Cookie Consent byPrivacyPolicies.comImplantation immédiate 26.Technique simplifiée - Eugenol

Implantation immédiate 26.Technique simplifiée

Imagesca1x6rbd kwb9r6 - Eugenol
Dr Nedjat

29/03/2012 à 13h23

Mario180 écrivait:
------------------
> Si y a un match Champion/ Leone, prévenez-moi je prends des chips et une bière
> ;)
>
> Blague à part, je serais interessé d'avoir des radios de cas au long terme (5
> ans ou plus)
>
> Ne prend-t-on pas un risque à torquer si fort ?
> On a dit que le design des implants Tekka était trop compressif, mais on est
> loin de condenser autant sur toute la hauteur de l'implant...

Merci ton commentaire! :-) (pour les chips et a bière je les prendrai avec toi!!!!)

Je vais essayer de répondre dans un francais convenable!

-Une des raisons qui explique les peri implantitis c est le manque de nouriturre peri implantaire
-le but de la methode mimi/technique simplifiée ( ne pas confondre avec utilisation d implants minis) , c est de preserver le perioste et donc de maintenir son role de nourricier ( cest bien comme cela qu on dit?)
-Normalement pour de nombreux implants il ne faut pas implanter à plus de 30 Ncm parce que cela risque de les deformer
-Comme Dr lorente l a expliqué ( merci!) , le shuttle permet de "prendre" une force jusquá 70 Ncm (sans deformer l exterieur ou interieur) sans resorption de l os ( car le perioste est préservé)
-l autre but chirurgical est d obtenir une bonne stabilité primaire
-entre le shuttle et l implant à cause de la forme cone le micro espace n est que de 0,6 micrometres ( comme astra parexemple) et cela empeche les bacteries de venir.


Imagesca1x6rbd kwb9r6 - Eugenol
Dr Nedjat

29/03/2012 à 13h27

Mario180 écrivait:
------------------
> Ce sont des implants champions ?
>
> je le pense :



oui! :-) tu connais?! tu es allemand?


Mario ycg44a - Eugenol
Mario180

29/03/2012 à 13h31

non, je suis alsacien... et je me renseigne.

et le titane grade 4 ? résistance mécanique des implants fins avec un porte à faux ?

et l'état de surface ? Pas d'information précise sur le site (seulement des photos)

des articles sur l'acide hyaluronique (utilisé de quelle manière) ?


Imagesca1x6rbd kwb9r6 - Eugenol
Dr Nedjat

29/03/2012 à 13h46

Mario180 écrivait:
------------------
> non, je suis alsacien... et je me renseigne.
>
> et le titane grade 4 ? résistance mécanique des implants fins avec un porte à
> faux ?
>
> et l'état de surface ? Pas d'information précise sur le site (seulement des
> photos)
>
> des articles sur l'acide hyaluronique (utilisé de quelle manière) ?

-oui les implants fins resitent jusqu ´à 70 Ncm (titane grade 4 cold forming, 30% plus dur que le titane grade 4 classique)
-pour la surface , il existe une étude d une université indépendante de Cologne , qui compare 150 différents systèmes, cette surface fait partie des meilleures ( DR Dirk Duddeck, université de Koln)
-l acide hyaluronique est juste appliqué dans l aveolle ou dans la papille. J ai du mettre a référence plus haut. ( si tu parles allemand il y a pas exemple une étude très complete sur la revue ZMK janvier/fevrier 2012, prof Dr Holger Jentsch, leipzig universität)

K1 hojdes - Eugenol
K2 aimqib - Eugenol
K3 pessuu - Eugenol
P1 n4layn - Eugenol
P2 h26q2t - Eugenol
K4 z5hfyg - Eugenol
P3 w0kqga - Eugenol
P4 j6vz09 - Eugenol
P5 i940wc - Eugenol

