Cookie Consent byPrivacyPolicies.comVidéo extraction, mise en charge immédiate bridge provisoire - Eugenol

Vidéo extraction, mise en charge immédiate bridge provisoire à armature métal sur implant cône morse

DentR

24/03/2013 à 22h50

beotien écrivait:
-----------------
> G-P écrivait:
> -------------
> > Même question que Ceramik.
>
> Il y avait 9 implants avant la chir 1 va mal et tous vous focalisé, amusant mais
> classique
> Ce n'est pas en rapport avec le sujet mais voila mon raisonement
> 28 ET 38 sont restées 5 ans car je les pensais utiles
> 28 n'est pas en rapport avec le problème de l'implant 27
>
> Dans 3 mois 28 & 38 vont disparaitre, et je tenterais en même temps de sauver 27
> En cas d'échec probable dans l'implant disparaitra et lors de la prothèse
> définitive j’intégrerais 26 ou pas
>
> Juanito disait:
> --------------
> >Pour moi ce traitement c'est de la grosse cavalerie qui fait fi des concepts
> actuels de l'implantologie-parodontologie.
>
> Quand j'ai commencé à implanter les concepts ACTUELS étaient:
> .les implants sous périostés
> .les lames de linkow ou autres
> .les implants recouverts d'hydroxyapatite
> .les implants lisses impactés
>
> J'ai tout essayé alors là oui aujourd'hui de cela tu peux me traiter avec le
> recul "d’apprenti sorcier", mais pour les cas fait avec Posit attend quand même
> un peu
>
> Pour ce qui est de la paro!!!!!!!!!!!!!!!!!!!
> Tous mes amis paro exclusifs de l'époque sont devenus implantos exclusifs donc
> no comment!
>
>

La citation n'est pas apparue ...je ne vois pas en quoi ces 2 dents ont pu être utiles,
Merci de m'éclairer


Logo m4n3gc - Eugenol
drmarcus

24/03/2013 à 22h55

Juanito écrivait:
-----------------
> vous deux apprenez à lire.
>
> j'ai écrit: vos transvissés/impactés
>
> c'est au pluriel et donc pour les cas transvissés postés depuis longues dates et
> ces cas impactés comme le dernier décrit. C'est bien comme terme, "impacté",
> pour décrire le mode de connexion du cône morse Monsieur le spécialiste de cette
> connexion ?

Eh bien pour une EIMCI "impacté" n'est pas spécialement bien cité comme terme. Puisque nouveau sur ce site je vous trouve bien renseigné sur mes antécédents.
Pour assimilation c'est comme les différents types de pb paro.

Allez une piste: un rivet est impacté pas une connectique Morse.

Je ne dirai pas bon dimanche mais bonne nuit.

--
"La seule chose promise d'avance à l'échec, c'est celle que l'on ne tente pas" Paul Emile VICTOR


Juanito

24/03/2013 à 23h10

faire un premier post sur eugénol ne dispense pas de l'avoir consulté de longue date et d'en avoir cerné les personnages :))))


Casque beotien a3jo39 - Eugenol
beotien

25/03/2013 à 00h46

DentR écrivait:
---------------
> Bsr, à quoi pouvaient être 28 et 38 utiles ?
> Merci

est ce que si je te dis que j'attendais d'avoir fait la bonne formation la réponse te va?

je les PENSAIS utiles au patient, il y tenait et dans la mesure ou j'avais des choses plus importantes à faire dans sa bouche..... Elles sont toujours là

Cela fait partie de ces choses étranges dans les rapports avec les patients. Ce qui est un fait c'est que 5 ans après elles sont encore là, et qu'il va bien falloir que je les enleve

Bon je pense avoir répondu aimablement à tout le monde
heureusement je n'ai mis qu'un seul cas!

L'Agressivité de certains me rempli d'effroi, qu'est ce vous devez être malheureux dans votre vie.

C'est un trait d'humour que seuls certains ici comprendront, les autres ne cherchez pas.


