Cookie Consent byPrivacyPolicies.comQuel plan de traitement ? - Eugenol
S2y2o1v7q53ws4r5wy6ou8czrpom - Eugenol
pxav

18/04/2013 à 23h46


Bon, essayons d’avancer un peu.


Plan hypothèse d'après le plan 1

Extraction de toutes les dents (si besoin).
PCA immédiate ou plutôt PC amovo-inamovible sur implants temporaires.
Temporisation 3 mois ou plus si besoin.
Réhabilitation du bas (à moins que ce patient soit uniquement pourvu d'un maxillaire).
une fois les différents paramètres au vert, implants, et par la suite prothèse d'usage.


--
xbk
"Si tous ceux qui croient avoir raison n'avaient pas tort, la vérité ne serait pas loin" Dac Pierre


Logocolornotext kiwlk1 - Eugenol
Clio

19/04/2013 à 00h28

+1 en s'assurant avant exo, que la corticale alvéolaire à une dimension suffisante (1,5mm) pour éviter un effondrement. Sinon comblement alvéolaire allogenique.
Et à priori on s.oriente également vers un soulevé de sinus.


Pépélaratiche

19/04/2013 à 00h36

jeff écrivait:
--------------
> Autre cas qui peut poser un problème similaire .
>
> Nouvelle patiente vu en urg pour resceller son bridge 22 24.
>
> ouh la !
>
> 22 et 24 total recariées, tres mobiles.
>
> je rescelle et on decide de se revoir pour faire le point.
>
> 55 ans, pour elle , pas question de rester sans dent, ni de dentier, même
> pendant 3 mois.
>
> Mais sait pertinemment qu'elle est dans une situation... délicate !
>
> Que peut on lui proposer ? doit on lui dire que l'on a pas de baguette magique
> ?

Implanto totale bimax avec MCLD

--
Pp, bon en rien, mauvais en tout ...
Sed Fortuna audaces iuvat ...


Utilisateur banni

19/04/2013 à 01h20

- Bogemon, le plan d’occlusion du bas est acceptable, c’est l’effondrement du secteur 1 qui donne cet aspect sur la pano. En effet ce n’est pas une procédure idéale de conserver le bridge pour le scan. Dans cette configuration il n’est pas possible de passer par un montage esthétique et la DVO est déterminée par un mordu.

- Pxav, combien d’implants provisoires ? pour les placer tu as besoin d’un scan ? la prothèse provisoire est immédiate ou tu passe par une empreinte ? comment se compose cette prothèse ?

- Clio, si tu passe par des greffes de sinus, la suite c’est retrait des implants provisoire est pose de tous les implants MCI ou pose des implants avec temporisation puis retrait des implants provisoires au moment de la prothèse d’usage ou autre ?

- Pp, pour le cas de jeff, comment procède-tu scan modèle stéréo pour l’étude, extraction implantation immédiate, prise d’empreinte et bridge ou autre ?
combien de temps entre la pose des implants et le bridge ?


PS : pxav,pour la variante que tu propose nous pouvons la nommer plan 4 car elle varie par le provisoire amovo-inamovible


Logo m4n3gc - Eugenol
drmarcus

19/04/2013 à 11h17

Désolé je n'ai pas le temps de tout lire depuis mon dernier post.
Je vous met la pano complète ainsi que des détails qui je l'espère seront suffisants pour vous faire une idée.
Les hauteurs que j'ai pu indiquer comporte aussi de la dentine infiltrée, pardonnez moi de le préciser.

Quant au bas, le patient étant content on attend une bonne cicat du haut et on s'y attaque avant d'entamer les définitifs.........


--
"La seule chose promise d'avance à l'échec, c'est celle que l'on ne tente pas" Paul Emile VICTOR

22 mvftur - Eugenol
12 g5n4ma - Eugenol
16 hxwvqq - Eugenol
21 phbg0c - Eugenol
13 apcg60 - Eugenol
Pano  tat origine qqqlg0 - Eugenol
Aper u g n ral klb1id - Eugenol
26 r5laps - Eugenol
25 mkxkhv - Eugenol
23 bpk90b - Eugenol

Protée

19/04/2013 à 14h25

Je me trompe où ce n'est pas un cas d'école? Effectivement je pense que drmarcus compose avec les éléments et flirte avec les impossibilités.
Dis moi drmarcus ne serais tu pas accroc à l'adrénaline?

