Cookie Consent byPrivacyPolicies.comJ'aime mon boulot / les cas dont vous êtes fiers - Eugenol

J'aime mon boulot / les cas dont vous êtes fiers

Nouveau image bitmap fz77zh - Eugenol
Sethef

05/06/2014 à 19h22

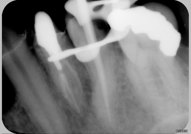
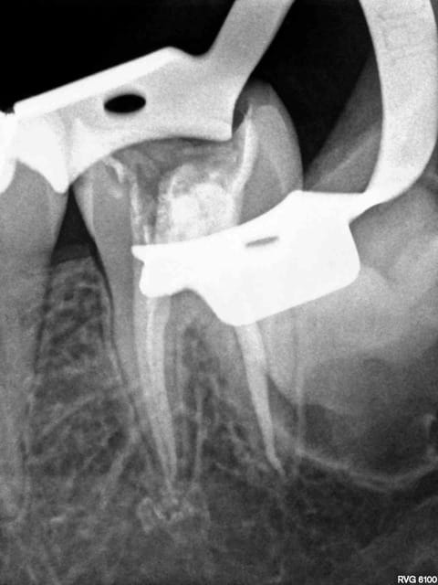
C'est quoi la proba d'avoir une deuxième bio à 5 canaux en 2 semaines?

(la radio excentrée est dégueulasse, mais ça montre les doubles courbures, quelques peu minimisées par l'angulateur...

363 wmrmhy - Eugenol
361 ct3srz - Eugenol
362 thr4zi - Eugenol

Nouveau image bitmap fz77zh - Eugenol
Sethef

09/09/2014 à 16h27

Ca c'est un boulot qui m'a fait extrêmement plaisir, parce que je trouve qu'on touche là à l'essence même de notre activité: permettre aux gens de manger.
Ce monsieur, 80 piges au compteur, est arrivé avec des vieilles provisoires, des gros compos, tout se cassait la figure... "Oh, mais à mon âge est-ce que ça vaut bien le coup de mettre des sous dans les dents..."

Pas de vraies difficultés techniques, pas de recherche esthétique marquée, du métal, on a reconstruit une occlusion de 5 à 5 seulement. Mais niveau qualité de vie, j'aimerai être toujours aussi efficace.

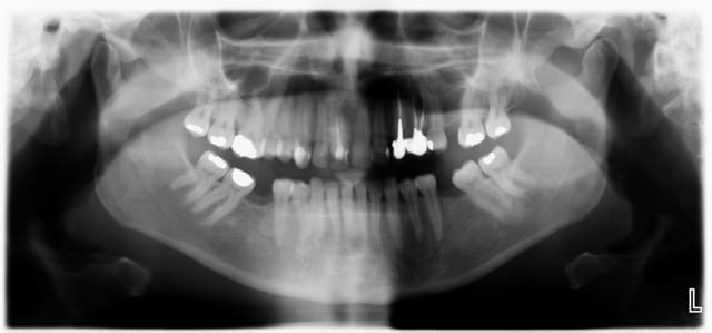
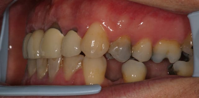
Photos un an après la pose. Pano avant.

Img 3447 juwnfx - Eugenol
Img 3446 mp43px - Eugenol
Pano vq9l2q - Eugenol

Capture d  cran 2015 03 12 12.28 - Eugenol
chicot29

10/09/2014 à 00h16

Des fois je ne fais pas de couronne, mauvais signe ! -))))

Perfo distale  vive le clamp   ujwqa0 - Eugenol
Pas de couronne chiotte   aibhmx - Eugenol
Perfo distale mta yvezkz - Eugenol

Capture d  cran 2015 03 12 12.28 - Eugenol
chicot29

12/09/2014 à 03h01

Cas d'urgence aujourd'hui. Vous avez 10 mn. Je suis au contact du public et que ca soit bien remboursé hein ! Reste 32 33 34 mobilité +++++++++.
Notons apparemment la bonne prise en charge des cerams par la mutuelle, mais pas la paro. Dommage ! -))))))

Ce pays est foutu. -)))))

Cas urgence zemqae - Eugenol
Rhooo   gsx7na - Eugenol

Capture d  cran 2015 03 12 12.28 - Eugenol
chicot29

12/09/2014 à 03h45

Les 2, 1h 15. Pas fier, rapide ! ........... mais pas encore assez pour juste payer les charges fixes du cabinet, encore 15 mn à gagner . Des idées ? -)))))

6 ikcscl - Eugenol
8 njnzav - Eugenol
10 lkwdds - Eugenol
10 d0hugq - Eugenol
1 wovgzs - Eugenol
3 qlirhw - Eugenol
7 tf9ecz - Eugenol
2 nxuoqa - Eugenol
4 mvnt8s - Eugenol
5 d2a5mr - Eugenol

