Cookie Consent byPrivacyPolicies.comQuel plan de traitement ? - Eugenol
Icon poker h4nm2d - Eugenol
jeff

17/04/2013 à 14h25

Autre cas qui peut poser un problème similaire .

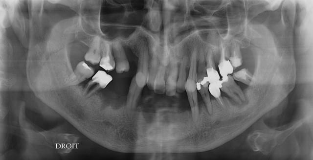
Nouvelle patiente vu en urg pour resceller son bridge 22 24.

ouh la !

22 et 24 total recariées, tres mobiles.

je rescelle et on decide de se revoir pour faire le point.

55 ans, pour elle , pas question de rester sans dent, ni de dentier, même pendant 3 mois.

Mais sait pertinemment qu'elle est dans une situation... délicate !

Que peut on lui proposer ? doit on lui dire que l'on a pas de baguette magique ?

Cas2 - Eugenol
Cas2 bab970 - Eugenol

Logo m4n3gc - Eugenol
drmarcus

17/04/2013 à 14h33

Merci Jeff.

Voici les premieres photos. Peut être verra t'on une différence avec le cas de Jeff.

--
"La seule chose promise d'avance à l'échec, c'est celle que l'on ne tente pas" Paul Emile VICTOR

Vue occlusale wrgtmh - Eugenol
Etat sous bridge jsnasq - Eugenol
Intrado bridge descelle n1equb - Eugenol

Utilisateur banni

17/04/2013 à 21h23

pxav écrivait:
--------------
> Donner un plan de traitement avec aussi peu de données, est aussi suicidaire que
> de prévoir un plan WE avec une femme que l'on ne connait, simplement parce
> qu'elle a une belle voie au téléphone.
>
> Ce que je peux dire c'est que sur le pano incomplet, il me semble que des dents
> sont conservables.
>
>
> --
> xbk
> "Si tous ceux qui croient avoir raison n'avaient pas tort, la vérité ne
> serait pas loin" Dac Pierre


Que la pano soit complète ou incomplète tu conserverais tu conserverais des dents. OK, donc quel est ton plan de traitement dans ce cas.


Au passage tu remarque la tautologie et à ma connaissance personne n’est mort physiquement en donnant un avis sur eugenol.


Mario ycg44a - Eugenol
Mario180

18/04/2013 à 00h52

Si on ne sait pas quelles dents sont conservables et leur contexte/fiabilité, on ne peut rien proposer.

On peut faire des bridges pro de grande étendue sur des dents perdues pour temporiser, mais là on n'a aucune idée de la situation de départ !

On ne peux même pas critiquer (au sens large) le plan d'EIMCI, tellement on ignore tout.

Ca tourne en rond.

On réfléchit sur un cas complètement présenté (même si c'est pour de la pure théorie) ou on observe sagement et avec intérêt votre présentation et on réagira éventuellement après (enfin si quelqu'un veut raisonner, je suis tout ouie)

La discussion est absurde, c'est agaçant.


(Mais, oui, sur le principe, chacun sera d'accord sur le fait que ce projet rendrait théoriquement un grand service au monsieur.)


S2y2o1v7q53ws4r5wy6ou8czrpom - Eugenol
pxav

18/04/2013 à 01h18

Mario180 écrivait:
------------------

> La discussion est absurde, c'est agaçant.

+1
--
xbk
"Si tous ceux qui croient avoir raison n'avaient pas tort, la vérité ne serait pas loin" Dac Pierre


Logocolornotext kiwlk1 - Eugenol
Clio

18/04/2013 à 01h34

drmarcus écrivait:
------------------

>
> Maintenant, puisque vous vous doutez de la fin, je suis tout prêt à recueillir
> les plans de traitement conservateur sans laisser le patient sans dent et sans
> qu'il porte un appareil.
> Allez dites moi comment il faut faire?