Bazaruto 2007 ircsez - Eugenol
jumpingjackflash

29/03/2012 à 16h04

Le non invasif c'est bien mais le précis c'est mieux
il y a maintenant des outils qui permettent de placer sans guide osseux des implants avec une précision de 0,25mm et au degré près

Img 0439 vzjv47 - Eugenol
Radio per op hqebg2 - Eugenol
Img 0730 rveqte - Eugenol
Post op oxbcrv - Eugenol

Imagesca1x6rbd kwb9r6 - Eugenol
Dr Nedjat

29/03/2012 à 17h10

jumpingjackflash écrivait:
--------------------------
> Le non invasif c'est bien mais le précis c'est mieux
> il y a maintenant des outils qui permettent de placer sans guide osseux des
> implants avec une précision de 0,25mm et au degré près

merci pour ton ajout, le cas est bien réalisé également! :-)
le cas 15 s ´y prête particulièrement!


Imagesca1x6rbd kwb9r6 - Eugenol
Dr Nedjat

29/03/2012 à 17h17

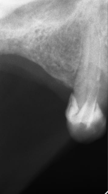
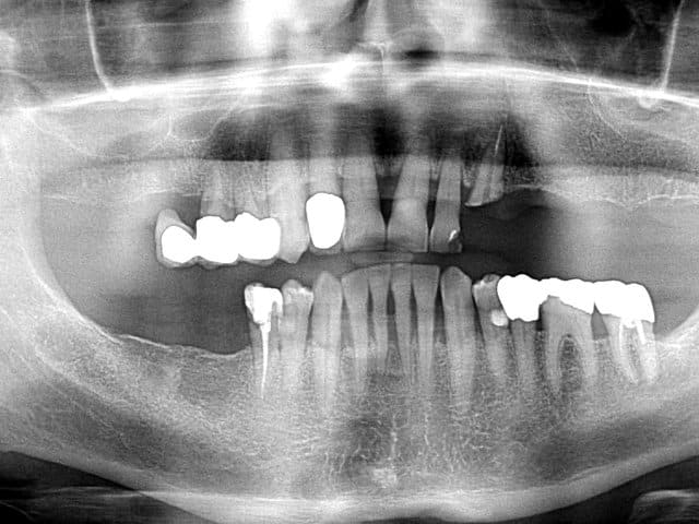
En ce qui concerne la précision, dans ce cas là et pour eviter une augmentation, j ai du placer l implant en mesio palatinal ( voir radio initiale)


En mesurant la hauteur de l os dans le septum ( dans le DVT), celui était seulement de 3 mm. Voilà pourquoi l´implant n est pas dans le septum. L´os a été condensé,la stabilité primaire a donc pu atteindre 50 Ncm.



"la meilleure des augmentations est pas d´augmentation"


Bazaruto 2007 ircsez - Eugenol
jumpingjackflash

29/03/2012 à 19h17

je dirais même mieux le meilleur relevé de sinus c'est pas de relevé de sinus

Implant dans septum sinusien ps2ffz - Eugenol
Screenshot873 iadlnk - Eugenol
3mos post op gppo6y - Eugenol
Pre op rxb7lo - Eugenol
Img 2463 pphnf4 - Eugenol
3 ans post op evgg6e - Eugenol

G-P

29/03/2012 à 19h23

Donc tu places ton implant dans un axe qui n'est pas idéal. Pourquoi alors ne pas attendre quelques mois et placer l'implant dans une meilleure position ?


Img 0128 2 2 sriwku - Eugenol
drlorente

29/03/2012 à 19h32

jumpingjackflash écrivait:
--------------------------
> je dirais même mieux le meilleur relevé de sinus c'est pas de relevé de sinus

On fait aussi avec MIMI...

