Cookie Consent byPrivacyPolicies.comExtractions MCI en 1 chirurgie - Eugenol
Utilisateur banni

28/04/2011 à 19h16

bof c'est la routine!!

Wax up 3d positdental 6 gjokn0 - Eugenol

Utilisateur banni

28/04/2011 à 19h33

pour changer!!

Wax up 3d positdental 7 w35rkr - Eugenol

015 agccv9 - Eugenol
alexandre1er

28/04/2011 à 19h46

ça va les chevilles?Pas trop gonflées???


Utilisateur banni

28/04/2011 à 20h04

juste un peu d'humour alexandre 1er


Utilisateur banni

29/04/2011 à 11h55

gestion des artéfacts en présence de couronnes

Wax up 3d positdental 8 kt8qmy - Eugenol
Wax up 3d positdental 9 c7cv9z - Eugenol

Utilisateur banni

29/04/2011 à 14h42

chirurgie à venir

Image4 akbxuo - Eugenol
Image7 gij280 - Eugenol
Image8 sy1wfq - Eugenol
Image9 fmwwan - Eugenol
Image10 aoth68 - Eugenol
Image15 uumazx - Eugenol
Image16 ypxwgv - Eugenol
Image5 e3nuuj - Eugenol
Image6 xjgl02 - Eugenol
Image11 dhtw4i - Eugenol
Image12 dpljae - Eugenol
Image13 pehd6h - Eugenol
Image14 l9oilq - Eugenol
Image17 g2rbak - Eugenol

Utilisateur banni

29/04/2011 à 15h00

Chirurgie passée

Wax up 3d positdental 11 sbcfs5 - Eugenol
Wax up 3d positdental 10 xgrbfp - Eugenol

Img 8465 fqhxid - Eugenol
noahaxeltiger-olivier

29/04/2011 à 16h55

posit écrivait:
---------------
> chirurgie à venir

Je sais que tu n'y es pour rien Posit, mais je suis toujours halluciné par les cas que tes praticiens te demandent de planifier : quelles sont les indications d'extraction dans le dernier cas de chirurgie à venir que tu présentes (je parle bien sûr du bloc 13-23)??

N'est ce pas en France une faute professionnelle d'extraire sans diagnostic valide ??

Amicalement
Olivier


Photo pluton1b h9n4ea - Eugenol
pluton

29/04/2011 à 17h12

Noah, comment, sans examen clinique, peux tu évaluer la viabilité des dents montrées sur ces reconstructions 3D?
une simple radio te semble fiable aussi?

tu nous as habitué à plus de rigueur!!!

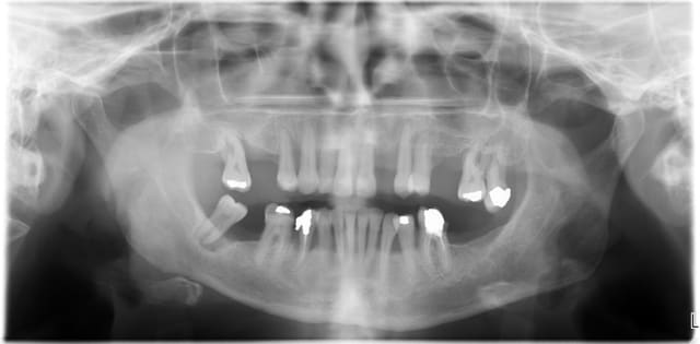
regardes cette radio panoramique par exemple...
petit indice, le "bientôt mci", à ton avis, il reste quoi actuellement (j'ai fait du "ménage")

Bientot mci f87uuw - Eugenol

Utilisateur banni

29/04/2011 à 17h18

Sûrement comme en Suède, mais il y a une mobilité de l'ensemble. La modélisation 3D permet de voir les volumes mais n'est pas un outil de diagnostique.
Je viens de recevoir une pano ton avis.
En te remerciant pour tes commentaires Alain

Pour avis le2kl1 - Eugenol

Blason dql7mj - Eugenol
growler

29/04/2011 à 17h33

il serait quand même intéressant que le praticien lui-même vienne argumenter ici sans déléguer cela à posit, qui lui, il est vrai, n'y peut rien si ce n'est mettre à notre disposition son dispositif.


Utilisateur banni

29/04/2011 à 17h35

Je viens de recevoir les empreintes pour réaliser un Positscan en prévision d'une MCI bi-maxillaire. "chouette" un peu de métal pour corser l'histoire.