Pas d'bras, pas d'chocolat ;-)


Logocolornotext kiwlk1 - Eugenol
Clio

18/04/2013 à 01h34

drmarcus écrivait:
------------------

>
> Maintenant, puisque vous vous doutez de la fin, je suis tout prêt à recueillir
> les plans de traitement conservateur sans laisser le patient sans dent et sans
> qu'il porte un appareil.
> Allez dites moi comment il faut faire?

Pas d'bras, pas d'chocolat ;-)


Avatar jt8tlq - Eugenol
bogenom

18/04/2013 à 01h44

à mon avis un guide simplant fera l'affaire


Utilisateur banni

18/04/2013 à 09h46

drmarcus écrivait:
------------------
> je dirai que seulement
> 2/3 dents semblaient conservables 26 et 23 et la Pm intercalée.
> Les photos ce sera plus tard.
> A+


pour ceux qui non pas lu


Utilisateur banni

18/04/2013 à 09h52

bogenom écrivait:
-----------------
> à mon avis un guide simplant fera l'affaire

Ce n’est pas un plan de traitement, c’est de la pub pour une marque, tu es sponsorisé ?


Logocolornotext kiwlk1 - Eugenol
Clio

18/04/2013 à 10h58

posit écrivait:
---------------
> bogenom écrivait:
> -----------------
> > à mon avis un guide simplant fera l'affaire
>
> Ce n’est pas un plan de traitement, c’est de la pub pour une marque, tu es
> sponsorisé ?
C'est un peu limite comme réflexion ça posit, non?
Allez on va dire que c'est de l'humour...
Bon pour le cas, on avance un peu plus.
On sait maintenant que 2 ou 3 dents sont peut être conservables.
On n'a plus qu'à connaître l'état des dents mandibulaires, et on pourra encore aller plus loin.
Pour ce qui est du fait que le patient ne veut pas d'amovible, ça complique sacrément.
Le tout est de savoir si uniquement le patient n'en veut pas?
On a tous tendance a éclairer la pièce où l'on veut amener le patient non?


Utilisateur banni

18/04/2013 à 11h11

Où l’amènerais-tu ?

Restons sur le maxillaire, déjà que nous n’avons aucune proposition pour le cas de drmarcus ou jeff à part mario180 qui verrait bien une extraction implantation mise en charge immédiate mais ne peut faire un plan de traitement car à juste titre il lui manque un scanner.


Logo m4n3gc - Eugenol
drmarcus

18/04/2013 à 11h32

Clio écrivait:
--------------
> posit écrivait:
> ---------------
> > bogenom écrivait:
> > -----------------
> > > à mon avis un guide simplant fera l'affaire
> >
> > Ce n’est pas un plan de traitement, c’est de la pub pour une marque, tu es
> > sponsorisé ?
> C'est un peu limite comme réflexion ça posit, non?
> Allez on va dire que c'est de l'humour...

Oui disons que c'est de l'humour ;-)


> Bon pour le cas, on avance un peu plus.

Je fais au plus vite mais désolé comme dit en début de post j'ai d'autres plats sur le feu.


> On sait maintenant que 2 ou 3 dents sont peut être conservables.

Un bémol on aurait pu croire! je l'ai sous entendu il me semble.

> On n'a plus qu'à connaître l'état des dents mandibulaires, et on pourra encore
> aller plus loin.
> Pour ce qui est du fait que le patient ne veut pas d'amovible, ça complique
> sacrément.
> Le tout est de savoir si uniquement le patient n'en veut pas?
> On a tous tendance a éclairer la pièce où l'on veut amener le patient non?

Non là je ne peux malheureusement pas vous apporter de preuve. Pour bonne fois je n'ai pas eu encore de mandibule et Posit sait comme j'attends le cas....mais pas au sacrifice de la santé ni du desiderata des patients qui m'accordent leur confiance.

