Tous les forums
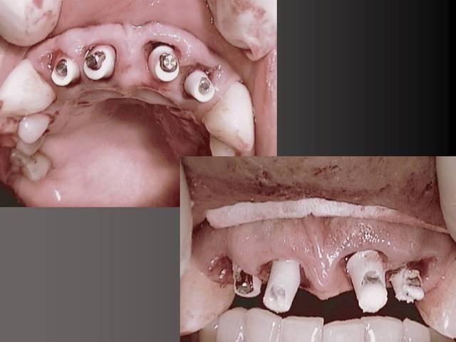
23 implants, rehabilitation totale
09/04/2012 à 08h58
J'utilise la zircone depuis 7-8 ans,et je trouve que oui, la gencive est belle autour.
Par contre dans le dernier cas, je ne trouve pas que la gencive est belle, ell semble plutot inflammée...je crois que l'espace biologique n'est pas respecté.
Je maintient que meme avec des diaments, la taille du zircone n'est pas aisée.
Je trouve les implants sympas, mais pastrop l'aspect prothétique, mais c'est juste mon impression.
--
Céramik
09/04/2012 à 10h27
je trouve le concept assez intéressant (un peu il est vrai comme le twin-kone de tekka), cependant en flapless il n'est pas aisé de vérifier visuellement si l'implant est assez enfoui (au moins toutes les micro-spires)
Quelle est la distance entre le sommet des micro-spires et la base des piliers que l'on scelle ?
Comme céramik le dit, tailler de la zircone...quelle galère!
je suppose que lors du scellement du pilier sur le cône le ciment ne fuse pas à sa base puisqu'il y a un event en son sommet?
09/04/2012 à 12h52
Céramik écrivait:
-----------------
bonjour ceramik,
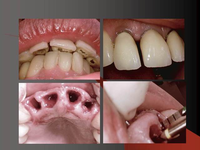
J´ai mis des photos pour mieux voir....
Merci pour ta remarque.C´est vrai que cela est mieux si on ne prérare pas ou presque pas les prep cap à cause des shippings . Normalement je ne les prépare pas, je choisis une forme (avec angle et longueur diiférents) selon le cas et ensuite je les cémente.
Sur la photo 5 on voit que je prépare surtout le titane de l´implant, le titane ne donne pas beaucoup du chaud quand il est préparé avec l´eau (pas comme aluminium par exemple).
:-)
Cordialement
je vais ajouter des autres photos ( c´est mieux pour moi de expliquer avec des photos... :-))
Folie1_uwsgzf.jpg
Folie2_akc4sj.jpg
Folie3_mwourm.jpg
Folie5_qivkbv.jpg
Folie6_truaxx.jpg
Folie8_hjlvnw.jpg
Folie10_utesdw.jpg
Folie4_riqq6f.jpg
Folie7_qmnmus.jpg
Folie9_cdkskl.jpg
Folie11_zwyhxr.jpg
Folie12_rnzt5w.jpg
Folie13_lkhbxj.jpg
Folie14_eclp23.jpg
Folie15_fwul1m.jpg
Folie16_vymmyd.jpg
Folie17_mprw9v.jpg
Folie18_pft4pt.jpg
Folie19_j6eogf.jpg
09/04/2012 à 12h58
Le dernier photo cela montre le système des Prep Caps :
il y a deux point de réferences en rouge c´est où finit la prep caps et en jaune où commence la prep caps (à la base) .
Folie2_fthydz.jpg
Folie3_yrhh5z.jpg
Folie8_xenvg2.jpg
Folie9_vkjlut.jpg
Folie1_pydmam.jpg
Folie5_omp5ob.jpg
Folie10_u0bpbj.jpg
Folie11_ggybtv.jpg
Folie12_t8ozzs.jpg
Folie14_clh5o2.jpg
Folie17_vymxyu.jpg
Folie18_gzd0ce.jpg
Folie19_rthh0a.jpg
Folie20_cqux99.jpg
Folie4_vhlutj.jpg
Folie6_o3elyj.jpg
Folie7_fqvjxx.jpg
Folie13_ax8tjc.jpg
Folie15_ro7rgd.jpg
Folie16_pqwudi.jpg
09/04/2012 à 13h29
growler écrivait:
-----------------
> je trouve le concept assez intéressant (un peu il est vrai comme le twin-kone de
> tekka), cependant en flapless il n'est pas aisé de vérifier visuellement si
> l'implant est assez enfoui (au moins toutes les micro-spires)
> Quelle est la distance entre le sommet des micro-spires et la base des piliers
> que l'on scelle ?
