Cookie Consent byPrivacyPolicies.comJ'aime mon boulot / les cas dont vous êtes fiers - Eugenol

J'aime mon boulot / les cas dont vous êtes fiers

Vw campersurfvan bmnk1q - Eugenol
enlaye

28/10/2014 à 20h24

malaire écrivait:
-----------------
"Je voudrais réagir sur le polissage des préparations: si ça facilite indéniablement l'empreinte (mouillabilité - tirage)"

non meme pour l empreinte ça ne facilite rien :pour une empreinte en 1 temps ç'est tellement glissant que le light s'evacue trop vite et que ça fait un tirage ...
Par contre en wash technique c est sur tu n'as plus besoin de fil.

j'ai commencé l@max des le début : normalement on nous dit de coller ..et j'ai toujours scellé au fuji a l ancienne.
effectivement avant de sceller je passe une brossette avec de la detartrine pour deglacer.

Sinon le poli ç'est surtout pour le FUN.


003 penrd2 - Eugenol
Cingulum

28/10/2014 à 21h25

surtout que plus on polit, plus la mouillabilité diminue... je dis ça je dis rien ;)

Faites l'essai sur une plaque de verre coté lisse et coté sablée. Vous déposez une goutte.. elle s'étale mieux sur le coté sablé, le polissage augmente la tension de surface....


--
Dr Cingulum
-----Ancien interné----
----Attaché à l'apex----
http://www.clinic-all.fr/ formation par passion


olivier

29/10/2014 à 17h26

enlaye écrivait:
----------------
> pour le bridge de contention j ai pas de photo apres .faudra attendre
> janvier-fevrier ,il est prevu que j attaque le haut.
>
> pour l huitre voila.


Ah ouais.....il manque juste un verre de blanc....et ben mon cochon c'est un beau devis ....


malaire

29/10/2014 à 19h05

Ok, c'est l'histoire de la tension superficielle et de l'énergie de surface...
Ach So !

Au moins, maintenant j'ai une justification scientifique pour ne pas polir mes prépas et je viens de passer du statut de nullayon (qui ne polissait pas ses prépas par flemme) à celui de "Pro" qui ne poli toujours pas mais qui sait pourquoi.

Je vais mieux dormir ce soir.

Merci les gars ;)


C'est comme le mec qui prend du Viazac (= 1/2 cp de viagra et 1/2 cp de prozac): il ne bande pas mais il s'en fout...


Images mg2jvu - Eugenol
zorg

15/11/2014 à 00h06

allez hop: pas si compliqué que çà mais çà fait tjrs plaisir...

Dent2 hzewkv - Eugenol

Blason dql7mj - Eugenol
growler

15/11/2014 à 09h34

dans le même genre

8 a80hoh - Eugenol

Vw campersurfvan bmnk1q - Eugenol
enlaye

15/11/2014 à 10h06

ouuf on a 2 rahan . respect


Images mg2jvu - Eugenol
zorg

15/11/2014 à 18h02

growler écrivait:
-----------------
> dans le même genre

ok, pas mieux, je laisse la main, lol


Smile beach jgh0a1 - Eugenol
Céramik

16/11/2014 à 01h02

Une 48

--
Céramik

Img 3918  custom   small  ju7x48 - Eugenol

Vw campersurfvan bmnk1q - Eugenol
enlaye

16/11/2014 à 02h08

Qui dit mieux?
Je vous rappelle que la mise a prix est de 36 euros !!!
Le gagnant est .......?


Img 3657 cwjvqm - Eugenol
alapex

16/11/2014 à 02h33

Bah ... le jour où t'as des images d'empreintes de pas de rongeur dans la tête pendant une endo , t'as gagné un truc , pis t'es seul à le savoir . What else ?

Dd ipwxki - Eugenol

levm

16/11/2014 à 02h34

Merci , ca fera 33,44 euros.

Izpisdicounass sr39nx - Eugenol

Smile beach jgh0a1 - Eugenol
Céramik

16/11/2014 à 18h05

enlaye écrivait:
----------------
> Qui dit mieux?
> Je vous rappelle que la mise a prix est de 36 euros !!!
> Le gagnant est .......?


euh moi, car c'est 250 euro pour la 48 montrée, fait il y a bien 6-7 ans ;-)


--
Céramik


Smile beach jgh0a1 - Eugenol
Céramik

16/11/2014 à 18h32

Un truc trouvé dans mes archives de 2007...le temps passe vite!