Le bas est catastrophique mais il y avait urgence pour le maxillaire. Le patient étant responsable d'un service auprès de "people" le fait de ne pas rester sans dent était SON IMPERATIF COMME D'AUCUNE AMOVIBLE !

Sincèrement je ne fais pas de ces EIMCI un but. Pour l'instant et Posit peut le confirmer ce fut une vrai galère chirurgicale pour chacun de mes cas. Heureusement que j'ai utilisé son guide et son système sinon je pense que je serai "resté le cul dans la bassine" :-))

A+ faut que je vous abandonne.

--
"La seule chose promise d'avance à l'échec, c'est celle que l'on ne tente pas" Paul Emile VICTOR


Mario ycg44a - Eugenol
Mario180

18/04/2013 à 11h37

Je peux rien envisager d'autre !!!

2-3 dents conservables c'est une info de merde. Ce que je vois sur la photo, je suis sûr qu'on pourrait en récupérer provisoirement certaines, et c'est sûr qu'elles durent le temps de réfléchir un peu.

Vous ne voulez voir qu'une seule solution. Donc si vous fermez toutes les portes, il ne reste qu'une seule issue.

Mais vous pigez pas ça, même des irréductibles vont se lasser trèèès bientôt.


S2y2o1v7q53ws4r5wy6ou8czrpom - Eugenol
pxav

18/04/2013 à 11h53

posit écrivait:
---------------

> Restons sur le maxillaire.


En gros aujourd'hui je vous montre le haut, la semaine prochaine je vous montre le bas...déjà utilisé dans les pubs en 80.

L’être humain n'est pas composé de pièces que l'on change au gré de son humeur ou de ses envies, mais c'est un ensemble, et le maxillaire tout seul, ne sert à rien.

J'ai une bonne estime pour le praticien, et je n'ose pas croire un instant qu'il n'a pas fait une étude complète du cas.

Si le post est là juste pour nous montrer une EMCI, ça n'a aucun intérêt, l'EMCI n'est pas une fin en soit, mais un moyen (parmi d'autres) de rétablir, une fonction globale.

Tu es doué pour plein de choses Posit, mais là franchement tu patines, et tu ne sers ni ta technique, ni les qualités de Marcus.

j'ai un cas EMCI éventuelle, pour laquelle je pourrais faire appel à tes services,franchement je commence à me poser la question.
Pj pano haut et bas.


--
xbk
"Si tous ceux qui croient avoir raison n'avaient pas tort, la vérité ne serait pas loin" Dac Pierre

Val dom 04.03 - Eugenol

Casque beotien a3jo39 - Eugenol
beotien

18/04/2013 à 12h08

simple
un bon traitement paro (surtout s'il est fait par un expat)ou éventuellement par Pelé

collage instantané d' onlays parce que des ic risquent de fracturer les racines

bridge complet zirkonzahn prettau réalisé dans la même séance
(en une heure)

c'est conservateur bon cela nécessite une tres tres bonne assurance


Mario180 ta solution n'est pas mauvaise mais si tu la mets en oeuvre et que tu la présentes sur le forum on va te dire
quoi tu as gardé ces dents!!! et imagine un instant si tu as placé des implants entre!!!!!!!!!!!!!!

Bientôt on ne discutera plus que de la couleur des fils de suture et de la granulométrie du biomat


Avatar jt8tlq - Eugenol
bogenom

18/04/2013 à 12h18

pour rebondir sur ce post qui traite donc de l'EIMCI sujet très à la mode et qui m'interesse tu le sais Posit.

à l'heure actuelle je tendrai plus vers un complet amovible immediat malgré tout, désolé de vous decevoir pour 3 raisons.

