Cookie Consent byPrivacyPolicies.comParo ultra agressive chez une jeune femme de 30 ans. - Eugenol

Paro ultra agressive chez une jeune femme de 30 ans.

Smile beach jgh0a1 - Eugenol
Céramik

18/02/2011 à 03h36

folofrine écrivait:
-------------------
> Ceramik je crois que tu n'as pas compris l'intérêt d'un forum.

Ah, parce que je ne place aucun cas et ne repond à aucune question ?
-------------------

J'ai pas aimé ta réponse :

Pour Ceramik tu dis :
"Tu fais tes chirurgies paro de "comblement" ?
Tu as des cas à nous montrer ?
J'aimerais bien voir. (Olivier aussi je pense)
"

Est ce que je r^ve ou quoi?
Je suis le seul à connaître l'existence de lésions en cuvettes, de lésions infraosseuses, de régénération osseuse à l'aide de biomatériau et/ou membrane? .
------------------------


> Tu évoques des questions basiques en implanto? Tu peux me dire lesquelles?

Là, c'est mon erreur, 1000% désolé, j'ai malheureusement mélangé 2 pseudo... mea culpa.

-----------------------

> Dans le post que tu cites tu te sens visiblement agressé puique ta réponse l'est assurément.
> Je posais en toute amitié la question de savoir si j'étais le seul a connaitre ce type de technique

sorry, le ton semblait peu amical...

Mais je pense encore que le cas présenté, avec 2-4 mois de recul, ne peut pas servir d'exemple, sauf si appuyé de bonnes références, ce qui ne fut pas le cas.

Aller, bonne soirée.



--
Céramik


Img 3657 cwjvqm - Eugenol
alapex

18/02/2011 à 10h37

noahaxeltiger-olivier écrivait:
-------------------------------
> folofrine écrivait:
> -------------------
> > Autre question : Penses tu que tu aurais eu un résultat très différent sans
> > Emdogain dans ton premier cas (les 2 radios)?
> > D'autre part, je considère que le matériau de comblement agit comme un
> espaceur.
> > Exactement comme agirait une membrane afin de ne pas laisser la cicatrisation
> > des tissus mous plus rapide empiéter sur la cicatrisation osseuse.
> > L'Emdogain n'est pas un gel fluide? Comment expliquer dans ces cas là si on
> > utilise pas de membrane que les tissus mous n'empêche pas l'os de se former?
>
> Enfin un peu de temps pour te répondre folofrine.
> Pour faire simple et comme tu l'as toi même décrit, le potentiel régénératif des
> lésions infra-osseuse est strictement dépendante de leurs topographies et donc
> du nombre de paroies osseuses.
> On sait par le biais d'études basées sur des analyses histomorphologiques que
> les lésions à 3 parois ont le meilleur potentiel régénératif et que ce résultat
> peut être obtenu même sans utilisation de quelque matériaux de régénération
> (désolé Tillc ;-)) ). Voilà pourquoi dans certains cas il est possible d'obtenir
> un comblement osseux après simplement un traitement non chirurgical.
> Pour ce qui est des lésions à 2 parois, le pronostic se complique un peu plus
> mais c'est justement dans ce cas de figure que l'Emdogain prend tout son
> intérêt.
> Aussi, dans le premier cas que j'ai présenté avecles 2 clichés radios, si je
> n'avais pas utilisé d'Emdogain je n'aurais pu au meilleur des cas espérer une
> régénération que de la partie apicale de la lésion (qui correspondait à une
> lésion infra osseuse à 3 parois).
> Pour les lésions à 1 parois le potentiel de régéneration est très très limité et
> on doit souvent combiner plusieurs techniques régénératives pour obtenir un
> résultat satisfaisant. Tu comprends alors pourquoi le potentiel de régénération
> des lésions furcatoires (dont le nombre de parois osseuses verticales est
> quasiment nul) est proche de zéro.
>
>
> Comme tu le sous entends, la régénération parodontale est soumise à une
> compétition tissulaire. Le premier tissu qui envahi l'espace vide est le
> gagnant.
> Aussi arriver à empêcher l'épithélium de coloniser la surface radiculaire en
> premier, a été proposé par le biais des membranes dans le cas des RTG, la
> membrane agissant comme une barrière physique à cette plongée épithéliale.
> L'Emdogain a un fonctionnement beaucoup plus séduisant parce que plus biologique
> : son but est de faire la mimique d'un processus biologique qui intervient lors
> de la formation de la dent. L'emdogain a de nombreuses propriétés biologiques
> intéressantes, tant au niveau des fibroblastes, que du tissus osseux mais
> également vis à vis des cellules épithéliales qu'il empêche de migrer en
> direction apicale. L'emdogain fonctionne donc également comme une membrane
> liquide.
> Si tu es intéressé par des coupes histo comparant RTG et Emogain, je te
> conseille de lire l'article de Sculean : "Treatment of intrabony defect with
> guided tissue regeneration and enamel matrix proteins" JCP 2000, 27: 466-72
>
> Dans les cas de comblement par matériaux sans Emdogain ni membrane (comme ceux
> que tu nous montres), la plongée épithéliale est inévitable. Le résultat obtenu
> est peut être un comblement physique d'un défaut osseux radiologique plaisant
> mais en aucun cas une régénération du système parodontal. Quid alors de la
> fermeture de la poche et de la durabiité des résutats ?
>
> En espérant avoir répondu à tes questions.
>
> Amicalement
> Olivier



