Cookie Consent byPrivacyPolicies.comUn cas - Eugenol
1309531 ours brun n5iukf - Eugenol
seespan

09/04/2013 à 18h09

Bon par contre ça veut dire :
- plier le fil pour que une fois la ligature fixé a la boucle la traction se fasse dans la bonne direction.
- Plier le deuxième partie du fil avec la ligature en place pour tracte la canine dans le bon sens.

Ca devrais nécessiter un peut plus d'ajustement que deux fils indépendant mais ça devrait être gérable.

--
หมอจัดฟัน


1 eugenol dmj5np - Eugenol
Dancha

09/04/2013 à 23h32

seespan écrivait:
-----------------
> Faire une boucle sur la bras du C8T 1 au niveau de la 14 ou l'on pourra attacher
> la ligature de la 14 ?
>

Cela ne me paraît pas une bonne solution car ça supprime deux avantages du système :
- la force légère, précise et continue.
- la grande amplitude de mouvement.

Il vaut mieux fabriquer un système totalement indépendant..
Quoi et comment ?
Il faut aussi que ce soit simple et rapide à réaliser car cette jeune personne a déjà subi dans la séance les 3 dégagements ainsi que la mise en place et l'activation des 2 CT8-1. Même si tout ça a été fait promptement, elle aimerait bien que ce soit vite terminé..

Daniel


1309531 ours brun n5iukf - Eugenol
seespan

10/04/2013 à 04h48

.


1309531 ours brun n5iukf - Eugenol
seespan

10/04/2013 à 07h43


Bon la a part faire un appareil intral oral du type d'écrit plus haut ( bras en TMA souder sur une bague au niveau de 16 et barre trans palatine reliant 16 et 26 )je ne vois pas .
Vue qu'il n'y a qu'un dent a tracter l'on pourrait si l'on veut éviter les étape labo coller sur 16 et 55 avec l'aide de composite une barre en plastique transparent ( ou un fil en métal ) avec un crochet au bout.
On accrocherais une chaîne élastomérique de la ligature de la 14 a la barre en plastique.
Pour limiter les force de réaction l'on pourrait réaliser une mini barre trans-palatine

Du fil de O.8 reliant les faces palatine de 16 et 26 et maintenue en place avec de la résine. Vue que la traction doit être assez rapide ça devrait être suffisant.

--
หมอจัดฟัน


1 eugenol dmj5np - Eugenol
Dancha

10/04/2013 à 20h45

Tu proposes donc, si je comprends bien, une tige quelconque en résine ou en métal, collée sur les faces vestibulaires de 16 et de 55, qui dépasserait de 55 en mésial pour être terminée par un crochet sur lequel serait fixée la chaînette élastomérique qui tracterait la 14.

Y a de l'idée, mais ça ne me paraît pas correspondre à mon cahier des charges qui demande, je le répète :
- une force légère, précise et continue.
- une grande amplitude de mouvement.

Je désire le respecter. Comment faire ?

Daniel


1309531 ours brun n5iukf - Eugenol
seespan

10/04/2013 à 21h07

Barre transpalatine stabiliser par de la resine sur 16 55 26 65
C0 1 ( Une tige de TMA avec une boucle au bout) coller sur la face vestibulaire de la 16 pour mobiliser la 14
--
หมอจัดฟัน


1309531 ours brun n5iukf - Eugenol
seespan

10/04/2013 à 21h35


Meme pas besoin de la barre palatine ? Un file de TMA sur la face vestibulaire de la 16 suffit ?
--
หมอจัดฟัน


1 eugenol dmj5np - Eugenol
Dancha

12/04/2013 à 21h37

C'est un peu court, jeune homme...
Mon cahier des charges désire un fil de type cantilever un peu plus long d'une part, d'autre part s'ancrer juste sur la 16 me semble un peu périlleux..

