Cookie Consent byPrivacyPolicies.comJ'aime mon boulot / les cas dont vous êtes fiers - Eugenol

J'aime mon boulot / les cas dont vous êtes fiers

Smile beach jgh0a1 - Eugenol
Céramik

19/10/2015 à 01h39

voorzitterst écrivait:
----------------------
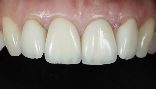
> Mon premier cas !

Nice

--
Céramik


003 penrd2 - Eugenol
Cingulum

22/10/2015 à 12h37

Une patiente Contente :)
Restauration "partielle" collée
Réalisation JC Allegre.
Le fait d'avoir gardé les dents vivantes change totalement le pronostic biologique et esthétique....



--
Dr Cingulum
-----Ancien interné----
----Attaché à l'apex----
http://www.clinic-all.fr/ formation par passion

Img 4652  custom  uixck8 - Eugenol
Img 4754  custom  m1kajm - Eugenol
Img 4849 n7lknh - Eugenol
Img 4853 fgkl97 - Eugenol
Img 4872 pomfox - Eugenol
Img 6648 p3vyzm - Eugenol
Img 4881  custom  fjuwwa - Eugenol
Img 4883 emkl43 - Eugenol

003 penrd2 - Eugenol
Cingulum

22/10/2015 à 12h39

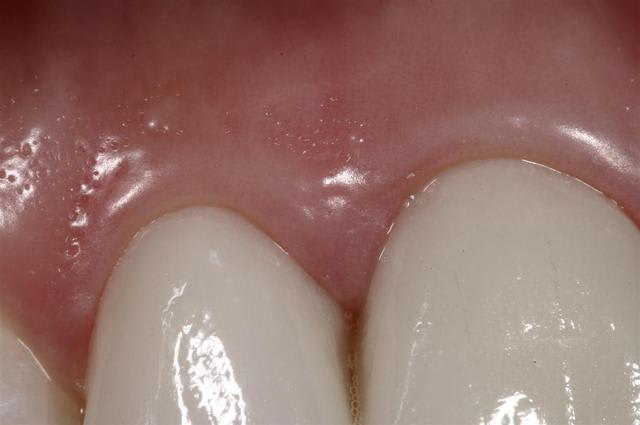
Et le contrôle a 9 ans post opératoire ... :)


--
Dr Cingulum
-----Ancien interné----
----Attaché à l'apex----
http://www.clinic-all.fr/ formation par passion

 mg 9470 w8hobj - Eugenol
 mg 9474 msuqsq - Eugenol
 mg 9475 vn2wpf - Eugenol
 mg 9476 zhjvid - Eugenol

Toriko ucqp9i - Eugenol
Giantcoco

22/10/2015 à 13h21

c'est très beau. quelle colle était-ce car le joint palatin se teinte.

aujourd'hui je pense que ce phénomène ne se produirait plus autant grâce aux progrès de l’adhésion.


003 penrd2 - Eugenol
Cingulum

22/10/2015 à 15h01

"aujourd'hui je pense que ce phénomène ne se produirait plus autant grâce aux progrès de l’adhésion." ...

On dit ça tout les 5 ans ...
ça doit être du Choice, ou variolink.

--
Dr Cingulum
-----Ancien interné----
----Attaché à l'apex----
http://www.clinic-all.fr/ formation par passion


Decapfour

23/10/2015 à 16h15

Petite question, c'est pas trop compliqué pour le prothésiste a gérer l’esthétique de la céram en faisant des restau antérieures partielles? Est ce un plus de refaire le moignon au compo pour avoir les mêmes épaisseurs de céram?
Merci d'avance


003 penrd2 - Eugenol
Cingulum

24/10/2015 à 09h26

Avec L'Emax/Empress on a un noyau dentine, les épaisseurs ont moins d'impact. Pas d’intérêt ici à rajouter une interface en plus en composite si ce n'est l'envie d'avoir un moignon qui ne rassure que l'esprit !

