Cookie Consent byPrivacyPolicies.comLa tenteriez vous? - Eugenol

La tenteriez vous?

nadeemmontpellier

29/10/2011 à 16h06

J`ai fais pas mal d`extractions de dent de sagesses enclavées mandibulaires. J`ai extrait que 2 incluses maxillaires et c`était sous anesthésie générale.

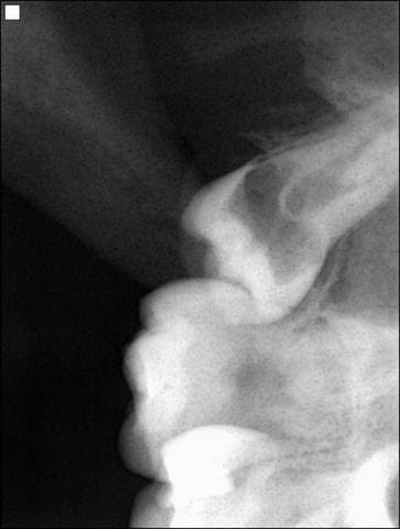
Que pensez vous de cette 18 dont une cuspide apparaît en bouche? Patiente de 18 ans. Que serait votre abord chirurgical face au risque de la projeter dans le sinus, ou comment gérer la couronne cariée

Io1 01 gz5ac2 - Eugenol

Image001 e0kg9q - Eugenol
clemsdent

29/10/2011 à 16h22

t 'as pas de pano?
je fais pêter la couronne avec l'élevateur ou davier, ensuite la racine viendra toute seule (en tournant l'élévateur).

risque sinus pour moi relativement nul, à moins que tu as d'autres infos sur une pano?


levm

29/10/2011 à 17h16

Aucun probleme .
Lambeau vestibulaire , alvéolectomie à la fraise boule , coup de Saint desmotome...


Utilisateur banni

29/10/2011 à 17h19

D'après la rx la couronne est palatinée la racine ets donc distalée, lambeau fenêtre osseuse vestib et luxation par élévation.


Smile beach jgh0a1 - Eugenol
Céramik

29/10/2011 à 17h29

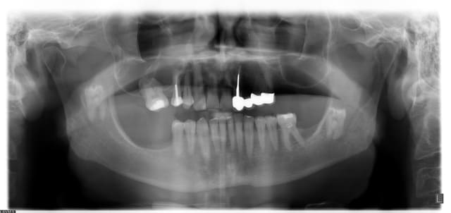
1-Pano
2-L'exo ne semble pas si compliquée, mais pas facile si c'est ta 3e....

--
Céramik


gad

29/10/2011 à 19h45

Pour la 18 , tu n' as aucun risque ; l' essentiel , c'esr de dégager suffisamment pour qu' elle soit accessible ; puis élévateur et/ou davier baionnette avec un mouvement arrondi vestibulaire ; quant au sinus , aucun risque a priori , c'est trop postérieur !


nadeemmontpellier

30/10/2011 à 05h01

Merci a tous pour vos réponses. Ce sera pano puis je la programmerai. Je suis un peu plus rassuré pour m`y lancer.


 mg 0207 xwjxcl - Eugenol
Tillc

30/10/2011 à 17h30

oui tu la luxe bien en vestibulaire et elle descend toute seule celle la


flodec

30/10/2011 à 20h03

Sinon y'a le stomato....


Little shop of horrors brzqjx - Eugenol
chatondecarte

30/10/2011 à 20h32

flodec écrivait:
----------------
> Sinon y'a le stomato....


Non mais arrêtez de croire que les stomatos sont mieux formés que nous pour les extract, les implants ou tout acte chir... J'ai racheté le cabinet d'un sto, les soins (en particulier les implants) y sont catastrophiques.
Si les sto font les extract c'est pas parce qu'ils sont plus fort que nous, c'est juste parce qu'ils sont secteur 2..


marcus

30/10/2011 à 21h57

+1

et qu'ils sont en ville !

Parce qu'en milieu rural ........ c'est aide toi et personne t'aidera !


flodec

30/10/2011 à 22h21

chatondecarte écrivait:
-----------------------
> flodec écrivait:
> ----------------
> > Sinon y'a le stomato....
>
>
> Non mais arrêtez de croire que les stomatos sont mieux formés que nous pour les
> extract, les implants ou tout acte chir...

