Cookie Consent byPrivacyPolicies.comComposites sous digue - Eugenol

Composites sous digue

Pubg2 rjl8jc - Eugenol
vincent71

25/02/2011 à 21h23

Je cherche quelques témoignages de praticiens qui font tous leurs compo sous digue. Cette semaine (un peu pour préparer la journée à la SOP sur le collage en hommage à M. Degrange), je me suis astreint à faire tous mes composites sous digue. Le bilan est plutot positif, en terme ergonomique je trouve ca génial : pas de salive, pas de langue, à 4 mais je met 5 minutes de plus par compo mais j'ai fais vraiment des jolis choses. Quand je travaille seul je galère beaucoup plus ! Alors je cherche vos témoignages et des vos astuces (en terme de préparation duu matériel pour gagner du temps en particulier, comment avez vous organiser votre TUB digue, le mien est assez ... bordélique !).

J'ai aussi une question plus globale : est ce vraiment raisonnable de vouloir poser la digue tout le temps ou est ce une lubie ?

Sur le long terme un avis sur l'apport de la digue par rapport à composite fait de façon plus "classique" ( ie dans le coton salivaire plein de salive) ? N'est ce pas s'emmerder pour pas grand chose ?

J'attends vos avis dans ce temple de la dentisterie haut de gamme !

--
Jeune dentiste !

Vive les petites villes loin des facs !! 5 dentistes pour 20000 habitants, ca vaut le coup !!


Avatar hjdsnm - Eugenol
TiGabi

25/02/2011 à 22h22

Si l'on en croit l'article récent paru dans Clinic, aucune étude ne prouverait la supériorité d'un soin fait avec ou sans digue en termes de qualité/pérennité.
J'ai été assez étonné de lire ça car, même sans avoir fait de recherche poussée, il me semble quand même avoir en tête quelques résultats d'études montrant un taux d'échecs de traitements endodontiques inférieur sous digue.

Comme tu en as fait l'expérience, la digue apporte surtout un confort opératoire indéniable (ergonomie, sécurité, moindre fatigue visuelle...). Mon impression est que les efforts de concentration et les gestes "économisés" par le travail sous digue sont investis à la place dans la qualité du soin.

Au final, je sais que je travaille bien mieux quand je pose la digue. Quand je fais l'effort de la poser, j'entre dans une démarche où je me dis "je vais travailler proprement, je vais me concentrer, je vais faire les choses bien".
A l'inverse, quand je ne la pose pas, c'est comme si dès le début je me mettais à ne pas faire les choses comme il faut, à bâcler le soin...

Actuellement, je la pose systématiquement pour les traitements endodontiques, et 50% du temps pour les restaurations. Je vais faire l'effort de la poser plus souvent, ça me semble indispensable.
Depuis 2 mois, je la pose systématiquement sur les enfants même très jeunes : étonnement, c'est bien plus simple et rapide qu'avec un adulte (perforation unique de 5 à 3, crampon 12A ou 13A à mords dentelés sur la 5, pointe canine bloque la digue en antérieur). Je dis à l'enfant qu'on va mettre un "parapluie" sur sa dent.


Smile beach jgh0a1 - Eugenol
Céramik

26/02/2011 à 15h36

vincent71 écrivait:
-------------------
> Je cherche quelques témoignages de praticiens qui font tous leurs compo sous
> digue. Cette semaine (un peu pour préparer la journée à la SOP sur le collage en
> hommage à M. Degrange), je me suis astreint à faire tous mes composites sous
> digue. Le bilan est plutot positif, en terme ergonomique je trouve ca génial :


Super !


> pas de salive, pas de langue, à 4 mais je met 5 minutes de plus par compo mais
> j'ai fais vraiment des jolis choses.


Bientôt tu sauveras du temps avec la digue !
Revenir en arrière sera impossible !




> préparation duu matériel pour gagner du temps en particulier, comment avez vous
> organiser votre TUB digue, le mien est assez ... bordélique !).