--
Dr Cingulum
-----Ancien interné----
----Attaché à l'apex----
http://www.clinic-all.fr/ formation par passion


carident

24/10/2015 à 13h01

Cingulum écrivait:
------------------
> Et le contrôle a 9 ans post opératoire ... :)
>
>
> --
> Dr Cingulum
> -----Ancien interné----
> ----Attaché à l'apex----
> http://www.clinic-all.fr/ formation par passion

Très joli travail.

J'ai néanmoins deux petites questions qui me turlupinent...

Les restaurations sont elles unitaires ou solidarisées?

Par ailleurs, lors du contrôle à 9 ans, on a l'impression que les céramiques sont largement en deçà des limites au niveau de la 12 et de la 22... Cela ne se voyait pas lors de la pose.

Est-ce dû à une usure de la céramique (à cause du brossage)?
Ou est-ce dû au fait que le profil d'émergence n'apparaissait pas sur l'empreinte, et que les céramiques n'allaient pas jusqu'à la limite de la préparation, mais que cela ne se voyait pas le jour de la pose certainement parce que la gencive recouvrait la partie vestibulaire des préparations?


003 penrd2 - Eugenol
Cingulum

24/10/2015 à 15h59

elles sont unitaires
Ce n'est pas la limite de préparation que tu vois
si tu regardes les photo per et post op, tu verras que la limite est juxta et les céramiques parfaitement adaptées
par contre comme moi la patiente à veilli et on a une récession gingivale de 1mm qui expose la racine.



--
Dr Cingulum
-----Ancien interné----
----Attaché à l'apex----
http://www.clinic-all.fr/ formation par passion


Smile beach jgh0a1 - Eugenol
Céramik

24/10/2015 à 18h13

Cingulum, tjrs très bien, mais la coloration du joint est quand même surprenante, non ?

J'ai des cas à 10ans+ sans coloration.
Mauvais etching de la marge (dents et ou céram) ?
Joint trop "large" ?


--
Céramik


Erasmus2 n92rjx - Eugenol
Lancel

27/10/2015 à 22h27

parce que je trouve ce post très optimiste, je participe.

Voilà, 2h de boulot... à retoucher au prochain RDV.

Img 8075 cpqy2r - Eugenol

Nouveau image bitmap fz77zh - Eugenol
Sethef

26/06/2021 à 12h12

Je déterre ce post, y'avait des jolies choses.
Le niveau a monté depuis, je trouve.
Une pensée pour Cingulum, ses boulots étaient vraiment splendides.

Ca c'est le patient dont j'avais parlé sur mon post A0, avec les plâtres à chaque étape.

Initial/après retouche de 17 27 et provisoire 11 en urgence/sous provisoires "a la mano"/le jour de l'empreinte

Je revois le patient en contrôle lundi, je prendrais une photo du résultat, j'en suis vraiment très fier, c'est sûrement un de mes plus jolis boulots de ces dernières années, et un des plus compliqués.

Nouvelle image bitmap zdpjs9 - Eugenol

Nouveau image bitmap fz77zh - Eugenol
Sethef

26/06/2021 à 12h21

La cause secondaire.

Img 5645 faqwjy - Eugenol
Img 5646 gle4wz - Eugenol

4a338550 6a5b 47ea b2a7 d3cb675c5076 oni5gh - Eugenol
𝕱𝖎𝖘𝖙𝖚𝖑𝖊

26/06/2021 à 13h00

Coucou Sethef,
Comment tu gères l'épaisseur du cosmétique en occlusion, sachant que tu ne touches pas la DV ?
😷🤔


Nouveau image bitmap fz77zh - Eugenol
Sethef

26/06/2021 à 13h06

Dès lors que j'ai retouché 34, il s'est repositionné plus postérieur.
Du coup, miracle, plein de place!

(bon, plein faut pas abuser, fallait la jouer un peu fine à la préparation.)
(regarde la différence sur la 14, avant et après provisoire, c'est frappant)


Pierre logo clykpp - Eugenol
Denteo33

26/06/2021 à 14h12

bridge complet sur dents naturelles

19229efe 2d59 42ce a9fd 6d03935ece38 jxdjrd - Eugenol
5ac1bed3 9cd6 4b2d 84d3 54a8040a16b2 rv67s6 - Eugenol

Nouveau image bitmap fz77zh - Eugenol
Sethef

26/06/2021 à 21h35

C'est propre.


