Cookie Consent byPrivacyPolicies.comcouronnez-vous encore systématiquement les molaires - Eugenol

couronnez-vous encore systématiquement les molaires dépulpées?

doctyoni

28/10/2011 à 02h13

@Ceramik :
Je n'aime pas plus l'amg que toi tu ne l'aimes mais je dis qu'il peut rendre service à des patients .

Cingulum , pxav, growler,... sont des dentistes d'exception .
Il n'y a qu'avoir les cérams de Cingulum où il est quasi impossible de retrouver la prothèse pour le comprendre ou les expansions de pxav : on sait trés bien que ce n'est pas donné à tout le monde de réaliser ces actes et que peu de gens ont ta ou leurs dextérités.

La grande majorité des patients se font soigner par des dentistes lambda.

Vive l'implanto et la ceram , comme tu dis ...
Mais juste une question , à chaque amg que tu croises , le déposes tu pour mettre un bel inlay bien blanc ? Moi non


@Choixpeau : je suis d'accord .
Faut polir sans trop polir . Et mettre de l’adhésif en séchant sans trop sécher. Et aprés , on peut affirmer que le collage est 100 % réussi , moi je n'ai aucune certitude


Smile beach jgh0a1 - Eugenol
Céramik

28/10/2011 à 04h19

doctyoni écrivait:
------------------
> @Ceramik :
> Je n'aime pas plus l'amg que toi tu ne l'aimes mais je dis qu'il peut rendre
> service à des patients .


Désolé, je ne place pas d'Hg pour rendre service, c'est mon choix. Aucun amalgame dans mon cabinet depuis 16 ans, aucun.



>
> Cingulum , pxav, growler,... sont des dentistes d'exception . Il n'y a qu'avoir les cérams de Cingulum où il est quasi impossible de retrouver
> la prothèse pour le comprendre ou les expansions de pxav : on sait trés bien que
> ce n'est pas donné à tout le monde de réaliser ces actes et que peu de gens ont ta ou leurs dextérités.


Je suis plus passionné que pourvu d'une grande dextérité, la preuve, cingulum est probablement bien plus habile que moi. D'ailleur, je devrais faire sa formation, qui sait, je pourrais apprendre bien des choses. J'aime tjs apprendre des trucs, c'est le but du forum aussi, non ?

J'ai fais un très joli cas d'expansion aujourd'hui, merci à pxav, car par chez moi, les greffes sont présentées comme LA seule solution. J'ai fais le voyage à Salanches en 2011, et je commence à faire des cas sympa, que j'aurais jamais fait avant...je combine exo, expansion, pose et greffe osseuse...
il y a quelques années, je posais même pas d'implant...


> La grande majorité des patients se font soigner par des dentistes lambda.

et oui...il faut juste faire un peu mieux...


> Vive l'implanto et la ceram , comme tu dis ...
> Mais juste une question , à chaque amg que tu croises , le déposes tu pour
> mettre un bel inlay bien blanc ? Moi non
>

Non, mais si je remplace, c'est par quelque chose de mieux, en blanc, compo ou céram, selon la taille.

P'tit cas lamba, digue,compo, 1h00 (je bosse pas vite)...
Dans ce cas, la 26 est super moche et sensible, j'en profite pour faire la 25 et 27.
Pas de sillon coloré, pas de multi-couche émail-dentine,
simple compo A2 par couches, travail basique quoi, mais j'aime bien. J'ai même scellé la 24, juste pour l'fun.


--
Céramik

Hg ou compo v2glhc - Eugenol

003 penrd2 - Eugenol
Cingulum

28/10/2011 à 11h18

doctyoni écrivait:
------------------

> Cingulum , pxav, growler,... sont des dentistes d'exception .
> Il n'y a qu'avoir les cérams de Cingulum où il est quasi impossible de retrouver
> la prothèse pour le comprendre ou les expansions de pxav : on sait trés bien que
> ce n'est pas donné à tout le monde de réaliser ces actes et que peu de gens ont
> ta ou leurs dextérités.
>
> La grande majorité des patients se font soigner par des dentistes lambda.
>

On a tous commencé au même niveau... la marge de progression est infinie. Pour moi un dentiste d'exception c'est Pascal Magne, ou Ueli GRUNDER...
Le dentiste lambda ça veut rien dire...on progresse toute sa carrière.. enfin on devrait...
On entend souvent des discours du style "moi avec mes patients c'est pas possible..." C'est des conneries ! ;)
98% c'est dans la tête du praticien que ça se passe...

Ce qu'il faut et c'est difficile, c'est se remettre en question régulièrement, lire, regarder ce que font les autres... et se former, se former se former...

