Tous les forums
Extractions MCI en 1 chirurgie
28/04/2011 à 19h16
bof c'est la routine!!
28/04/2011 à 19h33
pour changer!!
29/04/2011 à 11h55
gestion des artéfacts en présence de couronnes
29/04/2011 à 14h42
chirurgie à venir
29/04/2011 à 15h00
Chirurgie passée
29/04/2011 à 16h55
posit écrivait:
---------------
> chirurgie à venir
Je sais que tu n'y es pour rien Posit, mais je suis toujours halluciné par les cas que tes praticiens te demandent de planifier : quelles sont les indications d'extraction dans le dernier cas de chirurgie à venir que tu présentes (je parle bien sûr du bloc 13-23)??
N'est ce pas en France une faute professionnelle d'extraire sans diagnostic valide ??
Amicalement
Olivier
29/04/2011 à 17h12
Noah, comment, sans examen clinique, peux tu évaluer la viabilité des dents montrées sur ces reconstructions 3D?
une simple radio te semble fiable aussi?
tu nous as habitué à plus de rigueur!!!
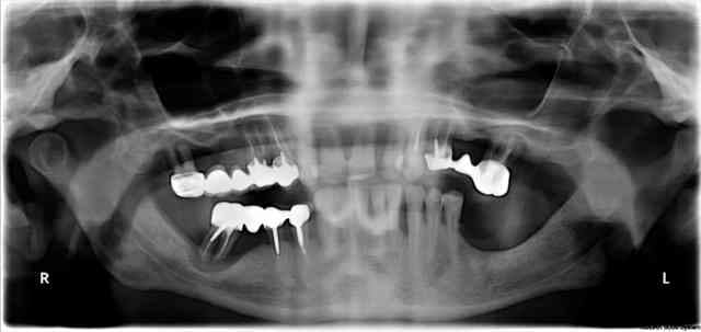
regardes cette radio panoramique par exemple...
petit indice, le "bientôt mci", à ton avis, il reste quoi actuellement (j'ai fait du "ménage")
29/04/2011 à 17h18
Sûrement comme en Suède, mais il y a une mobilité de l'ensemble. La modélisation 3D permet de voir les volumes mais n'est pas un outil de diagnostique.
Je viens de recevoir une pano ton avis.
En te remerciant pour tes commentaires Alain
29/04/2011 à 17h33
il serait quand même intéressant que le praticien lui-même vienne argumenter ici sans déléguer cela à posit, qui lui, il est vrai, n'y peut rien si ce n'est mettre à notre disposition son dispositif.
29/04/2011 à 17h35
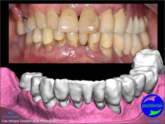
Je viens de recevoir les empreintes pour réaliser un Positscan en prévision d'une MCI bi-maxillaire. "chouette" un peu de métal pour corser l'histoire.
29/04/2011 à 17h43
growler écrivait:
-----------------
> il serait quand même intéressant que le praticien lui-même vienne argumenter ici
> sans déléguer cela à posit, qui lui, il est vrai, n'y peut rien si ce n'est
> mettre à notre disposition son dispositif.
Je suis de ton avis mais tous le monde n'aime pas bloguer, de plus les explications seraient plus qualifiées.
29/04/2011 à 18h11
Posit j'aimerais savoir jusqu'à quel point ta responsabilité est engagé sur ce genre de cas?
une MCI bi max sur ce genre de "patient" ne me fait ni halluciner ni rever, mais me laisse perplexe sur le devenir
29/04/2011 à 19h25
Béotien, le guide chirurgical est dispositif médical sur mesure, c’est la raison pour la quelle j’ai choisi de le concevoir et réalisé en acier chirurgical, il peut ainsi être stérilisé pour correspondre aux recommandations de la HAS (haute autorité de santé), son design et étudié pour facilité l’irrigation externe, les outils connexe soit standard soit développés spécifiquement par Positdental ont le marquage CE et ma qualité de prothésiste dentaire m’autorise à remplir le certificat de conformité répondant aux exigences relative à directive européenne n° 93/42 CEE. Pour la deuxième question une formation clinique et théorique par des praticiens sous l’égide du Docteur Jean KOSKIEVIC et technique ainsi que des cas cliniques accompagnés se met en place. En effet l’implantation bi maxillaire est complexe et demande beaucoup d’attention.
29/04/2011 à 19h52
pluton écrivait:
----------------
> Noah, comment, sans examen clinique, peux tu évaluer la viabilité des dents
> montrées sur ces reconstructions 3D?
> une simple radio te semble fiable aussi?
>
> tu nous as habitué à plus de rigueur!!!
C'est vendredi je te l'accorde pluton mais ne t'inquiète pas pour autant, j'ai l'habitude d'essayer de bien choisir mes mots quand je poste !
