Cookie Consent byPrivacyPolicies.comMCI : consentement éclairé spécifique ? - Eugenol

MCI : consentement éclairé spécifique ?

dentiste20°

17/10/2011 à 14h41

Bonjour, tout le monde

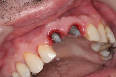
J'ai prévu le remplacement d'une incisive centrale par extraction, implantation, mise ne charge immédiate. J'ai bien informé le patient sur le taux de succès inférieur à la mis en charge différée, et sur le fait que la MCI n'est décidée qu'au dernier moment si le couple est suffisant.
Il m'a bien compris mais j'aimerai le mettre au clair par écrit.

Est ce que vous faites signer un consentement spécifique à cet acte ?

Merci d'avance et bonne jounée.


Logo m4n3gc - Eugenol
drmarcus

17/10/2011 à 19h02

Même si cela est admis je crois que la MCI ne fait toujours pas partie des données acquises de la science.
Traduction: Responsabilité pleine et entière consentement ou pas. Ensuite cela dépend de la "compétence" du praticien.
En gros si c'est ta première ne foires pas! Car comment etre compétent sans pratiquer? MDR
Non sans blague si tu as l'habitude de poser c'est sans problème.
Donc consentement habituel!

--
"La vis est à l'implant ce que la carie est à la dent!" (Pozzi)


ju

17/10/2011 à 22h03

Bonjour,
Mise en charge ou mise en esthétique?
C'est sur que cela modifie les taux de succès.

Bonne chir!


dentiste20°

17/10/2011 à 22h59

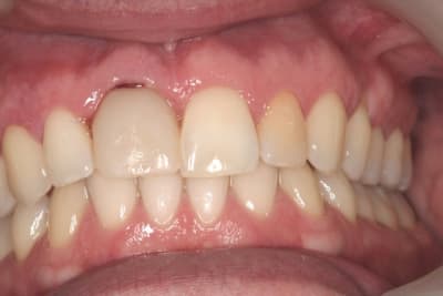
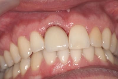
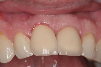
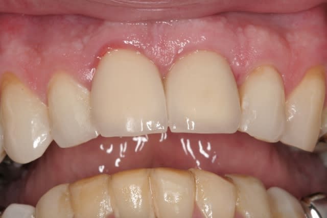
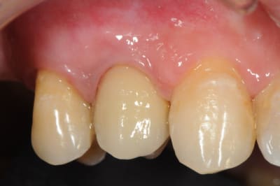
Mise en esthétique, tu as raison : pas de contacts occlusaux ni en latéralité ni en OIM.


3f3boxni50k58rq7e9ce9ddqrxgk - Eugenol
dentiste57

18/10/2011 à 01h43

en gros c'est plus une dent, mais une vis de cica!

je rigole, mais c'est ce que nous devrions toujours faire.