--
Dr Cingulum
-----Ancien interné----
----Attaché à l'apex----
http://www.clinic-all.fr/ formation par passion


Smile beach jgh0a1 - Eugenol
Céramik

28/10/2011 à 14h30

Cingulum écrivait:
------------------

>
> On a tous commencé au même niveau... la marge de progression est infinie. Pour
> moi un dentiste d'exception c'est Pascal Magne, ou Ueli GRUNDER...
> Le dentiste lambda ça veut rien dire...on progresse toute sa carrière.. enfin on
> devrait...
> On entend souvent des discours du style "moi avec mes patients c'est pas
> possible..." C'est des conneries ! ;)
> 98% c'est dans la tête du praticien que ça se passe...
>
> Ce qu'il faut et c'est difficile, c'est se remettre en question régulièrement,
> lire, regarder ce que font les autres... et se former, se former se former...

+1
;-)





> formation par passion

+10 !



--
Céramik


Fresh watermelon 640x562 udulqz - Eugenol
gulguch

29/10/2011 à 22h49

Céramik écrivait:
-----------------
> Cingulum écrivait:
> ------------------
>
. Pour
> > moi un dentiste d'exception c'est Pascal Magne, ou Ueli GRUNDER...

.. qui comme chacun le sait, turbinent dur dans le neuf-trois.

> > On entend souvent des discours du style "moi avec mes patients c'est pas
> > possible..." C'est des conneries ! ;)
> > 98% c'est dans la tête du praticien que ça se passe...
> >
>
... A c'est vrai ça! L'idée de changer de patients en restant sur place, ou mieux en changeant de quartier et mème de ville, c'est tout-dans-la-tête.
C'est ce que j'ai fait d'ailleurs:-D.

Quant à convertir ses patients, faut s'appeler Gandhi au moins.

Pour moi, ce n'est pas Ueli GRUNDER et Pascal Magne les meilleurs, pour estimables qu'ils soient. C'est cet inconnu qui nous lit sans oser intervenir, et qui dans son obscur cabinet de Touducul-sur-Muche a retouché ce matin pour la quinzième fois le baveux de Madame Màchin, et c'est largement aussi difficile que nos implants, et peut-être plus utile.
>
>
>
> > formation par passion
>
> +10 !
>
>
>
> --
> Céramik


Grueavatar nptrc9 - Eugenol
Le Choixpeau magique

30/10/2011 à 00h37

gulguch écrivait:
-----------------
> ... A c'est vrai ça! L'idée de changer de patients en restant sur place, ou
> mieux en changeant de quartier et mème de ville, c'est tout-dans-la-tête.
> C'est ce que j'ai fait d'ailleurs:-D.

Tu veux dire que tu as changé d'endroit, et que l'acceptation de tes traitements a changé tout autant ?


Rorschachwhite tx6rqr - Eugenol
Candide Candida

30/10/2011 à 00h55

gulguch écrivait:
-----------------

> Pour moi, ce n'est pas Ueli GRUNDER et Pascal Magne les meilleurs, pour
> estimables qu'ils soient. C'est cet inconnu qui nous lit sans oser intervenir,
> et qui dans son obscur cabinet de Touducul-sur-Muche a retouché ce matin pour la
> quinzième fois le baveux de Madame Màchin, et c'est largement aussi difficile
> que nos implants, et peut-être plus utile.


Merci.

Cela fait du bien de lire ça de temps en temps.

CC.


arno

30/10/2011 à 00h59

doctyoni écrivait:
------------------

> Cingulum , pxav, growler,... sont des dentistes d'exception .

> ce n'est pas donné à tout le monde de réaliser ces actes et que peu de gens ont
> ta ou leurs dextérités.


Alors là, je ne suis pas, mais pas du tout d'accord. Pas sur le fait, que les confrères que tu cites soient très bons, bien sûr ;-)
Mais sur le fait que ce n'est pas donné à tout le monde!
Personne ne se lève un beau matin en sachant faire ces actes là.
Pour moi, c'est donné à quiconque s'en donne les moyens: travail, formation, PASSION, et on recommence, re-travail, re-formation, des rencontres, de la motivation...

Tu passes 2 jours avec Noah à Mulhouse et tu repars avec des outils pour avancer, et bien sûr il faudra des années de pratique pour lui arriver à la cheville, et évidemment d'autres formations, mais pour moi rien n'est impossible.