Merci pour cette réponse .


folofrine

18/02/2011 à 16h16

Ceramik, je tiens à te répondre.
Cette réponse fait un peu echo à ce qui s'est dit dans le post "important" d'Olivier et que j'ai pris connaissance après le mien.
Ceramik, tu sais que dans un forum on a pas d'autre moyen de s'exprimer que par des mots. Des fois on peut être maladroit evidemment. Sans le vouloir car chaque mot compte et des fois on écrit comme on parle et on a des tons différents, des manières de s'exprimer différentes.
Tu verras sur mon profil cher Ceramik que je ne suis pas un ultra assidu du forum. En gros je consulte de temps en temps mais ces derniers temps ça été un peu plus car j'ai voulu commencer à poster des cas. Je ne vais pas te raconter ma vie, peut-être que c'est pas interessant, mais cela fait 18 mois que je me suis mis à 1000% dans mon installation (collaborateur 8 ans puis installation depuis 1 an et demi) et depuis tout ce temps je fais un métier que je ne connais pas, à savoir celui de chef d'entreprise, de chef de chantier, de réparateur de fauteuil... Bref je vais pas vous apprendre notre métier, il faut savoir tout faire et c'est un métier très difficile.
Pendant mes 8 ans de collaboration, je n'ai fait que centrer mon temps sur l'évolution de ma pratique. DU, CES, formation continue etc...
Puis, depuis 18 mois enormément moins.
Maintenant que ça va un peu mieux (les 2 premières années de l'installation sont assez terribles) je veux me remettre à prendre du recul et poster des cas ici, sur Eugenol.
2 ou 3 cas ces dernières semaines.

Tout ça pour te demander cher Ceramik :
_ On ne se connait pas sur le forum, c'est normal je ne suis pas comme je l'ai dit très prolifique ici.
-Tu vois un "nouveau" poster un cas avec quelques lignes d'explications.
-Trouves tu normal que la première chose qui me soient dites soit : "Tu fais tes chirurgies paro de "comblement" ?
Tu as des cas à nous montrer ?
J'aimerais bien voir. (Olivier aussi je pense)

Moi ça me donne l'impression que vous avez voulu tester par des questions ouvertement simples, si j'étais assez naze pour que ça ne vaille pas le coup de me répondre.
Moi je ne trouve pas ça bien, et c'est pourquoi j'ai répondu comme ça.
Voilà...
Je pense que d'une manière générale il faut faire attention à ne pas être trop direct avec les nouveaux qui alimenteraient le forum avec des nouvaux cas, qui, tout le monde sera d'accord avec moi, font évoluer tout le monde.


tungstene

18/02/2011 à 21h15

Juste pour info, est ce que dans le cas d'une parodontite agressive généralisée, on surface toutes les dents ?
Et si oui ( ce que je pense être le cas ) il faut dans l'idéal le faire en une séance puis mettre sous ATB ? Deux séances est il possible et avec combien de temps max entre les deux séances ?


Img 8465 fqhxid - Eugenol
noahaxeltiger-olivier

19/02/2011 à 00h17

folofrine écrivait:
-------------------
> En ce qui concerne le matériau de comblement. A partir du moment ou on le
> retrouve radiographiquement après plusieurs mois, ne penses tu pas que cela
> prouve qu'il est intégré? Sinon il serait résorbé d'après moi. ou alors il
> serait parti en petits morceaux car il n'aurait aucune tenue...