Il est inutile de te rappeler que la perte d'attache parodontale ne peut être supérieure à la perte osseuse. Or sur le cas de Posit la perte osseuse, qui est très globalement de profil horizontal, ne semble pas excéder les 2/3 de la longueur radiculaire. De plus les quelques lésions infraosseuses présentent ne me semble pas ingérables par ttt parodontal adapté.
La seule interrogation concerne les lésions endodontiques éventuelles mais dans tous les cas si il y en a, elles n'ont pas "soufflé" les corticales.
Donc je réitère ma remarque et trouve que le choix d'extraction dans un tel cas est excessif.
En ce qui concerne la mobilité dentaire, elle est loin d'être étonnante vu le manque de calage postérieur et n'est en aucun cas un critère extractionnel.
Les cas présentés par Posit sont dans la majeure partie des patients atteint de parodontite. Extraire une dent ne permettra jamais de soigner le patient. Le problème n'est pas la dent mais la prédisponibilité du patient à la maladie parodontale.
Compte tenu du risque élevé qu'on ces patients de développer une péri-implantite et de la difficulté à traiter ce genre de maladie périimplantaire, je ne serais que hautement encourager les praticiens à essayer de conserver au maximum les dents de leurs patients.
Sur ce, bon week end à vous tous.
Amicalement
Olivier
29/04/2011 à 20h38
Quel est ta vision du projet prothétique ?
03/05/2011 à 17h47
photo pré opératoire
05/05/2011 à 19h19
rendu 3D maxillaire sup, pano et photo
06/05/2011 à 11h02
3D maxillaire inférieur et photo
06/05/2011 à 16h22
Montage esthétique ou wax-up 3D
S.I.A.O.
06/05/2011 à 19h39
et la projet 10 implants maxillaire sup
en une fois avec les 2 sinus ou séparé?
06/05/2011 à 20h07
beotien écrivait:
-----------------
> et la projet 10 implants max
5+5 ou 10+10
>
> en une fois avec les 2 sinus ou séparé?
" c'est vous qui voyez" !!!
et là béotien ?
06/05/2011 à 20h21
10 en haut
le bas on verra plus tard ce n'est pas un de mes patients
donc ce sera minimum 8 en fonction du scan
en mp, stp la liste de ce qu'il te faut pour l'autre cas
pour ton cas je le fais en 4 fois, je sais c'est pas bien!
07/05/2011 à 10h52
noahaxeltiger-olivier écrivait:
-------------------------------
> Les cas présentés par Posit sont dans la majeure partie des patients atteint de
> parodontite. Extraire une dent ne permettra jamais de soigner le patient. Le
> problème n'est pas la dent mais la prédisponibilité du patient à la maladie
> parodontale.
> Compte tenu du risque élevé qu'on ces patients de développer une péri-implantite
> et de la difficulté à traiter ce genre de maladie périimplantaire, je ne serais
> que hautement encourager les praticiens à essayer de conserver au maximum les
> dents de leurs patients.
> Sur ce, bon week end à vous tous.
>
> Amicalement
> Olivier
Il y a des avis différents.
Transmission de bactéries parodontales associées aux maladies ostéo-intégrés sur les dents afin régions implant.
Sumida S , K Ishihara , M Kishi , K Okuda .
Source
Département de Prothèse partielle amovible, Tokyo Ecole dentaire, au Japon.
Résumé
OBJECTIF:
La présence de bactéries pour le parodonte est un facteur de risque pour la péri-implantite. La présente étude a examiné la colonisation par des bactéries pour le parodonte et leur transmission à partir de poches parodontales ostéo-intégrés sillon implant.
MATERIELS ET METHODES:
Des échantillons de plaque ont été prélevés dans 105 sites au cours des 15 patients qui ont participé à l'étude. La colonisation par ces bactéries a été examiné par réaction en chaîne par polymérase (PCR) et de la culture. La transmission de bactéries provenant de sites parodontaux parodonte des dents naturelles au sillon implant a été analysé par électrophorèse en champ pulsé (PFGE).
RÉSULTATS:
Le taux de détection par PCR de Porphyromonas gingivalis, Prevotella intermedia, Actinobacillus actinomycetemcomitans, forsythus Bacteroides, et Treponema denticola ont été de 80,0%, 53,3%, 46,7%, 60,0% et 40,0%, respectivement. Colonisations par gingivalis P et A actinomycetemcomitans étaient statistiquement corrélés avec des poches parodontales et implantaires régions sillon (P <.01). Les profils électrophorétiques des souches isolées P gingivalis de chaque patient ont été identiques, mais diffèrent de ceux des autres patients. Les profils électrophorétiques des souches de P intermedia étaient identiques dans 2 des 3 patients.
DISCUSSION:
Ces analyses ont indiqué qu'il semblait y avoir transmission du gingivalis P et P intermedia de la poche parodontale dans la région péri-implantaire.
CONCLUSION:
L'élimination de ces pathogènes parodontaux de la cavité buccale du patient avant d'administrer un traitement dentaire implant peut inhiber la colonisation par ces agents pathogènes et de réduire le risque de péri-implantite.