Cookie Consent byPrivacyPolicies.comUn quoi faire de plus bis. - Eugenol
Bebe 038 nf8eum - Eugenol
danteyeah

29/07/2013 à 23h22

Le mois de juillet se fini, bon nombre d'entre nous vont lâcher leur cab., nonol, pour s'aérer le neurone et éviter de commettre l'irréparable, dés fois que leur chemin croiserait certains cadres cnsd.

Pour ceux qui restent (au moins sur nonol), je vous propose de réfléchir à ce qu'on pourrait apporter pour améliorer le sourire de cette patiente:

Pas de pano, mais 46,36 endo à reprendre, 47 intact, 37 endo et ancrage nickel (CCM beurk), mylolyse sur 33 et 45; dents un peu terne.
16, 11, 26 dévitalisées (endo et ancrage correct), zircone et CCM adaptée, plutôt de bonne facture mais peu esthétique
22-23 bridge zircone en extension sur 22 vitale (la bonne idée!!!!!)
12 énorme composite vestibulaire (a bien vieilli)
21 gros composite mésiale et rotation importante
12 et 22 sont en fait des canines, il y a agénésie des latérales, mais aussi des seconde prémolaires (ça commence à faire beaucoup d'absent).
Occluso RAS, malgré le manque de dents.

Vers l'âge de 20 ans la patiente a suivi un traitement ortho pour fermer les espaces. L'ortho n'à pas fait de magie, et les bidouilles en composite et quelques aberrations prothétiques ont fini d'offrir à cette patiente un sourire bancal.
Manque de bol (façon de parler), elle est plutôt du genre bonne humeur et éclats de rire, et aimerait enfin ne plus avoir à penser à l'image que son sourire (croquignole) distille.

Allé lâchez vous

 mg 8011 bfwkn9 - Eugenol
 mg 8009 igevum - Eugenol
 mg 8010 zk4wb2 - Eugenol
Ag n sie pr op f5s9bm - Eugenol
 mg 8030 dxvmds - Eugenol
 mg 8006 jiuzus - Eugenol

Img 5404 pmlzfi - Eugenol
Chicot44

30/07/2013 à 00h10

Il y a un problème de niveau de gencive entre 11 et 21...relativement facile a résoudre par gingivoplastie négative sur 11. A part ça le problème semble lié uniquement a des différences de teinte entre les dents naturelles et les dents prothétique ,plus les dis-colorations divers et varies...c'est sans doute un full arch haut et bas avec couronnes et facettes selon l’état dent par dent. Un compromis esthétique et toujours possible en s'arrêtant aux prémolaires, mais certaines molaires semblent nécessiter de grosses reconstitutions et le traitement des collets en post est rarement stable dans le temps avec de simples composites... les questions, qu'elle est l'exigence esthétique de la patiente , ces souhaits, ses moyens , sa disponibilité... .???
Le plan de traitement me semble relativement simple à justifier.... Je travaillerais par contre secteur par secteur pour conserver les rapports intermaxillaires intacts...


youn

30/07/2013 à 00h26

D'accord avec plus haut. Mais je travaillerais par coté. les molaires du bas sont à revoir, l’engrènement est problématique là... Pour que le prothé fasse bien les choses, vaut mieux un bon!


Bebe 038 nf8eum - Eugenol
danteyeah

30/07/2013 à 04h47

Chicot44 écrivait:
------------------
> Il y a un problème de niveau de gencive entre 11 et 21...relativement facile a
> résoudre par gingivoplastie négative sur 11.

Vrai, mais faudrait pas oublier la 12 non plus

A part ça le problème semble lié
> uniquement a des différences de teinte entre les dents naturelles et les dents
> prothétique ,plus les dis-colorations divers et varies..

C'est étrange, pour l'instant personne n'est gêné par l'asymétrie importante entre sourire droit et gauche et le fait que l'espace de 14 à 12 ne soit comblé que par une 13 plantée au milieu avec un gros combo doublant sa surface vestibulaire.

c'est sans doute un
> full arch haut et bas avec couronnes et facettes selon l’état dent par dent. Un
> compromis esthétique et toujours possible en s'arrêtant aux prémolaires, mais
> certaines molaires semblent nécessiter de grosses reconstitutions et le
> traitement des collets en post est rarement stable dans le temps avec de simples
> composites... les questions, qu'elle est l'exigence esthétique de la patiente ,
> ces souhaits, ses moyens , sa disponibilité... .???