1988 37 p6xnir - Eugenol
1988 38 c7gmtw - Eugenol
1988 20 gkkl2v - Eugenol
1988 25 j4qt54 - Eugenol
1988 27 nt1l3b - Eugenol
1988 29 c2gvh8 - Eugenol
1988 30 kg5o0v - Eugenol
1988 33 zkcimv - Eugenol
1988 35 cea2el - Eugenol
1988 36 nua3ol - Eugenol

Photo pluton1b h9n4ea - Eugenol
pluton

29/03/2012 à 19h34

jumpingjackflash écrivait:
--------------------------
> je dirais même mieux le meilleur relevé de sinus c'est pas de relevé de sinus

navigation avec robodent?


Img 3657 cwjvqm - Eugenol
alapex

29/03/2012 à 19h45

Drlorente : il developpe en Allemagne depuis 15 ans sa technique dite MIMI (voir mon post précédent) qui consiste a fraire une osteotomie avec des expanseurs suite à un forage minimal pour obtenir une stabilité primaire tres élevée la plupart du temps 60/70N.



Quel est l'intérêt d'une stabilité primaire élevée ?


Bazaruto 2007 ircsez - Eugenol
jumpingjackflash

29/03/2012 à 20h26

>
> navigation avec robodent?

Non depuis 4 ans je travail avec Pilot mds qui marche très bien et d'une précision redoutable avec tous types d'implants
Il dispose d'une sonde ultra son pour relever le volume osseux pas besion d'ouvrir et peu de scanner emandés

--
bluesky

Altwegg patrick 11051946 20110124103705 20110124140948 hlkloq - Eugenol
Pilot guid  par pilot mds cqsmnm - Eugenol
Altwegg patrick 11051946 20110124103705 20110124140821 b2dvb3 - Eugenol

Img 0128 2 2 sriwku - Eugenol
drlorente

29/03/2012 à 21h39

alapex écrivait:
----------------
> Drlorente : il developpe en Allemagne depuis 15 ans sa technique dite MIMI (voir
> mon post précédent) qui consiste a fraire une osteotomie avec des expanseurs
> suite à un forage minimal pour obtenir une stabilité primaire tres élevée la
> plupart du temps 60/70N.
>
>
>
> Quel est l'intérêt d'une stabilité primaire élevée ?

La mise en charge immédiate...la technique a été developpée pour des implants monoblocs associés a des pieces prothetiques clavetées scellées en titane ou zirkone... je mettrai quelques cas photos/radios ce week end.


Imagesca1x6rbd kwb9r6 - Eugenol
Dr Nedjat

29/03/2012 à 22h12

jumpingjackflash écrivait:
--------------------------
> je dirais même mieux le meilleur relevé de sinus c'est pas de relevé de sinus

tu as bien raison!!!! :-)


Imagesca1x6rbd kwb9r6 - Eugenol
Dr Nedjat

30/03/2012 à 01h05

G-P écrivait:
-------------
> Donc tu places ton implant dans un axe qui n'est pas idéal. Pourquoi alors ne
> pas attendre quelques mois et placer l'implant dans une meilleure position ?

désolé G-P je n avais pas vu ta question ( encore une fois ta blague était vraiment très drôle pour l androide!!!tu as un bon humour)

si j aurai attendu quelques mois, le risque était de perdre 2mm de l´os horizontal, car resorption naturelle surtout dans cette region. De plus tu vois au moment de l extraction l os est visible et en implantant directement tu gardes la hauteur de l os et la muqueuse.
Pour les patients c est fascinant de benéficier d un traitement minimal invasif en un temps.
Le meilleur temps pour implanter c est l extraction sauf gros granulome ou kyste.

ci dessous quelques photos , schemas des implantations immédiates pour les incisives où tu peux creer une nouvelle alvéole grâce au foret jaune et condenseur spéciaux. Ainsi tu n as pas de collapse d alveoles en preservant le perioste.Si l espace entre l implant et le mur (ou paroi, je ne sais pas en francais?) buccal est supérieur à 1mm, j ajoute de la acide hyaluronique et quelques fois du collagène...
Les résultats sont enthousiasmants également après quelques années

