Cookie Consent byPrivacyPolicies.comCone Beam - Eugenol
3f3boxni50k58rq7e9ce9ddqrxgk - Eugenol
dentiste57

19/10/2014 à 12h33

après avoir fait l'acquisition d'un 3d il y a 3 ans je te certifie que le prix n'est en réalité pas un critère aussi important qu'il ne paraît. (ça reste des tarifs important)
je le répète, si je devais à nouveau refaire un tel achat je le ferai tête baissée et même avec 10000€ de plus.


Toothache

19/10/2014 à 13h16

Afin de comparer les images, pouvez vous mettre en ligne des images de Planmeca et Morita?


3f3boxni50k58rq7e9ce9ddqrxgk - Eugenol
dentiste57

01/11/2014 à 00h54

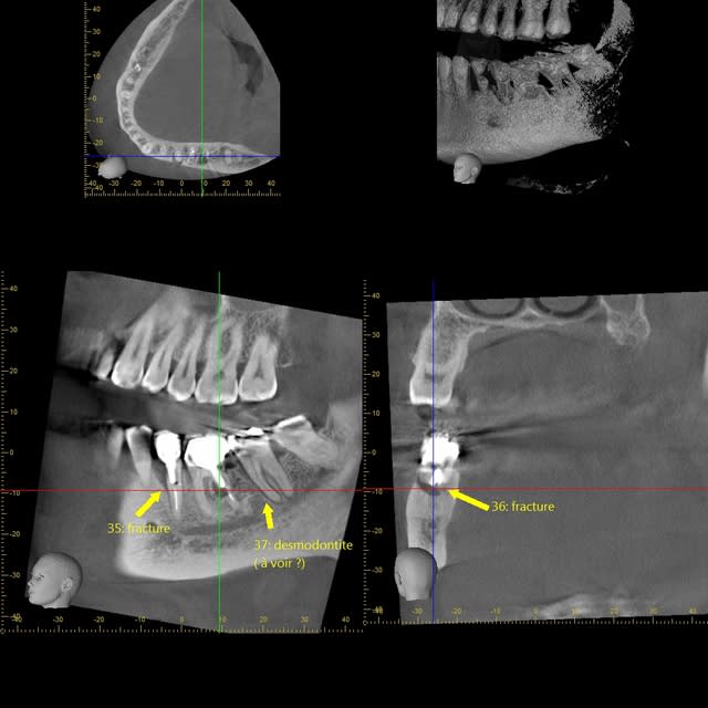
je viens de tomber sur une clé usb avec quelques images...

Guenfra i5kyps - Eugenol
Xyzview 20140607 112446 ida9qe - Eugenol
Xyzview 20140703 133108 osyuum - Eugenol
Volumerenderer 20140703 1331 wcokhm - Eugenol
Xyzview 20140619 122545 wt8h7c - Eugenol

Toothache

04/11/2014 à 23h31

Merci, c'est quel machine?


129 fucieh - Eugenol
rs4

06/11/2014 à 09h25

MORITA R100 si je ne me trompe pas !!


Casque beotien a3jo39 - Eugenol
beotien

03/01/2015 à 10h21

Bonjour et bonne année à tous

une simple question
Combien sommes nous ici à posséder un cone beam?

pour moi c'est carestream 9300d et vous?


philoustre

03/01/2015 à 18h39

CS 9000 3D + log STL


Android jyzura - Eugenol
Tavéca

04/01/2015 à 00h27

Planmeca Promax 8x8


Photo thumb 45 lnhuvp - Eugenol
wakrap

04/01/2015 à 02h32

Je voudrais bien!


Img 5404 pmlzfi - Eugenol
Chicot44

04/01/2015 à 11h04

Planmeca promax 8x7 depuis 2009 et je change pour la grand champ avec mode endo et ultra low dose en Janvier. Pour ce type d’investissement il faut privilégier la qualité.


Casque beotien a3jo39 - Eugenol
beotien

04/01/2015 à 16h33

philoustre écrivait:
--------------------
> CS 9000 3D + log STL

Je n'ai pas encore csrestore, as tu tenté de comparer sur un cas le résultat entre une prise en dicom normal et une avec le log stl


12