L'exigence esthétique était importante, mais mal définie, la couleur ou plutôt la dysharmonie chromatique n'était pas chez elle source de plainte. Il y avait presque un sentiment de fatalité dans son discours: elle n'aura jamais un sourire agréable, et puis c'est tout! Je devais être le 4ième ou le 5ième dentiste a me frotter à ce sourire en 20 ans.....en gros elle était motivée mais sans grand espoir, donc sans grande exigence....ça enlève du stress au praticien.
Ses moyens: assez faible, il a fallu bosser pour la gloire sur ce coup.
Sa disponibilité: elle a su faire en sorte de l'être et a accepter des rendez vous long..... très long

> Le plan de traitement me semble relativement simple à justifier.... Je
> travaillerais par contre secteur par secteur pour conserver les rapports
> intermaxillaires intacts...

Le mieux est de laisser chaque dent unitaire, mais le peut-on?

C'est amusant, j'ai le souvenir d'un de tes post sur le choix d'otho/implanto, ou otho/prothèse pour traiter l'agénésie des latérales de ton gamin. On est ici, avec le cas de cette patiente, dans le résultat de quelqu'un qui n'a pas su prendre de décision, avec un résultat bancal: pas évident et mutilant à gérer en prothétique pur, et lourd à reprendre en ortho/implanto, avec quoiqu'il en soit une réhabilitation prothétique importante par la suite. Voilà où était le dilemme .


Bebe 038 nf8eum - Eugenol
danteyeah

30/07/2013 à 04h54

youn écrivait:
--------------
l’engrènement est problématique là...

Pas tant que ça, c'est plutôt la répartition des dents "en façade" et donc l'harmonie futur des volume qui est stressant.

Pour que le prothé fasse
> bien les choses, vaut mieux un bon!

Carrément, et c'est en partit la raison de ce post: rendre hommage à des prothésiste de talent.
Il y en a sur la cote d'azur et je remercie Nonol d'exister, car c'est par ce forum que je l'ai déniché

Ah sinon, le Leap a été expédié hier, j'vais bientôt voir si ça fonctionne ;-)


Avatar eklrxs - Eugenol
G²M

30/07/2013 à 12h04

L'absence de la 13 entraine une fonction de groupe antérieure lors de la diduction droite, ce qui a tendance à vestibuler les dents 11 et 12.
En plus tu semble dire que le calage postérieur n'est pas top...
Je commencerai donc par une analyse occlusale sur l'articulateur en RC et pour voir si tu peux transformer la 14 et canine.

D'après les éléments que tu nous donne :
- il y a bien un problème de d'alignement des collets
- la courbe incisive du sourire peut être modifiée
- éventuellement un petit coup d'ortho sur le bloc antérieur mandibulaire (en fonction de ce que dit l'analyse occlusale.)

Hmmm... pas fastoche ton cas...
--
www.thedentalist.fr


Bebe 038 nf8eum - Eugenol
danteyeah

30/07/2013 à 13h52

G²M écrivait:
-------------
> L'absence de la 13 entraine une fonction de groupe antérieure lors de la
> diduction droite, ce qui a tendance à vestibuler les dents 11 et 12.

En fait la 13 n'est pas absente, il manque 12 et 14, la 13 a été mésialée puis bricolée au composite pour en faire une large 12 , mais garde sa fonction canine et n'est pas vestibulée (voir photo, en noir compo mésial et distal, en rose ajout vestibulaire pour aplatir le bombé vestibulaire). La 11 c'est une zircone avec un manque de préparation en palatin, qui la rend un peu volumineuse. La 14 est distalée et en rotation, ça fini de fermer l'espace.

> En plus tu semble dire que le calage postérieur n'est pas top...
> Je commencerai donc par une analyse occlusale sur l'articulateur en RC et pour
> voir si tu peux transformer la 14 et canine.

