Cookie Consent byPrivacyPolicies.comTraction des 37 47 incluses - Eugenol

Traction des 37 47 incluses

1 eugenol dmj5np - Eugenol
Dancha

22/03/2011 à 09h27

calou340 écrivait:
------------------
>
> j'avais aussi pensé à utiliser mon double tube des 6 pour y introduire un
> sectionnel en TMA intégrant une force d'égression pour les 7... a voir

Tu n'aurais pas une photo qui montre l'appareillage actuel ?
Sinon, on parle un peu dans le vide..

Daniel

P.S. Céramik a quitté le forum ?


Smile beach jgh0a1 - Eugenol
Céramik

22/03/2011 à 13h06

Dancha écrivait:
----------------
> calou340 écrivait:
> ------------------
> >
> > j'avais aussi pensé à utiliser mon double tube des 6 pour y introduire un
> > sectionnel en TMA intégrant une force d'égression pour les 7... a voir
>
> Tu n'aurais pas une photo qui montre l'appareillage actuel ?
>
> Sinon, on parle un peu dans le vide..


> Daniel
>
> P.S. Céramik a quitté le forum ?


Non, mais on attend la pano du cas depuis 1 mois...
(22 février)...

> Sinon, on parle un peu dans le vide..

;-)


--
Céramik


calou340

22/03/2011 à 21h53

j'essaierais en effet de mettre la pano et des photos dès que possible. Mais vos idées sont très intéressantes et je vous tiendrais au courant de l'évolution du cas...


1 p3qrc4 - Eugenol
Bjc.

23/03/2011 à 09h39

""L’accrochage du fil à l’œillet peut poser difficulté car il aura tendance à se sauver, compte tenu de sa pente. Il faudra faire une pliure verticale,""

Sur le fil Ni.Ti. souple (0.014), il faut faire l’œillet avant de l’insérer dans un anneau de la chainette, donc pas de grande longueur, ainsi notre fil n’ira pas dans la gencive, la pliure verticale est une complication qui n’est pas nécessaire.

"" mais avec du NiTi ce n’est pas toujours facile surtout à ce niveau là et si on laisse une grande longueur, la pointe du fil ira se planter dans la gencive.
Il y a également un problème d’occlusion, où se logeront les cuspides des dents supérieures ? Faut-il alors prévoir une surélévation et comment ? ""

Dans le cas de Calou, comme il a les 7 des deux cotés à tracter, il n’y a pas besoin de faire un calage opposé, pour ce qui est de l’engrènement, il est réalisé par du composite sur le flow.
Cette surélévation est de courte durée, au bout de 3 mois, notre ami Calou pourra coller un tube en vest. des 7

""Un troisième point est le risque de pliure du fil par l’occlusion en distal du collage, qui lui ferait perdre tout effet.""

Il y a peu de chances que le patient mastique sur ses 7 incluses en court de traction (douleurs), une explication au patient peut être utile !

""Et enfin si la ligature a été collée en vestibulaire (il n’a pas été précisé si elle avait été collée en vestibulaire ou en occlusal), on risquera d’aboutir à une bascule linguale.""

Il s’agit bien sur d’un collage dans le sillon occlusal des 6 et 5, sinon on n’aurait pas de Pbs. de surélévation


Voila, c’est pas si compliqué que ça


@+ Bjc.



1 eugenol dmj5np - Eugenol
Dancha

26/03/2011 à 13h30

Bjc. écrivait:
--------------
..
> .. c’est pas si compliqué que ça.
>
> @+ Bjc.

A condition encore qu'il y ait assez de différentiel de hauteur entre le bord occlusal de la "6" où est collé de NiTi et l'émergence de la ligature...

Le hasard a fait que je viens d'être confronté au même problème que Calou, sauf que la 47 étant très profonde (probablement ankylosée) il n'aurait pas été raisonnable d'exposer sa couronne et que son dégagement et le collage d'un bouton avec sa ligature ont été réalisés au cabinet.

Voici le système que j'ai mis en place. Le fil est un "TMA .016".

La hauteur de la muqueuse au niveau 47 ne permettait pas ici de faire comme le préconise notre ami. A-t-il, lui, des cas à nous montrer ?

Daniel

P.S. les photos datent d'hier.

11140 47 2 yltsjc - Eugenol
11140 47 1 m4ogm1 - Eugenol

1 p3qrc4 - Eugenol
Bjc.

27/03/2011 à 23h39

> .. c’est pas si compliqué que ça.
>
> @+ Bjc.

"""A condition encore qu'il y ait assez de différentiel de hauteur entre le bord occlusal de la "6" où est collé de NiTi et l'émergence de la ligature..."""

