Cookie Consent byPrivacyPolicies.comImplantation immédiate 26.Technique simplifiée - Eugenol

Implantation immédiate 26.Technique simplifiée

Fresh watermelon 640x562 udulqz - Eugenol
gulguch

31/03/2012 à 12h41

C'est de la mise en charge immédiate ou différée, DrLorente?


Img 0128 2 2 sriwku - Eugenol
drlorente

31/03/2012 à 12h59

gulguch écrivait:
-----------------
> C'est de la mise en charge immédiate ou différée, DrLorente?

Les prep caps sont placés le jour de la pose implantaire mais je ne place pas (plus ..trop emm......t) de provisoires. Donc il y a une mise en charge immédiate car de toute façon la patiente mastique sur les piliers..mais en large sous occlusion.


Img 0128 2 2 sriwku - Eugenol
drlorente

31/03/2012 à 14h11

Ca y est sujet "Chirurgie MIMI" sur le forum..


Fresh watermelon 640x562 udulqz - Eugenol
gulguch

31/03/2012 à 18h03

drlorente écrivait:
-------------------
> gulguch écrivait:
> -----------------
> > C'est de la mise en charge immédiate ou différée, DrLorente?
>
> Les prep caps sont placés le jour de la pose implantaire mais je ne place pas
> (plus ..trop emm......t) de provisoires. Donc il y a une mise en charge
> immédiate car de toute façon la patiente mastique sur les piliers..mais en large
> sous occlusion.

OK mais l'ennemi dans ces cas, c'est la langue. Dans des cas unilatéraux comme celui ci, la mise en charge immédiate et l'utilisation d'implants monoblocs sont elles vos méthodes de routine? Quelle est la limite pour passer à l'implant en 2 pièces et la mise en place différée?


Imagesca1x6rbd kwb9r6 - Eugenol
Dr Nedjat

31/03/2012 à 18h36

gulguch écrivait:
-----------------
> drlorente écrivait:
> -------------------
> > gulguch écrivait:
> > -----------------
> > > C'est de la mise en charge immédiate ou différée, DrLorente?
> >
> > Les prep caps sont placés le jour de la pose implantaire mais je ne place pas
> > (plus ..trop emm......t) de provisoires. Donc il y a une mise en charge
> > immédiate car de toute façon la patiente mastique sur les piliers..mais en
> large
> > sous occlusion.
>
> OK mais l'ennemi dans ces cas, c'est la langue. Dans des cas unilatéraux comme
> celui ci, la mise en charge immédiate et l'utilisation d'implants monoblocs sont
> elles vos méthodes de routine? Quelle est la limite pour passer à l'implant en 2
> pièces et la mise en place différée?

c est une bonne question, dans le cas du dr lorente avec la crete fine, on peut également utiliser des implants deux pièces. Le problème c est la période critique 2-8 semaines post OP à cause des forces de cisaillements latérales. Ainsi, si tu as plus de 3 implants à placer on préfère placer des monoblocs car on peut faire une mise en charge immédiate avec la prothèse définitive pendant les deux premières semaines post OP (avant la période critique).Si tu dois attendre 8 semaines, il faut alors faire un très bon provisoire fixé ( si tu as utilisé des monoblocs) qui ne casse pas. Le deux pièces ne nécessitent pas de prothèse provisoire. Le point important pour les monoblocs est de bien informé le patient concernant la phase 2-8 semaines post OP.


Imagesca1x6rbd kwb9r6 - Eugenol
Dr Nedjat

31/03/2012 à 18h37

je vais ajouter une courbe sur le post du dr lorente au sujet de la technique mimi , sur cette période . :-)


Img 0128 2 2 sriwku - Eugenol
drlorente

31/03/2012 à 18h43

gulguch écrivait:
-----------------
> drlorente écrivait:
> -------------------
> > gulguch écrivait:
> > -----------------
> > > C'est de la mise en charge immédiate ou différée, DrLorente?
> >
> > Les prep caps sont placés le jour de la pose implantaire mais je ne place pas
> > (plus ..trop emm......t) de provisoires. Donc il y a une mise en charge
> > immédiate car de toute façon la patiente mastique sur les piliers..mais en
> large
> > sous occlusion.
>
> OK mais l'ennemi dans ces cas, c'est la langue. Dans des cas unilatéraux comme
> celui ci, la mise en charge immédiate et l'utilisation d'implants monoblocs sont
> elles vos méthodes de routine? Quelle est la limite pour passer à l'implant en 2
> pièces et la mise en place différée?