Non le calage reste cohérent c'est juste que 46 et 36 sont délabrées et font pas le job, mais là y a rien de compliqué.

>
> D'après les éléments que tu nous donne :
> - il y a bien un problème de d'alignement des collets
> - la courbe incisive du sourire peut être modifiée
> - éventuellement un petit coup d'ortho sur le bloc antérieur mandibulaire (en
> fonction de ce que dit l'analyse occlusale.)

Ma première réaction a été ortho/implanto. La proposition de pur prothétique évoqué par chicot44 ne m'avait pas paru évident lors du premier entretient, mais c'est peu être parceque le travail déjà réalisé par mes pairs sur ce sourire avait déjà été conséquent et sans succès.
>
> Hmmm... pas fastoche ton cas...

C'est pourquoi il est là ;-)
> --
> www.thedentalist.fr

Ag n sie retouche  c4ugkl - Eugenol

Bebe 038 nf8eum - Eugenol
danteyeah

31/07/2013 à 02h31

Bon on va finalement retenir l'option de chicot44, puisqu'il n'y a pas apparemment d'implanto ou d'ortho pour le contredire.
De plus la patiente ne se voyait pas "remettre le couvert" avec l'orthodontie, et l'ajout d'implanto risquait exploser son budget.

Donc wax-up sur modèle d'étude, tentative timide d'alignement de collet (esthétique rose), encore insuffisante, et grosse journée de dépose, évaluation des pilier déjà couronnées taille, ou reprise de taille de 16 à 25:
14, 13, 23, 24 taille pour CCC sur dent vivante, 21pour CCC 3/4, 11 pour CCC sur IC, 16 pour CCC sur screw-post composite (Ah sacrilège!!! mais le bouzin est stable depuis un bon moment, sans la moindre douleur/carie/image radio, donc j'y touche pas).

Provisoire de première intention par moulage silicone du wax-up, avec une résine acrylique qui va bien (Phoenix), on scelle en provisoire. Un p'tit sourire.....c'est clair et opaque....c'est normal Madame c'est d'la résine, c'est un peu le principe, mais avouez qu'c'est pas trop mal non?

Bon le wax montre ce qu'on peu obtenir dans les grandes lignes. Un grand merci au labo avec lequel on a dialogué un bon moment pour arriver à un consensus. J'avoue que la dissymétrie du bloc antérieure en volume et en nombre me stressait un peu avant de commencer, le wax-up et cette séance ont permis de me rassurer....on devrait pouvoir sortir un sourire correct à terme!

 mg 8121 vybfpq - Eugenol
 mg 8129 zaih6z - Eugenol
Ag n sie prov1 sjgpq5 - Eugenol
 mg 8117 nvc6fg - Eugenol
 mg 8122 otcg7c - Eugenol
 mg 8126 u50gak - Eugenol

youn

31/07/2013 à 03h39

Beau travail... reste la 36 quitte à tout faire d'un coup... j'l'aurais refaite dans la foulée je pense...

Peut-être un peu plus la gingivo-plastie (ectomie...) à droite (14 13 et 11). A toi de voir.

Au temps pour moi concernant l’engrènement, mais l'occlusion n'est pas la même sur les photos avant et après (les 7 ne s'engrènent pas aussi bien avant...)


S2y2o1v7q53ws4r5wy6ou8czrpom - Eugenol
pxav

31/07/2013 à 10h29

Beau travail, pour un cas pas évident du tout.
Le fait d’éliminer ortho et implanto est tout à fait sage, compte tenu du cas.
Mais, idem youn, pour la 36, et je n'aime pas le déséquilibre droite gauche (canine), ni l'angle des centrales.
Pas évident bien sur, mais peut être est il possible de tricher un peu sur les volumes et les angles, ainsi que la longueur de la canine et un petit arrondi vestibulaire bien placé?
Facile à dire, pas facile à réaliser en collaboration avec le prothésiste.
merci de partager


--
xbk
"Si tous ceux qui croient avoir raison n'avaient pas tort, la vérité ne serait pas loin" Dac Pierre


Bebe 038 nf8eum - Eugenol
danteyeah

31/07/2013 à 11h17

youn écrivait:
--------------
> Beau travail... reste la 36 quitte à tout faire d'un coup... j'l'aurais refaite
> dans la foulée je pense...

