Cookie Consent byPrivacyPolicies.comJ'aime mon boulot / les cas dont vous êtes fiers - Eugenol

J'aime mon boulot / les cas dont vous êtes fiers

Nouveau image bitmap fz77zh - Eugenol
Sethef

22/02/2013 à 19h10

Allez, en ce moment le forum est morose, donc on va essayer de renverser la tendance.

Ici, on poste les cas qui vous ont fait plaisir, du petit compo au bridge complet, celui dont vous êtes fiers.

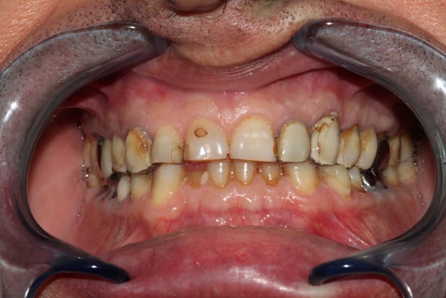
Je commence par un boulot sur zircone, peu de difficultés techniques puisque je n'ai repris qu'un seul traitement de racine et conservé toutes les autres RCR. Le prothésiste a fait un joli boulot, et la caractérisation fera hurler les fans du A1...

Img 2313 nte3br - Eugenol
Img 2529 lsf6cg - Eugenol
Img 2532 nvkeak - Eugenol
Img 2530 rjttaa - Eugenol

Mug2dm79f9axozneagomtszjwylf - Eugenol
Piccalilly

22/02/2013 à 19h50

Bon d'accord.
Alors moi je n'ai pas encore de matériel pour faire de belles photos comme toi. Mais j'aime bien l'idée de parler un peu aussi de ce qui va bien.

Voici un petit cas du jour sans prétention, un patient content ce soir, et moi aussi.

Modestecasdujour2 v3zhut - Eugenol
Modestecasdujour1 dthezj - Eugenol

olivier

22/02/2013 à 20h03

bon c'est pas topissime mais j'ai fouetté .... c'est la même patiente 37 48

Marq1 u7yg8d - Eugenol
Marq2 t9ne8f - Eugenol

cessna

22/02/2013 à 22h06

tres joli bonne nuit


003 penrd2 - Eugenol
Cingulum

22/02/2013 à 22h31

des compos :) à la française :)


--
Dr Cingulum
-----Ancien interné----
----Attaché à l'apex----
http://www.clinic-all.fr/ formation par passion

 mg 3029 k1wx3y - Eugenol
 mg 3042 hbyy1o - Eugenol
 mg 3053 crlhoq - Eugenol
 mg 3035 j51i09 - Eugenol

Mug2dm79f9axozneagomtszjwylf - Eugenol
Piccalilly

23/02/2013 à 10h27

Sethef, Olivier , Cingulum,
bravo et merci, vous êtes des cracs, ça donne envie de faire aussi bien.


7313935 les metaux lourds roche et rouleau devil cornes main signe avec un bracelet en cuir noir cloutes yoxyzx - Eugenol
kinetic

23/02/2013 à 10h32

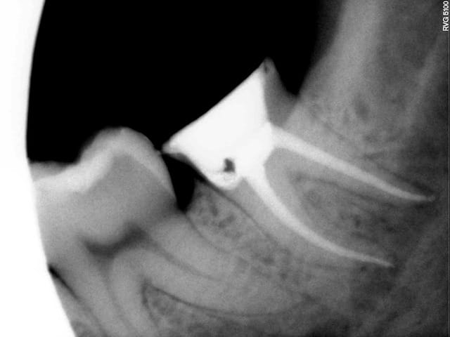
2 retraitements endo sur 45 46.

2 m85na9 - Eugenol
3 j2ewih - Eugenol
4 mbyxz8 - Eugenol
1 ojgvk3 - Eugenol

Bouddha 2 wmj1zk - Eugenol
HAIG

23/02/2013 à 11h36

Moi, je suis content de ce type de traitement qui se maintienne dans le temps.