Daniel


1309531 ours brun n5iukf - Eugenol
seespan

13/04/2013 à 05h27

1 une force de reaction est dependante de la force de traction appliquer. Si une force de reaction provoquer par une chaine elastomerique est gerabble avec un ancrage sur 16 55. Une force globallement equivalente en intensiter et direction avec ancrage sur 16 55, 26 et 65 sera aussi parfaitement gerable

Dancha a t'il oublier les principes de la mecanique newtonienne :-) ?

2 La longueur de fil peut etre augmenter en faisant des boucles. On fait partire le fil en distal et dans le vestibule et on le ramene avec une boucle en U. La longueur de travail sera alors globalement equivalente aux autre fil.


Solution alternatives :

1 Regarder fixement dans la direction de la 14 jusqu'a se qu'on entende la voie d'Obiwane kenobie dire ' Utilise la force Luke', et la on utilise la force meme si on ne s'apelle pas Luke

2 Si vous ne vouler pas faire une autre chirurgie ni vous ancrer sur les dent, la seul structure stable qui reste sur cette patiente est le fil de TMA relier a la 13.
Donc je ne sais pas comment vous faite mais vous encrer un second fil de TMA sur le premier.

PS : desoler pour les fautes mais je suis au fin fond de la campagne Thailandaise et je n'ai qu'un telephone avec clavier Thai anglais sans caracteres speciaux ni correcteur et ecran mini
--
หมอจัดฟัน


belette

13/04/2013 à 13h34

.


1 eugenol dmj5np - Eugenol
Dancha

15/04/2013 à 21h11

seespan écrivait:
-----------------
> 1 une force de réaction est dépendante de la force de traction appliquer. Si une
> force de réaction provoquer par une chaine élastomèrique est gérable avec un
> ancrage sur 16 55. Une force globalement équivalente en intensité et direction
> avec ancrage sur 16 55, 26 et 65 sera aussi parfaitement gérable
>
> Dancha a-t'il oublier les principes de la mécanique newtonienne :-) ?
>

Mais non mais non, je me référais simplement à tes derniers messages, ou tu ne donnais pas d’autre choix qu’un ancrage sur 16 55, 26 et 65 ou uniquement sur la 16.
Je me voyais mal faire rapidement un arc transpalatin extemporané et un ancrage sur la 16 toute seule me paraissait quand même un peu juste.
OK pour 16 et 65, là c’est bon.

> La longueur de fil peut être augmenter en faisant des boucles. On fait partir
> le fil en distal et dans le vestibule et on le ramène avec une boucle en U. La
> longueur de travail sera alors globalement équivalente aux autre fil.
>

C’est tout bon cette fois, on va faire comme ça !

À suivre..

Daniel


1 eugenol dmj5np - Eugenol
Dancha

16/04/2013 à 21h24

C'est parti !

Des CT8-1 pour tracter 13 et 23, un arc en TMA .016 comme l'a décrit Seespan pour tracter 14.
J'ai quand même collé un tube en vestibulaire de 16 par simplicité.
Le fil collé sur 55 passe dans le tube en direction distale, est replié en "U" pour revenir en mésial faire son action.
.. on verra si ça marche !

Daniel

12224 1 i54xex - Eugenol

1 eugenol dmj5np - Eugenol
Dancha

19/04/2013 à 21h26

Et bien oui, pour le moment ça marche !
La 14 montre le bout de son nez et j'ai même pu changer le bouton pour y accrocher directement le fil TMA !

Daniel

12224 2 kzba7u - Eugenol

1309531 ours brun n5iukf - Eugenol
seespan

20/04/2013 à 05h03

Juste une question :

Comment aller vous redresser l'axe de la racine de 14 ?
Si on essaye de la torquer la force de réaction ne risque t'elle pas d’être trop importante sur 16 et 55 ?


OU aller vous juste procéder a la mise en place de 14 sur l'arcade avec un axe de racine mésialer et attendre la fin de l'éruption de la canine ( dont l'axe racinaire lui devrait étre correcte ), pour retirer le file TMA de la canine et vous en servire pour corriger l'axe de 14 ?