La 26 on dirait que l'os vestibulaire est mini. quant au reste je ne vois pas comment mettre des tenons pour conserver suffisamment de trt radiculaire.
Bref perso je suis curieux de voir la suite, c'est vrai.


Icon poker h4nm2d - Eugenol
jeff

19/04/2013 à 19h28

Pépé, MCLD, c'est mise en charge legerement différée ?

Extraction dans la séance ou trois mois avant ?

La clef de la basale, je crois, c'est la mise en charge immédiate pour assurer la stabilité des implants et permettre l'ostéointégration.

Donc, tu fait une empreinte apres la chir pour pose du bridge prov le lendemain ?

Si tu as des cas documentés avec toutes les étapes, cela serait bien dans poster un.

De meme pour la solution avec implants provisoires. L'avantage de cette dernière est de pouvoir faire un sinus, ce qui n'est pas possible en EIMCI.


Pépélaratiche

20/04/2013 à 11h36

File moi une adresse email ce sera plus facile comme ça je t envoie un cas documenté complet plutôt que de poster qques images à peine sur le site ( tellement lent pour les télécharger...)

--
Pp, bon en rien, mauvais en tout ...
Sed Fortuna audaces iuvat ...


Utilisateur banni

20/04/2013 à 11h57

tu peux décrire les étapes pour traiter un cas comme celui de Jeff comme ça tu seras pas gêné par les temps de téléchargement


Pépélaratiche

20/04/2013 à 17h03

"Facile" ...

1er tps virer toutes les molaires en plaçant ds les alvéoles des PRFs & réaliser ostéotension de ttes les zones déjà édentées

2ème tps virer les PM et poser 4 cylindres attendre 3 mois que ces derniers soient intégrés

3ème tps virer tout le secteur antérieur et poser en secteur molaire et antérieur; Empreinte et mixte entre MCD et MCI

Si gros cœur on fait les deux machoires ds un seule séance à la fin ou si plus petit cœur maxillaire puis mandibule par la suite

Avantages

1. travailler sur des zones molaires déjà cicatrisées
2. lors de la MCI on a déjà 4 implants intégrés par machoire = grande sécurité pour la MCI puisque combinée à une MCD

Je fais comme ça depuis des années et je perds très peu d implants et je traite tjs sans greffe préalable ce qui est plus léger pour les patients et leur évite les chirurgies multiples

--
Pp, bon en rien, mauvais en tout ...
Sed Fortuna audaces iuvat ...


Pépélaratiche

20/04/2013 à 17h52

Patient d un pote chez qui on a pris l option décrite

1. poser les 4 cylindres des Pm
2. attendre 3 mois intégration des 4 cylindres
3. poser les plaques et les deux petits ptérygos avec MCI/MCD

Je vous rassure on a depuis posé en bas 6 cylindres pour remplacer les 6 et 7

--
Pp, bon en rien, mauvais en tout ...
Sed Fortuna audaces iuvat ...

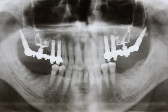
Img 1084 ao5iot - Eugenol
Img 1085 qig82f - Eugenol
Img 1086 feyvg5 - Eugenol

Utilisateur banni

20/04/2013 à 18h08

Pp, combien de temps entre la prise d'empreinte et la pose du provisoire?


Pépélaratiche

20/04/2013 à 18h34

48h

--
Pp, bon en rien, mauvais en tout ...
Sed Fortuna audaces iuvat ...


Utilisateur banni

20/04/2013 à 18h41

Pp, ce délai comprend les transports ou le laboratoire est à proximité ?


Little shop of horrors brzqjx - Eugenol
chatondecarte

20/04/2013 à 18h43

Pépélaratiche écrivait:
-----------------------
> "Facile" ...
>
> 1er tps virer toutes les molaires en plaçant ds les alvéoles des PRFs & réaliser
> ostéotension de ttes les zones déjà édentées
>
> 2ème tps virer les PM et poser 4 cylindres attendre 3 mois que ces derniers
> soient intégrés
>
> 3ème tps virer tout le secteur antérieur et poser en secteur molaire et
> antérieur; Empreinte et mixte entre MCD et MCI
>
> Si gros cœur on fait les deux machoires ds un seule séance à la fin ou si plus
> petit cœur maxillaire puis mandibule par la suite
>
> Avantages
>
> 1. travailler sur des zones molaires déjà cicatrisées
> 2. lors de la MCI on a déjà 4 implants intégrés par machoire = grande sécurité
> pour la MCI puisque combinée à une MCD
>
> Je fais comme ça depuis des années et je perds très peu d implants et je traite
> tjs sans greffe préalable ce qui est plus léger pour les patients et leur évite
> les chirurgies multiples
>
> --
> Pp, bon en rien, mauvais en tout ...
> Sed Fortuna audaces iuvat ...




