Cookie Consent byPrivacyPolicies.comJ'aime mon boulot / les cas dont vous êtes fiers - Eugenol

J'aime mon boulot / les cas dont vous êtes fiers

gogodancer

04/10/2013 à 21h30

j'ai oublié de dire que c'est un travail posé en 2005 . revue il y a quelques semaines . même le petit bridge mandibulaire n'a pas bougé malgré les attachements du stelite


joséphine

05/10/2013 à 08h31

Bravo, joli boulot :-)

Edit, je parlais du cas clinique de Dr Dr_ole, oops
--


http://perlamazing.free.fr/


RépondreCiter
hortense

07/10/2013 à 23h57

good job !!!


Nouveau image bitmap fz77zh - Eugenol
Sethef

18/03/2014 à 14h53

Celui-là, je le poste la semaine prochaine, j'ai fait retoucher la 22. Il promet d'être sympa!

Img 2952 f5nrrw - Eugenol

Azerty06

20/03/2014 à 15h10

bonjour, pour des implantos exclusifs c'est surement fréquent, mais pour un omnipraticien comme moi, c'est pas tout les jours ! j'étais content en fin de traitement.

Bridge3 itxwfe - Eugenol
Bridge4 l3yrmf - Eugenol
Bridge5 ir6e3t - Eugenol
Bridge jfovdn - Eugenol
Bride2 h8ohqm - Eugenol
Bridge1 f3qhho - Eugenol
Bridge3 tpdyoh - Eugenol

S2y2o1v7q53ws4r5wy6ou8czrpom - Eugenol
pxav

20/03/2014 à 22h07

joli, 10 implants intelligemment répartis, même si un de perdu.


--
xbk
"Si tous ceux qui croient avoir raison n'avaient pas tort, la vérité ne serait pas loin" Dac Pierre


youn

23/03/2014 à 19h41

Petite endo bizarre...



(Chacun à son humble niveau...je ne fais pas de complets sur implant encore pour moi.)
--
www.dentaltradegroup.com

Endo 17  2  c nes xyk9ig - Eugenol
Endo 17  3  postop iprbqy - Eugenol
Endo 17  1  preop n6m5ub - Eugenol

S2y2o1v7q53ws4r5wy6ou8czrpom - Eugenol
pxav

23/03/2014 à 20h39


très propre
--
xbk
"Si tous ceux qui croient avoir raison n'avaient pas tort, la vérité ne serait pas loin" Dac Pierre


Nouveau image bitmap fz77zh - Eugenol
Sethef

27/03/2014 à 21h29

Allez, posé y'a 15 minutes. Collage multilink.

Img 2978 tqx1pw - Eugenol
Img 2984 bxc0kj - Eugenol
Img 2973 ewwctg - Eugenol

Bebe 038 nf8eum - Eugenol
danteyeah

28/03/2014 à 02h55

Sethef écrivait:
----------------
> Allez, posé y'a 15 minutes. Collage multilink.

Posté à 20H30, il y'a des courageux parmi nous:-)
Dire qu'à 18H en général je m'écroule !

Belles préparations , attention par contre à ne pas trop " creuser" le congé (voir 22), ce qui entraîne une limite un peu pointue et fragilise la céramique.

Une photo sourire?

Quid du guidage antérieur avec un tel surplomb?


Smile beach jgh0a1 - Eugenol
Céramik

28/03/2014 à 03h39

danteyeah écrivait:
-------------------
> Sethef écrivait:
> ----------------
> > Allez, posé y'a 15 minutes. Collage multilink.
>
> Posté à 20H30, il y'a des courageux parmi nous:-)
> Dire qu'à 18H en général je m'écroule !
>
> Belles préparations , attention par contre à ne pas trop " creuser" le congé
> (voir 22), ce qui entraîne une limite un peu pointue et fragilise la céramique.
>
>

Joli, et + 1, je bosse plus après 17h00 ;-)
Sauf ce soir, terminé à 18h00 une taille de 8 couronnes...
faut faire des exception ;-)

Je trouve les préparation un peu "agressive" par contre...

--
Céramik


youn

28/03/2014 à 10h02


Y'en a qui ont de la chance, j'ai fini à 21h30 hier...

Comme j'aimerais avoir fini à 18h.
--
www.dentaltradegroup.com


Nouveau image bitmap fz77zh - Eugenol
Sethef

28/03/2014 à 10h33

En vrac:

- j'ai commencé à 12h30, faut bien que je bosse un peu ;-)

-preps un peu agressives, j'étais du même avis en voyant le modèle, c'est pour ça que je les ai postées: comme ça c'est confirmé. Je vais avoir la main un peu plus légère sur les prochaines.