P1 aksclp - Eugenol

Utilisateur banni

29/04/2011 à 17h43

growler écrivait:
-----------------
> il serait quand même intéressant que le praticien lui-même vienne argumenter ici
> sans déléguer cela à posit, qui lui, il est vrai, n'y peut rien si ce n'est
> mettre à notre disposition son dispositif.

Je suis de ton avis mais tous le monde n'aime pas bloguer, de plus les explications seraient plus qualifiées.


Casque beotien a3jo39 - Eugenol
beotien

29/04/2011 à 18h11

Posit j'aimerais savoir jusqu'à quel point ta responsabilité est engagé sur ce genre de cas?

une MCI bi max sur ce genre de "patient" ne me fait ni halluciner ni rever, mais me laisse perplexe sur le devenir


Utilisateur banni

29/04/2011 à 19h25

Béotien, le guide chirurgical est dispositif médical sur mesure, c’est la raison pour la quelle j’ai choisi de le concevoir et réalisé en acier chirurgical, il peut ainsi être stérilisé pour correspondre aux recommandations de la HAS (haute autorité de santé), son design et étudié pour facilité l’irrigation externe, les outils connexe soit standard soit développés spécifiquement par Positdental ont le marquage CE et ma qualité de prothésiste dentaire m’autorise à remplir le certificat de conformité répondant aux exigences relative à directive européenne n° 93/42 CEE. Pour la deuxième question une formation clinique et théorique par des praticiens sous l’égide du Docteur Jean KOSKIEVIC et technique ainsi que des cas cliniques accompagnés se met en place. En effet l’implantation bi maxillaire est complexe et demande beaucoup d’attention.


Img 8465 fqhxid - Eugenol
noahaxeltiger-olivier

29/04/2011 à 19h52

pluton écrivait:
----------------
> Noah, comment, sans examen clinique, peux tu évaluer la viabilité des dents
> montrées sur ces reconstructions 3D?
> une simple radio te semble fiable aussi?
>
> tu nous as habitué à plus de rigueur!!!

C'est vendredi je te l'accorde pluton mais ne t'inquiète pas pour autant, j'ai l'habitude d'essayer de bien choisir mes mots quand je poste !

Il est inutile de te rappeler que la perte d'attache parodontale ne peut être supérieure à la perte osseuse. Or sur le cas de Posit la perte osseuse, qui est très globalement de profil horizontal, ne semble pas excéder les 2/3 de la longueur radiculaire. De plus les quelques lésions infraosseuses présentent ne me semble pas ingérables par ttt parodontal adapté.
La seule interrogation concerne les lésions endodontiques éventuelles mais dans tous les cas si il y en a, elles n'ont pas "soufflé" les corticales.

Donc je réitère ma remarque et trouve que le choix d'extraction dans un tel cas est excessif.
En ce qui concerne la mobilité dentaire, elle est loin d'être étonnante vu le manque de calage postérieur et n'est en aucun cas un critère extractionnel.

Les cas présentés par Posit sont dans la majeure partie des patients atteint de parodontite. Extraire une dent ne permettra jamais de soigner le patient. Le problème n'est pas la dent mais la prédisponibilité du patient à la maladie parodontale.
Compte tenu du risque élevé qu'on ces patients de développer une péri-implantite et de la difficulté à traiter ce genre de maladie périimplantaire, je ne serais que hautement encourager les praticiens à essayer de conserver au maximum les dents de leurs patients.
Sur ce, bon week end à vous tous.

Amicalement
Olivier


Utilisateur banni

29/04/2011 à 20h38

Quel est ta vision du projet prothétique ?

