Cookie Consent byPrivacyPolicies.comcouronnez-vous encore systématiquement les molaires - Eugenol

couronnez-vous encore systématiquement les molaires dépulpées?

Avatar 46 aoi1yc - Eugenol
HononLulu

28/06/2011 à 13h46

CRAIG écrivait:
---------------

> Tu vis au pays des bisounours toi....lol Encore une jeunette non?...
> Si un jour tu as la chance de pouvoir exercer ton beau métier dans un pays où
> les soins dentaires sont correctement évalués et que les techniques les plus
> modernes appliquées tu pourras voir le décalage avec la France et surtout les
> patients français.

J'ai couronné toutes les dents dépulpées pendant 27 ans,(sans tfm je déteste ça m^me quand ils ont été mieux remboursés) maintenant et c'est très récent, je propose une autre alternative, la moins délabrante possible et les patients n'ont aucune réticence je t'assure.

Merci pour :"la jeunette" ;-)))) ça fait toujours plaisir

On risque fortement de se tromper en pensant à la place du patient, surtout de cette façon.


Grueavatar nptrc9 - Eugenol
Le Choixpeau magique

28/06/2011 à 14h25

mat2t écrivait:
---------------
> Souvent quand on ventile avec le prix de l'inlay-core , tout est mieux remboursé
> .
>
> C'est triste mais c'est comme ca.

D'accord, pendant deux ans j'ai fait beaucoup de SC33 dans la même séance que l'endo, c'est un truc qui marche bien. Le problème c'est que ça fait baisser le taux d'acceptation des couronnes.

Je suis revenu aux IC quasi systématiques, le patient est mieux remboursé et moi je gagne plus d'argent. C'est mon père qui m'a dit "c'est bizarre, sur Ameli le prix de ta couronne est plus élevé que tes voisins" "ah mais oui mais ça c'est normal, c'est parce que je ne fais pas d'inlay-core"... oups...

Donc je suis revenu aux IC quasi systématiques, c'est pas jojo, ça me reste en travers de la gorge, mais c'est la triste réalité.

Maintenant dépulper juste pour faire un IC, ça va au delà des compromissions que je suis capable de faire, j'espère ne jamais en arriver là.


olivier

28/06/2011 à 14h58

en même temps tu augmentes ta patientele d'implanto....


Img 4593 pnrtmh - Eugenol
teethsurfer

28/06/2011 à 21h26

Lorsque l'intérêt purement spéculatif (taux de remboursements) devient prioritaire sur l'intérêt médical, nous cessons d'être des praticiens et nous devenons des dental traders!

Nous avons les patients que nous méritons, à nous de les former, cela s’appelle de la communication...
Je n'ai jamais dévitalisé une dent dont la pulpe pouvait être préservée et je réalise souvent des coiffages directs, aucun de mes patients ne me demande le contraire sauf pour raison médicale.

Dévitaliser uniquement pour obtenir un remboursement de couronne est même considéré par la sécu comme une faute grave.

Dans quelques années nous pourrons, régénérer la pulpe, voir la dent entière grâce aux cellules souches, nous pouvons déjà préserver la pulpe de dents vitales extraites (les 8 le plus souvent) dans des banques sous forme congelée, c'est une source très appréciable de cellules souches plus facile à récupérer que celles de la moelle épinière, que l'on détruit ou que l'on élimine sans en avoir conscience,on est loin ici des dévitalisations systématiques pour obtenir quelques euros de plus vite dépensés.

Ce genre de débat deviendra un jour archaïque...


003 penrd2 - Eugenol
Cingulum

28/06/2011 à 23h34

Pour tout ceux dont les patients n'ont jamais droit à des implants, des onlays, des facettes, des blanchiments interne ou externe, de la microabrasion, de l'orthodontie de l'adulte, des prises en charge de leurs problèmes parodontaux, des greffes de gencive, des séances pédagogiques sur l'hygiène dentaire, des fluorations, .... en fait qui n'ont droit qu'au "régime bien remboursé par la sécu"....
Et bien, ceux là, n'achetez surtout pas le DVD de Pascal Magne.