Et pour la clientèle, vous me faites doucement rire: il est bien plus facile de remettre ça sur le dos de nos patients plutôt que sur nos aptitudes à les motiver. Il suffit de voir le nombre de confrères qui ont des exercices ultra valorisant dans des trous pommés de la France pour s'en convaincre (j'en fais parti).


Smile beach jgh0a1 - Eugenol
Céramik

30/10/2011 à 01h20

Candide Candida écrivait:
-------------------------
> gulguch écrivait:
> -----------------
>
> > Pour moi, ce n'est pas Ueli GRUNDER et Pascal Magne les meilleurs, pour
> > estimables qu'ils soient. C'est cet inconnu qui nous lit sans oser intervenir,
> > et qui dans son obscur cabinet de Touducul-sur-Muche a retouché ce matin pour
> la
> > quinzième fois le baveux de Madame Màchin, et c'est largement aussi difficile
> > que nos implants, et peut-être plus utile.
>
>
> Merci.
>
> Cela fait du bien de lire ça de temps en temps.
>
> CC.


Pas d'accord...
Si le baveux de Mme chose était bien fait, et bien pas nécessaire de le retoucher une 15e X...
Cela renforce juste l'image du "bricolage", on nous prend alors que pour de simple "mécanicien-bas-de-gamme"...
Les plombiers font mieux que ça...en gagnant plus...
Rendre service ? Oui, en faisant mieux à chaque jours.


--
Céramik


Rorschachwhite tx6rqr - Eugenol
Candide Candida

30/10/2011 à 01h51

Céramik écrivait:
-----------------

> Pas d'accord...
> Si le baveux de Mme chose était bien fait, et bien pas nécessaire de le
> retoucher une 15e X...
> Cela renforce juste l'image du "bricolage", on nous prend alors que pour de
> simple "mécanicien-bas-de-gamme"...
> Les plombiers font mieux que ça...en gagnant plus...
> Rendre service ? Oui, en faisant mieux à chaque jours.


Et moi je pense que tu n'as rien compris.

CC.


Smile beach jgh0a1 - Eugenol
Céramik

30/10/2011 à 03h49

Candide Candida écrivait:
-------------------------
> Céramik écrivait:
> -----------------
>
> > Pas d'accord...
> > Si le baveux de Mme chose était bien fait, et bien pas nécessaire de le
> > retoucher une 15e X...
> > Cela renforce juste l'image du "bricolage", on nous prend alors que pour de
> > simple "mécanicien-bas-de-gamme"...
> > Les plombiers font mieux que ça...en gagnant plus...
> > Rendre service ? Oui, en faisant mieux à chaque jours.
>
>
> Et moi je pense que tu n'as rien compris.
>
> CC.

Explique moi...

--
Céramik


003 penrd2 - Eugenol
Cingulum

30/10/2011 à 09h27

gulguch écrivait:
-----------------


> . Pour
> > > moi un dentiste d'exception c'est Pascal Magne, ou Ueli GRUNDER...
>
> .. qui comme chacun le sait, turbinent dur dans le neuf-trois.
> > > On entend souvent des discours du style "moi avec mes patients c'est pas
> > > possible..." C'est des conneries ! ;)
> > > 98% c'est dans la tête du praticien que ça se passe...

> ... A c'est vrai ça! L'idée de changer de patients en restant sur place, ou
> mieux en changeant de quartier et mème de ville, c'est tout-dans-la-tête.
> C'est ce que j'ai fait d'ailleurs:-D.
>
> Quant à convertir ses patients, faut s'appeler Gandhi au moins.
>
> Pour moi, ce n'est pas Ueli GRUNDER et Pascal Magne les meilleurs, pour
> estimables qu'ils soient. C'est cet inconnu qui nous lit sans oser intervenir,
> et qui dans son obscur cabinet de Touducul-sur-Muche a retouché ce matin pour la
> quinzième fois le baveux de Madame Màchin, et c'est largement aussi difficile
> que nos implants, et peut-être plus utile.


Tu peux continuer à croire ça si tu veux... mais...
J'ai eu la chance de part ma formation et grâce aux conférences que j'ai donné aux quatre coin de la France de rencontrer beaucoup de praticien... et je peux t'assurer qu'il existe des praticiens excellent dans des trous paumés...

Un excellent dentiste c'est quoi ? C'est un praticien qui soigne ses patients avec les données acquise de la science...les données actuelles...

Aujourd'hui, ne pas proposer d'implants à ses patients c'est pas normal... on peut ne pas savoir faire, mais pas savoir adresser c'est anormal...

De même, les restaurations adhésives partielles sont aujourd'hui un traitement de choix, pour les lésions de moyenne étendue... Facette, Onlay, permettent de prolonger la survie de la dent.