J'ai 3 ou 4 crampons, pas plus.
Je prend presque tjs le même !




>
> J'ai aussi une question plus globale : est ce vraiment raisonnable de vouloir
> poser la digue tout le temps ou est ce une lubie ?


Je le fais 95% du temps depuis 15 ans.
Tu formes ton AD et tu la laisse placer la digue.
Si tu en fais une routine, ça se fait tout seul.


--
Céramik

Compo q2 t1dcn4 - Eugenol

Ico v for vendetta08 jzhpep - Eugenol
Ratinox

26/02/2011 à 17h47

Moi je suis un nul qui fais tout sans digue.

Mais avec tous ces eugénoliens j'ai l'impression d'être le dentiste de Marathon Man à ne pas les utiliser, j'ai bien été obligé d'en acheter, ça doit arriver cette semaine.


Smile beach jgh0a1 - Eugenol
Céramik

26/02/2011 à 18h31

Ratinox écrivait:
-----------------
> Moi je suis un nul qui fais tout sans digue.
>

Moi, je suis nul sans digue...car pas assez habile pour travailler sans...

En fait, je place la digue car
1-Je crois que le tx sera mieux
2-C'est plus facile, même avec un AD
3-Cela va plus vite
4-Je fais bcp de tx par secteurs/quadrant


--
Céramik


Pubg2 rjl8jc - Eugenol
vincent71

27/02/2011 à 00h03

Merci Céramik ! en effet j'avais l'assistante pour moi tout seul cette semaine et il faut avouer qu'elle m'a bien aidé, après 3 minutes de briefing, elle me plaçuait les windjet quand je maintenait la digue tendue et me faisait vraiment parfaitement passer le matériel à la seconde ou j'en avait besoin ... revenir à la réalité du travail tout seul va être dur dans 10 jours ...

Concernant les soins groupés, j'ai fait pareil en fin de semaine (une fois le rodage effectué), je confirme, c'est génial, une digue 6 trous, 3 composites. Le patient a trouvé le résultat bluffant. Bon allez sur cette bonne lancée je vais tenter une deuxième semaine comme ça !

Aux confrère français : il y a moyen de coter la pose de la digue ?




--
Jeune dentiste !

Vive les petites villes loin des facs !! 5 dentistes pour 20000 habitants, ca vaut le coup !!


Pubg2 rjl8jc - Eugenol
vincent71

27/02/2011 à 00h04

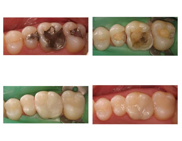
Question subsidiaire Céramik : dans un cas comme celui que tu montres : tu places la digue avant ou après la dépose des amalgames ?

--
Jeune dentiste !

Vive les petites villes loin des facs !! 5 dentistes pour 20000 habitants, ca vaut le coup !!


PopHip

27/02/2011 à 00h10

La digue se pose avant: rien de tel qu'un vieil amalgame qui passe direct dans l'aspi et pas dans le gosier. Tes patients aprecieront de garder une bouche propre sans ingérer du mercure. Fais le une fois, la aussi tu ne reviendras plus jamais en arrière !!


king_zoulou

27/02/2011 à 02h07

vincent71 écrivait:
-------------------

>
> Aux confrère français : il y a moyen de coter la pose de la digue ?

En allant exercer dans l'un des innombrables pays où la pose de la digue est facturée indépendamment.


Smile beach jgh0a1 - Eugenol
Céramik

27/02/2011 à 02h49

vincent71 écrivait:
-------------------
> revenir à
> la réalité du travail tout seul va être dur dans 10 jours ...
>


Je bose rarement seul, et la 1er chose que je fais, c'est de poser la digue !


>>
> Aux confrère français : il y a moyen de coter la pose de la digue ?
>
Pourquoi tjs cette question ?
Tu sauves du temps, et une digue, c'est moins de 1 euro !
Tu sauves plein d"euro en temps et energie !