Pour les autres allez y, c'est un pur bonheur et cela répondra parfaitement à la question posée.... ;)

http://www.quintessence-international.fr/fiche_multimedia.php?IdArticle=615




--
Dr Cingulum
-----Ancien interné----
----Attaché à l'apex----
www.clinic-all.fr formation par passion


Avatar 46 aoi1yc - Eugenol
HononLulu

28/06/2011 à 23h50

Le Choixpeau magique écrivait:
------------------------------



>
> Donc je suis revenu aux IC quasi systématiques, c'est pas jojo, ça me reste en
> travers de la gorge, mais c'est la triste réalité.
> je gagne plus d'argent.

Choip, les bras m'en tombent..... franchement .....je me demande à quoi sert de prôner des standart de qualité tels que la pose impérative de la digue pour une endo pour lire cela.


Grueavatar nptrc9 - Eugenol
Le Choixpeau magique

29/06/2011 à 00h02

HononLulu écrivait:
-------------------
> Choip, les bras m'en tombent..... franchement .....je me demande à quoi sert de
> prôner des standart de qualité tels que la pose impérative de la digue pour une
> endo pour lire cela.

Tu sais, il y a un moment où le bénévolat ça ne devient plus possible.

Par contre, je ne prône rien du tout, je dis juste ce que je fais et je fais ce que je dis.


Ico v for vendetta08 jzhpep - Eugenol
Arnaud Go

29/06/2011 à 00h06

Si il fait de belles endos c'est très bien pour ses patients.

Sinon il peut continuer comme il faisait avant et mettre la clé sous la porte comme ça ses patients y gagnent.

Inutile de nous malmener entre nous, les autres le font suffisamment sans que nous les y aidions.


Grueavatar nptrc9 - Eugenol
Le Choixpeau magique

29/06/2011 à 00h17

Maintenant HononLulu, je veux bien que tu m'expliques ce que toi tu fais.
Donc pour toi, chaque molaire dépulpée a le droit à un onlay céram ?
Tu les factures combien ?
Combien te factures ton prothésiste ?
Tu cotes SC17 ou tu "te trompes" et tu mets SPR 50 ?


Gutgut

29/06/2011 à 00h49

Un peu d'accord avec CRAIG : j'ai fait une belle préservation de la vitalité en m'appliquant sous microscope (déja pas inclus niveau plan de traitement dans mes honoraire pour cette patiente là) donc pour moi : ONLAY


(edition du message : petit apparté : j'utilise le microscope quasi chaque fois pour soins sous digue + endos systematiquement. Mis a part que c'est genial evidemment, je ne me vois pas proposer a chaque fois après la premiere consult 200 euros (par ex) de dépassement pour tous mes soins sous micro)


J'ai "fauté" car j'ai pas faire de devis AVANT. Cependant je ne savais pas encore si il allait falloir dévitaliser (à la radio c'était plutôt étendu : au microscope on est vraiment conservateurs....

Donc motivation ensuite de la patiente pour un devis SC17 + ED, total = 450 euros (vous pouvez juger)

Rendez vous prévus, planifiés, empreinte pour onlay faite ET envoyée au labo (qui me facture 64 euros un onlay ADORO

(la aussi j'ai fauté car la patiente n'avais pas réellement donné son accord, mais je suis jeune, mais j'étais confiant car avait bien éxpliqué les avantages et inconvénients, etc etc,)

1 semaine après : patiente rapelle car pas d'accord car trop cher, reste a charge 250 euros.

Je l'appelle, séance de marchandage/vendage de tapis que je déteste et qui fou les boules car on ne se sent plus du tout maitre et décideur de ce qui est le mieux pour le patient, le patient prend le dessus, on a l'impression de se faire avoir...

Au final : je suis resté sur ma ligne de conduite = préserver vitalité pulpaire (+1 auprès de stephane), mais a moindre cout : descendu mon devis à 230 euros, pour payer matos, assistante, temps, etc . Tout ceci je l'ai expliqué a la patiente, en plus de lui expliquer que couronner serait trop délabrant et bien dommage et tout et tout...


Tout ceci pour dire que cela va encore m'arriver forcément, coachingué à mort ou pas coachingué à mort avec 1 Ga kilo euros chaque années, mais c'est frustrant.

Je suis en campagne , à proximité d'une grande ville. Je pense qu'il y a tous les types de patients, mais je n'ai pas pour optique de faire du "soin social" comme réponse à des patients n'ayant pas les moyens. Et on a beau les motiver a mort, je ne suis pas sur que ceux qui sont à 50 euros près chaque mois puissent sortir 250 euros pour se payer un onlay. Et effectivement, la CCM serait MIEUX remboursée.




