Cookie Consent byPrivacyPolicies.comVidéo extraction, mise en charge immédiate bridge provisoire - Eugenol

Vidéo extraction, mise en charge immédiate bridge provisoire à armature métal sur implant cône morse

Utilisateur banni

18/03/2013 à 18h46

vidéo de 3 extraction, mise en charge immédiate, chirurgies réalisées par beotien.
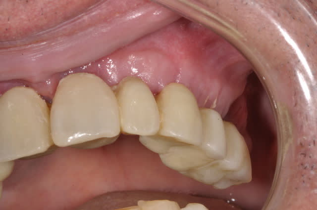
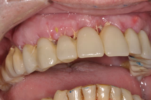
Les implants utilisés sont des LEONE, pilier cône morse, les bridges à armature métal provisoires sont simplement mise en place sans scellement et bien sur aucune vis. La prothèse définitive se fera comme un bridge traditionnel sur moignon.


Img 8465 fqhxid - Eugenol
noahaxeltiger-olivier

18/03/2013 à 21h05

posit écrivait:
---------------
> vidéo de 3 extraction, mise en charge immédiate, chirurgies réalisées par
> beotien.
> Les implants utilisés sont des LEONE, pilier cône morse, les bridges à armature
> métal provisoires sont simplement mise en place sans scellement et bien sur
> aucune vis. La prothèse définitive se fera comme un bridge traditionnel sur
> moignon.
>
>



Tu es sur que tu as joint le bon mien youtube, parce que dans cette vidéo on ne voit pas grand chose du traitement. Mais c'est peut être fait volontairement ? Une formation à venir ?


Smile beach jgh0a1 - Eugenol
Céramik

18/03/2013 à 21h09


Pour le bridge provisoire, il est fabriqué avant ou après la pose des implants ? Besoin de faire une empreinte ou pas avec implants en place ?

Peut-il être vissé et passif (sur un système d'implant avec vis)

--
Céramik


Photo pluton1b h9n4ea - Eugenol
pluton

18/03/2013 à 22h03

c'est peut être volontaire en effet pour une éventuelle formation...
mais c'est peut être parce que les vidéos sont faites à main levée avec un apn...pas forcément l'idéal...

mais sauf revirement de situation, je devrais en faire une dans quelques mois avec posit et on essayera de faire plus qualitatif (au niveau de la vidéo et iconographie bien sûr...;-))
sur des leone là aussi car pour ce type de réhabilitation il faut reconnaître que çà simplifie amha la procédure et que l'intervention nécessite beaucoup moins de pièces prothétiques...et donc c'est plus intéressant financièrement pour les patients...

pas de vis dans ces MCI Céramik...même pas de ciment de scellement...;-)
et c'est passif...et çà reste démontable...

j'ai compris comment çà marche parce que je suis très bricoleur, mais je pense que les utilisateurs d'Ankylos ont aussi compris comment c'était réalisé...;-)


Smile beach jgh0a1 - Eugenol
Céramik

18/03/2013 à 22h28

pluton écrivait:
----------------
>>
> pas de vis dans ces MCI Céramik...même pas de ciment de scellement...;-)
> et c'est passif...et çà reste démontable...


Oui, je le sais très bien.
Ça semble "clipper" sur des attachement ? (sur la video)


Il y a aussi multiples autres vidéo de Posit avec des MIS, donc vissés.

Le bridge armature métal parfois, toujours ? simple renfort métal ?
Les cas montrés ne sont pas tous pareils





--
Céramik


Utilisateur banni

19/03/2013 à 11h02

noahaxeltiger-olivier écrivait:
-------------------------------
> posit écrivait:
> ---------------
> > vidéo de 3 extraction, mise en charge immédiate, chirurgies réalisées par
> > beotien.
> > Les implants utilisés sont des LEONE, pilier cône morse, les bridges à
> armature
> > métal provisoires sont simplement mise en place sans scellement et bien sur
> > aucune vis. La prothèse définitive se fera comme un bridge traditionnel sur
> > moignon.
> >
> >


>
> Tu es sur que tu as joint le bon mien youtube, parce que dans cette vidéo on ne
> voit pas grand chose du traitement. Mais c'est peut être fait volontairement ?
> Une formation à venir ?