Vw campersurfvan bmnk1q - Eugenol
enlaye

28/06/2021 à 11h55

Sethef , ton cas m intéresse ! :-)
bon dejà , j aime bien tes tailles avec les bords libres arrondis bien coniques :-)


Vw campersurfvan bmnk1q - Eugenol
enlaye

28/06/2021 à 12h13

ensuite les 7 du bas m interpellent . on dirait qu elles creent une courbe de spee inverse .
j imagine un senario , dis moi si c est possible
on dirait que les 17+27 etaient en sous occ , alors il a forcé en post pour se retrouver en occ , comme il n y arrivait pas trop , en buttant sur la premo , il serait parti chercher du contact ant pour plus de calage .
je dis 17+27 en sous occ , cela ne veut pas dire qu il n y avait pas de contact , hein , il pouvait en avoir en jouant sur sa résilience et ce qui l a amèné à un pro glissement sur les cuspides palatines comme tu l as dit sur A0 . en fait ce serait un manque de calage , amenant un décentrage .
ceci aurait eu pour effet de distaler sa premo par contact ant forcé associé à un retour arriere pour retrouver du calage au + pres de son axe charniere .
donc lorsque tu as retouché 17+27 qu as tu fais ? et qu as tu constaté ?
je te demande tout ça , pcq lorsque l on voit des faces d usures sur des post , avec usures laterales , il est difficile de déterminer si c est du à une sur occ au depart ou si c est du à une sous occ compensée .
bon , c est une peut etre un peu confus , mais je pense que tu as compris ma question .


Nouveau image bitmap fz77zh - Eugenol
Sethef

28/06/2021 à 16h18

Toutes mes confuses, j'avais oublié ma carte sd à la maison, photo prise au portable de mon assistante.

Pour Enlaye: 17 et 27 ont été retouchées avant le second platre, sur la cuspide palatine. Ce sont d'anciennes coiffes métal.
Et je confirme que je n'ai rien constaté à ce moment, il était toujours aussi verrouillé, faute à la 34 que je n'avais pas repérée à ce moment.

Img 4488 ghelxu - Eugenol

Nouveau image bitmap fz77zh - Eugenol
Sethef

28/06/2021 à 16h20

enlaye écrivait:
------
> ensuite les 7 du bas m interpellent . on dirait qu elles creent une courbe de
> spee inverse .

Usures, dues aux 7 du haut.


Thierry2014 2 ztmlrt - Eugenol
ThierryMeyer

25/07/2021 à 22h48

Jules écrivait:
-----
> Patiente de 25 ans.

Bravo Jules.


Thierry2014 2 ztmlrt - Eugenol
ThierryMeyer

25/07/2021 à 22h57

enlaye écrivait:
------
> On s en fout ici de savoir s il devitalise ou pas .
> L important c est qui il est content de son boulot au final. Il aime son boulot
> .
> Sinon plus personne n osera montrer son kiff

Enlaye vient de rappeler très gentiment la règle du jeu de ce post.
Pas de jugement. On est content, on montre. Ceux qui ne montrent rien comme moi apprécient, sont d accord ou pas. Mais surtout sont bienveillants.


Nouveau image bitmap fz77zh - Eugenol
Sethef

09/08/2021 à 21h06

Pendant que certains se les roulent à la plage, j'ai fait ça ce soir.
Y'a plein de petits détails intéressants, dont la plupart avaient été anticipés à la radio, je me doutais évidemment que le localisateur serait inopérant vu la largeur des canaux, et j'imaginais bien que la majeure partie de l'alésage se ferait avec un gros foret à tenon.

Mais ce que je n'avais pas anticipé, c'est que C ETAIT DES PUTAINS DE RICHEMOND DE L ENFER. 6 transmetals, 10 000 fragments et les nerfs en pelote avant même d'avoir commencé le boulot. Rincé.

Rtr zg7ria - Eugenol

CT

10/08/2021 à 17h00

Mon premier cas de mucco, petite sueur tout de même après la nécrose de mon greffon, mais ça s'est bien terminé.

Mm - Eugenol

1...789