25 ans, ni le paro ni moi le pensions en 88.

Les 2 composites ont été changes 3 ou 4 fois.
--
HAIG d(º¿º)b


Nouveau image bitmap fz77zh - Eugenol
Sethef

23/02/2013 à 11h46

Merci à vous tous, c'est chouette. On est au top!


Pour confirmer ma réputation de coupeur de dent en quatre:
-suite à l'endo+rcr de la semaine dernière sur 46, ce matin: prep, pro 46 47 et amputation de la racine mésiale de 47 en 45min. Sur la radio, il reste encore un peu (;-)) de temp bond.

Retour dans 3 mois pour la suite des opérations.

Pano shpohv - Eugenol
46 47 yiqmod - Eugenol

7313935 les metaux lourds roche et rouleau devil cornes main signe avec un bracelet en cuir noir cloutes yoxyzx - Eugenol
kinetic

23/02/2013 à 12h42

Tu cotes ça comment ?

Y a du hn et du spr non ?

edit : je parlais du bridge du premier post


Nouveau image bitmap fz77zh - Eugenol
Sethef

23/02/2013 à 12h57

Ben HN les pro, SPR les couronnes (toutes unitaires, pas de bridge ici), et SC les compos des antérieures... normal quoi.

Les couronnes étaient réellement à refaire, pas que pour une question d'esthétique, il s'agissait de vieilles CIV qui se faisaient la malle.

La gouttière de désocclusion est offerte, ça évitera qu'il me les massacre dans l'année ;-)


Bouddha 2 wmj1zk - Eugenol
HAIG

23/02/2013 à 13h45

Tu vas faire une couronne unitaire sur la seule racine distale ??

--
HAIG d(º¿º)b


Nouveau image bitmap fz77zh - Eugenol
Sethef

23/02/2013 à 13h58

Non non, couronnes coulées solidarisées 46 47 avec un "inter" sur la racine mésiale.
C'est pas du céram pure sur implant, mais ça me fait plaisir!


(enfin, tout ça si on a une bonne cicatrisation de la lésion sur 46, il était arrivé la première fois avec une jolie cellulite)


Nouveau image bitmap fz77zh - Eugenol
Sethef

23/02/2013 à 14h00

Allez, j'ai fini ma matinée, je me tire.

Bon week end à tous!


Bouddha 2 wmj1zk - Eugenol
HAIG

23/02/2013 à 14h10

OUF ,
j'ai eu peur pour la racine !!!!!!!!!!!

Si tu veux un conseil d'un vieux, fais des épaulements chanfreinés et une armature métallique.
Des comme ça j'en ai qui tienne depuis longtemps.

--
HAIG d(º¿º)b


Smile beach jgh0a1 - Eugenol
Céramik

23/02/2013 à 17h59

HAIG écrivait:
--------------
> Moi, je suis content de ce type de traitement qui se maintienne dans le temps.
>
> 25 ans, ni le paro ni moi le pensions en 88.
>
> Les 2 composites ont été changes 3 ou 4 fois.
> --
> HAIG d(º¿º)b


Super, mais risqué au départ !

--
Céramik


Bouddha 2 wmj1zk - Eugenol
HAIG

23/02/2013 à 18h12

Risque pas tant que ça.
Le paro qui a aussi fait l'ortho sur ce cas en accord avec moi, a commence l'ortho.
On avait décidé de faire une réévaluation a la fin de l'ortho, la dent n’étant même pas encore extraite.
On avait la possibilité de changer le plan de traitement au bout des trois mois avec toutes les options possibles ( implants, bridge conventionnel)
La réponse du parodonte a été testée a moindre frais, quelques brackets et un arc.
Je pense que, je referais la même chose 25 ans après.
Comme je le disais sur un autre post, on a TOUJOURS le TEMPS d'EXTRAIRE:

--
HAIG d(º¿º)b


Nouveau image bitmap fz77zh - Eugenol
Sethef

23/02/2013 à 18h17

Non seulement le cas est chouette (comme tous ceux présentés ici), mais ce qui me fait plaisir, ce sont les retours sur le long terme. J'attends avec impatience de pouvoir présenter les miens, même si je me doute qu'ils ne seront pas tous aussi positifs que celui-ci.