> Comme céramik le dit, tailler de la zircone...quelle galère!
> je suppose que lors du scellement du pilier sur le cône le ciment ne fuse pas à
> sa base puisqu'il y a un event en son sommet?
Bonjour Growler,
Merci pour tes questions. Si tu as une gencive "normale" (2-3 mm) ( avec le foret on peut savoir grâce aux mesures ) tu arrêtes à implanter si le truc en métal (je ne sais pas en francais en allemand Einbringhilfe) arrive à la gencive. Si la gencive fait plus de 3mm tu pousses un peu plus (le début de la fenêtre du Einbringhilfe est à un millimètre , la fin de la fenêtre = 3mm ) ...on vérifie avec une petite radio (pas OPG) .
Le surplus de la colle est évacué par le sommet ( c´est bien cela la question ?)
La base du pilier , tu veux dire du prep cap sur le monobloc ? ( tu veux savoir où est la fin de la couronne ? )
:-)
09/04/2012 à 20h54
bon comme on dit il y que les c...qui changent pas d'avis...et même si j'ai un peu titillé ( c'était pas méchant je trouvais juste ça décalé de faire une implantation dans un avion... :-) ). je trouve que le système est intéressant , si j'ai bien suivi les implants tournent autour de 70 euros ,super. J'ai juste une question par rapport aux forets c'est quand même emmerdant de racheter une trousse...peut-on utiliser d'autres forets ou exclusivement des 3 faces ? et surtout ces forets resistent ils à du D1 ?
Merci
09/04/2012 à 23h02
Dr Nedjat écrivait:
-------------------
Merci pour les nombreuse photo.
Photo 2 du dernier cas, je crains beaucoup pour la plaque d'os en vestibulaire, même en flapless.
--
Céramik
10/04/2012 à 00h33
jp67 écrivait:
--------------
> bon comme on dit il y que les c...qui changent pas d'avis...et même si j'ai un
> peu titillé ( c'était pas méchant je trouvais juste ça décalé de faire une
> implantation dans un avion... :-) ). je trouve que le système est intéressant ,
> si j'ai bien suivi les implants tournent autour de 70 euros ,super. J'ai juste
> une question par rapport aux forets c'est quand même emmerdant de racheter une
> trousse...peut-on utiliser d'autres forets ou exclusivement des 3 faces ? et
> surtout ces forets resistent ils à du D1 ?
>
> Merci
Bonjour Jp67,
Merci pour tes questions.Pour les forets on utilise en premier toujours des forets 3 faces car ils condensent l´os et avec les mesures on peut mesurer la gencive (flapless) et l´os, et ensuite des forets en hélice seulement si c´est l´os D1 et pour les implants deux pièces en D1 et D2 (mais dans tout les cas on commence toujours avec un foret jaune 3 faces).Les forets viennent de Komet et resistent au D1.
Pour la trousse et prothétique on reçoit gratuitement pour 12 mois pour ne pas être obliger d´invester beaucoup et pouvoir faire une idée de comment ca marche.
:-)
10/04/2012 à 00h33
jp67 écrivait:
--------------
> bon comme on dit il y que les c...qui changent pas d'avis...et même si j'ai un
> peu titillé ( c'était pas méchant je trouvais juste ça décalé de faire une
> implantation dans un avion... :-) ). je trouve que le système est intéressant ,
> si j'ai bien suivi les implants tournent autour de 70 euros ,super. J'ai juste
> une question par rapport aux forets c'est quand même emmerdant de racheter une
> trousse...peut-on utiliser d'autres forets ou exclusivement des 3 faces ? et
> surtout ces forets resistent ils à du D1 ?
>
> Merci
Bonjour Jp67,
Merci pour tes questions.Pour les forets on utilise en premier toujours des forets 3 faces car ils condensent l´os et avec les mesures on peut mesurer la gencive (flapless) et l´os, et ensuite des forets en hélice seulement si c´est l´os D1 et pour les implants deux pièces en D1 et D2 (mais dans tout les cas on commence toujours avec un foret jaune 3 faces).Les forets viennent de Komet et resistent au D1.
Pour la trousse et prothétique on reçoit gratuitement pour 12 mois pour ne pas être obliger d´invester beaucoup et pouvoir faire une idée de comment ca marche.
:-)
10/04/2012 à 00h42
Céramik écrivait:
-----------------
> Dr Nedjat écrivait:
> -------------------
>
> Merci pour les nombreuse photo.