Cela est loin d'être sûr. Ton matériaux peut être encapsulé dans un tissus conjonctif et malgré tout toujours présent !


> Pour moi le materiau empêche simplement l'epithelium qui aimerait se placer rapidement au
> contact de l'os résiduel et donc empêcherait sa reformation. En d'autres termes,
> ce sont des cas ou on aurait ou mettre également une membrane pour soutenir le
> materiau mais je n'en ai jamais eu besoin de par la consistance putty du
> Novabone.

Ton matériaux de comblement utilisé sans membrane (physique ou chimique) ne peut pas empêcher une plongée épithéliale. La barrière n'est pas macroscopique mais doit être considérée au niveau cellulaire !
Le Novabone peut se passer de membrane dans le seul sens où le produit est dimensionnellement stable et ne présente pas de risque de s'étendre. Mais le but de la membrane en RTG est support son rôle de barrière vis à vis des cellules épithéliales, rôle que le matériaux de comblement seul ne peut assurer.


Amicalement
Olivier


Pépélaratiche

19/02/2011 à 00h24

alapex écrivait:
----------------
> Il y avait les prêtres ouvriers , voici venu le temps des paro prédicateurs pour
> pratiquer la paro Lourdes sans doute...sans parler des jupes en gore tex
> (Avery)pour les nostalgiques.
> Malgré le talent de chacun , les méthodes pratiquées avec doigté , et surtout
> les 30 ans de la jolie madame , il faudra bien lui mettre les points sur les i ,
> lui faire comprendre rapidement que l'implanto totale bimax se profile
> incessamment sous peu , voire avant hier , et que c'est le terrain parfait pour
> la basale .


Effectivement ça lui pend au nez

J ai récupéré une patiente d un confrère qui lui a fait une paro totale à lambeau voici 10 ans

Là elle à 39,5 ans et tout est cuit
Implanto totale bimax
On est en route
Ca fait partie des travaux que Pp vous transmettra en cours d année

Pp ;-)


Img 8465 fqhxid - Eugenol
noahaxeltiger-olivier

19/02/2011 à 00h38

Pépélaratiche écrivait:
-----------------------
> Effectivement ça lui pend au nez
>
> J ai récupéré une patiente d un confrère qui lui a fait une paro totale à
> lambeau voici 10 ans
>
> Là elle à 39,5 ans et tout est cuit
> Implanto totale bimax
> On est en route
> Ca fait partie des travaux que Pp vous transmettra en cours d année
>
> Pp ;-)


Ne t'inquiète pas Pp, dans pas longtemps c'est la péri-implantite qui lui pendra au nez à ta patiente.
Croire que l'implanto est une alternative au traitement des parodontites est une énorme faute ... qui coute déja très cher.

Maintenant préfères tu soigner les parodontites ou les peri-implantites ? Moi j'ai fait mon choix !!

Amicalement
Olivier


Pépélaratiche

19/02/2011 à 01h05

Qd il n y aura plus aucune dent et donc aucun ligament malade en devenir ça ira tjs mieux que maintenant qd la patiente expulse spontanément des 8 inf sur arcade

Pp ;-)


PS Je vais lui épaissir tous les murs osseux en vestibulaire au nano + prfs lors des chir implantaires et je dois dire que ça m apporte et cela apporte aux patients une certaine satisfaction...


Pépélaratiche

19/02/2011 à 01h08

noahaxeltiger-olivier écrivait:
-------------------------------
> Pépélaratiche écrivait:
> -----------------------
> > Effectivement ça lui pend au nez
> >
> > J ai récupéré une patiente d un confrère qui lui a fait une paro totale à
> > lambeau voici 10 ans
> >
> > Là elle à 39,5 ans et tout est cuit
> > Implanto totale bimax
> > On est en route
> > Ca fait partie des travaux que Pp vous transmettra en cours d année
> >
> > Pp ;-)
>
>
> Ne t'inquiète pas Pp, dans pas longtemps c'est la péri-implantite qui lui pendra
> au nez à ta patiente.
> Croire que l'implanto est une alternative au traitement des parodontites est une
> énorme faute ... qui coute déja très cher.
>
> Maintenant préfères tu soigner les parodontites ou les peri-implantites ? Moi
> j'ai fait mon choix !!
>
> Amicalement
> Olivier


Je te montre la pano une de ces jours : même si tu es le Dieu de la paro ( et je n en doute pas un seul instant ) ds ce cas ci , c est cuit
Ou bien amovible complet qui va bouffer l os résiduel
Ou bien implanto totale
La patiente a choisi...