Pepsi tmi4vp - Eugenol
cartman

25/03/2013 à 01h01

Marrant de voir a quel point les dentistes sont prompts a critiquer les travaux de leurs confreres et a etre indulgent avec le leur meme si c'est loin d'etre parfait :)
Je ne pense pas que j'aurai proceder comme beotien MAIS je n'etais pas dans sa salle en presence de son patient et je ne sais pas quel est le passe dentaire de son patient, ni ses envies, ni ses disponibilites.
Je ne vois pas l'interet de l'allumer alors que nous pourrions tous apprendre de ce cas qui est un grand classique dans nos cabs. :)


Utilisateur banni

25/03/2013 à 07h43

Affirmer une opinion semble pour certain être plus intelligent que de poser une question.

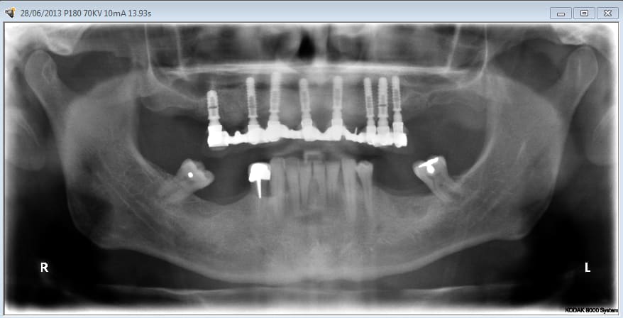
La vidéo présente à partir des plans de traitements, des chirurgies de beotien , des dispositifs médicaux sur mesure positdental et positguide la mise en charge immédiate post-extractionnelle d’un bridge provisoire à armature métal en prothèse fixe sur implants cône morse donc sans vis de maintien. Une question est émise « comment obtient-on ce résultat ? ». Une partie des réponses comme la prédictibilité, la reproductibilité peuvent y être déduite pour d’autre il faudra la bonté de beotien de faire partager les résultats clinique.il nous fait la générosité de poster la phase cicatriciel à 7 jours et des photos de la chirurgie sur un cas.

Certain par le biais de sous entendue ou en sortant du cadre de la prescription et sans étayer leurs arguments remettent en question un plan de traitement sans poser la question à beotien sur les moyens utilisés pour obtenir ce résultat.

Maintenant il est tant de démarrer ma journée de travail et de concevoir et fabriquer le DMS prescris au service du chirurgien pour une MCIPE bi-maxillaire.

Image1 w9brg5 - Eugenol
Image2 wvrmnc - Eugenol
Image3 ha4wn4 - Eugenol
Image4 en8zok - Eugenol
Image5 bu02xj - Eugenol
Image6 xm2ys6 - Eugenol
Image7 ybig67 - Eugenol
Image8 wb6ict - Eugenol
Image9 byfcrs - Eugenol

Utilisateur banni

27/03/2013 à 12h01

drmarcus écrivait:
------------------
> posit écrivait:
> ---------------
>
> >
> > Que veux tu beotien, cette technique n’est ni présentée à l’ADF, l’IDS, ni
> > IMAGINA DENTAL à MONACO, c’est du terroir !
>
> Qui te dit que ça ne se fera pas?
>
> --
> "La seule chose promise d'avance à l'échec, c'est celle que l'on ne tente pas"
> Paul Emile VICTOR




J’ai vue ta photo sur le programme de la conférence, tu passe le matin. J’espère que tu pourras rester l’après midi, il y a Hilt TATUM Jr, se croie qu’il n’a fait que 2 conférences en France.


Logo m4n3gc - Eugenol
drmarcus

27/03/2013 à 13h24

posit écrivait:
---------------
>
>
>
>
> J’ai vue ta photo sur le programme de la conférence, tu passe le matin. J’espère
> que tu pourras rester l’après midi, il y a Hilt TATUM Jr, se croie qu’il n’a
> fait que 2 conférences en France.