Faut pas faire de fixation sur 36 (et 46), tous sera repris et vu les jolies surprises à la dépose, j'ai bien fait de reporter les rendez-vous de RTE à plus tard.
Car après 4 heures de dépose (3 zircone à meuler ça bouffe un temps fou), taille (5 dents vivantes c'est aussi chronophage si on ne veut pas cramer de pulpe), Une timide chirurgie d'élongation coronaire (première utilisation des insert sonic Komet SFS120), et un gros bloc provisoire, je me voyais mal proposer à la patiente une petite séance de RTE (2H1/2 de perdu par la suite, plus élongation coronaire sur 36, car carie énorme en mésial, et difficulté de rendre étanche le site.
>
> Peut-être un peu plus la gingivo-plastie (ectomie...) à droite (14 13 et 11). A
> toi de voir.

Tout à fait. Le but du wax-up et de proposer une idée d'esthétique (d'où le terme de provisoire de première intention), puis d'évoluer à partir de cette esquisse.

>
> Au temps pour moi concernant l’engrènement, mais l'occlusion n'est pas la même
> sur les photos avant et après (les 7 ne s'engrènent pas aussi bien avant...)

Attention à la lecture des photos (pas toujours dans l'ordre): je mets d'habitude OIM de face, puis latéralité droite, et latéralité gauche, occlusale (j'ai oublié la préop, mea culpa), sourire, visage.


Bebe 038 nf8eum - Eugenol
danteyeah

31/07/2013 à 11h30

pxav écrivait:
--------------
> Beau travail, pour un cas pas évident du tout.

Euh!!c'est juste le début, pour réfléchir et faire évoluer, mais merci!

> Le fait d’éliminer ortho et implanto est tout à fait sage, compte tenu du cas.

En fait, c'est toi que j'attendais pxav, ce post fait suite pour moi à un travail de réhabilitation prothétique globale que tu nous a proposé il y a quelque temps, chez une patiente avec une classe 2.2, où il était difficile pour moi d'imaginer entreprendre le moindre boulot sans ortho.......et j'ai pris une grosse claque en découvrant le sourire final sublime, ça m'a donner une leçon, et permis d'imaginer que l'ortho n'est pas systématique pour les cas complexes, merci encore.

> Mais, idem youn, pour la 36, et je n'aime pas le déséquilibre droite gauche
> (canine), ni l'angle des centrales.

Moi non plus mais pour l'instant on a que l'esquisse, donc suite plus bas, et explication 36 plus haut.

> Pas évident bien sur, mais peut être est il possible de tricher un peu sur les
> volumes et les angles, ainsi que la longueur de la canine et un petit arrondi
> vestibulaire bien placé?

Oui

> Facile à dire, pas facile à réaliser en collaboration avec le prothésiste.
> merci de partager

Encore une fois, j'aimerais remercier le couple de prothésiste qui m'ont permis de venir à bout de ce boulot. Ils ont posté sur ce forum, et c'est ce qui m'a permis de les connaitre. Car débarqué de l'autre bout de la France et refaire un réseau de professionnel avec qui bosser n'est pas chose aisé quand on ne connait ABSOLUMENT personne dans une région. Donc merci encore mille fois à eux.
>
>
> --
> xbk
> "Si tous ceux qui croient avoir raison n'avaient pas tort, la vérité ne
> serait pas loin" Dac Pierre


Bebe 038 nf8eum - Eugenol
danteyeah

31/07/2013 à 11h54

Comme pxav et youn l'ont souligné, la dysharmonie Droite Gauche reste marquée, et il faut continuer à bosser sur l'esthétique rose".
On va alors transformer encore le sourire en conservant la base des provisoires (ou plutôt le sommet d'ailleurs), en reprenant le tiers cervicale de 21, 11, 13 (position 12) et 14 (position 13), en cherchant à diminuer le plus possible la pastille triangulaire rose entre (12) et 11.
Toujours avec l'insert sonic qui va bien (c'était une première pour moi, et ça m'a bluffé).