>
> Photo 2 du dernier cas, je crains beaucoup pour la plaque d'os en vestibulaire,
> même en flapless.
>
>
> --
> Céramik
:-) oui moi aussi j´ai eu peur ;-)
Plus sérieusement ,si la patiente avait eu un gummy smile alors je aurai rajouté de l´os. Mais ca fonctionne comme ca (en flapless + condensation )dans le temps. Je vais regarder pour retrouver la radio contrôle du cas.
:-)
en relation avec le zircone que l´on parlait je voulais savoir quel type de zircone tu travailles (axial pressé ou isostatique pressé) ?
Merci
10/04/2012 à 06h46
Pas compris ta question sur la zircone.
Je place des couronnes, des bridges et des pilliers implantaires en zircone.
C'est donc des blocs usinés et ensuite frittés (cuit).
Pour la paroie osseuse en vestibulaire de l'implant, le fait qu'il y ai ou pas un gummy smile me change pas grand chose, l'os est selon moi trop mince pour être stable dans le temps.
--
Céramik
10/04/2012 à 11h51
Céramik écrivait:
-----------------
> Pas compris ta question sur la zircone.
> Je place des couronnes, des bridges et des pilliers implantaires en zircone.
> C'est donc des blocs usinés et ensuite frittés (cuit).
>
> Pour la paroie osseuse en vestibulaire de l'implant, le fait qu'il y ai ou pas
> un gummy smile me change pas grand chose, l'os est selon moi trop mince pour
> être stable dans le temps.
> --
> Céramik
Bonjour Ceramik,
Oui sans condenser juste en flapless ca serai moins évident. Pour moi-même en condensant j´ai besoin de 1 mm buccal minimum(plus il y a mieux c´est) mais dans ma pratique et celles mes confrères ca fonctionne et cela dure dans le temps depuis 16 ans.
En dessous il y a des photos, dans une on voit (troisième) qu il n y a pas de resorption de l´os après 14 ans, ce que l´on voit c´est l´os très fin condensé sur l´implant.
Le premier photo c´est une erreur parce que le périoste est blessé et les foret "trop" grands.
Pour la zircone les laboratoires ont le choix entre des rounds isostatiques ou axial pressés, pour moi même je préfère le isostatique car il y a beaucoup moins de shipping :-)
Cordialement
11/04/2012 à 00h00
De retour en allemagne! Alors j ai des vidéos pour la taille du titane/ zircone mais je ne peux pas les modifier comme sur les power point pour enlever les noms...
Sur la video en bas au milieu on voit le prép cap la fin du cas pour la prothétique c est la page 8 la 6 eme video... Il doit y en avoir des autres sur comment on taille mais sur les 200 je n arrive pas à trouver.....
http://vimeo.com/user4827536/videos/page:12/sort:newest
Bon soirée à tous
22/04/2012 à 12h29
Hello Drs Netjat et Lorente,
j'ai regardé vos vidéos sur Vimeo, il y a une chose que je ne saisis pas: l'implant Revolution en 2 pièces est mis à l'aide de la vis transgingivale; étant donné les sérieux couples de 70 N que vous appliquez, ne vous arrive t'il pas d'avoir une fracture ou un blocage de la vis?
24/04/2012 à 01h20
Bonsoir,
je t'apporte une réponse d'utilisateur, pour les infos techniques je laisse le Dr Nedjat intervenir.
L'implant deux pièces prévu pour la chirurgie MIMI (donc trans gingivale en forage réduit et à couple d'insertion élevé) est conçu et fabriqué comme un monobloc démontable.
Je suis pas calé en mécanique et je vais pas reprendre les caractéristiques de l'implant mais le concept original est qu'il se place comme un implant monobloc sans risque pour la fixture car la force de serrage est appliquée à la partie démontable qui n'est pas un porte implant classique : Le "shuttle" est inséré en usine et serré selon une adaptation parfaite grâce à un hexa adapter de moins de 10 degrés prévu en principe ....par les ingénieurs ...pour permettre un hiatus mécanique inférieur à 6 microns....J'ai personnellement pas mesuré...
C'est le concept d'un implant monobloc démontable..A ce sujet avec des monoblocs oui j'ai déjà tordu (bêtement) la tête carrée ( voir mon post chirurgie MIMI et échecs) pas de problèmes avec le Shuttle..:)
Par contre, jusqu'à présent, le démontage avec une pince n'était parfois pas facile, mais le système évolue et un outil (vissé) permet aujourd'hui de désolidariser le shuttle de l'implant aisément.