1 li3clj - Eugenol
7 ozhxvd - Eugenol
3 ssekuu - Eugenol
3 b ih62cf - Eugenol
4 qsybas - Eugenol
5 hmt9om - Eugenol
5 b xoqgil - Eugenol
6 xftoro - Eugenol
8 lvvtui - Eugenol
Alveole sztbkn - Eugenol
Alveole bohrer gi6nwd - Eugenol
Alveole 2 l1ddtx - Eugenol
Alveole condenser 2 4  yibma4 - Eugenol
Alveole 3 ptxxut - Eugenol
Alveole 3d 1 saggital  lahvsv - Eugenol
11 immidiat implantation tn32hz - Eugenol

Imagesca1x6rbd kwb9r6 - Eugenol
Dr Nedjat

30/03/2012 à 14h25

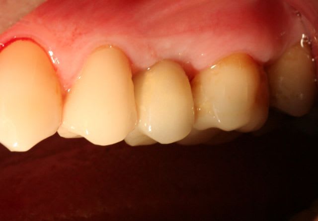
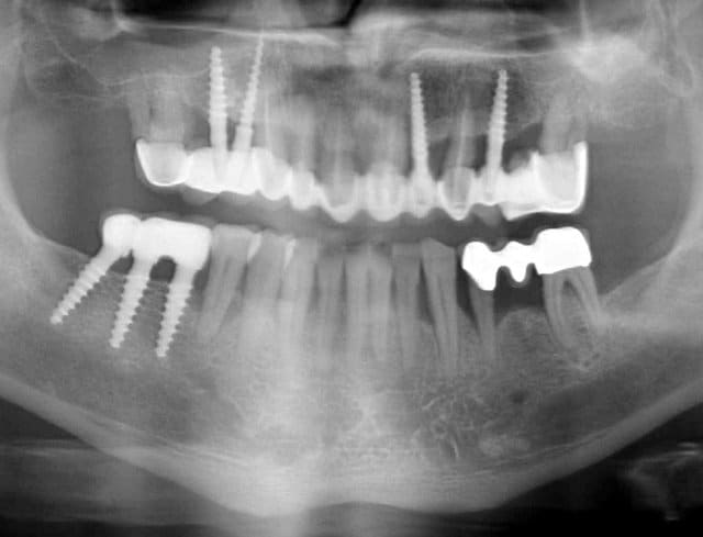
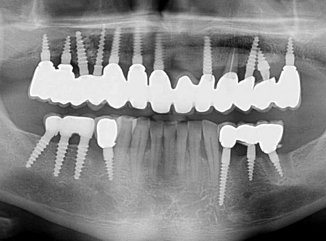
Pour ceux que ca interessent, et parce qu on a m a demandé des cas supplémentaires dans le sujet 23 implants rehabilitation totale, voici un autre cas d implantation immédiate avec la technique minimalement invasive et condensation grace aux forets.

Le patient a reçu un traitement il y a dix ans dans le maxillaire et dans le 4eme quadrant.Comme on peut le voir j´ai du extraire quelques dents au maxillaire: 35 37 et 45.
Le septum de la 37 a été foré avec un foret conique 3 faces.
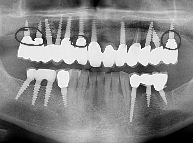
J ai planté à 60 Ncm sans fracturer le septum.Juste après l opération , les prep caps en zircon ont été cémenté.La restauration définitive 34 jusqu` à 37 été fixé 2 semaines après l implantation avec implantlink (detax). Après un an, le bridge a été retiré facilement pour voir l´état de la gencive et faire une radio de contrôle.On la re ossifiction est satisfaisante et que la gencive "aime" le zircon.
Le bridge a ensuite été recémenté sans correction nécessaire du bridge.