Une ligature de traction peut se rabattre. les nombreuses pliures sur l’arc T.M.A. montrent la difficulté d’une mise en forme en bouche, même pour quelqu’un d’aussi expérimenté que Dancha
Ceci dit, notre ami Daniel ne nous a pas dit comment il obtenait un effet de traction axiale de la 47 avec un arc rond qui peut tourner dans le tube et Bk. de 46/44 (effet manivelle).
La voussure en arrière de 46 laisse prévoir des difficultés, une radio serait la bienvenue.

"""Le hasard a fait que je viens d'être confronté au même problème que Calou, sauf que la 47 étant très profonde (probablement ankylosée) il n'aurait pas été raisonnable d'exposer sa couronne et que son dégagement et le collage d'un bouton avec sa ligature ont été réalisés au cabinet.
Voici le système que j'ai mis en place. Le fil est un "TMA .016". """

beau travail, on ne voit même plus de traces de cicatrice d’incision, la chirurgie de dégagement ne doit pas être récente, tu es sur que la dent est ankylosée ? Essaye avec un arc carré 16*x16*, immobilisé en rotation dans le tube de 46 et le Bk. de 44 par de la résine, peut être que ta dent va se désankyloser …


"""La hauteur de la muqueuse au niveau 47 ne permettait pas ici de faire comme le préconise notre ami. A-t-il, lui, des cas à nous montrer ?"""

le collage de mon petit arc entraine une surélévation, qui dégage de la place, si nécessaire. Ce système me parait tellement simple que je n’ai pas pensé à faire de photos !

@+ Bjc.



1 eugenol dmj5np - Eugenol
Dancha

28/03/2011 à 14h26

Pourquoi ai-je utilisé ici un fil rond et non pas un « arc carré 16*x16*, immobilisé en rotation dans le tube de 46 et le Bk. de 44 par de la résine » comme le préconise bjc ou « un arc TMA rectangulaire » comme l’a proposé plus haut Jomiro pour le cas de Calou ?
Il y a au moins deux raison à cela.
Question subsidiaire : pourquoi n’ai-je pas (volontairement) intégré la 45 ?

A vos méninges !
Je remets les photos.

Daniel

11140 47 1 uzv0sq - Eugenol

Images 1 qtgoxf - Eugenol
ciwil

28/03/2011 à 15h30

si ton arc roule librement dans le tube de la 6 et qu'il commence à être ceinturé à partir de la 4, c'est pitête pour diminuer le moment de la force en augmentant la longueur et ainsi réduire les forces réactionnelles parasites !?
et le fait que le fil soit rond répartirait la force sur les bk, alors que le couple d'un arc rectangulaire s'exercerait immédiatement dans la gorge de la 4


1 eugenol dmj5np - Eugenol
Dancha

28/03/2011 à 17h51

Très juste, mais encore.. ?

Daniel


Images 1 qtgoxf - Eugenol
ciwil

28/03/2011 à 19h30

étant donnée sa position actuelle, prendre en charge la 5, conjuguée avec l'effet de canne à pèche pour tracter la 7 risquerait d'ingresser la 46 ?


1 p3qrc4 - Eugenol
Bjc.

28/03/2011 à 20h37

Daniel prolonge le bras vestibulaire de son arc jusqu'à la 5 pour avoir un arc le plus cintré possible et limiter l’effet manivelle.

Le système étant en friction faible, si la 47 résiste, la torsion impliquée à l’arc, risque de faire égresser la 4. (la 7 contre la 4), on a un système flottant, action réaction, avec manque d’ancrage. C’est pourquoi tous les systèmes connus impliquent un ancrage par immobilisation des dents utilisées en appui,
certain font même une attelle linguale collée de 4 à 6

@+ Bjc.




1 eugenol dmj5np - Eugenol
Dancha

28/03/2011 à 21h06

Non ciwil, non bjc ce n'est pas pour cela que j'ai laissé la 45 libre.
Cela dit, ciwil a bien vu la première raison pour laquelle j'ai préféré un fil rond à un carré ou rectangulaire passant dans le tube de la 46. Mais il y en a encore une autre..

Daniel


Images 1 qtgoxf - Eugenol
ciwil

28/03/2011 à 21h39

j'ai trouvé!
parce que 44+46 te suffisent pour coter TO90 ?!


Images 1 qtgoxf - Eugenol
ciwil

28/03/2011 à 21h39

j'ai trouvé!
parce que 44+46=TO90 ?!


1 p3qrc4 - Eugenol
Bjc.

28/03/2011 à 22h09

Le Pb. est simple, il faut un ancrage pour tracter la 47, (46 + au moins une autre dent), et un arc qui puisse coulisser, surtout si la 47 est en malposition et risque de se bloquer pendant son trajet de traction

Dans le système présenté par Daniel, l’arc est bon, il manque l’ancrage


1 eugenol dmj5np - Eugenol
Dancha

28/03/2011 à 22h47

Bjc. écrivait:
--------------
> .., il manque l’ancrage

ciwil écrivait:
---------------
> ..
> et le fait que le fil soit rond répartirait la force sur les bk, alors que le
> couple d'un arc rectangulaire s'exercerait immédiatement dans la gorge de la 4..