3f3boxni50k58rq7e9ce9ddqrxgk - Eugenol
dentiste57

18/10/2011 à 01h51

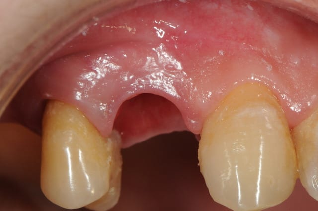
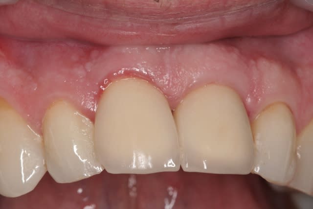
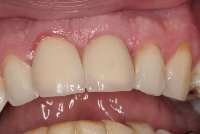
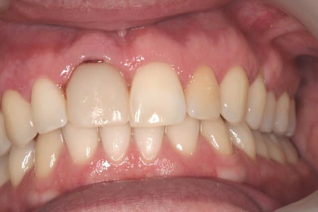
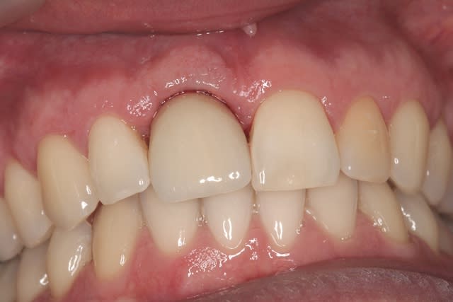
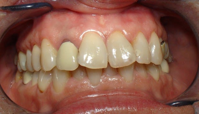
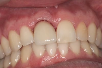
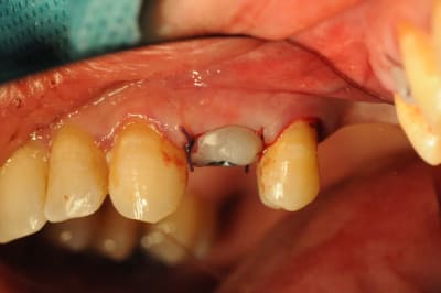
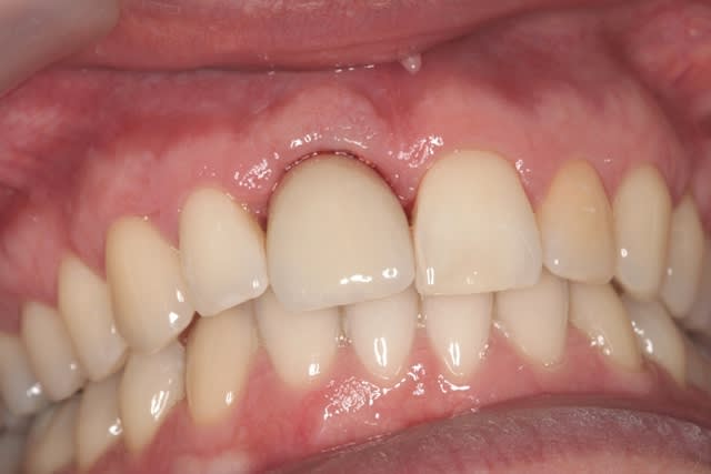
juste pour illustrer mon propos....
ici une MCI ou plutôt, devrais je dire une vis de cica anatomique immédiate.

3 apr s extraction s1jkeh - Eugenol
4 implant et couronne provisoire qiko4e - Eugenol
Dsc 2562 ic3m2l - Eugenol
Dsc 2578 psaazp - Eugenol
Dsc 2605 jiui6c - Eugenol
1 periotome q3dcej - Eugenol
2 periotome nm2c7e - Eugenol
Dsc 2553 fer8mn - Eugenol
Dsc 2594 u4nfxj - Eugenol
Dsc 5610 hcsqri - Eugenol
Dsc 5946 qgy5xn - Eugenol
Dsc 5947 btamhf - Eugenol
Dsc 6159 dzl2hw - Eugenol

Smile beach jgh0a1 - Eugenol
Céramik

18/10/2011 à 08h06

dentiste57 écrivait:
--------------------
> juste pour illustrer mon propos....
> ici une MCI ou plutôt, devrais je dire une vis de cica anatomique immédiate.

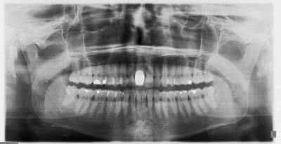
Jolie, tu as un radio post-op ?
J'aurais pas placé comme cela, le "gap" implant os trop large, j'aurais enfoui...mais je ne suis qu'un p'tit poseur de céram, avec quelques implants autour...

--
Céramik


Blason dql7mj - Eugenol
growler

18/10/2011 à 09h21

dentiste57 écrivait:
--------------------
> en gros c'est plus une dent, mais une vis de cica!
>
> je rigole, mais c'est ce que nous devrions toujours faire.



+1


Casque beotien a3jo39 - Eugenol
beotien

18/10/2011 à 09h54

growler écrivait:
-----------------
> dentiste57 écrivait:
> --------------------
> > en gros c'est plus une dent, mais une vis de cica!
> >
> > je rigole, mais c'est ce que nous devrions toujours faire.
>
>
>
> +1


pas du tout d'accord je trouve que c'est une tres grosse prise de risque pour la pérénité de l'implant.

c'est mettre de la résine en contact avec le sang, et ce n'est pas étanche, ni stérile

Je vais peut etre commencer à le faire car léone vient de commercialiser des faux moignons en peek

c'est aussi le but du petit logiciel qu'on bidouille (cf. les 2 dermières vidéos de patrick) afin de préparer la provisoire en amont pour pouvoir suturer sur le fx moignon en titane ou en peek