Img 8465 fqhxid - Eugenol
noahaxeltiger-olivier

19/02/2011 à 01h13

Pépélaratiche écrivait:
-----------------------
> Qd il n y aura plus aucune dent et donc aucun ligament malde en devenir ça ira
> tjs mieux que maintenant qd la patiente expluse spontanément des 8 inf sur
> arcade
>
> Pp ;-)
>
>
> PS Je vais lui épaissir tous les murs osseux en vestibulaire au nano + prfs et
> je dois dire que ça m apporte et cela apporte aux patients une cetraine
> satisfaction...

??


Pépélaratiche

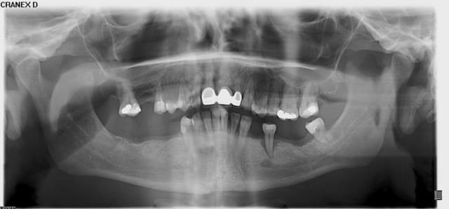
19/02/2011 à 01h19

Voici

A toi de juger si la paro peut encore qqch pour cette patiente

A titre purement informatif : mobilité de type II et III de partout ;-)

Pp

Img 0040 ieghk5 - Eugenol
Img 0047 xxhaiw - Eugenol
Img 0048 nkzoeb - Eugenol
Img 7064 dq2awu - Eugenol

Smile beach jgh0a1 - Eugenol
Céramik

19/02/2011 à 03h59

folofrine écrivait:
-------------------
> -Tu vois un "nouveau" poster un cas avec quelques lignes d'explications.
> -Trouves tu normal que la première chose qui me soient dites soit : "Tu fais tes
> chirurgies paro de "comblement" ?
> Tu as des cas à nous montrer ?
> J'aimerais bien voir. (Olivier aussi je pense)


C'était une question comme une autre, pas bien méchante...

d'ailleur, le gentil Olivier te re-dit que ton cas, c'est pas certain que tu as réellement comblé...alors, je ne fais que te demander comment tu t'y prends...c'est pas une attaque contre ton fil...



> Je pense que d'une manière générale il faut faire attention à ne pas être trop
> direct avec les nouveaux qui alimenteraient le forum avec des nouvaux cas, qui, tout le monde sera d'accord avec moi, font évoluer tout le monde.

ben oui, mais faut pas se brusquer pour si peu...




--
Céramik


Grueavatar nptrc9 - Eugenol
Le Choixpeau magique

19/02/2011 à 11h32

Pépélaratiche écrivait:
-----------------------
> Voici
>
> A toi de juger si la paro peut encore qqch pour cette patiente
>

Moi sans sondage je dis "au revoir les dents", c'est peut être une erreur ?


 mg 0207 xwjxcl - Eugenol
Tillc

21/02/2011 à 22h30

Pépélaratiche écrivait:
-----------------------
> Voici
>
> A toi de juger si la paro peut encore qqch pour cette patiente
>
> A titre purement informatif : mobilité de type II et III de partout ;-)
>
> Pp

c est vrai que pour ta patiente cest cuit . Mais n oublie pas que la raison qui lui a fait perdre ces dents en 10 ans lui fera perdre tes implants en 10 ans . La parodontite est une question de bacteries/predispositions/facteurs de risques ! Si tu nechanges pas ca tu perdras tes implants


Pépélaratiche

22/02/2011 à 00h54

Tillc écrivait:
---------------
> Pépélaratiche écrivait:
> -----------------------
> > Voici
> >
> > A toi de juger si la paro peut encore qqch pour cette patiente
> >
> > A titre purement informatif : mobilité de type II et III de partout ;-)
> >
> > Pp
>
> c est vrai que pour ta patiente cest cuit . Mais n oublie pas que la raison qui
> lui a fait perdre ces dents en 10 ans lui fera perdre tes implants en 10 ans .
> La parodontite est une question de bacteries/predispositions/facteurs de
> risques ! Si tu nechanges pas ca tu perdras tes implants


Cher Tillc,

il reste quand même qu il n y aura plus aucun ligament parodontaux et que cette jointure qui devient malade chez le patient paro ne va plus exister en implanto ni non plus cette flore anaérobie merdique et que ce sera plus facile à gérer

Je vais te chercher qques panos de patients paros terminaux implantés depuis longtps sans problème ...