Je comprends votre interrogation. A mon avis/mon expérience la force latérale linguale est une considération nuisible ..en théorie..pour répondre à une question d'éxamen universitaire..et associé à une implantologie classique.
Dans le cas de la chirurgie MIMI le problème c'est parfois la trop forte stabilité primaire.
J'ai posté les bases de la préparation du lit implantaire dans un sujet dédié, sans rentrer dans les détails du protocole j'affinerai selon les questions, mais je vous assure qu' au final on obtient 60/70N de couple de serrage à la clef manuelle : ils risquent pas d'être ébranlés par la langue..
C'est pourquoi je ne fait plus de provisoires néanmoins dans les conditions générales d'utilisation de la marque d'implant il recommandé de jumeler provisoirement les piliers pendant les 6 premieres semaines. Le dr Nedjat donnera son avis.

Concernant l'arbitrage avec le deux pieces : dès que l'occlusion est vraiment défavorable à la mise en charge immédiate , dans les cas de rapport couronne racine trop important et aussi quand je veux des piliers plus morphologiques, ou à parraléliser au laboratoire plutôt qu'en bouche. Il existe en effet en plus de toute la collection droit et angulés un pilier massif à tailler au labo bien pratique.
De plus l'intervention chir est plus courte, ca aide chez certains patients..


Fresh watermelon 640x562 udulqz - Eugenol
gulguch

31/03/2012 à 20h28

Merci pour votre réponse. N'auriez vous pas un cas de centrale unitaire maxillaire, qui est qqfois "la" difficulté en implanto?


Img 0128 2 2 sriwku - Eugenol
drlorente

31/03/2012 à 21h16

gulguch écrivait:
-----------------
> Merci pour votre réponse. N'auriez vous pas un cas de centrale unitaire
> maxillaire, qui est qqfois "la" difficulté en implanto?

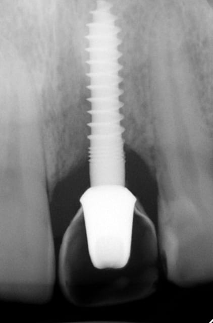
J'ai de tout en boutique..jeune homme 25 ans accident de piscine choc sur la bordure ( fêlure existante..fistule), extraction le jour même, temporisation 4 mois (avec un bout de trombone) Monobloc 16mm 60N, prep cap zircone droit 2/2 provisoire ion, temporisation 3 mois ceramo ceram..

6993 1 he05te - Eugenol
6993 2 dqaix5 - Eugenol
6993 8 jitxxz - Eugenol
6993 10 tl6wtd - Eugenol
6993 12 yawpsq - Eugenol
6993 21 frinyv - Eugenol
6993 14 csdvq0 - Eugenol
6993 29 fkwfwz - Eugenol
6993 30 crce6t - Eugenol
6993 34 ufwmu8 - Eugenol
6993 31 kbnvnk - Eugenol
6993 33 tasupa - Eugenol
6993 37 lk2psl - Eugenol
6993 38 h0burw - Eugenol
6993 40 kcv0za - Eugenol

Img 0128 2 2 sriwku - Eugenol
drlorente

31/03/2012 à 21h19

gulguch écrivait:
-----------------
> Merci pour votre réponse. N'auriez vous pas un cas de centrale unitaire
> maxillaire, qui est qqfois "la" difficulté en implanto?

J'ai de tout en boutique..jeune homme 25 ans accident de piscine choc sur la bordure ( fêlure existante..fistule), extraction le jour même, temporisation 4 mois (avec un bout de trombone) Monobloc 16mm 60N, prep cap zircone droit 2/2 provisoire ion, temporisation 3 mois ceramo ceram.. suite des photos :)

6993 41 ehxf1c - Eugenol
6993 52 xc9r6e - Eugenol
6993 66 a6wph4 - Eugenol
6993 51 arfsk7 - Eugenol
6993 71 pr54y8 - Eugenol
6993 73 qajnpc - Eugenol
6993 75 qevfsy - Eugenol

Marque a3 orange fyvhyq - Eugenol
Marc Apap

31/03/2012 à 21h37

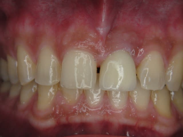
La gencive reste à cette place là ? Elle ne remonte pas après quelques années ?


Imagesca1x6rbd kwb9r6 - Eugenol
Dr Nedjat

31/03/2012 à 21h49

Marc Apap écrivait:
-------------------
> La gencive reste à cette place là ? Elle ne remonte pas après quelques années ?


Ci dessous une variante avec un deux pièces ( la 2eme photo c est 24 mois après la cémentation)

Folie1 d7ybq4 - Eugenol
Folie2 urmc5j - Eugenol

Img 0128 2 2 sriwku - Eugenol
drlorente

31/03/2012 à 21h51

Marc Apap écrivait:
-------------------
> La gencive reste à cette place là ? Elle ne remonte pas après quelques années ?