Capture d  cran 2015 03 12 12.28 - Eugenol
chicot29

12/09/2014 à 11h26

Alors à la CNSD des idées ? A part se rattraper comme un porc (je suis dentiste ne l'oublions pas) sur la "vente" de prothèse. Je ne suis pas très"imaginatif" moi.
YOBi, MACHO peut être ? vos trucs et astuces sont les bienvenus ! -)))))


Photo 158 mluhia - Eugenol
robin

12/09/2014 à 12h19

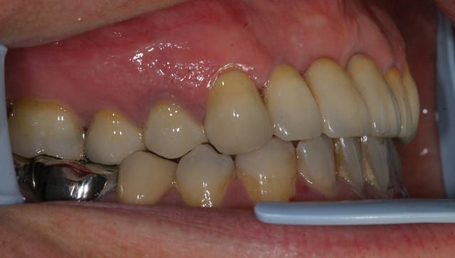
tient un boulot ou il y a un peu de tout.
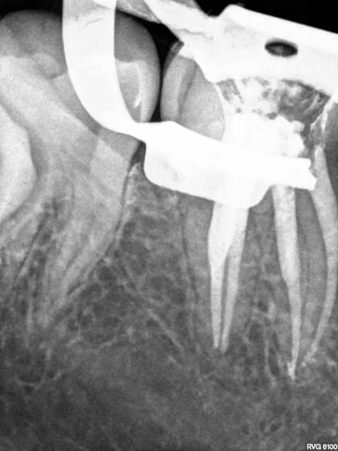
bridge antérieur , car la pose d'implants nécessitait de la reconstruction trop importante, endo couronne sur les molaires mandibulaires par manque de hauteur, onlay. implants à la mandibule.
A noter les 2 PM maxillaires qui comportaient
chacune 3 canaux.

A3 fmqhhx - Eugenol
A2 p5ekb2 - Eugenol
Img 3162 n5rd7a - Eugenol
Img 3161 iklafa - Eugenol
A32 mfxggr - Eugenol
Img 2218 qvfw63 - Eugenol
Img 2220 qm1lw2 - Eugenol
Img 2216 rtytny - Eugenol
Img 3159 tiso3c - Eugenol

Logo qw3xdt - Eugenol
ĐĐS

15/09/2014 à 22h55

chicot29 écrivait:
------------------
> Alors à la CNSD des idées ? A part se rattraper comme un porc (je suis dentiste
> ne l'oublions pas) sur la "vente" de prothèse. Je ne suis pas très"imaginatif"
> moi.
> YOBi, MACHO peut être ? vos trucs et astuces sont les bienvenus ! -)))))


Reconstitution pré-endo 400€ pour chaque?


--
Normal is not something to aspire to, it's something to get away from...


Nouveau image bitmap fz77zh - Eugenol
Sethef

17/10/2014 à 10h50

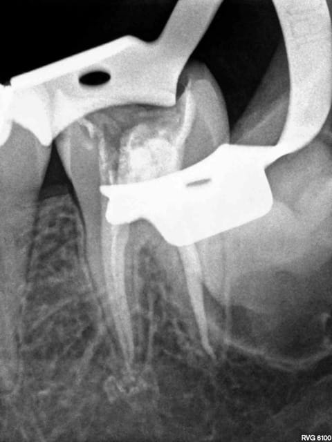
Allez, celui là je le trouve assez satisfaisant, vite plié:
1h pour refaire les compos, 1h15 rtr+rcr+prep+pro+emp, 30min pour poser. Couronne partielle, collage multilink.

(bon, après la photo, j'ai meulé un peu l'angle distal hein)

Ccc orhg6c - Eugenol
Img 3520 iwdlql - Eugenol
Img 3514 lllkxg - Eugenol
Pano1 vulo9a - Eugenol

Android jyzura - Eugenol
Tavéca

17/10/2014 à 15h24

Je stressais pas mal sur ce cas quant à la réussite du conj. enf. avec lamb. tracté coronairement. Mais le résultat est acceptable je pense, car on partait de loin.

2 aaz10e - Eugenol
3 bc06ux - Eugenol
6 heza0o - Eugenol
7 ilogkg - Eugenol
4 fhhwzt - Eugenol
8 d96qjz - Eugenol
9 sjjw7y - Eugenol
1 bxieod - Eugenol
5 w45dwz - Eugenol

Nouveau image bitmap fz77zh - Eugenol
Sethef

17/10/2014 à 19h27

Impressionnant, comme toujours. On n'est pas tous au même niveau.


aterman

18/10/2014 à 11h15

Bravo, suis incapable de faire autant. Juste une interrogation, les limites des preparations sont juxta gingivales?
Si oui, n est il pas souhaitable de les remonter en supra pour soulager le parodonte et eviter une nouvelle recession?