--
Céramik


Smile beach jgh0a1 - Eugenol
Céramik

27/02/2011 à 02h51

king_zoulou écrivait:
---------------------
> vincent71 écrivait:
> -------------------
>
> >
> > Aux confrère français : il y a moyen de coter la pose de la digue ?
>
> En allant exercer dans l'un des innombrables pays où la pose de la digue est
> facturée indépendamment.


Il n'y a aucun frais pour la digue chez moi...
Je pense qu'on devrais coter la non-pose de la digue, car c'est plus difficile sans digue !

--
Céramik


Smile beach jgh0a1 - Eugenol
Céramik

27/02/2011 à 02h52

vincent71 écrivait:
-------------------
> Question subsidiaire Céramik : dans un cas comme celui que tu montres : tu
> places la digue avant ou après la dépose des amalgames ?
>

Tjs avant.



--
Céramik


flicflac

27/02/2011 à 03h50

De plus, la pose de la digue est obligatoire lors de traitement endodontique sous peine de sanction par notre ordre professionnel (je ne suis pas en France)
salut les cousins.
Quel est le bon crampon a utilisé au niveau des PM?


Grueavatar nptrc9 - Eugenol
Le Choixpeau magique

27/02/2011 à 10h24

flicflac écrivait:
------------------
> Quel est le bon crampon a utilisé au niveau des PM?

C'est toujours un peu le problème les PM. Les crampons dédiés (0, 00) sont pour la plupart pas assez puissants.
Perso quand c'est possible je place un 9 (double ressort + ailettes), mais c'est surtout adapté aux endos unitaires.
Pour les composites sur PM, si je ne fais qu'une PM je ne mets la plupart du temps pas de digue, si je fais des molaires en plus je clampe la dernière molaire avec un 8A, et soit je mets un clamp 0 sur la PM si ça tient, soit je place un wave wedge avant de mettre la digue.


tungstene

27/02/2011 à 13h50

Céramik écrivait:
-----------------
> vincent71 écrivait:
> -------------------
> > Question subsidiaire Céramik : dans un cas comme celui que tu montres : tu
> > places la digue avant ou après la dépose des amalgames ?
> >
>
> Tjs avant.
>
>
>
> --
> Céramik

J'ai l'impression que ta digue ne passe pas en inter dentaire.. juste une impression ??


Smile beach jgh0a1 - Eugenol
Céramik

27/02/2011 à 15h18

tungstene écrivait:
-------------------
> Céramik écrivait:
> -----------------
> > vincent71 écrivait:
> > -------------------
> > > Question subsidiaire Céramik : dans un cas comme celui que tu montres : tu
> > > places la digue avant ou après la dépose des amalgames ?
> > >
> >
> > Tjs avant.
> >
> >
> >
> > --
> > Céramik
>
> J'ai l'impression que ta digue ne passe pas en inter dentaire.. juste une
> impression ??

Elle passe 99 % du temps

Parfois je coupe les inter pour aider la pose des matrices
(j'aime le système Garrison Gold)

http://www.garrisondental.com/store/matrix-systems/composi-tight-gold/composi-tight-gold.cfm



--
Céramik


Smile beach jgh0a1 - Eugenol
Céramik

27/02/2011 à 15h22

flicflac écrivait:
------------------
> De plus, la pose de la digue est obligatoire lors de traitement endodontique
> sous peine de sanction par notre ordre professionnel (je ne suis pas en France)
> salut les cousins.
> Quel est le bon crampon a utilisé au niveau des PM?



Je place sur les molaire le plus souvent possible, j'isole donc plus d'une dents, même si je travil sur une seule.
Un peu de digue liquide si pas étanche

Sinon, j'ai des crampons PN, je ne sais pas lequel exactement. Parfois je le cole en place avec un peu de flow...au buccal et lingual...