-par contre pour le congé 22 23 un peu creusé, d'anciennes CCM étaient présentes, je pense donc que c'était déjà le cas sur les preps antérieures.

- guidage antérieur comme avant, avec un surplomb!
Plus sérieusement, à moins d'envisager de l'ODF, comment l'aurais-tu géré?

-A noter, ça se voit mal sur les photos, que 11 12 13 sont des couronnes 3/4, la limite palatine se situe 3mm au-dessus de la gencive.

-Et photo sourire le jour de l'essayage, donc avant retouche de la 22. Bon, l'anesthésie ne facilite pas un sourire naturel ;-)


Merci pour les commentaires

Img 2956 v1rt0q - Eugenol

Toriko ucqp9i - Eugenol
Giantcoco

28/03/2014 à 16h26

allez je me lance l’esthétique c'est pas trop mon truc mais ce cas c'est un vrai plaisir.

Tout n'est pas parfait les premo mériteraient d’être refaites mais la patiente est comblée et je suis assez content de moi.

Scaringella 1  4  qwoufu - Eugenol
Scaringella 1  2  zju7ol - Eugenol
Scaringella 027 urnfg2 - Eugenol

Nouveau image bitmap fz77zh - Eugenol
Sethef

02/04/2014 à 23h10

Chouette boulot, surtout si tu dis ne pas aimer l'esthétique. Emax?

Je préfère la teinte des latérales, les centrales sont un poil jaune à mon goût (mais quand on a déjà un patchwork de teinte en bouche faut bien en choisir une...)

Pour les prémo, ça sera pour plus tard, si la patiente est contente elle reviendra dans un an ou 2 pour les refaire...


pâtesaubeurre

16/04/2014 à 16h16

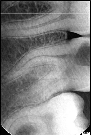
Moins impressionnant que les cas d'esthétique des pages précédentes mais je suis content de mon endo 4 canaux ;)

O 02e7d4f0bd462f70 0 cmqift - Eugenol
O 1958718cc4fe96b5 0 bjixou - Eugenol

Utilisateur banni

17/04/2014 à 15h36

As-tu une radio de cette dent reconstruite ?


malaire

17/04/2014 à 17h21

J'espère que tu as prévu une élongation coronaire en distal.
ça va, il y a de l'os.

Edit: c'est peut-être aussi un artéfact avec le métal du clamp, bien que sur la 1ere radio on semble bien être en sous-crestal.

Sinon idem que Neb.


pâtesaubeurre

23/04/2014 à 17h22

neb et malaire : j'ai eu la joie de faire un amalgame trois faces, le patient ayant l'AME et n'ayant pas envie de sortir 750 euros pour un inlaycore-ccm
oui c'est énervant
mais j'étais prévenu avant de faire l'endo


youn

23/04/2014 à 17h29

pâtesaubeurre écrivait:
-----------------------
> neb et malaire : j'ai eu la joie de faire un amalgame trois faces, le patient
> ayant l'AME et n'ayant pas envie de sortir 750 euros pour un inlaycore-ccm
> oui c'est énervant
> mais j'étais prévenu avant de faire l'endo

Et donc pouquoi la faire?
Là dans un an à tout casser c'est l'extrac...C'est pas indiqué dans un cas comme ça.

Ceci dit belle endo.

--
www.dentaltradegroup.com


machu

23/04/2014 à 20h26

rien à voir avec les très beaux cas, mais j'étais contente de moi

7 oer6yp - Eugenol
8 mkchr3 - Eugenol
9 rbd8zd - Eugenol

Utilisateur banni

24/04/2014 à 19h15

.



pâtesaubeurre

24/04/2014 à 21h42

youn écrivait :

> Et donc pouquoi la faire?
> Là dans un an à tout casser c'est l'extrac...C'est pas indiqué dans un cas comme
> ça.

faut pas exagérer quand même


Utilisateur banni

25/04/2014 à 11h27

C'est toi qui exagères. Ce topic était sensé parler des "cas dont vous êtes fiers"......


pâtesaubeurre

25/04/2014 à 12h54

neb écrivait:
-------------
> C'est toi qui exagères. Ce topic était sensé parler des "cas dont vous êtes
> fiers"......

oui... bien répondu ;)
je suis content de mon endo, pas de mon amalgame à trois sous
donc c'est plus "l'acte dont je suis fier" que "le cas dont je suis fier", je te l'accorde


1234...