Wax up 3d positdental 12 slthxf - Eugenol

Utilisateur banni

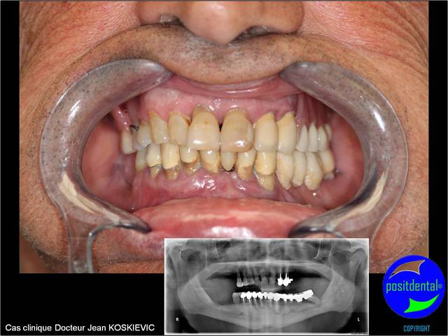
03/05/2011 à 17h47

photo pré opératoire

Wax up 3d positdental 13 qz0t5p - Eugenol

Utilisateur banni

05/05/2011 à 19h19

rendu 3D maxillaire sup, pano et photo

Mci - Eugenol
Mci - Eugenol
Mci - Eugenol
Mci - Eugenol

Utilisateur banni

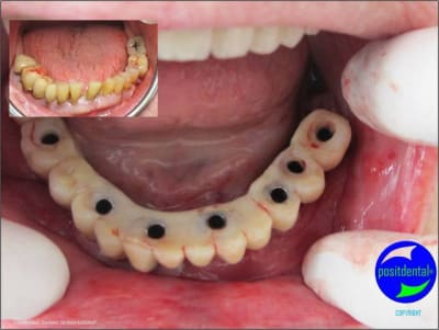
06/05/2011 à 11h02

3D maxillaire inférieur et photo

Mci - Eugenol
Mci - Eugenol
Mci - Eugenol
Mci - Eugenol

Utilisateur banni

06/05/2011 à 16h22

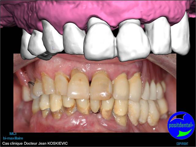
Montage esthétique ou wax-up 3D

S.I.A.O.

Mci - Eugenol
Mci - Eugenol

Casque beotien a3jo39 - Eugenol
beotien

06/05/2011 à 19h39

et la projet 10 implants maxillaire sup

en une fois avec les 2 sinus ou séparé?


Utilisateur banni

06/05/2011 à 20h07

beotien écrivait:
-----------------
> et la projet 10 implants max

5+5 ou 10+10

>
> en une fois avec les 2 sinus ou séparé?


" c'est vous qui voyez" !!!


et là béotien ?

C - Eugenol

Casque beotien a3jo39 - Eugenol
beotien

06/05/2011 à 20h21

10 en haut
le bas on verra plus tard ce n'est pas un de mes patients

donc ce sera minimum 8 en fonction du scan

en mp, stp la liste de ce qu'il te faut pour l'autre cas

pour ton cas je le fais en 4 fois, je sais c'est pas bien!


Utilisateur banni

07/05/2011 à 10h52

noahaxeltiger-olivier écrivait:
-------------------------------
> Les cas présentés par Posit sont dans la majeure partie des patients atteint de
> parodontite. Extraire une dent ne permettra jamais de soigner le patient. Le
> problème n'est pas la dent mais la prédisponibilité du patient à la maladie
> parodontale.
> Compte tenu du risque élevé qu'on ces patients de développer une péri-implantite
> et de la difficulté à traiter ce genre de maladie périimplantaire, je ne serais
> que hautement encourager les praticiens à essayer de conserver au maximum les
> dents de leurs patients.
> Sur ce, bon week end à vous tous.
>
> Amicalement
> Olivier

Il y a des avis différents.

Transmission de bactéries parodontales associées aux maladies ostéo-intégrés sur les dents afin régions implant.
Sumida S , K Ishihara , M Kishi , K Okuda .
Source
Département de Prothèse partielle amovible, Tokyo Ecole dentaire, au Japon.
Résumé
OBJECTIF:
La présence de bactéries pour le parodonte est un facteur de risque pour la péri-implantite. La présente étude a examiné la colonisation par des bactéries pour le parodonte et leur transmission à partir de poches parodontales ostéo-intégrés sillon implant.
MATERIELS ET METHODES:
Des échantillons de plaque ont été prélevés dans 105 sites au cours des 15 patients qui ont participé à l'étude. La colonisation par ces bactéries a été examiné par réaction en chaîne par polymérase (PCR) et de la culture. La transmission de bactéries provenant de sites parodontaux parodonte des dents naturelles au sillon implant a été analysé par électrophorèse en champ pulsé (PFGE).
RÉSULTATS:
Le taux de détection par PCR de Porphyromonas gingivalis, Prevotella intermedia, Actinobacillus actinomycetemcomitans, forsythus Bacteroides, et Treponema denticola ont été de 80,0%, 53,3%, 46,7%, 60,0% et 40,0%, respectivement. Colonisations par gingivalis P et A actinomycetemcomitans étaient statistiquement corrélés avec des poches parodontales et implantaires régions sillon (P <.01). Les profils électrophorétiques des souches isolées P gingivalis de chaque patient ont été identiques, mais diffèrent de ceux des autres patients. Les profils électrophorétiques des souches de P intermedia étaient identiques dans 2 des 3 patients.
DISCUSSION:
Ces analyses ont indiqué qu'il semblait y avoir transmission du gingivalis P et P intermedia de la poche parodontale dans la région péri-implantaire.
CONCLUSION:
L'élimination de ces pathogènes parodontaux de la cavité buccale du patient avant d'administrer un traitement dentaire implant peut inhiber la colonisation par ces agents pathogènes et de réduire le risque de péri-implantite.