Bien vue!
Oui je reste la journée; mais le vendredi j'ai d'ores et déjà d'autres obligations. Je le regrette car j'aurai aimé revoir certains orateurs, enfin telle va la vie.


--
"La seule chose promise d'avance à l'échec, c'est celle que l'on ne tente pas" Paul Emile VICTOR


Casque beotien a3jo39 - Eugenol
beotien

28/03/2013 à 23h49

Bien maintenant que vous avez pu tester que vos phéromones printanières sont toujours actives, j’espère que vous avez tous pu les libérer avec succès.

Vous regardez un cas de mci et ne voyez que l’implant sur 9 (je ne parle pas des derniers qui n’ont que quelques jours) qui posé il y a 4 ans lors d’un sinus lift latéral ne va pas bien, et de 2 (8) qu’un 3ème année pourrait enlever.

Ce patient arrivant aujourd’hui en consultation avec la pano initiale, je dirais aussi que mon protocole est nul et il n’a que 4 ans.

En aparté, les données acquises de la science même à l’échelle d’une carrière c’est ubuesque, et pourtant j’essaie de les appliquer, en ne mettant pas en doute la probité des praticiens de grande qualité du forum ou d’ailleurs qui les prônent.

(exemple : quid du DFDB que je posais en 1981, puis interdit en France, et que je reposerais sans doute avant la fin de ma carrière, quid du glifanan, di antalvic, ss périosté, etc…, ou de ces C qui devaient révolutionner la profession)

Aujourd’hui le protocole serait scanner, discussion avec mes associés paro et ortho, et probablement exo, Mci sans sinus lift.
Le pour :
Moins de perte osseuse, car pour ces cas de résorption osseuse quand je fais exo réévaluation à 3 mois c’est presque à coup sûr locator ou au mieux barre fraisée

Les contres :
Compliqué psychologiquement à faire admettre au patient, car pour lui le seul problème est que ses dents bougent
Chirurgie un peu lourde pour le patient au fauteuil, mais beaucoup moins qu’un sous périosté complet

Discussion :
Au stade de la pano 1 peut-on sauver les dents ?
Le patient a eu un traitement paro suivi d’une contention ortho. Une option était exo 11 21 25 et bridge 15 à 25, mais 13 14 15 étaient latéro déviées cela se devine sur la photo que Noah a reprise.
Et même en ayant posé les implants en palatin secteur 1, je serais sans doute obligé de faire quelque chose pour 43 44 45

Mon propos est de faire si possible évoluer une technique que je trouve intéressante permettant d’éliminer les vis et le ciment de scellement, et aussi de diminuer sensiblement le temps de travail et le cout.


Pour finir et sans agressivité pour celui qui parle de grosse cavalerie.
Un chirurgien a enlevé à mon fils 2 loges musculaires, son fémur, son sciatique pour tenter de le sauver en respectant une marge R 0, alors excuses moi mais dans les propos il faut savoir raison garder.

Et si un « apprenti sorcier » me proposait pour lui un traitement, je serais preneur, car le protocole, randomisé en accord avec les concepts actuels, établi par des chercheurs dont je ne remets absolument pas en cause les compétences est inefficace.


Re ddszji - Eugenol

S2y2o1v7q53ws4r5wy6ou8czrpom - Eugenol
pxav

04/04/2013 à 23h59

si j'en ai l'occasion le jeudi de 14 à 18h c'est le gratin de la manipulation osseuse.
--
xbk


Ulysse 31 nono le petit robot tjdbmb - Eugenol
ptitrobot

05/04/2013 à 12h12

cartman écrivait:
-----------------
> Marrant de voir a quel point les dentistes sont prompts a critiquer les travaux
> de leurs confreres et a etre indulgent avec le leur meme si c'est loin d'etre
> parfait :)
> Je ne pense pas que j'aurai proceder comme beotien MAIS je n'etais pas dans sa
> salle en presence de son patient et je ne sais pas quel est le passe dentaire de
> son patient, ni ses envies, ni ses disponibilites.
> Je ne vois pas l'interet de l'allumer alors que nous pourrions tous apprendre de
> ce cas qui est un grand classique dans nos cabs. :)


+ 1

Mais ce qui est dommage c'est que Eugenol qui devrait étre un forum "d'échanges confraternels" commence à devenir un lieu d'invectives, et ceux qui ont encore le "courage" de poster des cas pourraient devenir de moins en moins nombreux.