Scan10030 ukikhq - Eugenol
vava

18/10/2011 à 10h35

beotien écrivait:
-----------------
> growler écrivait:
> -----------------
> > dentiste57 écrivait:
> > --------------------
> > > en gros c'est plus une dent, mais une vis de cica!
> > >
> > > je rigole, mais c'est ce que nous devrions toujours faire.
> >
> >
> >
> > +1
>
>
> pas du tout d'accord je trouve que c'est une tres grosse prise de risque pour la
> pérénité de l'implant.
>
> c'est mettre de la résine en contact avec le sang, et ce n'est pas étanche, ni
> stérile
>
> Je vais peut etre commencer à le faire car léone vient de commercialiser des
> faux moignons en peek
>
> c'est aussi le but du petit logiciel qu'on bidouille (cf. les 2 dermières vidéos
> de patrick) afin de préparer la provisoire en amont pour pouvoir suturer sur le
> fx moignon en titane ou en peek
>
>
béo c'est risqué mais tu vas le faire???????


3f3boxni50k58rq7e9ce9ddqrxgk - Eugenol
dentiste57

18/10/2011 à 11h19

Céramik écrivait:
-----------------

> Jolie, tu as un radio post-op ?

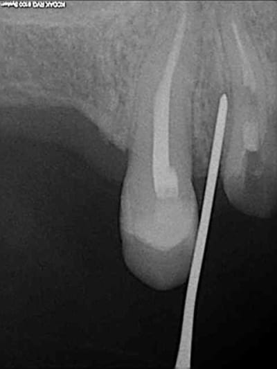
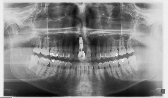
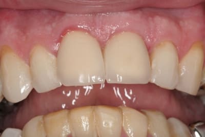
aussitôt demandé, aussitôt fait !!

(j+1 an)

R18 naqzzj - Eugenol

Photo pluton1b h9n4ea - Eugenol
pluton

18/10/2011 à 12h22

joli D57...;-)

çà manque un peu de cas en ce moment...alors en voilà un ptit au passage...

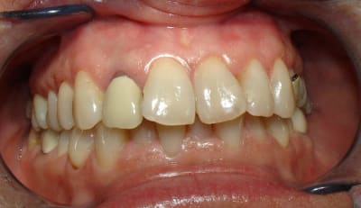
11 avec résorption interne
EII avec MCI sur du dentium (4.5/14) comblement du gap vestibulaire avec du kasios tcp (très constant dans les résultats...et très économique)

pas de photos de chir par contre...j'ai du les effacer par erreur...grrrr...

la prothèse d'usage a été réalisée par ma petite associée...mais j'étais là pour superviser et faire quelques photos...;-)

Avant ufs2h1 - Eugenol
Postop x2dmol - Eugenol
Img 3106 d2rlpg - Eugenol
Planif eampkx - Eugenol
Img 3033 sldzij - Eugenol
Img 3107 u8tlsy - Eugenol

Blason dql7mj - Eugenol
growler

18/10/2011 à 12h34

pourtant béo, l'état gingival obtenu est similaire à celui que l'on observe au retrait d'un pilier de cicat usiné. Perso je polis parfaitement le composite et ensuite j'y rajoute une couche de glaçage polymérisé.

Il est certain que si le logiciel permet de pouvoir usiner au moins un pilier de cicat personnalisé ce serait très pratique.


Scan10030 ukikhq - Eugenol
vava

18/10/2011 à 15h43

dentiste57 écrivait:
--------------------
> Céramik écrivait:
> -----------------
>
> > Jolie, tu as un radio post-op ?
>
> aussitôt demandé, aussitôt fait !!
>
> (j+1 an)

tu as perdu pas mal d'os!!


ptitjeune

18/10/2011 à 16h38

pluton écrivait:
----------------


> la prothèse d'usage a été réalisée par ma petite associée...mais j'étais là pour
> superviser et faire quelques photos...;-)



magnifique on voit pas la différence et photos supers.


Casque beotien a3jo39 - Eugenol
beotien

18/10/2011 à 17h30

growler écrivait:
-----------------
> pourtant béo, l'état gingival obtenu est similaire à celui que l'on observe au
> retrait d'un pilier de cicat usiné. Perso je polis parfaitement le composite et
> ensuite j'y rajoute une couche de glaçage polymérisé.
>
> Il est certain que si le logiciel permet de pouvoir usiner au moins un pilier de
> cicat personnalisé ce serait très pratique.