Pp


Smile beach jgh0a1 - Eugenol
Céramik

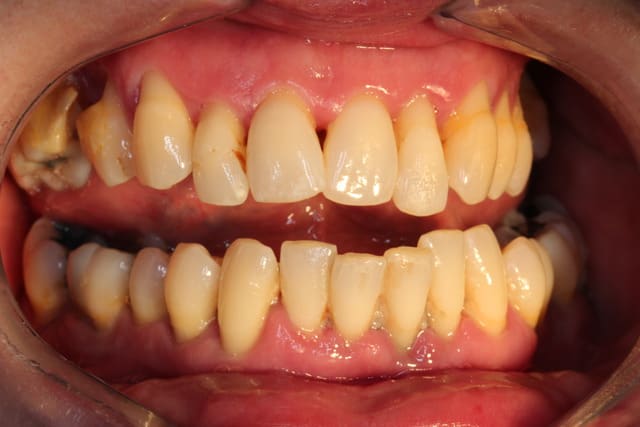
22/02/2011 à 04h08

Sur le sujet paro

Ce patient est dans cet état depuis des années...
Soins de base, ne porte pas de stellite (n'en veux pas)

Cinquantaine, fumeur, paro marginale chronique(inflamation au Dilantin), aucune mobilité notable...et voilà, en 6 mois, cette dent passe à une mobilité de 3 +.

J'enlève ou je tente quelque chose ?
Pas de sous pour des implants en passant...mais de toute façon, fumeur et implants dans un cas comme celui-ci, je fais pas



--
Céramik

X8851612 m8dqiw - Eugenol
X8851613 2 h8ardz - Eugenol

flicflac

22/02/2011 à 04h55

je ne suis pas sûr qu'elle va perdre cette flore anaérobie merdique, elle n'est pas complètement édenté dans ce cas-ci
salut les cousins


flicflac

22/02/2011 à 04h59

Céramik, un petit pont?? pilier Centrale, quand le pont est cimemté, la dent n'est plus mobile... on peut faire de la regénération
salut confrère


Img 8465 fqhxid - Eugenol
noahaxeltiger-olivier

23/02/2011 à 15h25

Pépélaratiche écrivait:
-----------------------
> il reste quand même qu il n y aura plus aucun ligament parodontaux et que cette
> jointure qui devient malade chez le patient paro ne va plus exister en implanto
> ni non plus cette flore anaérobie merdique et que ce sera plus facile à gérer

Je trouve qu'en même ca hallucinant que certains veulent faire croire aux gens qu'extraire les dents va gérer la maladie parodontale !! Le problème n'est pas la dent !
Vraisemblablement une méconnaissance monumentale des bases de la parodontologie.
J'ai bien peur que bien trop de patients aient vu leurs dents extraites bien inutilement. ;-((


Img 8465 fqhxid - Eugenol
noahaxeltiger-olivier

23/02/2011 à 17h19

Pépélaratiche écrivait:
-----------------------
> Je te montre la pano une de ces jours : même si tu es le Dieu de la paro ( et je
> n en doute pas un seul instant ) ds ce cas ci , c est cuit
> Ou bien amovible complet qui va bouffer l os résiduel
> Ou bien implanto totale
> La patiente a choisi..


Il et clair Pp que le cas que tu nous montres est dramatique. D'autant plus dramatique que la solution implantaire ne sera malheureusement pas une solution de long terme.

D'un autre côté, les photos cliniques que tu nous joins montrent clairement que même si la patiente a subi un ttt paro il y a 10 ans, elle n'a en toute certitude pas continuer son traitement de maintenance !

Le traitement des parodontites et d'autant plus quand elles ont un caractère aussi aggressif implique un suivi et traitement régulier du patient. Sans cela, c'est l'échec assuré.

Amicalement
Olivier


Casque beotien a3jo39 - Eugenol
beotien

23/02/2011 à 17h27

Hallucinant!
tu utilises souvent ce mot, je ne serais pas surpris qu'en suède
Psilocybe semilanceata soit dans la flore buccale fais gaffe!

sur le fond tu as raison en regardant les photos nonoliennes je vois bcp de dents qui dégagent pour des all on 4, 6, ou 8 qu'AMHA je trouve limite? J'ai sans doute tort
et on reparlera surement avant 10ans de la maintenance paro des implants coniques multispires