Posit, je t'ai rencontré à la conférence de l'ADF. Je te sais sérieux et professionnel, et lorsqu'un cas de MCI se présentera à moi, j'essayerai volontiers ton système.
Mais, même si c'est beaucoup de travail pour toi et le praticien, pourrais-tu nous présenter un cas "complet", cela te permetterai de moins prêter le "flanc à la critique".


Utilisateur banni

06/04/2013 à 16h30

planif cas 1

Image10 oiqjn3 - Eugenol
Image11 lzmz4u - Eugenol
Image12 i9uxhg - Eugenol
Image13 auxztu - Eugenol
Image14 grv6ug - Eugenol
Image15 cadpgb - Eugenol
Image16 fnj2dx - Eugenol
Image17 xqnddt - Eugenol
Image18 ly59lf - Eugenol
Image19 mktgnx - Eugenol
Image20 tparfo - Eugenol
Image21 qzq52r - Eugenol
Image22 dd18na - Eugenol
Image23 u27n4y - Eugenol
Image24 n8w1bq - Eugenol
Image25 zhx27u - Eugenol
Image26 n2dnjy - Eugenol
3 bj7pgp - Eugenol
Ir lsq0zj - Eugenol
100 0813 z2i8hm - Eugenol
100 0811 fo0zpi - Eugenol
100 0812 dnbanh - Eugenol
100 0819 a1wdzy - Eugenol
100 0851 zevmrp - Eugenol
100 0836 hr5osd - Eugenol
100 0840 uugsus - Eugenol
100 0845 lcwywa - Eugenol
100 0865 gge9kw - Eugenol
100 0867 e0acdi - Eugenol

Kaloyanis

06/04/2013 à 18h39

Concernant les piliers et le bridge :

- Coment obtenir une passivité d'insertion sans ciment de scellement, aucun espacement entre pilier/chappe du bridge, une passivité qui est réalisable avec le systeme NobelGuide avec leurs piliers expansifs, ou avec des piliers type MUA courts angulé et une suprastructure transvissée comme ils ont aussi chez Leone.Un des principes de la MCI est cette passivité du provisoire qui se veut aussi rigide et donc sans cette dernière il y a une application de forces sur les implants induisant leur perte

- Le protocole est il : pose des implants-- empreinte -- taille des piliers sur model-- fabrication du bridge-? ou tout est fabriqué en amont ?
-les piliers sont positionnés via une clé de repositionnement ou comment ?

Enfin pourquoi une communication avec juste des photos à chaque nouveau sujet, pourquoi ne pas expliquer une fois pour toutes le protocole complet


Utilisateur banni

08/04/2013 à 14h07

Si tu as suivi les cas présentés depuis plusieurs années les bridges provisoires ont une armature métal pour la rigidité du fixateur externe, l’intervention se déroule en 1 seul temps chirurgical donc sans prise d’empreinte, c’est pour cela que je parle de MCI. Pour la passivité du bridge avec le système Nobel Guide et leurs piliers expansifs je n’ai vue aucun cas clinique présenté sur le forum. As-tu déjà utilisé le procédé ? Dans les cas présentés sur la vidéo, aucune clé de positionnement n’a été utilisée, le placement des piliers se fait selon la simulation implantaire assistée par ordinateur, leurs présentations a été faite en prospective par OTP, modèle 3D et à la demande de beotien la solution pilier fixe a été retenu à la place du bridge transvisé. Quel sont les compléments d’information que tu as besoin et ou la photo ne te suffi pas ? Pour le protocole d’une MCI, empreintes des maxillaires, dimension verticale de l’occlusion, définition de l’esthétique souhaitée, prescriptions, réalisation du Positscan, traitement des informations à partir des données DICOM, simulation implantaire assistée par ordinateur, validation, réception des DMSM selon les types d’implants et encastillages les procédures varient. Quel système implantaire utilise-tu ?