Implant 36, pilier Ti-Zr, couronnes céram pressée36-37 (photo lors de la pose).

Maintenant, les piliers Ti-Zr sont usinés sur mesure, donc plus anatomique que les piliers stock


--
Céramik

Montage implant 36  pilier zr c ram empress  riqied - Eugenol

Vw campersurfvan bmnk1q - Eugenol
enlaye

16/11/2014 à 18h59

250 euro ?
Monseigneur est gourmand......
ç est qu'on pas cette somme en caisse , nous!
Pas assez que j'ai failli faire un trou de 2.56 !!

Et puis j' peux pas dire a Levm qu'il a perdu 216.56 parce que deja qu'il ne m'aime pas ..j'ai pas envie de me faire planter une Zecrya dans l'oeil.

Donc la cagnote est a rejouer , le concours est réouvert....
Pour toute contestation quand au prix du lot, vous pouvez toujours vous adresser a Yobi la mouche .


cyril

16/11/2014 à 21h04

33.74 + radio

Dsc 0045 wbiuns - Eugenol
Dsc 0046 dz7bl1 - Eugenol

Vw campersurfvan bmnk1q - Eugenol
enlaye

16/11/2014 à 21h45

Ha ha faut qu''j' aille revoir mes paramétrages ......
Le niveau monte les gars....ça va saigner...


Images jm2g2g - Eugenol
dr_0le

16/11/2014 à 21h57

cyril écrivait:
---------------
> 33.74 + radio

uep mais t as gagné du matériau de comblement pour plus tard en pétant la tubérosité..


Joker

19/11/2014 à 09h17



--
je crois au soleil même quand il ne brille pas

10347240 599173400212025 6578950543498323986 n waygkq - Eugenol
10302246 599173386878693 8518575629143632986 n jw5s8k - Eugenol
10636022 599173373545361 8092098315514090578 n x2j5gi - Eugenol

Vw campersurfvan bmnk1q - Eugenol
enlaye

19/11/2014 à 10h40

hight level Joker
coffret bois serie limitée et tout .
Rahan de luxe que tu es !!!!

bien joué ,qui dit mieux ?


01 ukhwbq - Eugenol
ʎqqoq

19/11/2014 à 14h37


:-)

Wp 20140116 001 b05z82 - Eugenol

Images mg2jvu - Eugenol
zorg

23/05/2015 à 16h44

Tiens si on relançait çà. Allez hop. Bon j'en ai un peu chi... j'avoue.

Image lhcfhf - Eugenol

Loukoumparisien

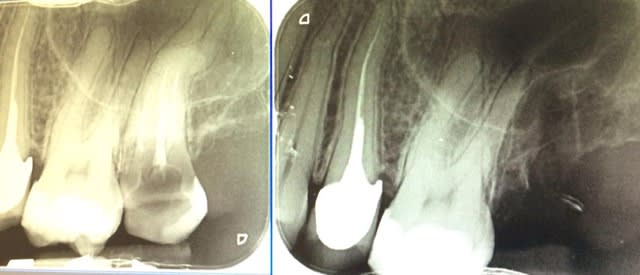
23/05/2015 à 17h17

transplant chez un jeune de 19 ans je crois
contrôle à 6 mois

Transplant 28 fvti6f - Eugenol

Vw campersurfvan bmnk1q - Eugenol
enlaye

23/05/2015 à 18h31

zorg écrivait:
--------------
> Tiens si on relançait çà. Allez hop. Bon j'en ai un peu chi... j'avoue.

Elles t ont fait le coup de : quand j avance tu recules .....bravo


Vw campersurfvan bmnk1q - Eugenol
enlaye

23/05/2015 à 18h34

Loukoumparisien écrivait:
-------------------------
> transplant chez un jeune de 19 ans je crois
> contrôle à 6 mois

Énorme !!!!!! Bravo aussi .

T 'ain c est de plus en plus hight level , ce concours !!!


1...567...