Photos d'un cas d'extraction implantation immédiate, stabilité primaire (de mémoire) assez élevée.. 60/70 N ..démontage du gingiva clips et du shuttle, pilier serré 40N, couronne procera
24/04/2012 à 01h50
drlorente écrivait:
-------------------
> Bonsoir,
> je t'apporte une réponse d'utilisateur, pour les infos techniques je laisse le
> Dr Nedjat intervenir.
> L'implant deux pièces prévu pour la chirurgie MIMI (donc trans gingivale en
> forage réduit et à couple d'insertion élevé) est conçu et fabriqué comme un
> monobloc démontable.
> Je suis pas calé en mécanique et je vais pas reprendre les caractéristiques de
> l'implant mais le concept original est qu'il se place comme un implant monobloc
> sans risque pour la fixture car la force de serrage est appliquée à la partie
> démontable qui n'est pas un porte implant classique : Le "shuttle" est inséré en
> usine et serré selon une adaptation parfaite grâce à un hexa adapter de moins de
> 10 degrés prévu en principe ....par les ingénieurs ...pour permettre un hiatus
> mécanique inférieur à 6 microns....J'ai personnellement pas mesuré...
si tu as du mal à dés-insérer ton shuttle (porte implant) vissé en usine (comme n'importe quel implant muni d'un porte implant) c'est que tu as pu avec ton vissage au mieux déplacer/mater l'hex antirotationnel dans son logement, au pire déformer celui-çi ou celui de l'implant...
chez zimmer par ex, le porte implant est en aluminium et prévu pour se déformer/casser avant d'atteindre la limite élastique de l'hex de l'implant...eux aussi ont prévu un extracteur de pilier...
dire que cet implant en 2 parties est conçu pour être comme un implant monobloc est complètement farfelu, pour ne pas dire une grosse connerie...
si le shuttle est du même alliage que l'implant, le risque de déformation permanente des 2 pièces (porte implant et implant) est importante...
enfin bon, c'est juste ma vision "mécaniste" de la chose...
24/04/2012 à 04h20
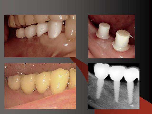
Merci pour le cas, bien fait. Belle présentation photo.
Assez classique d'un implant 2 pièces.
Le contour gingival est net, belle guérison, c'est à combien de semaine ?
Je vois un peu de ciment sur la radio finale, attention, c'est pas bien pour les tissus.
--
Céramik
24/04/2012 à 13h28
pluton écrivait:
----------------
> dire que cet implant en 2 parties est conçu pour être comme un implant monobloc
> est complètement farfelu, pour ne pas dire une grosse connerie...
Hihi bonjour Pluton,
Merci pour le "grosse connerie" . Je n ai pas beaucoup du temps mais je peux dire que il n y a pas de deformations sur le deux pièces, avant que l´on fasse un outil spécial pour retirer le shuttle , cela était moins facile de le retirer car le micro gap est de 0,6 micromètres (comme astra et ankylos)...Le shuttle n est pas de la même composition que l implant. Jusque maintenant dans les milliers de poses en allemagne il n y a pas eu ces problèmes de déformations mais peut-etre que les 2800 confrères sont bêtes. Mais cela ne sert à rien de le dire en tout cas pas moi même.
Tu connais aussi Holger Zipprich, moi aussi , il connait bien notre système et je connais son opinion , j´étais aussi avec lui la semaine dernière il a fait des tests et il termine dans un mois il a confirmé son opinion.Alors peut-être que si tu as des doutes et que moi on ne me croit pas, il faut aller le rencontrer , ou le téléphoner pour lui dire ton point de vue... peut etre qu il est moins intelligent que toi.... :-)
Le meilleur c est aussi de voir une chirurgie ou d en faire une ....
24/04/2012 à 15h12
que tu ais de bon résultats au niveau du gap avec une connexion conique...c'est la moindre des choses...
de là à comparer l'implant avec son moignon avec un implant monobloc...
tien, quand tu le verras, demandes lui de t'expliquer pourquoi les vis d'ankylos peuvent casser, se dévisser et quelles sont les différences de comportement entre implant à prothèse vissée/ implant à prothèse impactée (leone, anthogyr 2.8, bicon)/implant monobloc...
je ne me crois pas plus intelligent que les autres, mais la mécanique, çà m'intéresse...;-))
24/04/2012 à 16h20
pluton écrivait:
----------------
> de là à comparer l'implant avec son moignon avec un implant monobloc...