(Pour les conseils des vieux, je les écoute toujours avec attention: ça m'évite de répéter les mêmes conneries. Ceci-dit, pour ce cas, c'est déjà ce que j'avais prévu de faire. Armature métal bien sûr, puisque ce sera de la bête couronne acier.)


Smile beach jgh0a1 - Eugenol
Céramik

23/02/2013 à 18h24

Tu dois avouer que les patients qui se présentent comme cela (paro +++) c'est assez rare qu'ils suivent le tx proposé (ortho et paro) et que miracle, l'hygiène est nickel pendant 25 ans !



--
Céramik


Bouddha 2 wmj1zk - Eugenol
HAIG

23/02/2013 à 18h49

Tu sais comme moi que parfois Dame Nature est bonne.
Mais aussi le fait que le patient a pris sa retraite très jeune donc moins de stress, a arrêter de fumer et a été vraiment motivé puisque au début on faisait un contrôle croisé le paro et moi soit un tous les 3 mois.
Ça fait partie des bonnes surprises de notre métier !!!!

--
HAIG d(º¿º)b


7313935 les metaux lourds roche et rouleau devil cornes main signe avec un bracelet en cuir noir cloutes yoxyzx - Eugenol
kinetic

25/02/2013 à 15h16

Petit patient de 9 ans vu il y a un an et demi. Patient hyperactif, un peu casse cou. Fracture enamelodentinaire sur 21.

Réparation au composite qui s'est cassée la figure au bout de quelques semaines. Je l'ai refaite, mais rebelote. Au bout de plusieurs echecs du composite j'ai décidé de tenter une facette céramique malgré :
- l'absence de maturité parodontale
- l'odf à faire
- l'hygiene moyenne
- et c'était seulement mon deuxieme cas de facette dans ma jeune carriere...

Bref, je l'ai revu ce matin, un an aprés la pose de la facette. Ca a tenu (heureusement...) et c'est pas trop vilain, même si on peut critiquer les caractérisations de la ceramique.

Initial cqk4j5 - Eugenol
1an lluriz - Eugenol
Preparation mirsy2 - Eugenol
1anbis w2qfux - Eugenol

Bouddha 2 wmj1zk - Eugenol
HAIG

25/02/2013 à 21h23

Joli la facette motive le sale gosse a l'hygiène sinon le joint va morfler.
Dans le même genre, un cas fait au Centre de Soins par M Desgrange et les autres je sais plus.

J'ai aussi un très belle collection de cas d’échecs en Implants donc si vous avez des photos je suis preneur pour l'enrichir.
--
HAIG d(º¿º)b


220px don camillo4 qrcfhs - Eugenol
camillo

26/02/2013 à 17h41

Bon, vu comme ça, ça a l'air de rien.
Mais si vous aviez vu l'ouverture buccale de ce gars, vous comprendriez pourquoi je suis content de cette endo de 38.

R13 jjkb0b - Eugenol

220px don camillo4 qrcfhs - Eugenol
camillo

26/02/2013 à 18h26

Je me suis dit que le risque serait encore plus important avec une extraction.
Mais inutile de te dire que j'ai fait hyper gaffe à ne pas dépasser!


Nouveau image bitmap fz77zh - Eugenol
Sethef

01/10/2013 à 19h51

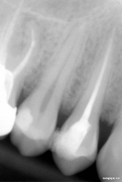
On relance, 2 compos tous frais, c'est basique mais ça me fait plaisir, en 35 minutes avec le détartrage on est presque au taux horaire, pas de stress...


Photos un peu floues, j'ai prêté mon miroir occlusal, désolé.

Img 2760 y33qry - Eugenol
Img 2759 ohq0n5 - Eugenol

12...