C’est ça l’ancrage ! ciwil, lui, l’a bien compris.

Daniel


1 p3qrc4 - Eugenol
Bjc.

29/03/2011 à 12h23

ce système connu, avec arc carré ou rectangulaire et un ancrage par solidarisation de 46/45/44, est présenté par notre ami Daniel avec un arc rond (sans solidarisation)

on passe d’un système fixe à un système flottant, avec mécanique de rotation

il s’agit d’une manivelle, avec pour centre de rotation : le tube de 46,
avec un bras de levier long en distal de 46, qui va agir sur 47
et un bras de levier court,(léger décochement) en mésial de 46 qui va agir sur 44

le système n’est pas rigide, la souplesse du fil et la longueur de chaque bras, modifient les forces appliquées,

c’est pourquoi, pour diminuer la force en mésial, Daniel rallonge le bras mésial (après le décochement) et met un Bk. sur la 4 et non pas la 5

si le diamètre du fil est trop faible, rien ne va bouger (ankylose ?)
si le diamètre est trop fort, la 4 risque une ingression

d’autre part, ce fil n’est pas entièrement réalisable avant insertion, il faut finir de plier une partie en bouche, ce qui demande une expérience certaine (bravo Daniel)

c’est peut être se compliquer un peu la vie

@+ Bjc.




calou340

29/03/2011 à 13h30

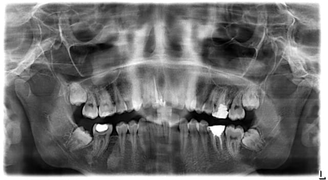
voici opour info les pano avant tt et en cours. la 36 a ete extraite et je m'imaginais que les 37 47 sortiraient seules...

Messafah s 19860715 70194472 6 fl9kqr - Eugenol
Messafah s 19860715 70162568 3 b5qan8 - Eugenol

1 eugenol dmj5np - Eugenol
Dancha

30/03/2011 à 21h00

Céramik, maintenant que tu as la pano, peux-tu nous dire où tu les mettrais tes "2 mini-vis pour 200 euros" ?

Daniel


1 p3qrc4 - Eugenol
Bjc.

30/03/2011 à 21h32

c'est pourtant facile (avec tes méninges) de trouver ou mettre les 2 minivis, surtout pour toi qui en utilise

;-)))


1 eugenol dmj5np - Eugenol
Dancha

01/04/2011 à 20h41

La première raison pour laquelle j’ai utilisé un fil rond, c’est afin d’avoir une force légère et de grande amplitude dont l’ancrage est réparti sur toute l’arcade. Ciwil l’a parfaitement compris.
La seconde raison, c’est pour limiter l’effet de torque sur la 46 (bascule) si la 47 mettait du temps à faire éruption.
Et si je n’ai pas intégré de 45, c’est tout simplement pour avoir une dent « test » qui puisse objectiver les éventuelles dérives.

Daniel


1 eugenol dmj5np - Eugenol
Dancha

01/04/2011 à 20h51

Bjc. écrivait:
--------------
> c'est pourtant facile (avec tes méninges) de trouver ou mettre les 2 minivis,
> surtout pour toi qui en utilise
>
> ;-)))

Au vu de la panoramique, il me semble que l'emplacement de choix soit la branche montante (vous voyez un autre emplacement ?).
Il y a deux problèmes cependant, la mobilité de la muqueuse si la vis émerge à cet endroit et la faible distance entre la tête de la vis et la ligature.
Comment limiter les blessures et comment faire la connexion ?

Daniel


Smile beach jgh0a1 - Eugenol
Céramik

02/04/2011 à 01h02

calou340 écrivait:
------------------
> voici opour info les pano avant tt et en cours. la 36 a ete extraite et je
> m'imaginais que les 37 47 sortiraient seules...


Il me semble que la 46 est manquante, et que c'est la 48 qui est incluse...
Il semble y avoir une lésion sous la 47...

--
Céramik


calou340

02/04/2011 à 02h31

oui désolé on parle bien des 8
Quand a la 47, elle est en cours de soin actuellement


1 p3qrc4 - Eugenol
Bjc.

02/04/2011 à 23h22

Je n’ai jamais eu besoin d’implants ancrage,

mais dans ce cas, si je voulais en utiliser, je mettrai 2 implants ancrage entre 47 et 48 (un en vestibulaire et un en lingual) avec un arc en « U » dont la partie horizontale passerait dans la chainette, et des ressorts en pression sur les branches obliques, ce qui me donneraient le mouvement d'égression-redressement sur les 8

@+ Bjc.