Cookie Consent byPrivacyPolicies.comDénudations radiculaires, malpositions, et érosions de - Eugenol

Dénudations radiculaires, malpositions, et érosions de l'émail

VGR

22/03/2013 à 14h38

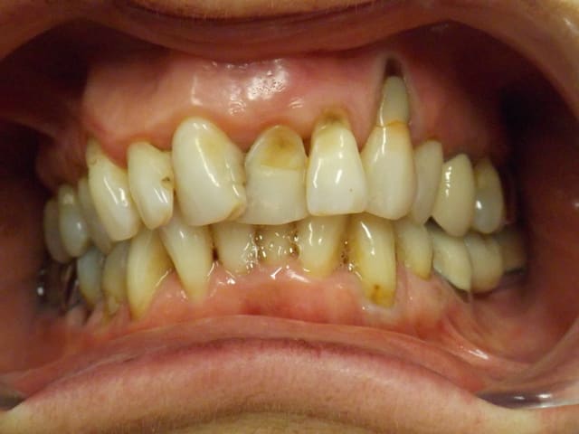
Dame de soixante cinq ans. Motif de consultation esthétique, et elle est préoccupée par la 23.
Quel traitement lui proposeriez-vous pour le bloc incisivo-canin supérieur ?
Pas de mobilité ni de poches paro, pas d'hypersensibilité dentinaire, tests de vitalité positifs, sauf la 23 qui est dévitalisée. Sourire non gingival.

Cas cliniques 005 nnpbr1 - Eugenol

Monsieur Poupi

22/03/2013 à 14h52

y a t-il un bruxisme (centré ou excentré) ?


VGR

22/03/2013 à 15h08

Bonjour,
Non il n'y a pas de bruxisme ni de pathologie articulaire.


Images jm2g2g - Eugenol
dr_0le

22/03/2013 à 20h45

détartrage.
pour la 23 petit apport de tissu mou.
pour le reste, soit composite sur les défauts d'émail si la patiente ne demande pas plus, soit facettes pour rattraper les décalages.


chicote64

22/03/2013 à 21h23

je ferais faire un wax_up par le prothésiste,je pense qu'en vestibulant légèrement on gagnerait assez de place pour faire quelque chose de joli de la 13 à la 23 ,puis après une greffe de conjonctif en 23 ,6 CCC sur dents vivantes.Meme à 65 ans elle sera ravie d'avoir un joli sourire et si elle est venu te consulter c'est certainement ce dont elle a envie


G-P

23/03/2013 à 00h24

Tout dépend de la motivation et des moyens financiers du patient.
Ca peut aller de simplement refaire les composites, à ortho / ROG / puis CCC. Ta question n'a pas de sens sans ce paramètre.

Tu as une pano ?


VGR

24/03/2013 à 16h23

Merci pour vos réponses. Cette patiente est venue car j'ai fait des facettes à son fils l'an dernier, et qu'elle a pensé que je pourrais peut être lui faire la même chose. Elle est donc prête à envisager tous les traitements parodontaux et prothétiques (mais pas l'orthodontie).

Il me semble que la malposition est telle qu'elle n'est pas rattrapable par des facettes, et peut être faut-il effectivement envisager des CCC, et sans doute que les wax up m'aideront à confirmer ce choix, je vais commencer par ça.
J'avoue que les réponses me rassurent, car je me demandais si c'était pas un peu trop que de proposer un traitement aussi invasif, même en gardant les dents vivantes.

Pour la 23 j'hésitais avant de l'adresser pour une greffe car la racine parait un peu recariée autour du vieux compo, est-ce que ça n'est pas une contre-indication ?

J'ai des radios que je pourrais poster si quelqu'un avait la gentillesse de m'orienter vers un lien qui explique comment convertir les radios au format jpg.


G-P

24/03/2013 à 18h59

Ici, sans ortho, point de salut. On a un sourire très "animé".

Contente toi du minimum, à mon avis. Vu l'état de la 23, pas besoin de sortir la grosse artillerie, c'est une dent condamnée à moyen terme.
De plus on aperçoit l'état des dents postérieures. Traitement global ?


Bebe 038 nf8eum - Eugenol
danteyeah

26/03/2013 à 01h13

G-P écrivait:
-------------
> Ici, sans ortho, point de salut. On a un sourire très "animé".
>
> Contente toi du minimum, à mon avis. Vu l'état de la 23, pas besoin de sortir la
> grosse artillerie, c'est une dent condamnée à moyen terme.
> De plus on aperçoit l'état des dents postérieures. Traitement global ?

+1, on aurait besoin d'expansion (pas évident à cette âge), l'occlusion est foireuse, et les antérieures en souffre énormément. Un traitement global est a envisager, peut être qu'avec un beau mock-up tu pourrai motiver ta patiente. Pour la 23 si l'origine de la lésion paro (certainement occlusale) n'est pas réglée, ça va de toute façon finir dans le haricot!

Pour moi pas touche aux antérieures si toute l'occlusion (postérieure et antérieure) n'est pas équilibrée.