Le Niti a révolutionner l'endo, les implants ont révolutionnés le remplacement des dents, l'imagerie, les localisateurs etc... ont améliorer notre technique de soins...

En 20 ans on a fait des progrès énorme sur les colles.
25Mpa ça représente 250Kg/cm² !!!
On colle sur l'émail, sur la dentine. Et qu'a t'on fait de ce progrès ? Rien, on continue a faire Inlay core CCM. Il y a 20 ans on scellait aux ciments de zinc, et aujourd'hui on fait la même chose mais on colle au Relyx X, c'est aberrant !

C'est une erreur de croire que faire mieux ça coûte plus cher...
Quand je fais une conférence sur les restaurations partielles, je demande aux confrères pourquoi ils en font pas:
1. pas formé
2. trop cher pour les patients...

Alors je demande c'est combien ?
réponse: on sait pas, on en fait pas...

C'est rigolo, c'est trop cher, mais on sait pas combien ça coute...

Un onlay ne coûte pas plus cher au patient qu'une couronne.
Un implant ne coûte pas plus cher qu'un bridge 3 dents...
Je me suis rendu compte que j'étais très souvent moins cher que les praticiens que je forme...
La ccm chez moi c'est 550€, l'onlay 330€, la facette entre 330 et 430€ selon le nombre...
chez toi c'est combien ?
Ce qui est cher c'est le temps passé...
A la fac, tu passais combien de temps pour faire une endo ?
2 séances de 3 heures ... :)

C'est comme tout, on fait bien ce qu'on sait faire, et que l'on fait souvent...

Je dis pas que les patients ont des pouvoirs d'achat homogène en France,
Mais on peut pas se planquer derrière le patient parcequ'on sait pas faire
Factures 300€ l'onlay, il va rester 250€ à charge pour ton patient.
Quand il reste 250€ a charge sur une couronne, tu proposes pas la couronne a ton patient ?
Pourquoi les dentistes ils ont des onlay dans leur bouche, et ils en parlent même pas à leur patient ?

Est ce qu'a Mme Machin on a proposé 2 implants pour stabilisé son baveux ?


J'ai 10 ans d'exercice. Je pense que je soigne mieux mes patients aujourd'hui qu'il y a 10 ans...
Et je me forme pour que dans 10 ans ça soit a nouveau vrai...

Au final, il y a les praticiens qui avancent... et puis ceux qui font du surplace...








--
Dr Cingulum
-----Ancien interné----
----Attaché à l'apex----
http://www.clinic-all.fr/ formation par passion


Ico v for vendetta08 jzhpep - Eugenol
Arnaud Go

30/10/2011 à 11h45

Ces travaux sont beaux et ces discussions réellement intéressantes.

Mais on retrouvera peu de ces travaux en bouche en France, et contrairement aux idées reçues non parce que les praticiens aiment faire de la merde mais plutôt qu'ils ne veulent pas faire de la qualité au prix de la merde.

Ces onlays sur dents dépulpées sont magnifiques et il faut les promouvoir mais honnêtement en France c'est un vœu pieux et tout n'est pas dans la tête du praticien. Des efforts financiers sont réalisés en soldant les onlays alors qu'ils ne devraient pas puisqu'ils nécessitent autant d'effort que des couronnes (fil/digue).

Un travail de motivation est essentiel et nécessaire de notre part mais croire qu'on peut vaincre la pensée unique du plombage et de la couronne remboursé si on est convaincu est d'une grande vanité.

Les conditions nécessaires sont une grande cohésion de la profession pour faire bouger les choses.
Tant que les endo seront payés une misère, l'absence de digue et le lentulo seront la règle. Et les praticiens se rattraperont sur le reste donc pas sur un onlay aussi indiqué qu'il soit.
Ce n'est qu'une question de pognon et vu que nombre de sortis de fac pleins de bonnes intentions gagnent à peine leur vie, et j'ai des exemples à la pelle, la dentisterie de merde a de beaux jours devant elle.


doctyoni

30/10/2011 à 11h59

Pas tout à fait d'accord avec toi .
Une couronne + IC sera plus financièrement intéressante :
-Pour le praticien : le rémunération de la CCM/IC est 2 à 3 fois supérieure à un simple inlay .
Les tenons fibrés collés sont moins bien rémunérés pour le praticiens que les inlays-core (SPR 50 vs SC33 ) .
(Je parle pour mon expérience perso : 0 tenons fibrés collés réalisés en faculté ...On nous donner la sensation que c'est l'acte était difficile et qu'il fallait faire des formations à milliers d'euros pour savoir en faire .... )

-Pour le patient : au niveau des remboursement , le patient préfère avec une CCM gratuite qu'un inlay payant .
Il prefere aussi un bridge dont les mutuelles va rembourser la quasi totalité qu'un implant où il va débourser de sa poche .