--
Céramik


Avatar ow44t3 - Eugenol
Chicot

27/02/2011 à 21h48


> Sinon, j'ai des crampons PN, je ne sais pas lequel exactement. Parfois je le
> cole en place avec un peu de flow...au buccal et lingual...
>
> --
> Céramik

moi je mets du CVI MAR fudji II LC, ca colle mieux si humidité et ça se retire plus facilement, et c'est plus rapide à mettre car prise dual


--
;O)


Nouveau image bitmap fz77zh - Eugenol
Sethef

27/02/2011 à 23h42

Bonjour.
Je viens de soutenir ma thèse, portant entre autre sur l'intérêt de la digue dans l'adhésion en technique directe.

Globalement, ce qui en ressort est que:
- La digue n'a qu'un intérêt limité pour éviter la contamination par les fluides salivaires (salive, sang, fluide sulculaire); un praticien pas trop manchot pourrait probablement arriver au même résultat avec les classiques rouleaux de coton + aspiration, à condition de s'en donner les moyens.

- Pour l'instant, aucune étude in vivo n'a pu démontrer l'intérêt de la digue dans la durée de vie des restaurations en composite. D'un autre côté, les études en question, il n'y en a qu'une, et le protocole de collage utilisé ne serait plus appliqué actuellement.

- Le principal intérêt de la digue réside dans le contrôle de l'hygrométrie et de la température buccale. L'humidité relative de la bouche est comprise entre 80 et 95%, avec la digue on chute au niveau de celle de la pièce (30% dans un climat tempéré). Les études in vitro montrent une chute important des performances de collage à la dentine au-delà d'un certain seuil d'humidité relative, compris, par malheur, entre 80 et 95%. D'où son intérêt pour le travail en bouche.

- Sans compter évidemment tous les avantages au niveau ergonomie, protection du patient contre l'ingestion de petits objets ou des produits de fraisage, protection du praticien contre les aérosols, vision du champ opératoire... que d'autres ici développeront bien mieux que moi.

@+ Sethef


Grueavatar nptrc9 - Eugenol
Le Choixpeau magique

28/02/2011 à 01h12

Sethef écrivait:
----------------
> - Le principal intérêt de la digue réside dans le contrôle de l'hygrométrie et
> de la température buccale. L'humidité relative de la bouche est comprise entre
> 80 et 95%, avec la digue on chute au niveau de celle de la pièce (30% dans un
> climat tempéré). Les études in vitro montrent une chute important des
> performances de collage à la dentine au-delà d'un certain seuil d'humidité
> relative, compris, par malheur, entre 80 et 95%. D'où son intérêt pour le
> travail en bouche.

Salut Sethef, j'ai souvent entendu dire ça mais je n'ai jamais réussi à trouver les études le confirmant.
Est-ce que tu voudrais bien m'envoyer une copie de ta thèse stp, [email protected], merci d'avance.


king_zoulou

28/02/2011 à 01h25

Sethef: ta thèse est-elle dispo en pdf sur bium ?


Smile beach jgh0a1 - Eugenol
Céramik

28/02/2011 à 02h36

Sethef écrivait:
----------------
>
> Globalement, ce qui en ressort est que:
> - La digue n'a qu'un intérêt limité pour éviter la contamination par les fluides
> salivaires (salive, sang, fluide sulculaire); un praticien pas trop manchot
> pourrait probablement arriver au même résultat avec les classiques rouleaux de
> coton + aspiration, à condition de s'en donner les moyens.


Toi, tu n'as jamais bossé avec la digue pour affirmer une chose comme cela ...ou bien tu ne colle rien passé la canine. Je dois être manchot. Quand je vois les résultats sur 15 ans de collage sous digue, je persiste, la digue aide bcp.


>> - Le principal intérêt de la digue réside dans le contrôle de l'hygrométrie et
> de la température buccale. . D'où son intérêt pour le
> travail en bouche.

Cela ne contredit pas le début ?
Mais, la température ?