> tien, quand tu le verras, demandes lui de t'expliquer pourquoi les vis d'ankylos
> peuvent casser, se dévisser et quelles sont les différences de comportement
> entre implant à prothèse vissée/ implant à prothèse impactée (leone, anthogyr
> 2.8, bicon)/implant monobloc...
>
quelle est ta source sur les problèmes de vis avec ankylos? Demander à zipprich cela c est comme lui demander de me mettre un claque!sur la vidéo de zipprich et ses résultats il mentionne bien que ankylos fait partie des meilleurs résultats .... Il faut parler avec lui directement parce que là je ne peux rien faire vraiment... Alors au lieu de débattre des choses bizarres sur ankylos (ou sur nous)je te propose une rencontre toi lui et moi en mai à dresden ainsi qu avec le pr romanos georgios , il pourra y expliquer lui même ! Ç est ok pour toi?!c est une proposition sérieuse tu peux venir , et je préfère te rencontrer en réel ! :-)c est mieux que de debattre bleu ou rouge sans se voir
pour ankylos avant champions j en ai utilisé beaucoup sans problème , j ai juste voulu proposer quelque chose de moins cher avec une technique chirurgicale differente
Notre unité c est le patient :-)
24/04/2012 à 16h40
Céramik écrivait:
-----------------
> Merci pour le cas, bien fait. Belle présentation photo.
> Assez classique d'un implant 2 pièces.
> Le contour gingival est net, belle guérison, c'est à combien de semaine ?
>
> Je vois un peu de ciment sur la radio finale, attention, c'est pas bien pour les
> tissus.
>
>
>
> --
> Céramik
Oui je sais pour le ciment... j'utilise d'ailleur ce cas et cette radio dans une présentation pour mettre en garde sur le risque au moment du scellement de voir du ciment fuser sous la limite prothétique vers la col de l'implant..galère à éliminer...Personnellement je préfere plutot utiliser des piliers à usiner (maintenant disponibles voir shop online pour photos) au lieu des strandarts meme si il y a deux hauteurs/col implantaire en 1 et 3mm aujourd,hui disponibles..A l'époque de ce cas il n'y avait que les 1 mm et la limite est un "poil" trop profonde.
La pose de la couron nec'est faite 8 semaines apres l'extraction implantation immédiate, la particularité de ce systeme permet de ne pas démonter le shuttle ni la gingivaclip pour l'empreinte..je pense que ca aide bien à la qualité gingivale...radio controle ci jointe
24/04/2012 à 21h48
Dr Nedjat écrivait:
-------------------
> pluton écrivait:
> ----------------
>
> > de là à comparer l'implant avec son moignon avec un implant monobloc...
> > tien, quand tu le verras, demandes lui de t'expliquer pourquoi les vis
> d'ankylos
> > peuvent casser, se dévisser et quelles sont les différences de comportement
> > entre implant à prothèse vissée/ implant à prothèse impactée (leone, anthogyr
> > 2.8, bicon)/implant monobloc...
> >
>
> quelle est ta source sur les problèmes de vis avec ankylos? Demander à zipprich
> cela c est comme lui demander de me mettre un claque!sur la vidéo de zipprich et
> ses résultats il mentionne bien que ankylos fait partie des meilleurs résultats
> .... Il faut parler avec lui directement parce que là je ne peux rien faire
> vraiment... Alors au lieu de débattre des choses bizarres sur ankylos (ou sur
> nous)je te propose une rencontre toi lui et moi en mai à dresden ainsi qu avec
> le pr romanos georgios , il pourra y expliquer lui même ! Ç est ok pour toi?!c
> est une proposition sérieuse tu peux venir , et je préfère te rencontrer en réel
> ! :-)c est mieux que de debattre bleu ou rouge sans se voir
> pour ankylos avant champions j en ai utilisé beaucoup sans problème , j ai juste
> voulu proposer quelque chose de moins cher avec une technique chirurgicale
> differente
> Notre unité c est le patient :-)
Je veux pas me méler mais le col de pilier d'Ankylos est beaucoup plus étroit, la on est plutot dans les dimensions du Nobelactive 3,5. Qui n'a pas la réputation de casser, amha.
29/05/2012 à 20h43
bonjour, voilà des nouvelles !
zipprich ( mécanique), dirk dudeck ( etats de surface), et Pr romanos georgios ( spé.immediate loading) étaient présents , chacun avec des sujets très intéressantes.