Il suffit de lire les sujets avec les partenariats avec les mutuelles pour le comprendre : santéclair , MGEN, ...
On ne t'encourage plus à bien faire ton travail , mais faire de la merde remboursée .


Grueavatar nptrc9 - Eugenol
Le Choixpeau magique

30/10/2011 à 12h00

Cingulum écrivait:
------------------
> Un onlay ne coûte pas plus cher au patient qu'une couronne.

Faux dans la plupart des cas.

> Un implant ne coûte pas plus cher qu'un bridge 3 dents...

Pas plus cher en valeur absolue, beaucoup plus cher en reste à charge.
Je ne fais quasiment jamais de bridge (deux-trois par an), je sais très bien dissuader un patient du bridge, et puis quand j'annonce le prix de l'implant, bah le patient décide de ne rien faire du tout.

> Je me suis rendu compte que j'étais très souvent moins cher que les praticiens
> que je forme...
> La ccm chez moi c'est 550€, l'onlay 330€, la facette entre 330 et 430€ selon le
> nombre...
> chez toi c'est combien ?

On en a déjà discuté x fois. Tu as la chance d'avoir un prothésiste au rapport qualité prix exceptionnel, je paye beaucoup plus cher que toi pour un résultat médiocre, des détourages à la truelle, des teintes pas respectées...

> Je dis pas que les patients ont des pouvoirs d'achat homogène en France,
> Mais on peut pas se planquer derrière le patient parcequ'on sait pas faire
> Factures 300€ l'onlay, il va rester 250€ à charge pour ton patient.
> Quand il reste 250€ a charge sur une couronne, tu proposes pas la couronne a ton
> patient ?

Facture 300 euros l'onlay ceram, il va rester 250€ à charge à ton patient, dans ma patientèle ça veut dire qu'une majorité va me dire non, si en plus il y a plusieurs dents à soigner c'est 99 sur 100 qui refusent.
En moyenne à vue de nez, un onlay ceram chez un prothésiste c'est 115 euros, ça fait une marge brute de 185 euros.
Première séance, examen clinique, explications blah blah blah, devis, 45 minutes.
Deuxième séance (quand le patient revient, on va dire qu'ils acceptent tous pour simplifier le calcul), anesthésie, éviction carieuse, pose de la digue, remontée de marge au composite, préparation, empreinte, temporisation, 45 minutes au grand minimum.
Troisième séance, anesthésie, dépose de la temporisation, nettoyage, pose de la digue, préparation adhésive de la pièce, préparation adhésive de la dent, mise en place de la pièce, retrait des excès, retouche éventuelle de l'occlusion, trois heure de lampe photo dans tous les sens, 45 minutes.
Ca fait donc 3x45 minutes soit 2h15 pour 300 euros et 115 euros de prothésiste, à ce tarif là beaucoup de cabinet sont à zéro, autant faire des détartrages !

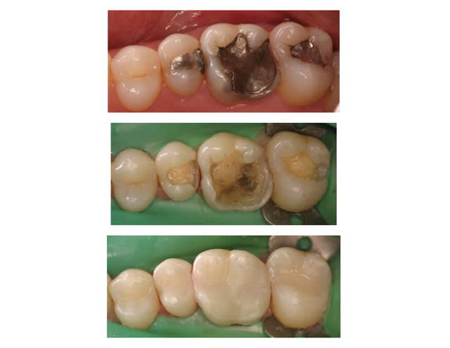
Après on peut discuter de pureté de la pratique, de morale, mais la vérité c'est que y a pas beaucoup de situations d'onlay (et je parle même pas des inlays), qui ne pourraient pas être traitées par des compos directs (comme l'a montré Céramik un peu plus haut). Et un compo direct, c'est souvent beaucoup plus économe de tissus qu'une restauration indirecte quelle qu'elle soit.


> Pourquoi les dentistes ils ont des onlay dans leur bouche, et ils en parlent
> même pas à leur patient ?

Les dentistes ils ont ont souvent des onlays EN OR dans leur bouche. Je sais pas toi, mais moi j'ai un taux d'échec de 100% sur toutes mes propositions de restauration en or, pourtant c'est ce que je voudrais pour ma bouche, et on ne peut pas me reprocher de ne pas être convaincu.