C’est une bonne idée d’organiser une formation sur la mise en charge immédiate, surtout que Positdental est doté d’un auditorium confortable et d’une salle de réception.

Céramik

Toute la préparation prothétique est élaborée en amont de la chirurgie, le but du protocole de mise en charge immédiate Positdental est que l’intervention soit effectuée en 1 seul temps chirurgical donc sans prise d’empreinte intermédiaire.

La réalisation d’une armature rigide et non pas un simplement un renfort me semble indispensable dans la mise en charge immédiate aussi tout les provisoires en sont dotés.

Tu as vue de nombreuse chirurgie sur les implants MIS parce qu’un des précurseurs dans l’utilisation du protocole est un poseur MIS est essentiellement du SEVEN. Avec le Docteur Jean KOSKIEVIC nous avons expérimentés il y a déjà 5 ans l’utilisation des multi-unit MIS, je tiens à le remercier car il a supporté l’évolution du protocole de mise en charge immédiate Positdental avec les bonnes et les « moins bonnes » idées pour faire évoluer la technique.

Beotien est le premier à avoir posé des implants LEONE en mise en charge immédiate avec bridge à armature métal en un seul temps chirurgical en pilier impacté et prothèse visée.

Drmarcus, grand spécialiste du cône morse à éprouvé pour la première fois 3 MCI sur implants LEONE pilier fixe, bridge fixe sans ciment de scellement et donc sans vis. Il va faire une présentation du protocole au Xéme Anniversaire le 4 et 5 juillet de l’hôpital Saint ANTOINE (PARIS) au coté des conférenciers :
Manuel CHAVANAZ
Marc DANAN
Vianney DESCROIX
Guy JOLY
Zvi LASTER
Carole LECONTE
Armand PARANQUE
Boris PETELE
Guy PRINC
Corinne TOUBOUL
Hilt TATUM

Beotien , sur ses 3 MCI a testé une nouvelle phase dans le protocole de mise en charge immédiate positdental qui fait gagner 30 minutes sur le temps global de la procédure.
Dans les premières MCI c’était des implants EASYIMPLANT MASTER.

Pluton a fait son premier cas, un bi-maxillaire, implant ID IMPLANT DIRECT avec un assistant de luxe Growler.
Comme tu peux le constater, le protocole est indépendant des marques d’implant.

Ci-joint la dernière mise en charge immédiate avec des implants EUROTEKNIKA NARURACTIS

2013 03 14 positdental 050 p8sqox - Eugenol

Utilisateur banni

20/03/2013 à 14h06

jeudi
extraction implantation mise en charge immédiate
mandibule

Pr  op e0j5ju - Eugenol

Utilisateur banni

20/03/2013 à 16h54

vendredi
extraction implantation mise en charge immédiate
maxillaire

Otp pr  op eyarzp - Eugenol

Casque beotien a3jo39 - Eugenol
beotien

22/03/2013 à 09h50

Pour ta collection Posit
les contrôles à 7 jours, 2 photos par cas

amusez vous à les reconnaitre!

Fi1 cofay5 - Eugenol
Ir1 gesfwt - Eugenol
Ir2 f9dj4a - Eugenol
Fi2 wijkyr - Eugenol
He1 uzamjm - Eugenol
He2 mocaef - Eugenol

Casque beotien a3jo39 - Eugenol
beotien

23/03/2013 à 12h02

Comme cette technique semble vous passionner, je mets un cas en photos:-))

Pour 3000€ de plus je posais un optragate! C'est le patient qui n'a pas voulu!!!!!!!!!!!!!!!!!!!

