Cookie Consent byPrivacyPolicies.comJ'aime mon boulot / les cas dont vous êtes fiers - Eugenol

J'aime mon boulot / les cas dont vous êtes fiers

doudou59000

01/06/2015 à 20h05

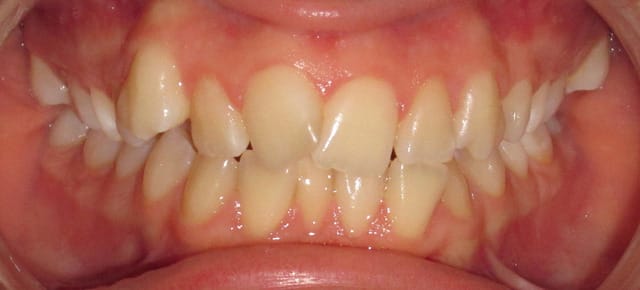
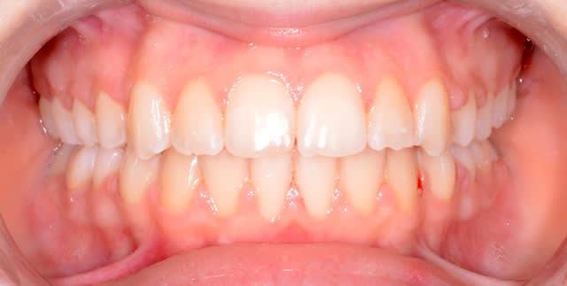
Bonjour à tous, patiente qui refuse catégoriquement l'implanto.
J'en ai bavé mais le résultat final est vraiment sympa.
Enfin la patiente et moi sommes très content.
Désolé pour les photos, c'est pas mon truc


doudou59000

01/06/2015 à 20h06

Bonjour à tous, patiente qui refuse catégoriquement l'implanto.
J'en ai bavé mais le résultat final est vraiment sympa.
Enfin la patiente et moi sommes très content.
Désolé pour les photos, c'est pas mon truc

Avant opqvab - Eugenol
Apr s ndtyb1 - Eugenol
Img 0761 xywrki - Eugenol
Img 0763 eyz0nb - Eugenol

003 penrd2 - Eugenol
Cingulum

01/06/2015 à 23h16

Joli résultat, esthétiquement c'est chouette et l'adjointe passe assez inaperçue...

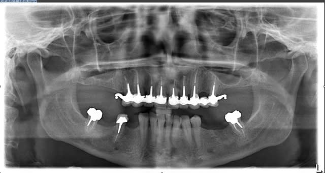
J'ai eu quelques cas avec des appuis distaux sur bridge avec des fractures de l'armature. Une question as tu fait un selle semi ammortie ? comme on a des molaires en bas les forces sur les selles maxillaire vont être importantes ....

Une autre question, pour quoi avoir dévitalisé 23 21 11 12 ... ?
Penses tu que tu ais moins de risque avec des endos et des tenons ? ...


--
Dr Cingulum
-----Ancien interné----
----Attaché à l'apex----
http://www.clinic-all.fr/ formation par passion


doudou59000

02/06/2015 à 10h18

Salut cingulum, je n'aime faire des bridges en mélangeant des piliers vivants et non vivants, et au vu de l'état des dents j'ai préféré réaliser les endo (22 p 4, 12 et 13 nécrosées avec caries cervicales++++...). En ce qui concerne les inlay core, je ne réalise pas beaucoup de rmipp, de plus je me vois mal paralléliser autant de piliers.

Les armatures des bridges céramo-métalliques ont été usinées donc je pense qu'on minimise pas mal les risques de fracture. En revanche les stellites ont été réalisés de manière conventionnelle.