Au contraire..si tu regarde attentivement les radios tu veras qu'en quelques mois il y a une néoformation osseuse autour des micros spires. On voit un manque le jour de la pose et plus d'os avec la Procera. Volontairement j'ai pas plus enfoncé l'implant ..Si j'avais ouvert j'aurai bousillé tout le potentiel cicatriciel..Charon l'a démontré depuis longtemps en paro. Aux patient je leur explique que "Ouvrir c'est comme tondre le gazon avec un motoculteur" .
Donc il y maintien et renfort du parodonte.
Si à ça tu rajoutes "l'amitié" de la gencive avec le zircone il n'y a pas de raisons de perdre quoi que ce soit..


Img 3657 cwjvqm - Eugenol
alapex

01/04/2012 à 02h34

"Si à ça tu rajoutes "l'amitié" de la gencive avec le zircone il n'y a pas de raisons de perdre quoi que ce soit.."

Ah bon...

Et sinon sur les vraies dents , ça existe encore les 2,7 mm (de mémoire) de tolérance entre armature métal d'une céramique et la crête osseuse ?
Bon , je résume : un implant en titane , une bague trans-gingivale , une couronne : je crois qu'au niveau limite gingivale je n'aperçois aucun problème , mais bon si c'est comme les dents , je suis là pour apprendre ...

Merci de tous ces enseignements .


flicflac

01/04/2012 à 05h19

interrogation: jumelage avec dent naturel
les seuls implants que j'ai vue où cela a fonctionné pendant plus de 10 ans, se sont avec les implants lames; car l'ostéointégration n'est pas sur toute la surface de l'implant, une certaine micro-encapsulisation se fait....permettant un micro mouvement et un tolérance du ligament péridentaire avec la dent naturelle jumelée.

Pour les minis implants, le deus tiers apical est ostéointégré et le tiers cervival il y a de la micro-encapsulisation et cela même si le mini implant est torqué à 70N. C'est le résultat de la biomécanique de l'implant... diamètre ainsi que de la mise en charge immédiate.


Le jour où le biologique ( l'os ) et la biomécanique (cycle de mastication ) n'est plus en équilibre, comme dans tous systèmes il y a de la casse.
cela est mon humble avis
J'aimerais apprendre avec vos cas qui n'ont pas fonctionné.


Imagesca1x6rbd kwb9r6 - Eugenol
Dr Nedjat

01/04/2012 à 13h50

flicflac écrivait:
------------------
> interrogation: jumelage avec dent naturel
> les seuls implants que j'ai vue où cela a fonctionné pendant plus de 10
> ans, se sont avec les implants lames; car l'ostéointégration n'est pas sur toute
> la surface de l'implant, une certaine micro-encapsulisation se
> fait....permettant un micro mouvement et un tolérance du ligament péridentaire
> avec la dent naturelle jumelée.
>
> Pour les minis implants, le deus tiers apical est ostéointégré et le tiers
> cervival il y a de la micro-encapsulisation et cela même si le mini implant est
> torqué à 70N. C'est le résultat de la biomécanique de l'implant... diamètre
> ainsi que de la mise en charge immédiate.
>
>
> Le jour où le biologique ( l'os ) et la biomécanique (cycle de mastication )
> n'est plus en équilibre, comme dans tous systèmes il y a de la casse.
> cela est mon humble avis
> J'aimerais apprendre avec vos cas qui n'ont pas fonctionné.

merci pour ta question et tes remarques, la grande différence entre mini implants et la méthode MIMI ( qui n utilise pas forcement de Mini implants) c est que les implants du système ne sont pas "self cutting screws" ca veut dire il faut faire la cavité jusqu´à la fin de la longueur de l implant ainsi ils sont seulement compressifs. A mon avis les mini implants ont des desavantages surtout à cause que tu n as pas de controle si tu as une perforation de l os.....(je ne sais pas si je m exprime bien), alors il n est pas possible de faire un BCC (un bone cavity control). Quand c est possible de laisse une dent pour que le patient puisse toujours meux sentir et controler ses forces masticatoires , je vais te joindre quelques études DGI un peu plus tard sur les prothèses hybrides :-)

1 lptt3d - Eugenol
2 sl7ryp - Eugenol
10a k9zmee - Eugenol
12a uxxkh2 - Eugenol
17 pqciba - Eugenol
Folie1 vtaykm - Eugenol
Folie2 s4nvut - Eugenol
Folie3 urch9s - Eugenol
Folie4 fcceix - Eugenol
Folie5 zg99q9 - Eugenol
Folie6 ylkg4r - Eugenol
Folie7 dttdcs - Eugenol
Folie8 aeb145 - Eugenol
Folie9 ejrgat - Eugenol
Folie10 i53jef - Eugenol
Folie11 djfieu - Eugenol
Folie12 y9r5yu - Eugenol
Folie13 pktv9u - Eugenol