100 0806 ziyj6h - Eugenol
100 0809 s7yaeq - Eugenol
100 0811 olgvct - Eugenol
100 0812 vvxqy4 - Eugenol
100 0813 kzxnfv - Eugenol
100 0818 ehw02u - Eugenol
100 0820 fwo73z - Eugenol
100 0827 o96wkc - Eugenol
100 0840 zeukmk - Eugenol
100 0843 srtwc0 - Eugenol
100 0847 jyu5a5 - Eugenol
100 0851 l4isfd - Eugenol
100 0857 cabggg - Eugenol
100 0859 xlxta6 - Eugenol
100 0864 a2mx5i - Eugenol
100 0870 oarxye - Eugenol
Ir1 acixdv - Eugenol
Ir2 gqud79 - Eugenol

42dd7f26 hduleo - Eugenol
wilson

23/03/2013 à 13h09

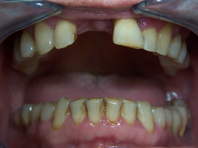
Y a que moi que ca choque ???? Extraire autant de dents qui au vu de la photo semblent conservable pour un résultat comme ca... Je plains ce patient!!


Utilisateur banni

23/03/2013 à 14h42

wilson écrivait:
----------------
> Y a que moi que ca choque ???? Extraire autant de dents qui au vu de la photo
> semblent conservable pour un résultat comme ca... Je plains ce patient!!


Wilson, sur l’image jointe il y a l’OTP pré- opératoire, les dents extraites, une modélisation 3D du site et l’OTP post-opératoire avec les implants et prothèses posée en 1 temps chirurgical.

Quel aurait été ton plan de traitement ?

Que reproches-tu au résultat post-opératoire ?

Merci d’avance pour tes réponses constructives.

Image1 tvgtdr - Eugenol

42dd7f26 hduleo - Eugenol
wilson

23/03/2013 à 15h33

Merci pour la pano! Je comprend mieux votre plan de traitement, même s'il est vrai que j'aurai eu tendance à procéder par étapes! Je trouve qu'extraction + implantation + comblement + mise en charge ca fait beaucoup!


Utilisateur banni

23/03/2013 à 16h10

Wilson, c’est beotien qui fait le plan de traitement, je suis fabricant de dispositifs médicaux sur mesure qui indique le protocole d’utilisation ainsi que les étapes qui me sont nécessaire à leurs fabrications. Comme tu as un protocole de forage selon le fabricant d’implant c’est le chirurgien qui prend les décisions selon la clinique.

Ton avis sur le résultat cicatriciel à 7 jours de ce plan de traitement ?


Utilisateur banni

24/03/2013 à 09h36

beotien écrivait:
-----------------
> Comme cette technique semble vous passionner, je mets un cas en photos:-))
>
> Pour 3000€ de plus je posais un optragate! C'est le patient qui n'a pas
> voulu!!!!!!!!!!!!!!!!!!!

Que veux tu beotien, cette technique n’est ni présentée à l’ADF, l’IDS, ni IMAGINA DENTAL à MONACO, c’est du terroir !


RépondreCiter
Img 8465 fqhxid - Eugenol
noahaxeltiger-olivier

24/03/2013 à 10h04

posit écrivait:
---------------
> wilson écrivait:
> ----------------
> > Y a que moi que ca choque ???? Extraire autant de dents qui au vu de la photo
> > semblent conservable pour un résultat comme ca... Je plains ce patient!!
>
>
> Wilson, sur l’image jointe il y a l’OTP pré- opératoire, les dents extraites,
> une modélisation 3D du site et l’OTP post-opératoire avec les implants et
> prothèses posée en 1 temps chirurgical.
>
> Quel aurait été ton plan de traitement ?
>
> Que reproches-tu au résultat post-opératoire ?
>
> Merci d’avance pour tes réponses constructives.