Voilà tout, en tout cas content que ça te plaise (au moins esthétiquement


Vw campersurfvan bmnk1q - Eugenol
enlaye

02/06/2015 à 10h42

On s en fout ici de savoir s il devitalise ou pas .
L important c est qui il est content de son boulot au final. Il aime son boulot .
Sinon plus personne n osera montrer son kiff


003 penrd2 - Eugenol
Cingulum

02/06/2015 à 11h35


C'était aussi pour faire avancer le schmilibilick, la critique n'est pas toujours négative ;) ...

Moi je trouve ça bien joli :)


Toriko ucqp9i - Eugenol
Giantcoco

02/06/2015 à 11h40

Cingulum écrivait:
------------------
>
> C'était aussi pour faire avancer le schmilibilick, la critique n'est pas
> toujours négative ;) ...
>
> Moi je trouve ça bien joli :)

+1

perso j'aurais solidarisé les 2 bridges en une seule grande pièce.


doudou59000

02/06/2015 à 11h48

je voulais éviter de forcer sur la suture palatine, c'est peut être une vision de mon esprit mais j'essaye toujours de faire comme ça


carident

02/06/2015 à 11h49

Giantcoco écrivait:
-------------------
> Cingulum écrivait:
> ------------------
> >
> > C'était aussi pour faire avancer le schmilibilick, la critique n'est pas
> > toujours négative ;) ...
> >
> > Moi je trouve ça bien joli :)
>
> +1
>
> perso j'aurais solidarisé les 2 bridges en une seule grande pièce.

Pareil.

Ensemble réhabilitant l'inlay-core :-)


doudou59000

02/06/2015 à 11h53

?????


Smile beach jgh0a1 - Eugenol
Céramik

08/06/2015 à 03h54

Greffe bloc osseux et sinus lift secteur 1
J'avais 3-4 mm de hauteur et 2 mm de largeur

Ré-ouverture à 6 mois, avec la pose de 3 implants
Guide maison : duplicata du complet
Les 3 implants secteur 2, avait été posés lors du double sinus lift.

All-on-6 dans 6 mois (je prend mon temps avec des cas comme ça).





--
Céramik

Montage bloc  2  s3zn6g - Eugenol

S2y2o1v7q53ws4r5wy6ou8czrpom - Eugenol
pxav

08/06/2015 à 09h08

c'est joli ça, quel origine le bloc?

--
xbk
"Si tous ceux qui croient avoir raison n'avaient pas tort, la vérité ne serait pas loin" Dac Pierre


Blocperso talon jer3sl - Eugenol
mrquentin

08/06/2015 à 16h02

hello
joli céramik
si j'ai bien compris, ton bloc est vissé en partie sur le volet de ton sinus lift, tu n'as pas eu peur d'un echec de prise puisque son apport de cellule est diminué d'autant?


Smile beach jgh0a1 - Eugenol
Céramik

08/06/2015 à 16h59

mrquentin écrivait:
-------------------
> hello
> joli céramik
> si j'ai bien compris, ton bloc est vissé en partie sur le volet de ton sinus
> lift, tu n'as pas eu peur d'un echec de prise puisque son apport de cellule est
> diminué d'autant?


Oups sinust lift bi-latt fait 4 mois avant la pose du bloc, sorry

Secteur 2 j'avais placé les implants lors du sinus lift


--
Céramik


Smile beach jgh0a1 - Eugenol
Céramik

08/06/2015 à 17h02

Os de banque
ROCKY MOUNTAIN TISSUE BANK

http://www.rmtb.org/

J'ai 3 cas fait avec ces blocs, so far, so good.

--
Céramik


nistrale

11/06/2015 à 10h13

doudou59000 écrivait:
---------------------
> Bonjour à tous, patiente qui refuse catégoriquement l'implanto.
> J'en ai bavé mais le résultat final est vraiment sympa.
> Enfin la patiente et moi sommes très content.
> Désolé pour les photos, c'est pas mon



Bonjour, félicitations, joli travail.
J' ai une question, au niveau des phases de laboratoire, tu as demandé un montage directeur postérieur pour ton stellite avant les tailles ou après?
si tu peux, pourrais tu très rapidement indiquer les étapes?
Merci beaucoup.