>
> - Sans compter évidemment tous les avantages au niveau ergonomie, protection du
> patient contre l'ingestion de petits objets ou des produits de fraisage,
> protection du praticien contre les aérosols, vision du champ opératoire...


Bien voilà assez d'avantages pour ne pas s'en passer !
Il y a 2 ans, je me faisait tomber dessus parce que j'utilisais la digue pour les avantages durant le collage ...et voilà toujours les même choses qui reviennent...il y a en même qui prétendent que la digue est inutile en endo...


--
Céramik


Nouveau image bitmap fz77zh - Eugenol
Sethef

28/02/2011 à 10h35

Bonjour

Ceramik, je ne me suis pas fait comprendre.
Je suis un fervent partisan de l'utilisation de la digue. Je l'utilise systématiquement pour l'endo, et fréquemment pour la restauratrice; je commence dans une semaine une nouvelle collab, avec pour bonne résolution de m'en servir pour tous mes composites (et inlays-onlays évidement)

Néanmoins, dans la majorité des cas, il me paraît possible d'isoler de la salive de manière fiable "à l'ancienne", surtout lorsqu'on travaille à 4 mains, ce qui est probablement ton cas.
Accessoirement, il est dur de trouver des études mesurant l'isolation contre les fluides buccaux (par quels moyens?).
Enfin, la digue utilisée seule n'est pas efficace à 100% contre l'infiltration des fluides buccaux (étude portant sur l'endo), son efficacité s'améliore lorsqu'utilisée en conjonction avec d'autres moyens d'étanchéification (silicone par exemple).

De fait, et même si la digue semble être le moyen d'isolation global le plus efficace, elle n'est pas la panacée, l'ultime moyen, le sacré Graal ou la cerise sur le gâteau.
Juste une méthode supérieure aux autres.


Pour le contrôle de la température, il faut savoir que pour un même taux d'humidité relative de l'air, lorsque la température augmente, l'humidité absolue augmente également, cela pouvant avoir un effet sur la condensation de l'eau (à la surface de la dent par exemple).
D'autres que moi sont peut-être plus calés en physique et l'expliqueraient mieux.


King-zoulou, je ne sais pas si ma thèse est déjà dispo sur la bium, ça ne date que du 10/02. Sinon, n'hésite pas à à me donner ton mail par MP, je te transmettrai le pdf.



@+ Sethef


Marque a3 orange fyvhyq - Eugenol
Marc Apap

28/02/2011 à 12h12

Il me semble que l'intérêt de la digue n'est pas tout à fait le même en endo et en restauratrice :
Dans le premier cas, elle évite un contact de la salive vers l'endodonte (ce qui est extrêmement facile à éviter même en l'absence de digue si on s'y prend bien) mais surtout, une possibilité d'utiliser sans arrière pensée de l'hypochlorite et autres produits peu agréables si le patient en avale, pour irriguer le canal à grands "jets". Pour cela, la digue est sans doute la meilleure technique d'isolation.
En restauratrice, j'avais vu des images montrant des microbulles d'humidité (je ne sais pas comment elles ont été faites)sur la dent, qui peuvent compromettre le collage. Mais je pense que c'est plutôt le collage à l'émail qu'à la dentine qui exige une parfaite siccité du champ opératoire.
Enfin, dans les deux cas, le dégagement du champ (langue et joues notamment) + contraste de couleur avec les dents représente un avantage incomparable par rapport aux autres systèmes. Ne pas hésiter à "endiguer" plusieurs dents sur l'arcade, même en endo, c'est bien plus confortable que lorsqu'une seule apparaît visible.


Avatar transparent iqadnc - Eugenol
adhoc

28/02/2011 à 12h35

>Tu formes ton AD et tu la laisse placer la digue. <

Le travail actif en bouche est interdit en France pour les assistantes , mon ceramik (tu le sais).

inhalation accidentelle d'un crampon posé par l'assistante ----> on t' apporte des oranges et un petit malin te fait ramasser le savon dans les douches....