2 questions :

Si tu as déjà 4 implants intégrées pourquoi ne pas mettre un provi vissé dessus et faire une mise en charge différée sur les 4 suivants?

qu'est ce que tu as contre les sinus lift?? Je veux dire, c'est quand même plus simple que les chir que tu proposes..


Utilisateur banni

20/04/2013 à 18h59

jeff écrivait:
--------------
> De meme pour la solution avec implants provisoires. L'avantage de cette dernière
> est de pouvoir faire un sinus, ce qui n'est pas possible en EIMCI.




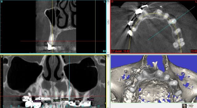
Jeff dans ce cas clinique le plan de traitement a été : empreinte des maxillaires
DVO
Positscan
S.I.A.O
Projet implantaire : extractions, pose de 4 implants, MCI sur 5 implants en récupérant le pilier de l’implant fonctionnel
Validation
Chirurgie
Dans un deuxième temps, les greffes de sinus sont programmées pour la pose de 4 implants
Projet prothétique final : bridge implanto-porté sur 9 implants


Ps : le bridge en pré-op a 15 ans et les implants était bien antérieur.

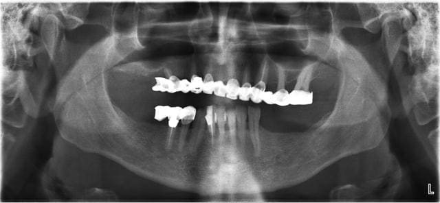
Image6 xhr7lo - Eugenol
Image7 izfz4z - Eugenol
Image8 iogyrt - Eugenol
Image9 sa5i5d - Eugenol
Image5 choavh - Eugenol

Pépélaratiche

20/04/2013 à 19h14

posit écrivait:
---------------
> Pp, ce délai comprend les transports ou le laboratoire est à proximité ?

Oui tout compris de porte à porte

Mon labo est 50 km


--
Pp, bon en rien, mauvais en tout ...
Sed Fortuna audaces iuvat ...


Pépélaratiche

20/04/2013 à 19h23

2 questions :

Si tu as déjà 4 implants intégrées pourquoi ne pas mettre un provi vissé dessus et faire une mise en charge différée sur les 4 suivants?

Les implants distaux dont les plaques et les 2 ptérygos s accommodent assez mal de rester solitaires et risquent de se faire moboliser par les éléments extérieurs ( langue, aliments même si pas de molaires antagonistes lors de la pose maxillaire les aliments vont tjs toucher les posts implantaires

qu'est ce que tu as contre les sinus lift?? Je veux dire, c'est quand même plus simple que les chir que tu proposes

Les sinus lifts sont "simples" si tu veux mais les emmerdes en rapport avec eux je les veux pas... Je préfères tout gérer en extra sinusal... En fait qd c est difficle tu as deux choix

1. t emmerder avec les éventuelles conséquences de ton remplissage sinusal
2. t emmerder à poser des plaques ce qui je le reconnais n est pas si simple mais je m y suis très bien habitué et qd tu interroges les patients tu verras que svt ils on des appréhensions quant au fait tu touches à leur sinus. De plus une seule chir pour placer ces implants difficiles plutôt que 2 au moins avec des sinus lifts

En plus nos oedèmes même en posant des plaques sont très modérés par rapport aux sinus lifts
--
Pp, bon en rien, mauvais en tout ...
Sed Fortuna audaces iuvat ...


Pépélaratiche

20/04/2013 à 19h25

posit écrivait:
---------------
> jeff écrivait:
> --------------
> > De meme pour la solution avec implants provisoires. L'avantage de cette
> dernière
> > est de pouvoir faire un sinus, ce qui n'est pas possible en EIMCI.
>
>
>
>
> Jeff dans ce cas clinique le plan de traitement a été : empreinte des
> maxillaires
> DVO
> Positscan
> S.I.A.O
> Projet implantaire : extractions, pose de 4 implants, MCI sur 5 implants en
> récupérant le pilier de l’implant fonctionnel
> Validation
> Chirurgie
> Dans un deuxième temps, les greffes de sinus sont programmées pour la pose de 4
> implants
> Projet prothétique final : bridge implanto-porté sur 9 implants
>
>
> Ps : le bridge en pré-op à 15 ans et les implants était bien antérieur.