Donc découpe lame froide (si quelqu'un veut me payer un laser, je suis preneur ;-)), 21,11,(12),(13) afin de définir une plus belle harmonie , et élongation au sonic.
Puis reprise des formes et volumes des dents antérieures sans démontages et rebasage composite.

Euh, le repassage composite sans démontage s'est avérée une fausse bonne idée, car difficile à maitriser entrainant un risque pour l'espace biologique. Vaut mieux tout démonter et rebasser. Cela sera fait plus tard avec le deuxième jeu de provisoire.

Edit: petite précision, les photos c'est 4 jours après la chir. Tout au long de ce travail j'ai été impressionné par les capacités de cicatrisation chez cette patiente.......une mutante?

 mg 8181 aaaw2b - Eugenol
 mg 8180 vclmuu - Eugenol
 mg 8177 ey7osu - Eugenol
Ag n sie prov2 fy9txz - Eugenol

S2y2o1v7q53ws4r5wy6ou8czrpom - Eugenol
pxav

31/07/2013 à 13h46

danteyeah écrivait:
-------------------
> pxav écrivait:

> > Le fait d’éliminer ortho et implanto est tout à fait sage, compte tenu du cas.
>
> En fait, c'est toi que j'attendais pxav, ce post fait suite pour moi à un travail de réhabilitation prothétique globale que tu nous a proposé il y a quelque temps, chez une patiente avec une classe 2.2, où il était difficile pour moi d'imaginer entreprendre le moindre boulot sans ortho.......et j'ai pris une
> grosse claque en découvrant le sourire final sublime, ça m'a donner une leçon,
> et permis d'imaginer que l'ortho n'est pas systématique pour les cas complexes,
> merci encore.

Effectivement, je me souviens de la "dureté" de tes posts à l'époque:

"Vu et revu plusieurs fois ce fil, et je n'ai pas mieux à proposer que les autres. Les 4000€ je les mettrai chez l'ortho, elle a alors au moins 2 ans pour se trouver une mutuelle "philanthrope" (ou faire des économies, c'est parfois plus rentable) pour permettre après l'ortho d'alléger la facture de la réhabilitation prothétique, tout en espérant que ce qui reste tienne le coup."

"Cas typique de patient refusant l'ortho avant la réhabilitation global, avec un résultat esthétique ....disons que j'aime pas, bon si la patiente est contente!
Moi en tout cas au prochain patient qui refuse l'ortho nécessaire avant la réhabilitation globale, je lui montre ce cas. Merci encore je pense que cela sera utile."


Et j'avais senti des les début de ton post que tu attendais une prise de position marquée... de l'implanto ... et si je n'ai pas répondu de suite, c'était volontaire.

Grâce à des échanges comme ceux la, nous grandissons chaque jours.
Tu comble mon égo en reconnaissant que peut être je n'avais pas tout à fait tort dans le post "Réhabilitation antérieure 2, besoin de conseils... ", et ce qui est sympa, c'est de constater que dans certains cas... implanto et ou ortho ne sont pas indispensable.

Je suis persuadé que dans les cas complexes, le fait de poster sur nonol, permet une vision plus large, de ce qui est possible, et évite le coté "JE SAIS".

Attention à la papille entre les centrales...
Quels matériaux pour la prothèse d'usage?




--
xbk
"Si tous ceux qui croient avoir raison n'avaient pas tort, la vérité ne serait pas loin" Dac Pierre


Bebe 038 nf8eum - Eugenol
danteyeah

31/07/2013 à 15h38

pxav écrivait:

> Attention à la papille entre les centrales...

Oui, ça sera la plus dure à gérer.

> Quels matériaux pour la prothèse d'usage?

Emax pour le haut, car je reste en juta voir très légèrement supra-gingivale.

Pour le bas la 36 est finalement "effondrée" jusqu'au planché, donc collage impossible et diagnostic bof, on a préféré utiliser de la zircone pour pouvoir sceller.

Allé suite bas, photos taille, et empreinte wash.

On a une belle brochette de support différent: facette, dent vitale, IC, screw-post composite, va y avoir du sport pour le choix des lingots chez le prothésiste.

Tiens au passage y'a eu une doléance "blanche", donc test du treswhite en 6% sur l'arcade mandibulaire (de 5 à 5), et bien ça marche à ma grande surprise!