CRAIG écrivait:
---------------
> HononLulu écrivait:
> -------------------
> > Craig, pour toi l'affaire est entendue et je soupçonne ce "renoncement"
> > d'influer ta présentation des avantages de l'inlay/ couronne auprès de ta
> > patientèle.
> >
> > Les patients qui franchissent nos portes le font d'abord pour conserver leurs
> > dents. Ils sont demandeurs de solutions les moins délabrantes possible.
> > Je te concède qu'une minorité ne voit pas plus loin que la somme non
> > remboursée, toutefois il ne faut pas que l'arbre te cache la foret.
>
>
> Tu vis au pays des bisounours toi....lol Encore une jeunette non?...
> Si un jour tu as la chance de pouvoir exercer ton beau métier dans un pays où
> les soins dentaires sont correctement évalués et que les techniques les plus
> modernes appliquées tu pourras voir le décalage avec la France et surtout les
> patients français.


Gutgut

29/06/2011 à 00h57

Je précise pour mon message précédent : la patiente était surement juste niveau financier, et j'aurais bien aimé voir Steichen la motiver pour lui proposer un Onlay à sa juste valeur....

Donc je suis décu de pas etre honoré comme je l'ai voulu au départ, mais d'un coté, tout en gardant ma ligne de conduite (ne pas dévitaliser la dent pour faire plaisir a la patiente), j'ai soigné ma patiente au mieux et comme je l'entends.

Je me rattraperai sur le prochain friqué... :)


Plus on fait de dépassement ou de HN, plus il faut faire de séances de pipotage/motivation de devis.
Et penser toujours dans ce sens comme le veulent les coachers, c'est fatiguant et stressant. Je pense qu'il faut un juste milieu, et c'est vraiment au cas par cas.

Par contre c'est vrai que je suis peut etre un peu jeune pour sentir les patients motivés ou non financierement. Et que je dois évoluer niveau pipotage :)


Björn

29/06/2011 à 01h00

teethsurfer écrivait:
---------------------

1
> Dévitaliser uniquement pour obtenir un remboursement de couronne est même
> considéré par la sécu comme une faute grave.

2
> Dans quelques années nous pourrons, régénérer la pulpe, voir la dent entière
> grâce aux cellules souches, nous pouvons déjà préserver la pulpe de dents
> vitales extraites (les 8 le plus souvent) dans des banques sous forme congelée,
> c'est une source très appréciable de cellules souches plus facile à récupérer
> que celles de la moelle épinière,


T'as fait fort là...

1.Le remboursement d'une couronne n'est pas soumis à la dévitalisation de la dent.
Donc essaie de te renseigner un peu, avant de parler de "faute grave" (s'il y a une faute, c'est uniquement de dévitaliser pour d'autres raisons que des raisons médicales, la couronne et son remboursement n'ont rien à faire dans l'hsitoire).

2.J'espère que les maxillo qui viennent ici pour se foutre de notre gueule ne verront pas que t'as confondu moelle épinière et moelle osseuse en essayant de nous donner un cours de biologie cellulaire.


Bebe 038 nf8eum - Eugenol
danteyeah

29/06/2011 à 01h27

Gutgut écrivait:
----------------
> Je précise pour mon message précédent : la patiente était surement juste niveau
> financier, et j'aurais bien aimé voir Steichen la motiver pour lui proposer un
> Onlay à sa juste valeur....
>
> Donc je suis décu de pas etre honoré comme je l'ai voulu au départ, mais d'un
> coté, tout en gardant ma ligne de conduite (ne pas dévitaliser la dent pour
> faire plaisir a la patiente), j'ai soigné ma patiente au mieux et comme je
> l'entends.
>
> Je me rattraperai sur le prochain friqué... :)
>
>
> Plus on fait de dépassement ou de HN, plus il faut faire de séances de
> pipotage/motivation de devis.
> Et penser toujours dans ce sens comme le veulent les coachers, c'est fatiguant
> et stressant. Je pense qu'il faut un juste milieu, et c'est vraiment au cas par
> cas.
>
> Par contre c'est vrai que je suis peut etre un peu jeune pour sentir les
> patients motivés ou non financierement. Et que je dois évoluer niveau pipotage
> :)

