Tous les forums
cas clinique:articulé débordant d'un seul coté
24/03/2011 à 21h29
Bjr.
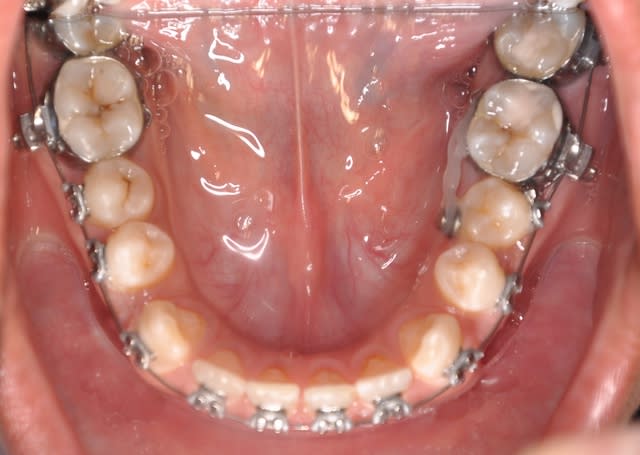
comment on peut traiter cet articulé gauche
24/03/2011 à 23h42
Bonjour,
Ce serai bien d'avoir une télé pour l'analyse céphalo, afin de vérifier s'il y a classe 3 squelettique ou simple proglissement mandibulaire. Les 2 traitements sont différents.
25/03/2011 à 17h51
Effectivement, c’est un cas de classe III squelettique à responsabilité maxillaire et mandibulaire, hypodivergent.
Normalement c'est un cas ortho-chirurgical, mais le patient n'a pas les moyens. Donc on est partie dans un compromis orthodontique.
28/03/2011 à 13h06
A voir comme ça, aussi bien esthétiquement que fonctionnellement, je ne pense pas qu'il faille accepter un compromis. La chirurgie s'impose.
28/03/2011 à 14h36
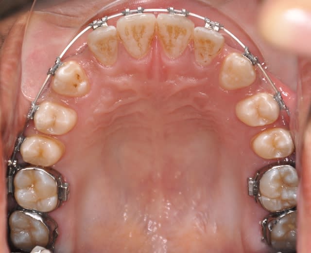
Concernant l’occlusion croisée à gauche, il y a deux problèmes : un problème vertical d’égression à partir des canines et un problème transversal.
Corrige d'abord le problème vertical, l’occlusion croisée sera ensuite relativement facile à traiter avec de simples élastiques.
Daniel.
28/03/2011 à 15h25
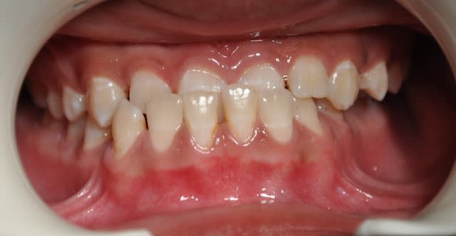
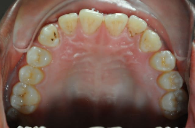
les dernieres photos du cas
28/03/2011 à 17h48
Trois questions :
- Qu'attends-tu pour fermer les diastèmes en bas ? Il me semble que cela diminuerait la vestibuloversion des incisives supérieures.
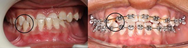
- La 4ème photo n'est pas exacte, ton patient à latéroglissé à gauche. Tu l'as prise comme ça volontairement ?
- Tu cherches toujours une solution pour ton problème d'occlusion croisée ?
Daniel
28/03/2011 à 18h08
Question comme cela...
il n'y a pas un manque de vertical en postérieur ?
--
Céramik
28/03/2011 à 20h41
Mr. Daniel
- Qu'attends-tu pour fermer les diastèmes en bas ? Il me semble que cela diminuerait la vestibuloversion des incisives supérieures.
** oui, j’attends l’alignement et la correction des rotations pour passer à l’acier et ainsi réaliser mon ancrage maximum et le recul des incisives(photos au prochain RDV)
- La 4ème photo n'est pas exacte, ton patient à latéroglissé à gauche. Tu l'as prise comme ça volontairement ?
**non, c’est une photo avec miroir qui montre bien les rapport molaires et canines et qui montre le début de la correction de l’articulé en jouant sur le sens transversal de l’arc niti
- Tu cherches toujours une solution pour ton problème d'occlusion croisée ?