Le logiciel sait le faire! Il va savoir faire beaucoup plus de chose encore

>



ensuite le fichier STL tu l'imprimes ou tu le fais couler
imprimer : je ne sais pas en quoi?
couler: cela augmente le coût

Actuellement la solution serait plutôt un pilier transvissé car je peux calculer l'épaisseur de la gencive, mais je n'ai pas encore décidé

Pour la provisoire en composite cela doit être opérateur dépendant! j'ai abandonné


Blason dql7mj - Eugenol
growler

18/10/2011 à 18h36

super !!!


Logo m4n3gc - Eugenol
drmarcus

21/10/2011 à 21h28

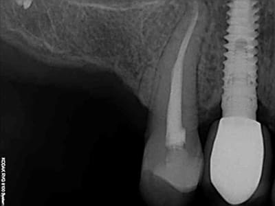
Tiens pour agrémenter! Cet Après midi une extraction implantation. Je n'ai pas oser la mise en charge immédiate si certains l'aurait fait lachez vous.
J'ai fait sauter la table vestibulaire exprès car je ne vois pas comment elle aurait pu etre vascularisée et à part me faire un séquestre osseux et des ennuis j'ai reconstruis.
Regardez les images;
Si certains n'auraient pas extrait argumentez pour traiter en palatin et la felure englobé par le granulome m^me si ce n'est pas mis en évidence sur le scan.
En plus vous voyez le nouvel implant Leone et son indication majeure, c'est vrai que sa mise en place est super aisée, surtout comme celà en palatin.

--
"La vis est à l'implant ce que la carie est à la dent!" (Pozzi)

Dsc06184 n5ho2y - Eugenol
Dsc06097 meag8d - Eugenol
Dsc06108 kjhwu2 - Eugenol
Dsc06182 x656lp - Eugenol
Dsc06144 dybpqo - Eugenol
Dsc06149 wmlcmc - Eugenol
Dsc05140 en4ebe - Eugenol
Dsc06161 p2wbd8 - Eugenol
Dsc06181 cffgta - Eugenol

Smile beach jgh0a1 - Eugenol
Céramik

21/10/2011 à 23h49

drmarcus écrivait:
------------------
>> j'ai reconstruis.
>

Avec quoi ?


--
Céramik


Logo m4n3gc - Eugenol
drmarcus

22/10/2011 à 09h30

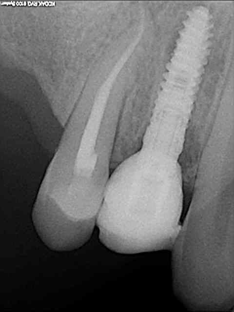
Os allogénique Tbf + Prf après rinçage abondant au métronidazole. Recouvert d'une membrane Jason Pericardum.
Pour les tissus moux Jason fleece enrobé de 2 Mbnes de Prf; soit pour le "bouchon" 2 épaisseur de prf en dessous et au dessus de la Jason fleece.
Voilà pour le cocktail mon Céramik; je reproduis depuis 5 ans avec assez de réussite.

--
"La vis est à l'implant ce que la carie est à la dent!" (Pozzi)


Photo pluton1b h9n4ea - Eugenol
pluton

22/10/2011 à 09h57

joli drmarcus

moi non plus, vu le défaut osseux, je n'aurais pas fait de MCI

je parle bien de défaut, si c'est l'infection qui bouffe la corticale...mais si c'est toi qui l'enlève à la pince gouge, c'est différent...
perso, je préfère conserver la paroi osseuse, même si je ne me fais pas trop d'illusion sur sa persistance...au moins, elle me maintient mon biomat un certain temps...
chose qui a été faite dans ce cas...désolé j'ai perdu les photos de la chir, on ne voit que la phase prothétique

le biomat est du kasios tcp, on voit quelques granules qui s'éliminent de la gencive
une série de photo le jour de la pose, puis 15j après (prothèse réalisée par mon confrère)

Img 3018 rccxu5 - Eugenol
Img 3019 opg6a4 - Eugenol
Img 3020 cfor6c - Eugenol
Img 3031 xzaslk - Eugenol
Img 3032 jojp8s - Eugenol
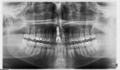
Pano u7x6bm - Eugenol