Imagesca1x6rbd kwb9r6 - Eugenol
Dr Nedjat

01/04/2012 à 14h01

Dr Nedjat écrivait:
-------------------
> flicflac écrivait:
> ------------------
> > interrogation: jumelage avec dent naturel
> > les seuls implants que j'ai vue où cela a fonctionné pendant plus de 10
> > ans, se sont avec les implants lames; car l'ostéointégration n'est pas sur
> toute
> > la surface de l'implant, une certaine micro-encapsulisation se
> > fait....permettant un micro mouvement et un tolérance du ligament péridentaire
> > avec la dent naturelle jumelée.
> >
> > Pour les minis implants, le deus tiers apical est ostéointégré et le tiers
> > cervival il y a de la micro-encapsulisation et cela même si le mini implant
> est
> > torqué à 70N. C'est le résultat de la biomécanique de l'implant... diamètre
> > ainsi que de la mise en charge immédiate.
> >
> >
> > Le jour où le biologique ( l'os ) et la biomécanique (cycle de mastication )
> > n'est plus en équilibre, comme dans tous systèmes il y a de la casse.
> > cela est mon humble avis
> > J'aimerais apprendre avec vos cas qui n'ont pas fonctionné.
>
> merci pour ta question et tes remarques, la grande différence entre mini
> implants et la méthode MIMI ( qui n utilise pas forcement de Mini implants) c
> est que les implants du système ne sont pas "self cutting screws" ca veut dire
> il faut faire la cavité jusqu´à la fin de la longueur de l implant ainsi ils
> sont seulement compressifs. A mon avis les mini implants ont des desavantages
> surtout à cause que tu n as pas de controle si tu as une perforation de l
> os.....(je ne sais pas si je m exprime bien), alors il n est pas possible de
> faire un BCC (un bone cavity control). Quand c est possible de laisse une dent
> pour que le patient puisse toujours meux sentir et controler ses forces
> masticatoires , je vais te joindre quelques études DGI un peu plus tard sur les
> prothèses hybrides :-)

voici le pdf de l ´étude ( en Allemand désolé mais ca doit être possible de traduire un peu près avec google traduction), qui montre que les prothèses hybrides ont les même résultats sur le long terme


flicflac

01/04/2012 à 21h08

Le cas présenté ci-haut avec 4 implants, c'est triste que les deux implants centrales soient linguals au bourrelet de gencive kératinisé....dans la muqueuse mobile. Problèmes et douleurs à prévoir chez ce patient peu importe la sorte d'implant utilisé...besoin greffe de gencive.
Les implants ressemblent au Q-Implant de Trinon Titanium Gmbh mais avec un collet micro filleté.
salut les cousins


Imagesca1x6rbd kwb9r6 - Eugenol
Dr Nedjat

02/04/2012 à 15h41

flicflac écrivait:
------------------
> Le cas présenté ci-haut avec 4 implants, c'est triste que les deux implants
> centrales soient linguals au bourrelet de gencive kératinisé....dans la muqueuse
> mobile. Problèmes et douleurs à prévoir chez ce patient peu importe la sorte
> d'implant utilisé...besoin greffe de gencive.
> Les implants ressemblent au Q-Implant de Trinon Titanium Gmbh mais avec un
> collet micro filleté.
> salut les cousins

ta remarque est très bien, il est vrai qu il semble que ca soit trop lingual les deux implants au centre, mais ils sont placés juste au milieu de l´os ( radio DVT). je suis d accord avec toi ca serait un problème grave si les implants étaient placés dans la muqueuse mouvable buccale de l os, mais dans la muqueuse mouvable linguale il n y a pas de problème pour les patients le but étant de forer au milieu de l os, ceci dit si l os avait éte configuré autrement et que je n aurai donc pas du forer à cette endroit j aurai préféré car il y a meilleur comme configuration ...

pour montrer mieux, j ajoute deux cas . Le premier cas ( première photo)les implants en position 34 et 42 sont fait par un dentiste assistant et les implants 32 et 44 par un chirurgien dans notre clinique (pendant un cours) , après l opération on a fait un DVT ,Où tu peux voir que le chirurgien a trouvé mieux le miieu de l´os et que l os buccal est plus fort...
Le deuxième cas, tu connais déjà : l os "sacré" est assez "fort" dans la radio.

Folie1 rcmjbu - Eugenol
Folie2 gtahwm - Eugenol
Folie3 vdo7ac - Eugenol
Folie4 mcxhxb - Eugenol