--
Céramik


Icon poker h4nm2d - Eugenol
jeff

06/10/2012 à 12h25

En relisant tout le sujet, on lit qu'effectivement, les kystes de 20 ans , stable ne l'inquiete pas.

l'important , c'est que la patiente soit prévenue qu'elle risque un jour de se taper un méga abcès. ( juste avant les vacances ! )

Par contre j'aurai repris 46 avant de refaire le bridge. Au départ, je faisait comme toi, petite lésion stable depuis 15 ans : je ne touche pas et refait la couronne : boum, systématiquement , dans l'année qui suit : abcès. Donc, maintenant, je reprend si je refais de la prothèse.

Finalement : la paro en secteur 4 : pas mal, pour des dents que beaucoup voulait extraire.

par contre , ce qui m'interpelle, c'est : pourquoi mettre un implant en 11, alors que 12 et 21 ont des richmond résine merdique. Un bridge zircone, ou meme CCM, serait bien plus joli, de même tarif qu'un implant unitaire, et mieux remboursé.


Photo pluton1b h9n4ea - Eugenol
pluton

06/10/2012 à 12h35

jeff écrivait:
--------------

> par contre , ce qui m'interpelle, c'est : pourquoi mettre un implant en 11,
> alors que 12 et 21 ont des richmond résine merdique. Un bridge zircone, ou meme
> CCM, serait bien plus joli, de même tarif qu'un implant unitaire, et mieux
> remboursé.




tu vas comprendre tout seul...

moi, ce qui m'inquiète, c'est qu'en 2012 on se pose encore la question....


Icon poker h4nm2d - Eugenol
jeff

06/10/2012 à 13h22

Très bonne vidéo, en effet. Dit moi, elle n'aurai pas été édité par un fabriquant d'implant, par hasard ?

Il est évident que l'on ne va pas mutiler des dents saines.
Reste le problème de la résorption osseuse sous l'inter.

C'est plus ou moins prononcé selon les patients. Tout le monde a des bridges anciens quasiment sans résoption dans sa patientelle.

Ensuite, on peut toujours faire un conjonctif.


Icon poker h4nm2d - Eugenol
jeff

06/10/2012 à 14h27

jeff écrivait:
--------------

> Il est évident que l'on ne va pas mutiler des dents saines.



Quoi que !

bridge fait en 2007. Avec la supra et le sourire gingival, je décide de faire une élongation coronaire esthétique de 11 21, et donc de les couronner ensuite. on aurait pu mettre deux implants en 12 et 22, et ne pas toucher aux centrales, mais je pense que le résultat final n'aurait pas été le même.

Photo : état initial, puis après chir ( élongation 11 21, greffe conjonctif 23 ), un mois après , rv de 3 heures et pose du provisoire maison, résultat final. je l'ai revu il y a 15 jours, je n'ai pas fait de photo, mais tu peux me croire, cela n'a pas bougé d'un poil.

Bridge 1 vrkucx - Eugenol
Bridge 2 bmzmbn - Eugenol
Bridge 3 clvdwy - Eugenol

Smile beach jgh0a1 - Eugenol
Céramik

06/10/2012 à 19h22

jeff écrivait:
--------------
> --------------

>
> bridge fait en 2007.

> je l'ai revu il y a 15 jours, je n'ai pas fait de photo,



Dommage !
Le provisoire était joli


--
Céramik


12