Oh non Wilson, il n'y a pas que toi que ça choque !!

Le praticien traitant ne se souciant pas des problèmes paro existant, il ne devrait pas avoir grande peine à ne pas voir les problèmes infectieux peri-implantaires qui se manifesteront dans peu de temps (regarde l'implant en 26, tu crois que ça l'à choqué !!)

Donc avec cette perspective, pour lui et son technicien de laboratoire c'est un grand succès !!!
Il y a qu'à regarder le resultat à 7 jours ! Que veux tu de plus !!!!

Encore une fois Posit, quand tu présentes des cas comme celui là, tu te tires une balle dans le pied. N'étant pas la 1er fois, j'arrive à penser que tu aimes ça !


Utilisateur banni

24/03/2013 à 10h31

noahaxeltiger-olivier écrivait:
-------------------------------
> Donc avec cette perspective, pour lui et son technicien de laboratoire c'est un
> grand succès !!!
> Il y a qu'à regarder le resultat à 7 jours ! Que veux tu de plus !!!!



Tu peux m’expliquer ce que tu trouve à la cicatrisation à 7 jours ?


Logo m4n3gc - Eugenol
drmarcus

24/03/2013 à 10h50

posit écrivait:
---------------

>
> Que veux tu beotien, cette technique n’est ni présentée à l’ADF, l’IDS, ni
> IMAGINA DENTAL à MONACO, c’est du terroir !

Qui te dit que ça ne se fera pas?

--
"La seule chose promise d'avance à l'échec, c'est celle que l'on ne tente pas" Paul Emile VICTOR


Img 8465 fqhxid - Eugenol
noahaxeltiger-olivier

24/03/2013 à 10h59

posit écrivait:
---------------
> Tu peux m’expliquer ce que tu trouve à la cicatrisation à 7 jours ?

Strictement rien de particulier ou d'unique. Tu t'attendais à quoi à 7 jours ??

Est ce pour toi une preuve de succes thérapeutique ?


Utilisateur banni

24/03/2013 à 11h18

noahaxeltiger-olivier écrivait:
-------------------------------
> posit écrivait:
> ---------------
> > Tu peux m’expliquer ce que tu trouve à la cicatrisation à 7 jours ?
>
> Strictement rien de particulier ou d'unique. Tu t'attendais à quoi à 7 jours ??
>
> Est ce pour toi une preuve de succes thérapeutique ?

Non, je pensais à te lire qu’il y avait un problème de cicatrisation. Je suis technicien de laboratoire, j’ai besoin de savoir à quoi sers ce que je fabrique.

Quel aurais ta façon de traiter ce cas ?


Photo pluton1b h9n4ea - Eugenol
pluton

24/03/2013 à 11h21

noahaxeltiger-olivier écrivait:
-------------------------------
> posit écrivait:
> ---------------
> > Tu peux m’expliquer ce que tu trouve à la cicatrisation à 7 jours ?
>
> Strictement rien de particulier ou d'unique. Tu t'attendais à quoi à 7 jours ??
>
> Est ce pour toi une preuve de succes thérapeutique ?

Noah autant la plupart du temps je suis d'accord avec toi autant là ton jugement sur le bien fondé de ce plan de traitement sans avoir à ta disposition l' ensemble des données cliniques et diagnostic me semble bien sévère...


Img 8465 fqhxid - Eugenol
noahaxeltiger-olivier

24/03/2013 à 11h47

pluton écrivait:
----------------
> noahaxeltiger-olivier écrivait:
> -------------------------------
> > posit écrivait:
> > ---------------
> > > Tu peux m’expliquer ce que tu trouve à la cicatrisation à 7 jours ?
> >
> > Strictement rien de particulier ou d'unique. Tu t'attendais à quoi à 7 jours
> ??
> >
> > Est ce pour toi une preuve de succes thérapeutique ?
>
> Noah autant la plupart du temps je suis d'accord avec toi autant là ton jugement
> sur le bien fondé de ce plan de traitement sans avoir à ta disposition l'
> ensemble des données cliniques et diagnostic me semble bien sévère...