Certes mais pas de molaire...pourquoi la nature nous en a t elle donné alors ???

En plus ds ce cas précis, c était pas si difficile à faire même en cylindre...


--
Pp, bon en rien, mauvais en tout ...
Sed Fortuna audaces iuvat ...


Utilisateur banni

20/04/2013 à 19h31

Le choix est greffe de sinus puis 4 implants d’où
> Projet prothétique final : bridge implanto-porté sur 9 implants


Pépélaratiche

20/04/2013 à 20h22

Oui certes mais mettre en charge sur ce plus petit nombre d implant est qd même un risque car le sinus lift s il venait à mal tourner pourrait postposer la réalisation des tampons molaires pour un tps assez long

Pour moi ça reste risqué

--
Pp, bon en rien, mauvais en tout ...
Sed Fortuna audaces iuvat ...


Utilisateur banni

21/04/2013 à 13h54

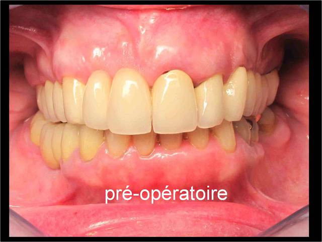
Il est normal que tu ais confiance dans une technique que tu utilise, pour le plan de traitement le projet prothétique est bien de 14 dents sur 9 implants. La patiente a consulté car son bridge était mobile et ne pouvait s’alimenter qu’avec une nourriture molle. Sur le plan esthétique, elle était satisfaite. L’acceptation du plan de traitement passe aussi par l’accord des phases de transitions entre la situation présente et la future. Le bridge provisoire actuel lui convient et par la fonction et l’esthétique même si le groupe molaire n’est pas encore présent.


Logocolornotext kiwlk1 - Eugenol
Clio

22/04/2013 à 15h30

Pépélaratiche ecrivait:
>
> Les sinus lifts sont "simples" si tu veux mais les emmerdes en rapport avec eux
> je les veux pas...
>
> 1. t emmerder avec les éventuelles conséquences de ton remplissage sinusal


Je fais en moyenne sur l'annee, au moins 1 soulevé de sinus par semaine, je peux t,assurer que l,intervention est rapide ( variable entre 20 et 30 mn suivant le cas comprenant anesthesie et sutures) et que les suites operatoires sont bonnes.



>
> et qd tu interroges les patients tu verras
> que svt ils on des appréhensions quant au fait tu touches à leur sinus.

C,est vrai, mais comme pour tout, cela depend comment tu presentes la chose


De plus
> une seule chir pour placer ces implants difficiles plutôt que 2 au moins avec
> des sinus lifts
>
Dans les cas où il reste 4 a 5mm d'os sous crestal, tu peux poser les implants en meme tps que le soulevé de sinus ( classification SA3 de Misch).

Apres il est vrai aussi que quelque soit le praticien on s,oriente d,avantage vers les techniques que l'on maitrise le mieux,à taux de succes equivalent...


Humator t9r5wy - Eugenol
humator

22/04/2013 à 18h39

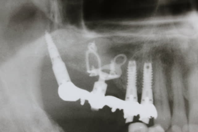
salut pépé!
dis moi, sur ton cliché, tes pterygo, ce sont des fratex, non? si oui, pourquoi ce choix?
merci

--
N.Hum


Pépélaratiche

22/04/2013 à 20h44

humator écrivait:
-----------------
> salut pépé!
> dis moi, sur ton cliché, tes pterygo, ce sont des fratex, non? si oui, pourquoi
> ce choix?
> merci
>
> --
> N.Hum

Fratex c est du 3.3 mm de diamètre donc c est intéressant si la tubérosité est étroite

On aurait pu poser des Fractal 16 M4 3.3 mais ils étaeint eux un peu longs pour ce volume étroit et assez court...donc pour ne pas dépasser largement derrière la tubérosité on a pris pour option les fratex dont la pointe doit par contre être bien piquée entre les ailes ( zones corticale bien dure favorable à bonne stabilisation primaire


--
Pp, bon en rien, mauvais en tout ...
Sed Fortuna audaces iuvat ...