En même temps si tu n'as que 2 ou 3 cas "commercialement" foirés par an de ce genre, sur un gros paquet de cas réussi, y a pas mort d'homme! Et tu risque de perdre plus de sous pour le temps passé à pipoter, que ce que te couteras le manque à gagner chez les patients négociateur. perso j'en ai perdu des sous avec ce style de patient car commercialement je suis nullissime!!! et pourtant je trouve que je gagne pourtant pas si mal ma vie que ça, quelque fois le besoin de ne pas se prendre la tête nous coute du fric, mais nous délivre de contrainte et de dialogue casse couille.


Bebe 038 nf8eum - Eugenol
danteyeah

29/06/2011 à 01h32

Ah sinon, pour répondre au post par une réponse évidente, surtout si on suit les dernier fils en prothèse et dentisterie, moi non plus je ne couronne pas systématiquement les molaires dépulpées, ni les prémol, ou autres d'ailleurs, je me contente même de soins conservateurs directs quand ils sont indiqués, c'est dingue non? :-)


Grueavatar nptrc9 - Eugenol
Le Choixpeau magique

29/06/2011 à 01h33

Gutgut écrivait:
----------------
> 1 semaine après : patiente rapelle car pas d'accord car trop cher, reste a
> charge 250 euros.

CQFD.


Ico v for vendetta08 jzhpep - Eugenol
Arnaud Go

29/06/2011 à 03h09

Que ceux qui n'ont jamais extrait de dents parce que le patient ne voulait pas entrer dans une thérapeutique coûteuse ou/et trop complexe-compliquée, jettent la première pierre.

Alors mettre une couronne à la place d'un onlay... ou un inlay-core à la place d'un tenon fibré...

Maintenant il y a une limite à de telles compromissions et preuve nous est exposée ici que cette limite est à géométrie variable selon les sensibilités.


003 penrd2 - Eugenol
Cingulum

29/06/2011 à 09h57

Le Choixpeau magique écrivait:
------------------------------
> Gutgut écrivait:
> ----------------
> > 1 semaine après : patiente rapelle car pas d'accord car trop cher, reste a
> > charge 250 euros.
>
> CQFD.
>
Et quand il reste 250€ a charge sur la couronne tu fais quoi ?
Ou quand il reste 250€ a charge sur un traitement paro tu fais quoi ?
Ou quand il reste 250€ a charge sur un implant pour remplacer 36 ?
Ou quand il reste 250€ a charge sur plein de chose en fait...

--
Dr Cingulum
-----Ancien interné----
----Attaché à l'apex----
www.clinic-all.fr formation par passion


Gutgut

29/06/2011 à 10h29

Oui evidemment...C'était pour illustrer.
Reste plus qu'à motiver les patients. (j'ai eu beau, elle ne voulait pas y mettre 250 euros)

Un remède ?

:)


Cingulum écrivait:
------------------
> Le Choixpeau magique écrivait:
> ------------------------------
> > Gutgut écrivait:
> > ----------------
> > > 1 semaine après : patiente rapelle car pas d'accord car trop cher, reste a
> > > charge 250 euros.
> >
> > CQFD.
> >
> Et quand il reste 250€ a charge sur la couronne tu fais quoi ?
> Ou quand il reste 250€ a charge sur un traitement paro tu fais quoi ?
> Ou quand il reste 250€ a charge sur un implant pour remplacer 36 ?
> Ou quand il reste 250€ a charge sur plein de chose en fait...
>
> --
> Dr Cingulum
> -----Ancien interné----
> ----Attaché à l'apex----
> www.clinic-all.fr formation par passion


Grueavatar nptrc9 - Eugenol
Le Choixpeau magique

29/06/2011 à 10h40

Cingulum écrivait:
------------------
> Et quand il reste 250€ a charge sur la couronne tu fais quoi ?
> Ou quand il reste 250€ a charge sur un traitement paro tu fais quoi ?
> Ou quand il reste 250€ a charge sur un implant pour remplacer 36 ?
> Ou quand il reste 250€ a charge sur plein de chose en fait...

Bah moi je fais rien de spécial, mais le patient souvent il ne fait rien justement.

Exemple, je fais des séances de surfaçage à 120 euros la séance.
Quand je propose un traitement de deux séances, souvent ça passe.
Quand je propose un traitement de quatre séances, souvent ça ne passe pas.