> J'ai 10 ans d'exercice. Je pense que je soigne mieux mes patients aujourd'hui
> qu'il y a 10 ans...
> Et je me forme pour que dans 10 ans ça soit a nouveau vrai...

Sur les deux dernières années, j'ai plus de 350 heures de formation continue, ça m'a occupé pas mal de dimanches et coûté plus que mon bénef, j'ai 15 jours de formation déjà programmées pour 2012, ça fait vachement progresser la pureté dentistique, mais c'est pas ça qui fait accepter les plans de traitement par les patients. Les IC+CCM et le TP mutuelles par contre....


003 penrd2 - Eugenol
Cingulum

30/10/2011 à 12h27

En vous lisant, Je me demande comment j'arrive a payer mon cone beam, ma secrétaire et mon assistante et en plus je gagne ma vie...

Comparer le SC33 et le SPR57 sur le prix, c'est biaisé !
Le SC33 c'est en fin de séance endo, dans la séance, ça prend 5 min ! SC33 / 5 min, SPR 57 c'est 2 rdv, Empreinte, labo...
Faite le compte, mais sincèrement !

>"Pas plus cher en valeur absolue, beaucoup plus cher en >reste à charge.
>Je ne fais quasiment jamais de bridge (deux-trois par an), >je sais très bien dissuader un patient du bridge, et puis >quand j'annonce le prix de l'implant, bah le patient décide >de ne rien faire du tout."

Si on compte SPR50 sur des dents saines, on triche, un bridge 3 dents HN, et une couronne sur implant, c'est l'implant le moins cher...


Choipeaux si tu comptes la première consulte tu biaises aussi...Il ne faut compter que les 2 séances de réalisations...
tu prends le cas extrême ou tu remontes la marge au compo...

dans 90% des cas, c'est 2 X 30 minute pour un Onlay
Anesthésie, eviction, empreinte, temporisation 30Min
Anesthésie, digue, collage, occlusion 30min

Bien sur, avec assistante 100% des minutes...
même à 1h15, a 300€ tu es à 240€ de l'heure de CA...


Et commence par des onlay compo, propose les a 270€... 250€ même !




--
Dr Cingulum
-----Ancien interné----
----Attaché à l'apex----
http://www.clinic-all.fr/ formation par passion


doctyoni

30/10/2011 à 12h53

Cingulum écrivait:
------------------
> En vous lisant, Je me demande comment j'arrive a payer mon cone beam, ma
> secrétaire et mon assistante et en plus je gagne ma vie...
>
> Comparer le SC33 et le SPR57 sur le prix, c'est biaisé !
> Le SC33 c'est en fin de séance endo, dans la séance, ça prend 5 min ! SC33 / 5
> min, SPR 57 c'est 2 rdv, Empreinte, labo...
> Faite le compte, mais sincèrement !
>

90% des praticiens que j'ai eu l'occasion de rencontre scelle IC/CCM en même temps pour de l'unitaire . Il ne faut pas se leurrer .
Le compte est déjà fait


On ne dit pas qu'il n'est possible de bien soigner les gens .
Si tu t'installes dans des grands quartiers parisiens ou des déserts médicaux . Tu fais clairement ce que tu veux .
Dans le premier cas de figure l'aspect financier n'est pas un problème , dans le second t'as tellement de demande que tu peux te permettre d’écrémer la patientele .

Là où la diffulté réside , ce sont les omnipraticiens que j'appelle lambda qui attendent le patient et qui sont soumis à leurs impératifs financiers et leurs désidératas sous peine de le perdre.
Ils vont essuyer des "Docteur ,c'est trop cher un implant . Un bridge ma mutuelle le rembourse "
Si ils ne veulent pas mettre la clef sous la porte , ils ne peuvent pas refuser indéfiniment de faire des bridges .

Lorsque tu dis que les dentistes ont tous des inlays , c'est surtout parce que l'on est dento-conscient .
Dans la tete de la majorité des gens , un bon dentiste n'est pas celui qui va faire un inlay avec des sillons colorés . Mais c'est le dentiste rapide , pas cher , qui anesthésie bien . Et si il sait blanchir les dents c est le roi du pétrole.







Ico v for vendetta08 jzhpep - Eugenol
Arnaud Go

30/10/2011 à 12h57

J'ai des noms d'intervenants sur ce forum qui vivent chez leurs parents car ils ne joignent pas les deux bouts. Bon, je ne les donnerai pas de toute façon.

Il y a aussi des praticiens qui ont laser, Cerec, cone-beam et qui réussissent à rouler en Panamera.

Ce nombrilisme est la cause de tous les maux qui frappent l'odontologie française et explique que la situation actuelle n'est pas près de s'arrêter.