La photo avec le teintier c'est avant l'éclaircissement, et la photo de face des tailles c'est après.

Edit: Pour pxav: EN 4 rajout de la photo de la papille entre les deux centrales après quelques semaines de temporisation....ça devrait le faire!

 mg 8327 mny9af - Eugenol
 mg 8308 hihbrr - Eugenol
 mg 8332 kui3jx - Eugenol
 mg 8307 yg3knt - Eugenol

Img 5404 pmlzfi - Eugenol
Chicot44

31/07/2013 à 18h11

Avec qq neurones , de l'analyse , un bon coup de turbine , un bon prothésiste... on fait des trucs super en prothèse conventionnelle... en plus imagine le délai de traitement avec ortho et implanto , le coût global qui flambe... la plupart des patients ne verront même pas la différence entre droite et gauche... bien sur améliorer le résultat avec 2 ème provisoire + définitif c'est vraiment la cerise sur le gâteaux... mais ta patiente d'aprés ce que tu dis sera comblée par ce traitement... simplicité ...simplicité ...
Quand j'ai un doute sur la validité d'un plan de traitement , j'essaie de me mettre à la place du patient et franchement dans son cas jamais je fais d'ortho....je perd pas 18 mois pour obtenir un résultat à peine mieux que celui obtenu en prothèse fixe .... en plus dans ce cas y a même pas de sur-traitement puisque toute les dents son ou doivent être couronnées ... Bravo pour ton partage ...
"Le mieux et parfois l'ennemi du bien"....
Je crois que parfois à pinailler on se tire une balle dans le pied ...


youn

31/07/2013 à 18h39

Je ferais sauter l'inlay core sur 11... Remplacer par quelque chose type compo tenon fibré... Tu pourras te faire plaisir sur les antérieurs...

Et bien le trèswhite!

Mais tu ne voies qu'elle toute la journée tous les jours?


S2y2o1v7q53ws4r5wy6ou8czrpom - Eugenol
pxav

31/07/2013 à 18h58

youn écrivait:
--------------
> Je ferais sauter l'inlay core sur 11... Remplacer par quelque chose type compo
> tenon fibré... Tu pourras te faire plaisir sur les antérieurs...


idem, surtout en Emax, à moins de prendre du HO mais ce sera difficile, d’être uniforme en rendu.
Le fait à noter c'est que la patiente,ne se souciait pas trop de la teinte et ... une fois consciente que son sourire serra sympa, elle se dit que pourquoi pas "plus blanc".
Au début je disais non, mais maintenant je fais,dans certains cas.
--
xbk
"Si tous ceux qui croient avoir raison n'avaient pas tort, la vérité ne serait pas loin" Dac Pierre


Bebe 038 nf8eum - Eugenol
danteyeah

31/07/2013 à 20h32

Chicot44 écrivait:

> Quand j'ai un doute sur la validité d'un plan de traitement , j'essaie de me
> mettre à la place du patient et franchement dans son cas jamais je fais
> d'ortho....je perd pas 18 mois pour obtenir un résultat à peine mieux que celui
> obtenu en prothèse fixe ....

Oui mais ça empêche pas dans discuter!
Peut être que si j'avais posté ce cas dans la rubrique implanto, le plan de traitement aurait été tout autrement ;-)

> en plus dans ce cas y a même pas de sur-traitement

Y'a un peu de mutilation tout de même, mais bon y'a un moment ou faut faire des choix et comme nous ne sommes que soignant et pas magicien, ces choix coutent en tissus.


> "Le mieux et parfois l'ennemi du bien"....
> Je crois que parfois à pinailler on se tire une balle dans le pied ...

Et c'est au pied du mur...qu'on voit le mieux le mur ;-), j'sais pas pourquoi, mais ça m'fait rire!
Merci de prendre du temps pour ce post.


Bebe 038 nf8eum - Eugenol
danteyeah

31/07/2013 à 20h41

youn écrivait:
--------------
> Je ferais sauter l'inlay core sur 11... Remplacer par quelque chose type compo
> tenon fibré... Tu pourras te faire plaisir sur les antérieurs...

