Cookie Consent byPrivacyPolicies.comTraction des 37 47 incluses - Eugenol

Traction des 37 47 incluses

flicflac

04/04/2011 à 05h56

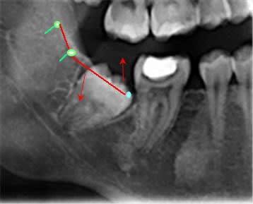
Un orthodontiste me refère une patiente avec le même problème au niveau des dernières molaires (patientes 12 ans) aux ma=xillaires inférieures; il me demande d'exposer les dents. Comment le faite-vous? en profitez-vous pour faire un peu d'ostéoplastie en distal? Dans mon cas l'arcade de 6 à 6 est en place.La distalisation des 6 a empêché l'éruption des 7.
salut les cousins


Smile beach jgh0a1 - Eugenol
Céramik

04/04/2011 à 06h38

flicflac écrivait:
------------------
> Un orthodontiste me refère une patiente avec le même problème au niveau des
> dernières molaires (patientes 12 ans) aux ma=xillaires inférieures; il me
> demande d'exposer les dents. Comment le faite-vous? en profitez-vous pour faire
> un peu d'ostéoplastie en distal? Dans mon cas l'arcade de 6 à 6 est en place.La
> distalisation des 6 a empêché l'éruption des 7.
> salut les cousins

pano ?

--
Céramik


1 eugenol dmj5np - Eugenol
Dancha

04/04/2011 à 20h33

Bjc. écrivait:
--------------
> .. je mettrai 2 implants ancrage entre
> 47 et 48 (un en vestibulaire et un en lingual) avec un arc en « U » dont la
> partie horizontale passerait dans la chainette, et des ..
> ..

C'est ingénieux.
Personne ne voit ce qui pourrait clocher ?
Qu'en pense Céramik ?

Daniel


1 eugenol dmj5np - Eugenol
Dancha

05/04/2011 à 20h41

Je vais dire ça différemment :
L'ingénieux système de bjc est irréalisable, qui peut dire pourquoi ?

Daniel


Images 1 qtgoxf - Eugenol
ciwil

05/04/2011 à 21h40

j'ai pas bien compris ton système bjc., il faudrait 2 minivis de chaque côté sinon c'est une balançoire ?!


belette

05/04/2011 à 21h52

Parce que le fil en U ne tiendrait pas , ou bien, il faudrait le placer à perpette sous la gencive, et que même s'il arrive à le mettre il ne pourrait pas faire de torque , la dent s'écraserait sur celle de devant en se versant. De plus si par miracle la racine avance,elle se heurtera aux vis que bcj l'ingénieux n'a jamais posées de sa vie! :))
^ ... ^
Ô"""Ô
= o =

Probl me d axe.. - Eugenol
Redresseur d axe tiwjog - Eugenol

1 eugenol dmj5np - Eugenol
Dancha

06/04/2011 à 21h09

ciwil écrivait:
---------------
> j'ai pas bien compris ton système bjc., il faudrait 2 minivis de chaque côté
> sinon c'est une balançoire ?!

C'est effectivement un petit défaut de ce montage, mais ce n'est pas ça qui rend le système irréalisable. Il y a autre chose.

belette écrivait:
-----------------
> Parce que le fil en U ne tiendrait pas , ou bien, il faudrait le placer à
> perpette sous la gencive,..

Beaucoup plus simple que ça !

Daniel


1 eugenol dmj5np - Eugenol
Dancha

06/04/2011 à 21h35

belette écrivait:
-----------------
>..

Pan dans la 7 !

Daniel

Pan  r0bbbi - Eugenol

1 p3qrc4 - Eugenol
Bjc.

07/04/2011 à 02h47

Chers amis,

"""mais dans ce cas, si je voulais en utiliser, je mettrai 2 implants ancrage entre 47 et 48 (un en vestibulaire et un en lingual) avec un arc en « U » dont la partie horizontale passerait dans la chainette, et des ressorts en pression sur les branches obliques, ce qui me donneraient le mouvement d'égression-redressement sur les 8"""

RECTIFICATION

Il faut lire : je mettrais 2 implants ancrage entre 47 et 45 (un en vestibulaire et un en lingual) deux en tout, un en V. et un en L.