003 penrd2 - Eugenol
Cingulum

30/10/2011 à 12h57

doctyoni écrivait:
------------------

> Lorsque tu dis que les dentistes ont tous des inlays , c'est surtout parce que
> l'on est dento-conscient .
> Dans la tete de la majorité des gens , un bon dentiste n'est pas celui qui va
> faire un inlay avec des sillons colorés . Mais c'est le dentiste rapide , pas
> cher , qui anesthésie bien . Et si il sait blanchir les dents c est le roi du
> pétrole.



Donc c'est éternellement la faute du patient si il est pas dento conscient.... pfff...


si ça se trouve on est voisin :p


ce débat est stérile....
Je l'ai entendu, discuté trop de fois...







--
Dr Cingulum
-----Ancien interné----
----Attaché à l'apex----
http://www.clinic-all.fr/ formation par passion


doctyoni

30/10/2011 à 13h22

Je ne dis pas que c'est de la faute du patient .
Mais je dis que ce n'est pas tjs la faute du praticien .
J'ai décidé de soigner exclusivement sous digue et de faire au mieux .
Lorsque je fais une endo molaire , que je prends plus d'une heure pour faire un soin de qualité sous digue avec plusieurs radio (pré, per post) , et qu'a la fin le patient te fait la remarque .
"L'ancien praticien m'a dévitalisé la molaire de l'autre coté en moins de 30 min sans le plastique vert ,c était bien c’était rapide . Pourquoi avec vous c est lent? Pourquoi autant de radio? Pourquoi ? " .


Ce n'est pas un débat stérile au contraire .
Suffit de voir comment les praticiens s'entretuent à signer des torchons de papier avec les mutuelles pour le comprendre .

Dernier conversation que j'ai eu avec un copain :
Carie juxta pulpaire , 2 attitudes possibles :
-La mienne : essayer de conserver la vitalité pulpaire et si le patient a mal , je ferais l'endo .
-Celle des praticiens lambda : faire une endo à la va vite

Aux yeux du patients , même avec des explications claires limpides . Si il a mal , c'est que t'as mal fait ton boulot .




king_zoulou

30/10/2011 à 13h35

Cingulum écrivait:
------------------


> dans 90% des cas, c'est 2 X 30 minute pour un Onlay
> Anesthésie, eviction, empreinte, temporisation 30Min
> Anesthésie, digue, collage, occlusion 30min
>

IC + CCM en France, la majorité des cas c'est quoi ?

Pénétration contrôlée fraise boule. Passage des points de contacts avec une touati. Congé périphérique avec une fraise congé. Biseau avec de nouveau la touati. Polissage de la préparation avec une congé bague rouge, puis jaune puis pourquoi pas à l'insert diamanté.
Passage d'une lime dans la racine pour commencer, gates, largo, radio pour vérifier qu'on est bien dans l'axe, foret, de nouveau radio pour vérifier qu'on soit pas parti de travers.
On choisit ses portes-empreintes pendant que nos deux fils de rétractions font leur effet le temps qu'il faut. On enlève le premier fil, on prend l'empreinte.
Une fois pris, on vérifie l'empreinte et on prend l'empreinte de l'antagoniste. On enregistre l'occlusion par un moyen x ou y.
On fait sa dent provisoire et on renvoie le patient chez lui.
La séance suivante, on enlève la provisoire, on nettoie la dent à l'insert, on fait une radio IC en place, si c'est bon, on le scelle. On attend que le ciment durcisse, pendant ce temps on évide sa provisoire. On prend une nouvelle empreinte et blablablablabla

Non, IC+CCM en France, c'est bien souvent grosse fraise boule pour mettre la dent à ras, foret directement sur le bague bleu, empreinte mordu. Grosso modo, 10 minutes. Séance suivante, on essaie pendant que l'assistante prépare le ciment, on sèche, on colle. Un coup de papier à articuler, un gros coup de grosse fraise boule sur la sur-occlusion. 10 minutes de plus.
Que ceux qui n'ont pas vu ça très souvent me jettent la première pierre.

Les cabinets dentaire en France, ce n'est pas majoritairement ça:


Et cela m'attriste profondément.


003 penrd2 - Eugenol
Cingulum

30/10/2011 à 13h51

doctyoni

c’est là ou tu te trompes...
le patient se fou des moyens techniques mis en jeux, c'est normal.
par contre c'est notre job d'expliquer pourquoi faire un onlay quand c'est possible, pourquoi on met la digue, pourquoi on garde la dent vivante... la finalité est importante pour nous et pour le patient... le moyen d'y arriver ça ne regarde que nous...