On se fera quand même plaisir sans ;-)
Sur le coup j'avais peur que l'IC soit colé au superbond (c'était le cas pour la zircone), donc j'ai boté en touche, et le prothésiste semblait penser que les HO seront exploitables, il a apparemment fait joujou avec les ligotions d'Emax pour les chapes, car j'ai cru comprendre que toutes n'étaient pas les mêmes.

>
> Et bien le trèswhite!

Ça al'air, effectivement, c'était du 6% de peroxyde d'hydrogène, et apparemment ça suffit.

>
> Mais tu ne voies qu'elle toute la journée tous les jours?

Je crois avoir comptabilisé un vingtaine d'heure au fauteuil, photos incluses, pour 9 CCC, 3 zircones, 1 IC, 2 RTE, 1 ancrage fibré, 1 chirurgie mucco-gingivale, 3 composites. Et 4 ou 5 heures d'analyse, de je "dors qu'à moitié" , de mail avec le prothésiste avec photos et farfoillage de neurones: c'est trop?


Bebe 038 nf8eum - Eugenol
danteyeah

31/07/2013 à 20h53

pxav écrivait:
--------------

> idem, surtout en Emax, à moins de prendre du HO mais ce sera difficile, d’être
> uniforme en rendu.
> Le fait à noter c'est que la patiente,ne se souciait pas trop de la teinte et
> ... une fois consciente que son sourire serra sympa, elle se dit que pourquoi
> pas "plus blanc".

Tout à fait, et c'est énervant quand tu interroges le patient au début, généralement, il s'en fout, et puis ça augmente le devis, et puis êtes vous sur que ça marche docteur, etc....
Pour au final, toujours finir par blanchir quand même ou regretter de ne pas l'avoir fait.

Sinon HO effectivement et voici l'essayage des biscuits.
Y a encore du boulot, suite et fin dans la soirée.

 mg 8510 ttfrbl - Eugenol
Ag n sie essay tslqaq - Eugenol
 mg 8505 skzf08 - Eugenol
 mg 8511 ywzw9k - Eugenol
 mg 8490 k0gxfj - Eugenol
 mg 8492 rxt2to - Eugenol

Img 5404 pmlzfi - Eugenol
Chicot44

31/07/2013 à 21h11

t'es pas loin .... je reverrai l'axe des incisives et l'horizontalité du bord libre...mais autrement ça le fait...


Bebe 038 nf8eum - Eugenol
danteyeah

01/08/2013 à 00h07

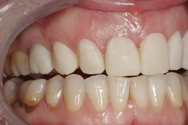
ET voilà la suite:
Collage CCC Emax unitaire sur 16, (13), (12), 11, 26
Bridge Emax (22) à 24
Et facette 3/4 Emax sur 21
Au Variolink/Exite DSC.

Photos à l'arrache après 2 heures de collage.

 mg 8516 oh1wm0 - Eugenol
 mg 8517 ujcupk - Eugenol

Bebe 038 nf8eum - Eugenol
danteyeah

01/08/2013 à 00h18

Et bilan photo à J+4.
Moi je suis toujours impressionné par la vitesse de cicatrisation des tissus mous chez cette patiente.

Rendez vous après les vacances pour voir l'évolution à 6 semaines.

Maintenant c'est vacances, alors bonne vacances à tous!

Et merci aux quelques téméraire qui ont bien voulu suivre ce cas malgré la chaleur torride de cette fin juillet (en tous cas sur la cote).

 mg 8546 k8i9ed - Eugenol
 mg 8558 rz3rme - Eugenol
 mg 8542 l8nqaf - Eugenol
Ag n sie fin j 4 - Eugenol
 mg 8548 euuf9j - Eugenol

Bebe 038 nf8eum - Eugenol
danteyeah

01/08/2013 à 00h21

Et un grand merci à Hélène et Didier. Un couple de prothésiste de très haut niveau.

Quelques gros plans de leur travail.

Ag n sie 12 22 fin j 4 - Eugenol
Ag n sie 12 22 fin j 4 - Eugenol
Ag n sie 12 22 fin j 4 - Eugenol
Ag n sie 12 22 fin j 4 - Eugenol

12