Cela ne change rien au principe

Si on veut utiliser des mini-vis, on n’est pas obligé de penser traction, ici, il s’agit d’un système qui fait travailler 2 ressorts en pression, donc on va faire égresser et distaller la 8), le point d’application des forces est l’anneau de la chainette collée à la 8, la force est dirigée en haut et en arrière.
Pour cela il ne faut pas de blocage sur les mini-implants, on a besoin d’une liberté en rotation sur les implants-ancrage, un peu comme les bielles de Herbst

C’est plus complexe que mon 1° système, c’est réalisable, mais je n’en vois pas l’intérêt, à part réfléchir sur des mécaniques, chercher les plus simples, les moins complexes à mettre en œuvre, et les moins couteuses.

@+ Bjc.



1 eugenol dmj5np - Eugenol
Dancha

07/04/2011 à 21h17

C'est ingénieux, je le répète.
Devinette : pourquoi est-ce irréalisable ?
C'est tout simple..

Daniel


1 p3qrc4 - Eugenol
Bjc.

07/04/2011 à 21h45

c'est mon 1° système qui est ingenieux,

le dernier est trop compliqué, comme souvent les systèmes qui font appel aux mini-implants

@+ Bjc.


1 eugenol dmj5np - Eugenol
Dancha

07/04/2011 à 23h41

Bjc. écrivait:
--------------
> c'est mon 1° système qui est ingenieux,
>

Il ne faut pas rêver, quand on voit la radio, on imagine la faible amplitude de mouvement qu’un tel système apporterait… Sans compter qu’il serait rapidement plié par les forces masticatrices.

Daniel


1 p3qrc4 - Eugenol
Bjc.

08/04/2011 à 00h01

Tu es une des rares personnes à mastiquer sur des 8 incluses (placée au niveau des 7 ½) qui de plus ont subi un chirurgie

(réflexe d'évitement)
:-))))

@+ Bjc.


1 eugenol dmj5np - Eugenol
Dancha

08/04/2011 à 00h27

La mastication s'effectuera sur les cales qui fixent le fil NiTi, difficile de faire autrement..

Daniel


1 p3qrc4 - Eugenol
Bjc.

08/04/2011 à 00h33

tu y vois un inconvénient ?


1 eugenol dmj5np - Eugenol
Dancha

08/04/2011 à 11h20

Bjc. écrivait:
--------------
> tu y vois un inconvénient ?

Il suffira de coller sur la cale une barrière verticale en distal pour que le bol alimentaire ne glisse pas derrière et ne risque pas de plier le fil..

Daniel


1 eugenol dmj5np - Eugenol
Dancha

08/04/2011 à 14h08

belette écrivait:
-----------------
..
> Ô"""Ô
> = o =

En fait, il suffirait qu'elle modifie légèrement son dispositif pour qu'il devienne parfaitement opérationnel.
Comment ? Je vous laisse réfléchir.

Daniel

Pan  rdgp1h - Eugenol

takamatika

08/04/2011 à 21h01

je propose celà

Eug nol w39q0h - Eugenol

1 eugenol dmj5np - Eugenol
Dancha

09/04/2011 à 13h14

Chacun interprète en fonction de la manière dont il imagine que c'est en bouche (niveau de l'émergence de la ligature, hauteur de la gencive..).
Calou, pourrais-tu montrer une photo, que l'on puisse se mettre d'accord ?

Daniel


1 eugenol dmj5np - Eugenol
Dancha

02/07/2011 à 20h55

Bjc. écrivait:
--------------
> .. je mettrai 2 implants ancrage entre
> 47 et 48 (un en vestibulaire et un en lingual) avec un arc en « U » dont la
> partie horizontale passerait dans la chainette, et des ..
> ..

Si ce système n'est pas réalisable, c'est tout simplement parce qu'on ne met jamais de vis en lingual au niveau des molaires inférieures, essentiellement à cause de la langue.

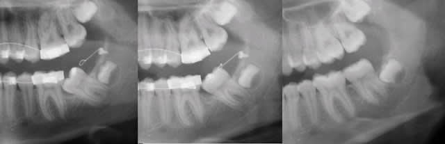
Le plus simple est d'en utiliser une courte qu'on placera dans le bord antérieur de la branche montante après l'avoir enfilée dans l'anneau d'une ligature qui émergera, elle, en distal de la molaire. Voir planche photo jointe.

Daniel

Redress molaire f7uszx - Eugenol

tkd

23/09/2014 à 23h51

Fais une plaque palatine à minima avec des crochets en distal sur lesquels tu mets des elastics tres doux qui s accrochent sur tes 7