Vw campersurfvan bmnk1q - Eugenol
enlaye

18/10/2014 à 21h00

Eh bien moi je n ai pas de photos.
J ai revu mon 1er patient sur lequel j ai fait mes 1ere couronnes a la fac.....en 1983. Une 1ere fois ca ne s oublie pas...
Rien a bougé !!"!


youn

18/10/2014 à 21h51

chicot29 écrivait:
------------------
> Alors à la CNSD des idées ? A part se rattraper comme un porc (je suis dentiste
> ne l'oublions pas) sur la "vente" de prothèse. Je ne suis pas très"imaginatif"
> moi.
> YOBi, MACHO peut être ? vos trucs et astuces sont les bienvenus ! -)))))


Ben des idées y'en a plein : 15min : tu oublies les MV2, tu irrigues moins, tu ne mets pas la digue. Par contre tu gardes ton tarifs de prothèse et tu refais dans 3-5 ans. C'est ça fidéliser le patient.


Vw campersurfvan bmnk1q - Eugenol
enlaye

18/10/2014 à 22h20

....doublon


Nouveau image bitmap fz77zh - Eugenol
Sethef

18/10/2014 à 22h57

enlaye écrivait:
----------------
> Eh bien moi je n ai pas de photos.
> J ai revu mon 1er patient sur lequel j ai fait mes 1ere couronnes a la
> fac.....en 1983. Une 1ere fois ca ne s oublie pas...
> Rien a bougé !!"!


Ben merde, je ne suis pas certain que j'aimerais revoir mes premiers patients de la fac, je ne serai pas forcément aussi fier de mon travail...


Android jyzura - Eugenol
Tavéca

21/10/2014 à 11h34

aterman écrivait:
-----------------
> Bravo, suis incapable de faire autant. Juste une interrogation, les limites des
> preparations sont juxta gingivales?

Juxta en vest, supra en linguale, et infra en proximal.

> Si oui, n est il pas souhaitable de les remonter en supra pour soulager le
> parodonte et eviter une nouvelle recession?

Dans le cas d'un biotype fin vest peut-être , quoi que en pratique la limite supra/juxta est parfois minime. Ici le biotype est devenu épais, donc c'est juxta avec CCC ce qui est bien plus agréable pour le parodonte.
Il faut aussi voir ici l'anatomie des dents qui rendait les préparations délicates au niveau périphérique.



Android jyzura - Eugenol
Tavéca

21/10/2014 à 11h38

Sethef écrivait:
----------------
> Impressionnant, comme toujours. On n'est pas tous au même niveau.

J'applique ce que j'ai appris en mathématique au lycée!
Quand un problème est compliqué , on peut toujours le diviser en plusieurs problèmes simples que l'on sait résoudre.
C'est ce que j'ai fait ici.
Je ne suis qu'un omni classique de ville qui essaie de se faire plaisir.


Android jyzura - Eugenol
Tavéca

21/10/2014 à 11h40

enlaye écrivait:
----------------
> Eh bien moi je n ai pas de photos.
> J ai revu mon 1er patient sur lequel j ai fait mes 1ere couronnes a la
> fac.....en 1983. Une 1ere fois ca ne s oublie pas...
> Rien a bougé !!"!

je n'ai que 12 ans de pratique, et j'ai revu des premiers cas...
Hé bien c'était pas beau à voir.
Alors chapeau, c'est le plus important!


Vw campersurfvan bmnk1q - Eugenol
enlaye

21/10/2014 à 12h33

Tavéca écrivait:
----------------

J'applique ce que j'ai appris en mathématique au lycée!
Quand un problème est compliqué , on peut toujours le diviser en plusieurs problèmes simples que l'on sait résoudre.

la classe!!
ç est diviser les taches pour mieux regner ou
step by step avec une notion suplementaire :l ordre des choses.
un bon debut pour une belle fin


Capture d  cran 2015 03 12 12.28 - Eugenol
chicot29

24/10/2014 à 16h08

enlaye écrivait:
----------------
> Eh bien moi je n ai pas de photos.
> J ai revu mon 1er patient sur lequel j ai fait mes 1ere couronnes a la
> fac.....en 1983. Une 1ere fois ca ne s oublie pas...
> Rien a bougé !!"!

C'est sur, les études ca prend plus de temps pour certains que pour d'autres. Je ne savais pas que tu étais toujours à la fac enlaye. -)))))


Vw campersurfvan bmnk1q - Eugenol
enlaye

24/10/2014 à 17h16

beaucoup beaucoup beaucoup redoublé ce qui m a laissé le temps de le refaire et le refaire .....en CMU c est facile


Capture d  cran 2015 03 12 12.28 - Eugenol
chicot29

24/10/2014 à 17h21

Tu as du bol. Car en général, comme on a été tellement économe de matière dentaire la première fois, en général il n'y a pas de seconde chance. -))))


Vw campersurfvan bmnk1q - Eugenol
enlaye

27/10/2014 à 11h54

chicot,quand tu auras acheté une turbine (le machin qui fait piiiihii....),tu pourras faire de jolies tailles comme ça....les yeux fermés.

P6095486 wev7ca - Eugenol
P6095483 tntokg - Eugenol

Android jyzura - Eugenol
Tavéca

27/10/2014 à 11h59

c'est vrai qu'elles sont magnifiques et bien polies.


12345...