**oui, je cherche à traiter le coté gauche sans modifier le coté droit
En faite j’ai peur que les élastiques criss-cross me créent une Latérodéviation de la mandibule
Pour moi la mandibule est correcte dans le sens transversal et le problème se situe au niveau du coté maxillaire gauche
Revenant au cas en général, j’ai profité de l’hypo divergence (FMA 20°) pour ouvrir le compas et ainsi diminuer la classe III et diminuer aussi les signes faciaux de la classe III comme si j’avais un édenté qui a perdu son calage postérieure
Je peux si tu veux te lancer la séquence des photos
B.M.A.
28/03/2011 à 21h20
takamatika écrivait:
--------------------
> ..
> En fait j’ai peur que les élastiques criss-cross me créent une Latérodéviation
> de la mandibule
> Pour moi la mandibule est correcte dans le sens transversal et le problème se
> situe au niveau du coté maxillaire gauche
>..
Tu as raison, c'est bien le maxillaire qui semble en exo à gauche.
Tu as aussi certainement, associée, une mastication unilatérale à droite.
Les élastiques criss-cross ne devraient pas créer de problème si tu demande à ton patient d'inverser sa mastication en mastiquant exclusivement à gauche jusqu'à ce que l'occlusion croisée soit corrigée. Le but étant de lui permettre en fin de traitement une mastication bilatéral alternée indifférenciée.
Le cycle de mastication étant centripète, c'est lui qui "rentrera" le maxillaire du coté mastiquant.
Daniel
28/03/2011 à 23h21
Ce sont des notions très développées pour moi.
Je te dis mon plan de traitement:
*recul des incisives inf. puis sup.
*arc lingual +arc acier de stabilisation inf.
*élastiques criss-cross du coté gauche et box élastique du coté latéral droit
29/03/2011 à 07h24
takamatika écrivait:
--------------------
> ceramik
> Je n’ai pas compris ta question
comme si j’avais un édenté qui a perdu son calage postérieure
------------------
Je trouve qu'il manque de vertical en postérieur, ou bien de calage postérieur...
--
Céramik
29/03/2011 à 10h03
Bonjour,
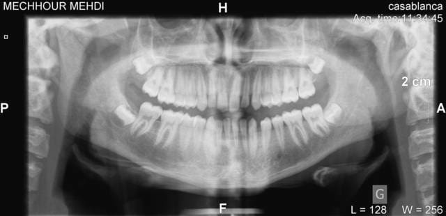
J'ai suivi cette discussion depuis le debut et il manque un element essentiel que personne n'a demande! A l'examen clinique y a-t-il vraiment cette laterdeviation vraie? Sur la radio panoramique (je n'ai pas reussi a faire copier-coller ici), avec la tige entre les incisives et le proglissement de la mandibule on ne trouve plus cette deviation!!! et cela veut propabelemet dire que la deviation est plutot fonctionnelle que reelle. Sur la cephalo on trouve aussi un decalage au niveau des condyles sans avoir le meme decalage au niveau des cavites glenoides ce qui confirme partiellement mon hypothese. L'element le plus tranchant ici c'est l'examen clinique et en cas de doute il faut peut etre monter le cas sur articulateur avec un arc facial et recherche de la RC afin de traiter le cas a partir des rapports dentaires en RC et non pas en PIM. Sans ces precisions et des reponses a mes questions je trouve il est completement abberant de poser un plan de traitement.
--
A suivre...
Said
29/03/2011 à 11h24
takamatika écrivait:
--------------------
> Ce sont des notions très développées pour moi.
> ..
Qu'est-ce à dire ?
saidkholoki écrivait:
---------------------
> ..! A l'examen clinique y a-t-il vraiment cette
> latérodeviation vraie?
> ..
Saïd, je pense que nous devons faire confiance à Takamatika. C'est lui (elle ?) qui a fait l'examen clinique et positionné les modèles en plâtre.
Daniel
29/03/2011 à 12h43
Dancha écrivait:
>
> Saïd, je pense que nous devons faire confiance à Takamatika. C'est lui (elle ?)
> qui a fait l'examen clinique et positionné les modèles en plâtre.
oui mais Takamatika a mis les modèle en PIM et Saïd voudrait les voir en RC. Quel est le chemin de fermeture?
29/03/2011 à 15h12
Céramik
*c'est un cas hypodivergent
Daniel
*ce qui est nouveau pour moi c'est la notion de la rééducation de la mastication et sa relation avec le traitement de mon cas. Et vraiment j'ai pas bien comprit ça. Si tu peux m'expliquer plus mon ami.