Ne me fais pas rire Pluton! Parce que tu crois que ce patient a reçu un traitement paro préalable, traitement parodontal qui à été ré-évalué. On n'a même pas essayé parce qu'aux yeux de certains le traitement parodontal est l'extraction dentaire.

Je me moque parfaitement de ce que vous faites dans vos cabinet, mais ne venez s'il vous plait pas nous dire que ce plan de traitement est celui qui doit être suivi. En plus de mentir à vos patients, vous vous mentez à vous même !!
Si vous êtes incapables de gérer ces pbs parodontaux, comment allez vous gérer les cas de peri-implantites qui vont se présenter à vous ??
Ah oui, vous en avez certainement pas !! Vous êtes sauvez !!


RépondreCiter
Photo pluton1b h9n4ea - Eugenol
pluton

24/03/2013 à 12h13

je ne dis pas que le plan de ttm idéal est celui qui a été réalisé, Noah...mais que le plan de ttm proposé est celui de Béotien qui lui a toutes les données...pas nous...
c'est pas avec une pano et quelques photos que l'on peut évaluer les doléances, les mobilités, les désirs, le budget de ce patient...autant de facteurs à prendre en compte dans l'élaboration du plan de ttm...
alors oui, l'implant en 26 n'est pas en forme...mais çà a peut être été corrigé lors de la chir ou planifié...et çà on ne le sais pas non plus...

personnellement, porter un regard aussi critique sur le travail de Béotien sans avoir étudié précisément le cas, est quelque chose que je ne me permettrais pas et que je trouverais en tout cas particulièrement "borderline" au niveau déontologique...


Utilisateur banni

24/03/2013 à 12h21

noahaxeltiger-olivier écrivait:
-------------------------------
> Je me moque parfaitement de ce que vous faites dans vos cabinet, mais ne venez
> s'il vous plait pas nous dire que ce plan de traitement est celui qui doit être
> suivi.


Ne t’énerve pas, je ne vois où est écrit une chose pareille, aussi je renouvelle ma question.

Quel aurais été ta façon de traiter ce cas ?


Logo m4n3gc - Eugenol
drmarcus

24/03/2013 à 13h11

pluton écrivait:
----------------

> personnellement, porter un regard aussi critique sur le travail de Béotien sans
> avoir étudié précisément le cas, est quelque chose que je ne me permettrais pas
> et que je trouverais en tout cas particulièrement "borderline" au niveau
> déontologique...


Bien d'accord........Et ce qui me choque ce sont ces attitudes de jugement hatifs!...........A quel époque déjà on a jugé et condamné aussi rapidement??????

Revenons à la clinique et au raisonnement de nos confrères si convaincus.


0 bilan médical
0 historique (Rdv ou autres etc...)
0 examen extra-oral
0 examen endo-buccal
0 anamnèse
0 desiderata du patient

1 pano non datée + 1 vision étriquée = 1 diagnostic

Il faut que je trouve la formation permanente en rapport rapidement :-)))

Moi je dis bravo et que les experts se recyclent où viennent sur nonol ça ira plus vite et ça réduira les frais!

Moi c'est votre attitude d'accusation qui me choque!!! Pourquoi ne commencez vous pas par poser la question pourquoi?
Et pourtant je suis réputé pour ne pas être diplomate mais là...

A votre façon de faire j'aurai planté nombres de confrère voisin mais je rassure leur patient et leur renvoie. Je suis sur que la plupart des praticiens ne se rende compte de rien et ça c'est confraternel et bien pour la profession.

--
"La seule chose promise d'avance à l'échec, c'est celle que l'on ne tente pas" Paul Emile VICTOR