Kaloyanis

09/04/2013 à 01h17

Salut, merci pour cette reponse.

Donc apres la simulation les piliers sont juste taillés pour avoir une angulation exacte et un repère vestibulaire ? Ceci veut dire que les implants ne subissent aucune deviation xyz entre la planification et la pose, et puis comment etre sûr qu'ils vont bloquer à au moins 30N à l'enfouissement prevu ?
J'ai du mal à croire en une passivité du bridge provisoire, d'après moi il induit des forces sur les implants.
Je suis bien interressé par les Leone, et aimerai connaitre le protocol pour ce système.


Casque beotien a3jo39 - Eugenol
beotien

09/04/2013 à 12h28

contrôle d'un des cas à 1 mois

pas de commentaires sur mon post précédent, pour les jeunes c'étaient des targis vectris, matériau fabuleux!!!!
pour le reste je n'en suis même pas étonné.............

Dsc 0067 uu9fgu - Eugenol
Dsc 0068 fangly - Eugenol

Utilisateur banni

09/04/2013 à 13h53

?

Image28 wzqqca - Eugenol

Utilisateur banni

09/04/2013 à 16h06

posit écrivait:
---------------
> ?

Image29 od0l3w - Eugenol

Icon poker h4nm2d - Eugenol
jeff

09/04/2013 à 17h26

Kaloyanis écrivait:
-------------------

> J'ai du mal à croire en une passivité du bridge provisoire, d'après moi il
> induit des forces sur les implants.


il en a déja été question dans un autre post. En fait, il semble que cela n'a aucune importante, ce qu'il faut , c'est une passivité APRES la phase d'ostéo-intégration.


Protée

09/04/2013 à 18h33

jeff écrivait:
--------------
> Kaloyanis écrivait:
> -------------------
>
> > J'ai du mal à croire en une passivité du bridge provisoire, d'après moi il
> > induit des forces sur les implants.
>
>
> il en a déja été question dans un autre post. En fait, il semble que cela n'a
> aucune importante, ce qu'il faut , c'est une passivité APRES la phase
> d'ostéo-intégration.

Je suis d'accord avec jeff. Je suis nonol depuis longtemps et je crois que drmarcus en parlait.


Utilisateur banni

10/04/2013 à 01h23

Dans le protocole Positdental de MCI l’armature métal contraint les implants à conserver la position initiale de leurs poses et si un bridge provisoire induit des forces sur les implants c’est qu’il ne respecte pas celle-ci. Pendant la mastication la rigidité du provisoire assure une répartition des contraintes sur l’ensemble des implants.


Casque beotien a3jo39 - Eugenol
beotien

24/05/2019 à 18h53

Je viens de relire ce sujet d'il y a maintenant 6 ans.
On comprend mieux pourquoi personne ne met de cas sur eugénol.
A l'époque mon fils était en stade terminal de son cancer il est décédé le 21 juin 2013.
Pour les charmants confrères qui avaient parlé de grosse cavalerie, de malhonnêteté, échec à court terme, etc...
Je viens de revoir au cabinet un des 3 cas, car la céramique de la 25 était fracturée.
J'ai pris une photo (iphone) avec le bridge déposé avant de mettre temporairement le bridge coping de Posit. Pas la peine de commenter le bas je n'en suis pas responsable.

J2012 t50cis - Eugenol
J2013pose frtjan - Eugenol
J2019 qpr87z - Eugenol
J2019bis eevsfp - Eugenol
Jgencive xeafdh - Eugenol

Photo pluton1b h9n4ea - Eugenol
pluton

25/05/2019 à 09h17

bon boulot béo...mais tu sais déjà que j'ai des résultats similaires avec Posit
6 ans post op, on commence à avoir un certain recul clinique....