Ou en solution subsidiaire

Augmenter l'ancrage sur les dent en reliant 16 55 et 26 65, si vous avez le model initial il suffit de plier en fil de 0.8 ou même 0.6 longeant les face lingual de 16 55, traversant le palais et longeant ensuite les faces lingual de 26 et 65. La mise en place directement ne bouche avec la résine ne devrais pas poser de problème.

Utiliser directement le fil relier a l'ancrage squeletique quand il est encore relier a la canine. Mais la je ne vois pas trop comment l'on peut faire.

--
หมอจัดฟัน


1 eugenol dmj5np - Eugenol
Dancha

23/04/2013 à 10h32

seespan écrivait:
-----------------
> Comment aller vous redresser l'axe de la racine de 14 ?
> Si on essaye de la torquer la force de réaction ne risque t'elle pas d’être trop
> importante sur 16 et 55 ?

On verra quand elle sera sur l'arcade de combien il faut reculer sa racine pour permettre le passage de la canine.
On décidera à ce moment-là quelle mécanique utiliser.

> ..., si vous avez le model initial il suffit de plier en fil de 0.8 ou même 0.6 longeant les face..

Pourquoi penses-tu que j'aie pu faire des empreintes ?
Tu crois que c'était nécessaire ?

Daniel


1309531 ours brun n5iukf - Eugenol
seespan

23/04/2013 à 10h43

Et bien un modèle initial permet d'avoir un document de la situation initial, permet de voir directement les dents et l'occlusion.
L'on peut réaliser des mesures dessus ce qui pour un traitement de dent impacté peut toujours être utile.
C'est un document qui a une valeur médico légal

Le CBCT c'est bien mais la précision est de l'odre de 0.2 a 0.3 mm suivant la résolution demandé, plus si le sujet bouge ( et il faut quand même rester immobile 30 seconde, les sujets sont souvent jeune en ortho, et si ils bougent le document radio ne vous l'indiquera pas). Plus même si l'information est en 3D, vous en pouvez la visualiser que sur un écran 2D.

L'on peut aussi s'en servir pour diverse application (genre travaille de labo)

En plus ça coûte pas cher donc pourquoi se priver. Si ensuite ça prend trop de place vous pouvez vous en débarasser.



--
หมอจัดฟัน


1 eugenol dmj5np - Eugenol
Dancha

23/04/2013 à 14h38

Bien sûr, un moulage ça peut quelquefois être utile, mais ici je n'ai pas estimé nécessaire d'en faire.

Et voilà, aujourd'hui ça fait cinq mois jour pour jour que la mécanique est en place, la 14 est arrivée en occlusion.
23 a très bien progressé également.

Reste le problème de l'apex de 14 qu'il convient de distaler pour permettre à la 13 de passer.

Je ne veux interférer sur la tension du CT8 de la 13, je n'ai pas envie non de faire un arc transpalatin comme le suggérait notre ami Seespan.

Que puis-je alors faire de simple et rapide à mettre en place) ?

Daniel

12224 3 jspjy6 - Eugenol

1309531 ours brun n5iukf - Eugenol
seespan

23/04/2013 à 14h45

A moins que je dise une bétise il n'y a strictement rien qui empéche d'utiliser le C8T 1 pour torquer la 14 la force de réaction n'exercera seulement sur les minivisse, les effet sur la 13 seront nulle vue le système d'attache utilisée.

Bon par contre quel pliage au collage vous utiliser pour transmettre la force je ne vois pas trop.

--
หมอจัดฟัน


1 eugenol dmj5np - Eugenol
Dancha

23/04/2013 à 21h38

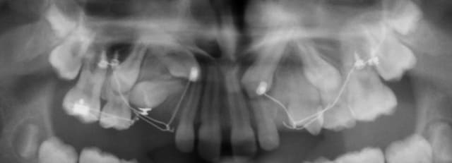
Le CT8 agit en globalité d'une manière élastique à partir des vis pour tracter la 13.
Son émergence du fond du vestibule se situe au niveau du petit cercle que j'ai dessiné sur la radio.
Comment vois-tu les choses pour distaler l'apex de la 14 ?