2 diks3j - Eugenol
3 eunv0p - Eugenol
5 e33bev - Eugenol
4 voolld - Eugenol
6 y83bmr - Eugenol
8 lcuucd - Eugenol
9 jblxlz - Eugenol
11 ohpv4w - Eugenol
24 yvrhah - Eugenol
25 shu8yj - Eugenol
27 j64zik - Eugenol
22  4 - Eugenol
22 3 - Eugenol
23 opg komplett kuhggt - Eugenol
36 r  post op b9kdk3 - Eugenol
21 zeimfc - Eugenol

Photo pluton1b h9n4ea - Eugenol
pluton

30/03/2012 à 17h37

j'apprécie le geste technique opératoire...

j'aime moins la partie prothétique avec les défauts d'adaptation des éléments postérieurs du bridge maxillaire...

c'est une approche différente, qui me fait un peu penser à la basale de notre Pépélaratiche (précision des adaptations mis a part...)


Imagesca1x6rbd kwb9r6 - Eugenol
Dr Nedjat

30/03/2012 à 19h43

pluton écrivait:
----------------
> j'apprécie le geste technique opératoire...
>
> j'aime moins la partie prothétique avec les défauts d'adaptation des éléments
> postérieurs du bridge maxillaire...
>
> c'est une approche différente, qui me fait un peu penser à la basale de notre
> Pépélaratiche (précision des adaptations mis a part...)

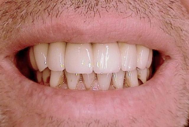
merci pour ton commentaire.Malheureusement je ne comprends pas bien de quoi tu veux parler (Occlusion?) . Le concept d occlusion c est d avoir un guide de "groupe" , chaque dent a une occlusion de 8 micrometers (Shim stock) avec ses antagonistes.

Tu peux m expliquer ton concept s il te plait merci.

ton confrère allemand!!! ;-)
Armin


Photo pluton1b h9n4ea - Eugenol
pluton

30/03/2012 à 20h00

Dr Nedjat écrivait:
-------------------

> merci pour ton commentaire.Malheureusement je ne comprends pas bien de quoi tu
> veux parler (Occlusion?)

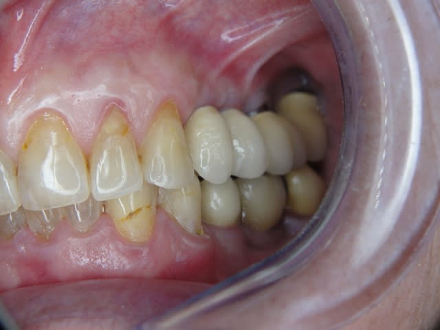
non, c'est pas de l'occlusion dont je parle...mais de l'adaptation prothèse/pilier implantaire (il y a un espace entre l'implant et l'armature métallique de la prothèse au niveau des molaires...mais pas que...) source de rétention de plaque dentaire et donc risque potentiel de périimplantite à ce niveau...

23 opg komplett narwbk - Eugenol

Imagesca1x6rbd kwb9r6 - Eugenol
Dr Nedjat

30/03/2012 à 20h19

pluton écrivait:
----------------
> Dr Nedjat écrivait:
> -------------------
>
> > merci pour ton commentaire.Malheureusement je ne comprends pas bien de quoi tu
> > veux parler (Occlusion?)
>
> non, c'est pas de l'occlusion dont je parle...mais de l'adaptation
> prothèse/pilier implantaire (il y a un espace entre l'implant et l'armature
> métallique de la prothèse au niveau des molaires...mais pas que...) source de
> rétention de plaque dentaire et donc risque potentiel de périimplantite à ce
> niveau...


ah je comprends mieux!!! :-),les "espaces" que tu vois ce sont des prep caps en zircon avec prothèse zircone il n y donc pas d accumuation de plaques sinon tu aurai raison ! (bonne remarque). La couronne ne touche pas" l assiette" (en allemand on parle d assiette...)du prep cap ...


Mario ycg44a - Eugenol
Mario180

30/03/2012 à 21h00

Et donc dans l'espace, il y a quoi ? Du ciment ?