Je ne fait que du tout céram, et j'aimais a croire que le patient y serait sensible...
Je n'en parle même plus, c'est marqué sur le devis point barre.
Par contre le patient, se rend compte que le résultat est mieux que ce qu'il avait eu jusque là... Et il t'adresse du monde
Les onlays, les patients sont pas bête, conserver la vitalité, gagner du temps, reculer l'échéance de la couronne, ils comprennent... si ils comprennent pas c'est surement que c'est mal expliqué...

Franchement a coté du Cabinet exposé au dessus le miens est très lambda...
demandez à ceux qui sont venu manger un bout a Villefranche... Alhoun, HallBoy... mon cabinet n'a rien d'exceptionnel....


--
Dr Cingulum
-----Ancien interné----
----Attaché à l'apex----
http://www.clinic-all.fr/ formation par passion


doctyoni

30/10/2011 à 14h06

Je n'ai pas la prétention de dire que j'ai la verité absolue .
Je te dis qu'un patient , de par son vécu dentaire , va te comparer.
Il va comparer les devis , la vitesse à laquelle tu travailles , la douleur aprés nos interventions .
Excepté pour les céramiques antérieures , il ne verra pas la différence entre une belle endo et une endo à la va vite , ni entre une couronne asiatique au joint douteux et une jolie couronne faite par un prothésiste francais adapté en postérieur.
Meme si pour beaucoup le prix du devis va jouer sur l'acceptation du plan de traitement , certains patients vont au déla .
Un praticien d'exception ,devant un patient peu ou pas motivé , sera confronté aux même difficultés


Grueavatar nptrc9 - Eugenol
Le Choixpeau magique

30/10/2011 à 14h50

Cingulum écrivait:
------------------
> Je ne fait que du tout céram, et j'aimais a croire que le patient y serait
> sensible...
> Je n'en parle même plus, c'est marqué sur le devis point barre.
> Par contre le patient, se rend compte que le résultat est mieux que ce qu'il
> avait eu jusque là... Et il t'adresse du monde

Je me souviens d'un patient tout récent. Un dentiste voulait lui couronner une dent cassée. D'après son discours, j'ai bien compris que le gars cherchait à trouver le praticien qui lui ferait le meilleur prix. Et tout était à l'avenant, "est-ce que c'est fait en France votre prothèse, c'est qui votre prothésiste" "c'est garanti combien de temps ?" "c'est remboursé la brosse électrique que vous me conseillez ?", bref, la caricature.
Je lui ai proposé CCM ou CCC en insistant bien sur le fait que la différence résidait surtout au niveau de l'esthétique. "m'en fiche de l'esthétique, moi je veux la moins chère"
Je lui fais un devis "d'accord, je vais réfléchir et je vous rappelle", avez vous votre carte de mutuelle ? Ah tiens, c'est une mutuelle avec laquelle je fais le TP, on va pouvoir regarder quel est votre remboursement, bon bah ça fait cinq euros à votre charge. "Ah d'accord, dans ce cas je suis OK, on peut prendre tout de suite le rendez vous ?"
Après la pose de la CCM, bien moche comme toutes les CCM, il me fait "c'est normal que ça soit pas comme les dents d'à côté ?"
Grrrrr

Pour ça, j'ai bien pensé à ne faire que de la CC au moins de PM à PM, mais là les honoraires sont plus élevés, et les patients refusent...

> Les onlays, les patients sont pas bête, conserver la vitalité, gagner du temps,
> reculer l'échéance de la couronne, ils comprennent... si ils comprennent pas
> c'est surement que c'est mal expliqué...

"Non ça ne me dérange pas de perdre la dent, c'est une dent du fond, ça se voit pas".
"Oui, bon d'accord, mais là cette dent ne me fait pas mal de toute façon. On peut pas faire un plombage ?"
"D'accord je vais voir avec la mutuelle et je vous rappelle".
>
> Franchement a coté du Cabinet exposé au dessus le miens est très lambda...
> demandez à ceux qui sont venu manger un bout a Villefranche... Alhoun,
> HallBoy... mon cabinet n'a rien d'exceptionnel....

Les cabinets avec un CBCT, deux assistantes, un praticien qui a pas mal de publis et déjà sa propre société de formation, tout ça moins de 5 ans après l'ouverture, je crois quand même que c'est assez exceptionnel !


200106 10150128247663588 709988587 6466236 5598391 n d7mksb - Eugenol
hallboy

30/10/2011 à 15h37

Des patients qui viennent de Marseille pour se faire detartrer!!!


1...456...