Il y a d'autre part un petit problème de vocabulaire : je te rappelle que le mot "torque" désigne l'action qui permet l'inclinaison de la dent dans le sens vestibulo-lingual par le déplacement de l'apex. Ce n'est pas dans ce sens que je désire déplacer la dent.

Daniel

12224 4 e8adw4 - Eugenol

1309531 ours brun n5iukf - Eugenol
seespan

24/04/2013 à 11h57

Bon je en sais pas si le système que je d'écrit peut étre réaliser mais sur le papier ça devrais marcher.

Realisation d'un pliage avec du fil eligoly (australian wire) au en forme de dognut ( ou 8 ) avec le fil en TMA relier a la 13 passant dans chacun des troue. Une branche du fil est replié sur l'une des boucles et l'autre in inserrer dans un danchamon horizontal ou vertical sur la face vestibulaire de 14.

Avant d'inserrer le fil dans le danchamon on s'assure que sa position passive correspond a l'axe souhaiter pour la 14.

La force de réaction va créer un force vertical favorable a la traction de la canine donc ici pas un problème.

Le problème que je vois c'est que quand vous allez vouloir redresser l'axe de la 14 la tendance naturelle va etre pour la couronne de se mésialer et pas la distalisation de la racine. Il faut donc :

Soit bloque le fil eligoly pour empêcher sa migration le long du fil en TMA et donc la mésialisation de la couronne de la 14 par la même occasion. Je dirais utiliser un crimpable hook en mésial de pliage en 8.

Soit bloquer la couronne de la 14 avec des ligatures en SS la reliant a 16 et 55 (mais ça j'aime pas trop il risque d'y avoir une mésialisation de 16.

--
หมอจัดฟัน


1 eugenol dmj5np - Eugenol
Dancha

24/04/2013 à 12h25

seespan écrivait:
-----------------
>
> La force de réaction va créer un force vertical favorable a la traction de la
> canine donc ici pas un problème.
>

Il me semble bien que ce soit l'inverse..

Daniel


1309531 ours brun n5iukf - Eugenol
seespan

24/04/2013 à 12h41

A la si je visualise correctement j'ai juste. Le moment créer sur la 14 va créer un mouvement de rotation dans le sens anti horaire ( vue que c'est ce que l'on veut).

Le moment réactionnel s'exerçant sur le fil TMA sera donc dans le sens horaire, donc une composante vertical dans le sens de l'éruption de la canine.

--
หมอจัดฟัน


1 eugenol dmj5np - Eugenol
Dancha

24/04/2013 à 13h27

seespan écrivait:
-----------------
> .. Le moment créer sur la 14 va créer
> un mouvement de rotation dans le sens anti horaire ( vue que c'est ce que l'on
> veut).
>
> Le moment réactionnel s'exerçant sur le fil TMA sera donc dans le sens horaire,

OK

> donc une composante vertical dans le sens de l'éruption de la canine.

Non, dans l'autre sens.
En jaune, la force anti-horaire dont tu parles et la celle qui tracte la canine.
En pointillés rouges : la réaction qui s'oppose à cette dernière.

Le cintrage à concavité supérieure du fil CT8 est du à sa déformation élastique de traction. La force en pointillés rouges s'oppose à cette déformation.

Daniel

12224 5 qwwger - Eugenol

1309531 ours brun n5iukf - Eugenol
seespan

24/04/2013 à 13h36

Mais a moins que je ne dise une bétise autant une composante vertical dans le sense de l'éruption de la canine nous est favorable ( même si non présente ici) autant une force de réaction dans la direction apical ( dans la direction opposé a l'éruption) sera sans conséquence puis que non transmise a la canine ( le système de fil pouvant transmettre une force de traction seulement).

la composante vertical va juste avoir pour conséquence la non mise en tension du sytème de traction sacrant sur la 13

--
หมอจัดฟัน


1309531 ours brun n5iukf - Eugenol
seespan

24/04/2013 à 13h37

Donc pendant la correction de l'axe de la 14 la 13 sera immobile une fois le fil décrocher de la 14 l'on reprendra tranquillement la traction de la 13.

--
หมอจัดฟัน