Je n'ai jamais dit ça


flodec

30/10/2011 à 22h25

Mais le stomato sera mieux rémunéré que toi meme si tu travailles mieux que lui. Si notre systeme fonctionnait sur la base de la méritocratie les confreres ne passeraient pas leur temps à se plaindre sur eugenol ou ailleurs.


Utilisateur banni

30/10/2011 à 23h08

flodec: bien dit


ad-hugo

31/10/2011 à 00h25

10 minutes chrono!


Casque beotien a3jo39 - Eugenol
beotien

31/10/2011 à 11h53

ad-hugo écrivait:
-----------------
> 10 minutes chrono!

pfff! tu prends un café entre l’anesthésie et l'exo?


king_zoulou

31/10/2011 à 19h12

Et puis surtout, faut arrêter d'adresser au stomato quand il y a des confrères qui ont un exercice de chirurgie exclusif :p


gad

31/10/2011 à 21h41

Bon , nademmontpellier , tu nous tiens au '' jus '' ... quand tu l' auras virée , cette 18 ... !


nadeemmontpellier

01/11/2011 à 05h08

Bien sur vous serez tenus au courant. Pas avant 10 jours le rendez vous...


DMD

02/11/2011 à 01h58

Hello nadeem,

A priori la difficulté de la dds réside dans son accessiblité et la protection postérieure :

- donc prévoir lambeau avec décharge mésiale, souvent la dds max est difficile à voir de visu, surtout que la tienne est bien enclavée sous la 7.
- longue lame ou ecarteur dautrey pour protéger la region post tubérositaire( eviter les projections )

- l'ostéotomie en general se fait manuellement,selon la qualité tres molle de l'os
- apriori aucun besoin de morceller la dent, l'élever en rotation postérieure, syndesmotome faucille faisant le ' tour de rein de la la dds ) de l'avant vers l'arriere et hop....

Bref un cas d'école de la dds maxillaire si les bonnes précautions sont prises.. Mais rapidement délicat si elle s'accroche.

bon courage.
B.


nadeemmontpellier

13/11/2011 à 12h23

Après coup je me demande même pourquoi j`ai eu un instant d`hésitation. C`était plié en 25 minutes. La coque osseuse recouvrant la couronne a été enlevée avec le syndesmotome et la dent est venue en une rotation franche de l`élévateur droit.

L`os était très mince mais suffisamment costaud pour y prendre appui en mésial. L`excès de prudence dans certains actes surtout de chirurgie est souvent un frein. Discerner les risques aussi minimes soient ils, cela ne vient qu`avec l`experience.

Merci encore a tous pour vos reponses!!


gad

13/11/2011 à 13h41

Content pour toi ! Bravo ! Nunc est bibendum ( c'est maintenant qu' il faut boire ! ) ! Champagne pour tout le monde !


Casque beotien a3jo39 - Eugenol
beotien

13/11/2011 à 17h09

nadeemmontpellier écrivait:
---------------------------

> L`excès de prudence dans certains actes surtout de chirurgie est souvent un frein.


félicitations
mieux vaut un excès de prudence que son contraire!


Images eb1m5g - Eugenol
tonio

23/11/2011 à 23h11

DMD écrivait:
-------------
> Hello nadeem,
>
> A priori la difficulté de la dds réside dans son accessiblité et la protection
> postérieure :
>
> - donc prévoir lambeau avec décharge mésiale, souvent la dds max est difficile à
> voir de visu, surtout que la tienne est bien enclavée sous la 7.
> - longue lame ou ecarteur dautrey pour protéger la region post tubérositaire(
> eviter les projections )
>
> - l'ostéotomie en general se fait manuellement,selon la qualité tres molle de
> l'os
> - apriori aucun besoin de morceller la dent, l'élever en rotation postérieure,
> syndesmotome faucille faisant le ' tour de rein de la la dds ) de l'avant vers
> l'arriere et hop....

toi, tu as fait la SAPO Clinique.
>
> Bref un cas d'école de la dds maxillaire si les bonnes précautions sont prises..
> Mais rapidement délicat si elle s'accroche.
>
> bon courage.
> B.


Smile beach jgh0a1 - Eugenol
Céramik

03/12/2011 à 01h58

Jolies les 38 et 48

--
Céramik

Pano 38 48 esjjvx - Eugenol

12