J'aimerais mieux voir ma prothèse toucher mes piliers, ce serait mécaniquement plus réconfortant, non ?


Imagesca1x6rbd kwb9r6 - Eugenol
Dr Nedjat

30/03/2012 à 21h18

Mario180 écrivait:
------------------
> Et donc dans l'espace, il y a quoi ? Du ciment ?
>
> J'aimerais mieux voir ma prothèse toucher mes piliers, ce serait mécaniquement
> plus réconfortant, non ?

tu as raison ca serait idéal mais
-il n y a pas d accumulation de plaque quand on n utilise du zircon
-les "espaces" sont sugingivales
-les prep caps sont des couronnes en zircon pré fabriquées et ce n est pas nécessaire d avoir les extrémites des couronnes jusqu à la base des prep caps , meme si les couronnes sont dans une position termine-tangentiale
-la base des prep caps dans ce cas là sont environ 4/5mm subgingival, donc après avoir cémenté les bridges on ne pourrait pas nettoyer le cement si la couronne allait jusqu´à la base des prep caps.
-Enfin ici il s ´agit de plusieurs implantations immédiates durant lesquelles j utilise toujours les prep caps.


Img 3657 cwjvqm - Eugenol
alapex

30/03/2012 à 21h43

Je pense que le Docteur Nedjat sait parfaitement sceller des couronnes sur implants .
De par sa grande expérience il est aguerri à l'implantologie .
Diplômé en 1993 (doctorat de médecine dentaire) , il est membre d'une société d'implantologie depuis 1999 . Il implante depuis 1994 .
D'après un rapide calcul : 2012-1994=18 ans .
52 semaines à raison de 5 jours de travail = 260 jours de travail par an , moins les vacances ( 6 semaines , 6 X 5 = 30) , il reste 260 - 30 = 230 j /an .

18 ans par 230 = 4140 jours de travail .
Arrondissons à 4000 en déduisant 140 jours de formation .



20 000 implants posés en 4000 jours travaillés = 5 implants / jour . C'est une moyenne bien entendu .

Je pense que nous pouvons faire confiance au Docteur Nedjat et le remercier d'avoir choisi Eugénol pour nous montrer ses cas .



Img 0128 2 2 sriwku - Eugenol
drlorente

30/03/2012 à 21h55

Mario180 écrivait:
------------------
> Et donc dans l'espace, il y a quoi ? Du ciment ?
>
> J'aimerais mieux voir ma prothèse toucher mes piliers, ce serait mécaniquement
> plus réconfortant, non ?

je t'explique : L'implant est un monobloc a tête carrée clavetée sur les 4 cotés la reconstruction prothétique se fait soit directement sur la tête soit par en utilisant des pieces intermediaires clavetées/cémentées que mes potes Allemands appelent les prep caps...Ca devient de la prothese conventionelle..Comme le prep caps a été placé le jour de la pose de l'implant..et que finalement faire une provisoire s'impose pas toujours..la gencive acceuille tellement bien le zicone ou le titane qu'a l'empreinte la limite usinée du prep caps peut etre recouverte..et alors.??.placer un fil ou mettre un coup de bis electrique..pourquoi faire?? on prends l'empreinte du pilier quitte à avoir un sous contour radiologique mais une excelente santé parodontale. Je te met quelques photos et ce week end je lance un post spécial sur cette technique ( Au moins 300 implants icononographiés de A à Z)
Ca marche aussi bien que les élévation de sinus en voie crestale..mais bon là aussi il vaut mieux faire vendre du biobidule ou laisser ces chirs a des "experts" vise l'augmentation osseuse obtenue sur l'implant en 16..:)

529 21 ugsbp4 - Eugenol
529 30 tv2l1a - Eugenol
529 35 fp8mof - Eugenol
529 44 fbdl3k - Eugenol
529 46 pzkyk2 - Eugenol
529 48 jokxsq - Eugenol
529 56 ue7yfe - Eugenol
529 57 n1doth - Eugenol