Fouilla h6plsy - Eugenol
fouilla

29/06/2011 à 12h30

Le Choixpeau magique écrivait:
------------------------------
> Cingulum écrivait:
> ------------------
> > Et quand il reste 250€ a charge sur la couronne tu fais quoi ?
> > Ou quand il reste 250€ a charge sur un traitement paro tu fais quoi ?
> > Ou quand il reste 250€ a charge sur un implant pour remplacer 36 ?
> > Ou quand il reste 250€ a charge sur plein de chose en fait...
>
> Bah moi je fais rien de spécial, mais le patient souvent il ne fait rien
> justement.
>
> Exemple, je fais des séances de surfaçage à 120 euros la séance.
> Quand je propose un traitement de deux séances, souvent ça passe.
> Quand je propose un traitement de quatre séances, souvent ça ne passe pas.

donc en pratique si tu proposais des séances à 60 euros tu penses qu'il le ferait plus ou pas.
je reste persuadé que seules deux séances passerait pas quatre

en même temps pourquoi quatre séances ?

coaché ou pas coaché vous n'arriverez pas à "vendre" quelque chose à quelqu'un qui n'en veut pas...

dieu merci nous gardons notre liberté en tant que patient d'accepter ou de refuser le traitement.

je suis un excellent "vendeur" tant et si bien que lorsque je réalise de gros plan de traitement (donc gros devis) j'ai pris pour habitude de conseiller au patient de prendre un autre avis auprès d'un autre confrère s'il le souhaite comme ça
1)si il doit le faire c'est ouvert et on peut en parler
2)si il accepte le traitement c'est en connaissance de cause

mais je dois l'avouer je n'ai pas faim comme on dit car les emprunts sont derrière moi et je suis débordé donc le choix j'ai .

pourtant je ne l'ai jamais caché j'ai été coaché ... mais je n'ai pas été binhasisé ou brassarisé ou steichenisé pour la simple raison que lorsque l'on a un couteau dans la main : le cerveau décide soit de le planter dans le voisin soit de s'en servir pour couper quelque chose donc même chose pour le coaching.


--
.


Img 4593 pnrtmh - Eugenol
teethsurfer

29/06/2011 à 13h11

Björn écrivait:

> 1.Le remboursement d'une couronne n'est pas soumis à la dévitalisation de la
> dent.
> Donc essaie de te renseigner un peu, avant de parler de "faute grave" (s'il y a
> une faute, c'est uniquement de dévitaliser pour d'autres raisons que des raisons
> médicales, la couronne et son remboursement n'ont rien à faire dans l'hsitoire).

Je ne dis rien d'autre!

Cela a été souvent évoqué lors des rencontres avec les CDC, dévitaliser pour des raisons autres que médicales, le plus souvent pour obtenir une prise en charge, voir pour être tranquille!!! est considéré comme faute grave assimilable à une escroquerie et une méconnaissance de la nomenclature concernant les dents vitales trop délabrées ...
Je réalise depuis toujours des couronnes prises en charge sur dents vitales délabrées lorsqu'un onlay n'est pas indiqué, cela ne me pose aucun problème.


> 2.J'espère que les maxillo qui viennent ici pour se foutre de notre gueule ne
> verront pas que t'as confondu moelle épinière et moelle osseuse en essayant de
> nous donner un cours de biologie cellulaire.

Bien vu et mea culpa, les maxillo me pardonneront ;o)
Mais cela ne change pas le sens de mes propos...
Je n'ai aucune prétention ni compétence pour donner un cours de bio cellulaire, juste un intérêt personnel sur les recherches consacrées aux cellules souches.

Je suis étonné d'ailleurs du peu d'intérêt que la profession y manifeste,à l'ADF il y avait presque autant de scientifiques donnant les conférences que de praticiens présents, et pourtant d'après Michel Goldberg les applications cliniques sont envisageables d'ici une dizaine d'années seulement, c'est déjà actuel pour les banques de cellules souches d'origine pulpaire.


Björn

29/06/2011 à 13h27

teethsurfer écrivait:
---------------------

>
> Je ne dis rien d'autre!