Vw campersurfvan bmnk1q - Eugenol
enlaye

11/06/2015 à 10h47

@ nistrale
ç est une tres bonne question .
le montage occlusal mixte est tjs tres delicat pcq :
la plupart du temps le proto qui fait la fixe n'est pas celui qui fait la mobile . de plus celui qui la mobile est le sous fifre du ceramiste .du coup , souvent,il n'y a pas de cohesion dans les montages mixtes . souvent il n'y a meme pas de cohesion pour la forme des dents support de crochet ( bombés ...). ç est pas moi ç est lui .....eh mon con ,lui ç est toi :-))))
et là , grace a l' attachement, il s en est bien sorti ,le doudou .


perouple

11/06/2015 à 16h00

j'en connais une sur le prado qui les taille bien aussi!
et pour pas cher !


Vw campersurfvan bmnk1q - Eugenol
enlaye

11/06/2015 à 16h27

Après avoir géré derrière ? Tu m etonnes un peu perouple .


doudou59000

15/06/2015 à 16h21

pour info voici brièvement les étapes
-endo et empreinte des couronnes en bas
-pose des couronnes
-élaboration stellite bas pour créer une belle courbe de spee en bas (stellite du bas terminé)


demande wax up en haut



-grosse séance endo en haut et bridge provisoire
réglage occlusion et enregistrement guidage anterieur

-emp ic
-pose ic + provisoire
-emp bridge
-essayage armature bridge
-essayage bridge haut (demande pei + base d'occlusion)
-essayage bridge + stellite
-finition livraison du tout le même jour.
-doléance


OST

06/07/2015 à 15h09

Céramik écrivait:
-----------------
> Os de banque
> ROCKY MOUNTAIN TISSUE BANK
>
> http://www.rmtb.org/
>
> J'ai 3 cas fait avec ces blocs, so far, so good.
>
> --
> Céramik

Je dois avouer que je suis un peu inquiet de constater que des praticiens importent des allogreffes des USA ou d'ailleurs directement comme ça...

Article L1245-5 Code de Santé Publique

Seuls peuvent importer ou exporter à des fins thérapeutiques des tissus, leurs dérivés, des cellules issus du corps humain, quel que soit leur niveau de préparation [...] les établissements ou les organismes autorisés par l'Agence nationale de sécurité du médicament et des produits de santé, en application de l'article L. 1243-2.

Cela nous dit juste qu'il faut être une banque de tissus autorisée par l'ANSM pour pouvoir importer... Banque dans laquelle une personne dite Responsable va assurer personnellement que chaque greffon donné répond à la réglementation Française... Et pas une seule banque de tissus en France n'a à ce jour d'autorisation pour importer la moindre allogreffe osseuse venant des USA que ce soit pour du dentaire ou de l'orthopédie, aucune.


Blocperso talon jer3sl - Eugenol
mrquentin

06/07/2015 à 15h22

Ceramik est au cananda


OST

06/07/2015 à 16h27

mrquentin écrivait:
-------------------
> Ceramik est au cananda

Ah... oui.... donc... oups.... effectivement... je me serais un peu enflammé peut être???.... ok je range mon sermon dans ma culotte et je repars penaud et honteux...


Smile beach jgh0a1 - Eugenol
Céramik

17/10/2015 à 19h47

OST écrivait:
-------------
> mrquentin écrivait:
> -------------------
> > Ceramik est au cananda
>
> Ah... oui.... donc... oups.... effectivement... je me serais un peu enflammé
> peut être???.... ok je range mon sermon dans ma culotte et je repars penaud et
> honteux...


MDR

Et oui, je suis au Canada.

"L'os de banque" ça existe aussi chez vous non ? BioBank je pense.

--
Céramik


voorzitterst

18/10/2015 à 14h13

Mon premier cas !

Face a g241e7 - Eugenol
Face b nroukr - Eugenol

1...6789