Logo m4n3gc - Eugenol
drmarcus

22/10/2011 à 11h53


C'est du beau aussi Pluton Dommage les fm :-)))) Les granules j'aime pas surtout au désenfouissement celles pas ostéointégrées se foutent partout dans les tissus, au moins l'allogène ça disparait.
Quant à la corticale c'est exprès mais dans ce cas pas de gouge c'etait tout mou et c'est partit à la curette alors en tassant le matériau le résultat aurait été épouvantable.
--
"La vis est à l'implant ce que la carie est à la dent!" (Pozzi)


Photo pluton1b h9n4ea - Eugenol
pluton

22/10/2011 à 11h59

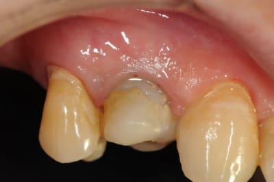
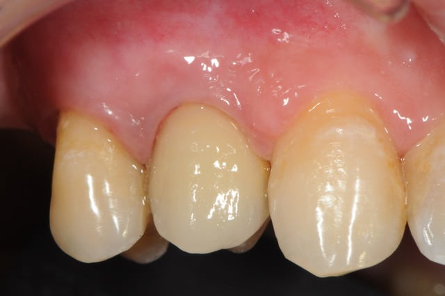
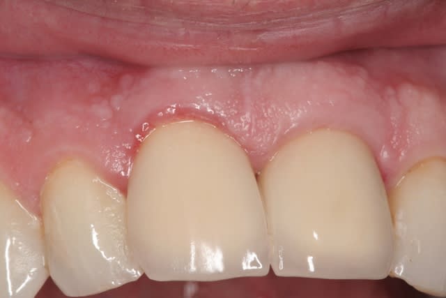
le hasard fait parfois bien les choses...patient revu ce matin pour une "bricole" sur une restauration postérieure...

il est intéressant de voir la maturation des tissus mous...et en plus VS des différences au niveau de l'hygiène, pas mal secteur 2 mais perfectible secteur 1...
ici on est à 3 mois post pose prothèses d'usage...la photo, prise un peu décalée, donne l'impression d'une différence de hauteur des collets, mais il n'en est rien (ou alors très peu...)

quand même content du résultat...;-) même si j'ai (lourdement)insisté pour que l'hygiène soit un peu mieux suivie...

Img 3108 haqvx5 - Eugenol
Img 3109 susrjd - Eugenol

Logo m4n3gc - Eugenol
drmarcus

22/10/2011 à 13h55

De toute façon on perd de l'os en hauteur, c'est admis et démontrer après il faut anticiper. Le gros avantage avec le système Leone (en plus il existe un implant conique) est qu'il n'existe pas de limite d'enfouissement car à terme l'ensemble (implant + fm) se comportera comme un implant monobloc. du fait on peut faire croire à une remontée osseuse soit par de l'os lui même soit avec du conjonctif.
La différence visuelle en photo est l'inflammation gingivale(je pense du au contraste) qui ne se résorbera que lors de la totale élimination des particules non ostéo intégré ou d'une étanchéité meilleure de la vis.
Sinon c'est super!

--
"La vis est à l'implant ce que la carie est à la dent!" (Pozzi)


Photo pluton1b h9n4ea - Eugenol
pluton

22/10/2011 à 16h08

je suis pas trop inquiet pour l'étanchéité de ce type de connexion (cône à 11°)...c'est peut être encore quelques granules qui finissent de s'éliminer, et plus certainement l'hygiène un peu moins bonne...

reste que ce type d'intervention est un véritable challenge...et plus encore dans le secteur esthétique...
n'oublions pas qu'il s'agit ici d'une double EII avec MCI...

peut être que l'étanchéité joue un rôle, c'est vrai que j'obtiens des résultats qui me semblent plus prévisibles avec les dentium qu'avec les ID...alors avec des Leone, çà serait peut être encore mieux...à condition d'avoir une aussi bonne adaptation des piliers peek qu'avec les piliers titane (encore que, tu me diras, rien n'empêche de mettre en provisoire des piliers 360° titane...mais çà augmente +++ le coût VS un simple pilier plastique ou peek...ah oui, tu vois, je suis toujours aussi "économe" pour le portefeuille de mes patients...)


12