> teethsurfer écrivait:
---------------------

>
> Dévitaliser uniquement pour obtenir un remboursement de couronne est même
> considéré par la sécu comme une faute grave.
>


Alors tu le dis mal... ;-)


>

>
> Je suis étonné d'ailleurs du peu d'intérêt que la profession y manifeste,à l'ADF
> il y avait presque autant de scientifiques donnant les conférences que de
> praticiens présents, et pourtant d'après Michel Goldberg les applications
> cliniques sont envisageables d'ici une dizaine d'années seulement, c'est déjà
> actuel pour les banques de cellules souches d'origine pulpaire.


On est en plein dans le sujet: une nouvelle technique, pas de cotation prévue, de nouvelles galères de vente en perspective.

A vouloir vendre leur santé aux patients, on y perd la nôtre.


Img 4593 pnrtmh - Eugenol
teethsurfer

29/06/2011 à 13h47

Pourquoi cette fixation sur la nomenclature?

Nous sommes très conditionnés en France, alors que cela ne pose pas de problème insoluble dans la plupart des pays occidentaux.
Je n'hésite pas à réaliser un beau composite remboursé si le patient n'a pas les moyens de s'offrir un onlay en lui précisant bien que ce n'est qu'une solution transitoire et qu'il a intérêt à économiser pour, cela prendra le temps qu'il faut, mais bien motivé et expliqué, on trouve toujours une solution.

Pour les cellules souches, il est vrai qu'actuellement cela coûte assez cher de préserver ses cellules d'origine pulpaire dans une banque pour 20 ans, mais ceux qui le désirent en ont la possibilité et il y a déjà pas mal de gens intéressés...il s'agit même d'un investissement patrimonial puisque certains les revendent à la demande de malades dont le besoin est urgent!

On a encore le temps pour discuter de leur prise en charge, mais je suis persuadé que cela ne représentera pas un obstacle en ce qui concerne le choix des patients.

La santé ne se vend pas, elle se mérite et tous les moyens sont bons pour la préserver ou la retrouver, parfois le simple bon sens et il est gratuit!


Gbazylo1 fvg1vg - Eugenol
Aron

29/06/2011 à 17h57

D'abord pour répondre à la question:

Quasiment, oui. Sauf sur ma famille et les patients les plus motivés et sympas (quand il reste 3 parois de + de 2mm au moins):
1. je trouve qu'ils en valent la peine et surtout
2. ils acceptent les onlays + pose à 350€ +/- 50.

HononLulu écrivait:
-------------------
> Le Choixpeau magique écrivait:
> ------------------------------
>
>
>
> >
> > Donc je suis revenu aux IC quasi systématiques, c'est pas jojo, ça me reste en
> > travers de la gorge, mais c'est la triste réalité.
> > je gagne plus d'argent.
>
> Choip, les bras m'en tombent..... franchement .....je me demande à quoi sert de
> prôner des standart de qualité tels que la pose impérative de la digue pour une
> endo pour lire cela.

Je suis en partie d'accord avec Honon.
En fait, pour quelqu'un comme toi qui passe pas mal de temps à eugénoler sur des sujets pointus en recommandant l'excellence -et en employant souvent un ton intransigeant, ce que je ne critique d'ailleurs pas-, je suis aussi surpris qu'elle quand je te lis maintenant.
Maintenant, les bras ne m'en tombent pas, mais je me dis que si les simples d'esprits sont heureux, alors pour toi ça doit être plutôt difficile psychologiquement, de savoir comme tu le sais que tu fais assez régulièrement de la... bref que c'est pas top.

Enfin, mettre la digue sur une endo n'est pas un très haut standard de qualité!


Squash u44zd8 - Eugenol
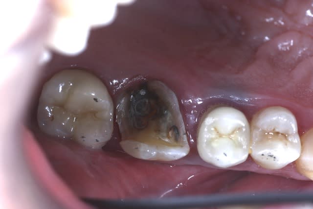
steph

30/06/2011 à 01h34

teethsurfer écrivait:
---------------------
> Je réalise depuis toujours des couronnes prises en charge sur dents vitales
> délabrées lorsqu'un onlay n'est pas indiqué, cela ne me pose aucun problème.

Je ne vois pas quand un onlay n'est pas indiqué ?
Même quand il ne reste rien, la preuve ci-dessous.

 mg 1919   copie zb8xif - Eugenol
 mg 2004   copie nop0sx - Eugenol

123...