Said
*si c'était un cas d'interférence occlusal, ça serai très facile à traiter.
*la panoramique ne confirme pas ce que tu dis car ce n’est pas fiable, il faut d'autres radios plus évolués
Dans mon examen clinique j'ai bien vérifié
Les choses suivantes:
-l'asymétrie dento-alvéolaire supérieure par rapport au visage
-la symétrie de l'axe inter incisif par rapport au frein lingual
-la persistance du même décalage des axes inter incisif lors de la grande ouverture
-pas d'interférence occlusale lors du chemin de fermeture
Normalement je dois demander 2 télé de face, une en occlusion l'autre en grande ouverture pour bien visualiser cette asymétrie, mais faute de moyen du patient et en plus j'en suis sur de mon diagnostic
29/03/2011 à 17h30
takamatika écrivait:
--------------------
> Daniel
> *ce qui est nouveau pour moi c'est la notion de la rééducation de la mastication
> et sa relation avec le traitement de mon cas. Et vraiment j'ai pas bien comprit
> ça. Si tu peux m'expliquer plus mon ami.
Je manque de temps pour pour développer ce sujet maintenant, tu trouveras quelques éléments de réponse dans ces deux anciennes discussions où j'en ai amplement parlé.
http://www.eugenol.com/sujets/179594-question-aux-planassiens?page=1#post_180647
http://www.eugenol.com/sujets/150919-une-colle-pour-dancha?page=1
Il y en a certainement d'autres, mais je ne saurais plus les trouver.
Daniel
29/03/2011 à 20h39
les photos extra buccales
30/03/2011 à 05h32
takamatika écrivait:
--------------------
> Céramik
> *c'est un cas hypodivergent
OK
Je viens de re-lire le fil
J'avais pas vu les données initail, mea culpa.
Effectivement, c'est un cas ortho-chirurgie
Bonne chance dans le compromis, car les ATM peuvent ne pas aimer la position que tu es en train de créer
--
Céramik
30/03/2011 à 10h02
Bonjour,
Il ne s'agit pas de faire confiance ou pas a l'examen clinique de notre ami(e)takamatika. Il s'agit d'une erreure tres ferequente que chacun de nous pourrait la faire surtout si la musculature a bien enregistrer cette deviation associee peut etre a une relle laterognathie. Je maintiens quand-meme mon point de vue car entre les deux series de photos (on ne sait pas combien de temps entre les deux), mais l'articule inversee au niveau de la canine inferieure/laterale sup cote droit a bien disparu, l'inverse d'articule anterieur n'est plus la et les lignes medianes dentaires se sont alignees!
Dans ce cas il y a une choses des deux: Soit la situation de depart etait en RC et le recentrage dentaire va creer un decentrage articulaire et comme disait ceramik les ATM n'aiment pas cette situation, ou bien (et c'est ce que je pense) la situation initiale etait en occlusion de convenance due a un contact premature au niveau de la canine/laterale et le simple fait de supprimer ce contact par le nivellement denatire a permis a la mandibule de se recentrer. Si des nouvelles radios de profil et de face sont a faire maintenant on ne doit pas voir le meme decalage condylien de depart et on peut quantifier le probleme d'origine squelettique.
Personnellement dans un cas de lateromandibulie combinee (d'origine fonctionnelle, positionnelle et/ou squelettique) un montage sur articulateur devient indisponsable avec une radio de face afin d'estimer la dissymetrie mandibulaire.
--
A suivre...
Said
30/03/2011 à 11h30
Voici un essai pour mieux voir en sachant que la radio panoramique n'est pas le meilleur document pour une telle evaluation. A vous de juger.
--
A suivre...
Said
30/03/2011 à 12h24
saidkholoki écrivait:
---------------------
>
> entre les deux), mais l'articule inversee au niveau de la canine
> inferieure/laterale sup cote droit a bien disparu, l'inverse d'articule
> anterieur n'est plus la et les lignes medianes dentaires se sont alignees!
Je suis désolé, mais ne suis pas d'accord avec toi, Saïd.
Tu as fait ta mesure de symétrie maxillaire/mandibule sur la panoramique qui est une radio prise en bout à bout incisives, cela enlève toute sa valeur.,
Pour moi, ce ne sont bien que les dents qui ont été déplacées. Les milieux incisifs ne se sont beaucoup améliorés et il est fortement vraisemblable que la 43 se soit lingualée.
Daniel