-lors de la MCI 3 mois plus tard, on a quand même un plan B en cas de probleme de stabilité primaire+ un beau guide prothetique pour la suite

-Le patient apreciera d'autant plus votre solution fixe à venir alors que de passer de ses dents fixes à des protheses fixes, il peut faire son difficile

-on aura pas les surprises de la cicatrisation gingivale, ni l'envie de combler à tout pris (autre sujet qui m'interesse en ce moment) pour conserver les volumes

Pour la vedette en question, il suffit d'être convainquant, avoir de l'amovible en sachant qu'on aura du fixe ensuite pas de problème

il y a aussi le point de vue medico-légal

mais c'est une autre philosophie dans laquelle le systeme d'implant ou de guidage ne sont que des outils que l'on peut changer du jour au lendemain


Mario ycg44a - Eugenol
Mario180

18/04/2013 à 12h46

beotien écrivait:
-----------------
>
> Mario180 ta solution n'est pas mauvaise mais si tu la mets en oeuvre et que tu
> la présentes sur le forum on va te dire
> quoi tu as gardé ces dents!!! et imagine un instant si tu as placé des implants
> entre!!!!!!!!!!!!!!
>

Ben je vais tâcher de prendre en photo un cas en cours (qd je revois la dame), et on en discutera. C'est pas parce que ça poildecute sur nonol que c'est une mauvaise solution pour le patient.

Eimci, c'est notre rêve à tous de le systématiser, c'est pas forcément la seule solution, ni la meilleure. Et c'est parce que le patient veut pas un croque nouille qu'on lui propose autre chose. Il avait qu'à se brosser les dents. Comme dit Clio, c'est à nous d'indiquer un cap. Seul le résultat compte.

Pour trouver des idées, il faut réfléchir, parfois tenter de gratter un peu la carie. On peut bosser sous-gingival même. Le seul élément qui me paraisse rédhibitoire, c'est la paro.


Protée

18/04/2013 à 15h56

Mouais mais au vue des photos je doute aussi et franchement si je crois (et je n'ai pas de raison de douter) drmarcus, c'est vrai qu'il n'a pas trop le choix.
Maintenant Posit ta façon de présenter au début du post est un peu "cavalière".
J'imagine assez facilement que le bas est à faire si je relis les post du prat. et le masquer n'a pu que le desservir; pour preuve les remarques.
Attendons apparemment d'autres données vont arriver et il sera intéressant de partager.


Utilisateur banni

18/04/2013 à 17h08

protée, la présentation de jeff est très claire ainsi que sa demande «Que peut on lui proposer ? »
pourquoi personne ne fait de proposition ?


Utilisateur banni

18/04/2013 à 18h04

Bon, essayons d’avancer un peu.
Cas drmarcus :
Plan 1
Extraction de toutes les dents
PCA immédiate
Temporisation 3 mois
MCI ou MCD
Plan 2
Extraction partielle
Pour la phase de temporisation, je n’ai pas bien compris quel était la solution provisoire
Plan 3
Empreinte des maxillaires + DVO
Réalisation d’un Positscan
Scanner
S.I.A .O. (simulation assistée par ordinateur)


Utilisateur banni

18/04/2013 à 19h37

Avantage du plan 3, le patient conserve son bridge pendant la phase d’étude.


Mario ycg44a - Eugenol
Mario180

18/04/2013 à 20h46

posit écrivait:
---------------
> Avantage du plan 3, le patient conserve son bridge pendant la phase d’étude.

Comment ?


Utilisateur banni

18/04/2013 à 21h11

Tu ne touche pas au bridge jusqu’au jour de la chirurgie


Avatar jt8tlq - Eugenol
bogenom

18/04/2013 à 23h20

oui mais ça me semble être un inconvenient et pas des moindres dans le cas présenté, si j'ai tout suivi le bas on s'en occupe après donc tu comptes soit refaire à l'identique au niveau occluso soit corriger et modifier le bas le jour de l'opération ce qui me semble très aléatoire pour ce patient VIP qui sera très ennuyé d'avoir un soucis en bas
à quel moment valides tu l' occlusion, phonation, esthetique ?

de l' EIMCI oui mais pas dans ce cas mais j'attends impatiemment les photos